Abstract
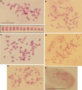
Twenty-eight basil accessions including six Ocimum species and six botanical varieties or cultivars of O. basilicum were studied using molecular markers, nuclear DNA content, and chromosome counting. This is the first study reporting the nuclear DNA content in the genus Ocimum. The results supported the existence of more infrageneric groups within the genus. The section Ocimum was further divided into two separate clades. The first clade contained the accessions belonging to different botanical varieties and cultivars of O. basilicum as well as O. minimum, indicating that the separate species rank of O. minimum was not justified. The second clade, comprising O. americanum, O. africanum, and two O. basilicum var. purpurascens accessions, could represent a set of allopolyploid species sharing some common parental genomes. O. tenuiflorum was the most divergent species according to genetic distance; it had the smallest genome size, organized in small chromosomes, and the lowest chromosome number. Chromosome data obtained in our research could indicate that the basic chromosome number for species belonging to section Ocimum is x = 12. This suggestion implies that species belonging to O. basilicum clade are tetraploids, while species belonging to O. americanum clade are hexaploids. It seems that the basic chromosome number for O. gratissimum could be x = 10 and for O. tenuiflorum x = 9. The differences in genome size and chromosome number among Ocimum species indicate that evolution of their genomes was accompanied by both sequence deletion/amplification and chromosome rearrangements and polyploidization.



Similar content being viewed by others

Explore related subjects
Discover the latest articles and news from researchers in related subjects, suggested using machine learning.References
Arumuganathan K, Earle ED (1991) Nuclear DNA content of some important plant species. Plant Mol Biol Rep 9:208–218
Bennett MD, Leitch IJ (2005a) Plant nuclear DNA content research: a field in focus. Ann Bot 95(1):1–6
Bennett MD, Leitch IJ (2005b) Nuclear DNA amounts in angiosperms: progress, problems and prospects. Ann Bot 95:45–90
Briquet J (1897) Ocimum. In: Engler A, Prantle KAE (eds) Die natürlichen Pflanzenfamilien, vol 4(3a). Engelmann W, Leipzig, pp 369–372
Carović-Stanko K, Orlić S, Politeo O, Strikić F, Kolak I, Milos M, Satovic Z (2010) Composition and antibacterial activities of essential oils of seven Ocimum taxa. Food Chem 119(1):196–201
Darlington CD, Wylie AP (1955) Chromosome atlas of flowering plants. George Allen and Unwin, London
Darrah H (1980) The cultivated basils. Thomas Buckeye, Independence, MO
De Masi L, Siviero P, Esposito C, Castaldo D, Siano F, Laratta B (2006) Assessment of agronomic chemical and genetic variability in common basil (Ocimum basilicum L.). Eur Food Res Technol 223:273–281
Dice LR (1945) Measures of the amount of ecologic association between species. Ecology 26:297–302
Doležel J, Bartoš J (2005) Plant DNA flow cytometry and estimation of nuclear DNA content. Ann Bot 95(1):99–110
Doležel J, Binarova P, Lucretti S (1989) Analysis of nuclear DNA content in plant cells by flow cytometry. Biol Planarum 31:113–120
Doyle JJ, Doyle JL (1990) Isolation of plant DNA from fresh tissue. Focus 12:13–15
Felsenstein J (1985) Confidence limits on phylogenesis: an approach using the bootstrap. Evolution 39:783–791
Grayer RJ, Kite GC, Goldstone FJ, Bryan SE, Paton A, Putievsky E (1996) Intraspecific taxonomy and essential oil chemotypes in sweet basil, Ocimum basilicum. Phytochemistry 43:1033–1039
Harley RM, Brighton CA (1977) Chromosome numbers in the genus Mentha L. Bot J Linn Soc 74:71–96
Jakše J, Kindlhofer K, Javornik B (2001) Assessment of genetic variation and differentiation of hop genotypes by microsatellite and AFLP markers. Genome 44:773–782
Khosla MK (1993) Study on inter-relationship, phylogeny and evolutionary tendencies in genus Ocimum. J Plant Anat Morphol 6:93–106
Khosla MK (1995) Study of inter-relationship, phylogeny and evolutionary tendencies in genus Ocimum. Ind J Genet 55:71–83
Khosla MK, Sobti SN (1985) Karyomorphological studies in genus Ocimum II. Sanctum group. Cytologia 50:253–263
Labra M, Miele M, Ledda B, Grassi F, Mazzei M, Sala F (2004) Morphological characterization, essential oil composition and DNA genotyping of Ocimum basilicum L cultivars. Plant Sci 167:725–731
Liber Z, Nikolic T, Mitic B (2002) Plant DNA isolation from differently preserved Thalictrum leaf tissues and their use in RAPD analysis. Acta Biol Cracov Bot 44:73–77
Mantel N (1967) The detection of disease clustering and a generalized regression approach. Cancer Res 27:209–220
Marotti M, Piccaglia R, Giovanelli E (1996) Differences in essential oil composition of basil (Ocimum basilicum L.) Italian cultivars related to morphological characteristics. J Agric Food Chem 44:3926–3929
Martins AP, Salgueiro LR, Vila R, Tomi F, Cañigueral S, Casanova J, Proença Da Cunha A, Adzet T (1999) Composition of the essential oils of Ocimum canum, O. gratissimum and O. minimum. Planta Med 65:187–189
Mehra PN, Gill LS (1972) Cytology of west Himalayan Labiatae, tribe Ocimoideae. Cytologia 37:53–57
Morales MR, Simon JE (1996) New basil selections with compacts inflorescence for the ornamental market. In: Janick J (ed) Progress in new crops. ASHS, Alexandria, pp 543–546
Morales MR, Charles DJ, Simon JE (1993) New aromatic lemon basil germplasm. In: Janick J, Simon JE (eds) New crops. Wiley, New York, pp 632–635
Morton JK (1962) Cytotaxonomic studies on the west African Labiatae. J Linn Soc Bot 58:231–283
Mukherjee M, Datta AK (2006) Secondary associations in Ocimum spp. Cytologia 71(2):149–152
Mukherjee M, Datta AK, Maiti GG (2005) Chromosome number variation in Ocimum basilicum L. Cytologia 70(4):455–458
Murray BG, De Lange PJ, Ferguson AR (2005) Nuclear DNA variation, chromosome numbers and polyploidy in the endemic and indigenous grass flora of New Zeland. Ann Bot 96(7):1293–1305
Paton A (1992) A synopsis of Ocimum L (Labiatae) in Africa. Kew Bull 47:405–437
Paton A, Putievsky E (1996) Taxonomic problems and cytotaxonomic relationships between and within varieties of Ocimum basilicum and related species (Labiatae). Kew Bull 51:509–524
Paton A, Harley MR, Harley MM (1999) Ocimum: an overview of classification and relationships. In: Hiltunen R, Holm Y (eds) Basil: the genus Ocimum. Harwood, Amsterdam, pp 1–38
Politeo O, Jukic M, Milos M (2006) Chemical composition and antioxidant capacity of free volatile aglycones from basil (Ocimum basilicum L.) compared with its essential oil. Food Chem 101(1):379–385
Powell W, Morgante M, Andre C, Hanafey M, Vogel J, Tingey S, Rafalski A (1996) The comparison of RFLP, RAPD, AFLP and SSR (microsatellite) markers for germplasm analysis. Mol Breed 2:225–238
Putievsky E, Paton A, Lewinsohn E, Ravid U, Haimovich D, Katzir I, Saadi D, Dudai N (1999) Crossability and relationship between morphological and chemical varieties of Ocimum basilicum L. J Herbs Species Med Plants 6:11–24
Ravid U, Putievsky E, Katzir I, Lewinsohn E (1997) Enantiomeric composition of linalol in the essential oils Ocimum species and in commercial basil oils. Flavour Fragr J 12:293–296
Rohlf FJ (2000) NTSYS/pc. Numerical taxonomy and multivariate analysis system. Version 2.1. Exeter, New York
Saitou N, Nei M (1987) The neighbor-joining method: a new method for reconstructing phylogenetic trees. Mol Biol Evol 6:514–525
Satovic Z, Liber Z, Karlovic K, Kolak I (2002) Genetic relatedness among basil (Ocimum spp.) accessions using RAPD markers. Acta Biol Cracov Bot 44:155–160
Schmuths H, Meister A, Horres R, Bachmann H (2004) Genome size variation among accessions of Arabidopsis thaliana. Ann Bot 93:317–321
Sharma AK, Sharma A (1972) Chromosome techniques—theory and practice. Butterworth, London
Simon JE, Quinn J, Murray RG (1990) Basil: a source of essential oils. In: Janick J, Simon JE (eds) Advances in new crops. Timber, Portland, pp 484–989
Singh AP, Dwivedi S, Bharti S, Srivastava A, Singh V, Khanuja SPS (2004) Phylogenetic relationships as in Ocimum revealed by RAPD markers. Euphytica 136:11–20
Sobti SN, Pushpangadan P (1979) Cytotaxonomical studies in the genus Ocimum. In: Bir SS (ed) Taxonomy, cytogenetics and cytotaxonomy of plants. Kalyani, New Delhi, pp 373–377
Štajner N, Bohanec B, Javornik B (2002) Genetic variability of economically important Asparagus species as revealed by nuclear DNA content analysis and rDNA ITS polymorphisms. Plant Sci 162:931–937
Suddee S, Paton AJ, Parnell JAN (2005) Taxonomic revision of tribe Ocimeae Dumort. (Lamiaceae) in continental South East Asia III. Ocimineae. Kew Bull 60(1):3–75
Van de Peer Y, De Wachter R (1994) TREECON for Windows: a software package for the construction and drawing of evolutionary trees for the Microsoft Windows environment. Comput Appl Biosci 10:569–570
Vieira R, Goldsbrough P, Simon JE (2003) Genetic diversity of basil (Ocimum spp.) based on RAPD markers. J Am Soc Hortic Sci 128:94–99
Vos P, Hogers R, Bleeker M, Reijans M, Van de Lee T, Hornes M, Frijters A, Plot J, Peleman J, Kuipe M, Zabeau M (1995) AFLP: a new technique for DNA fingerprinting. Nucleic Acids Res 23:4407–4414
Williams JGK, Kubelik AR, Livak KJ, Rafaski JA, Tingey SV (1990) DNA polymorphisms amplified by arbitrary primers are useful as genetic markers. Nucleic Acids Res 18:6531–6535
Zheljazkov VD, Callahan A, Canterll CL (2008) Yield and oil composition of 38 basil (Ocimum basilicum L.) accessions grown in Mississippi. J Agric Food Chem 56:241–245
Author information
Authors and Affiliations
Corresponding author
Rights and permissions
About this article
Cite this article
Carović-Stanko, K., Liber, Z., Besendorfer, V. et al. Genetic relations among basil taxa (Ocimum L.) based on molecular markers, nuclear DNA content, and chromosome number. Plant Syst Evol 285, 13–22 (2010). https://doi.org/10.1007/s00606-009-0251-z
Received:
Accepted:
Published:
Issue Date:
DOI: https://doi.org/10.1007/s00606-009-0251-z
