Skip to main content

Intestinal bleeding from arteriovenous malformations of the small bowel in a patient with Cowden syndrome: report of a case

Abstract

This report presents the case of a patient with Cowden syndrome who had arteriovenous malformations (AVMs) at the jejunum and the ileum and experienced intestinal bleeding. A 54-year-old Japanese male presented with general fatigue and melena. Endoscopic examinations showed gastrointestinal polyposis from the esophagus to the rectum. However, the site of bleeding was not identified. There were some papules on his face and neck. He also had macrocephaly and had multiple papillomas along the gum-line. These findings indicated a clinical diagnosis of Cowden syndrome. Enhanced computed tomography (CT) and angiography analyses indicated the presence of AVMs at the jejunum and the ileum. He was treated with partial resection of the jejunum and ileum including these two AVMs. This was a rare case of two AVMs involving the small bowel in a patient with Cowden syndrome. Enhanced CT was very useful and convenient for the detection of gastrointestinal AVMs in this case.

This is a preview of subscription content, access via your institution.

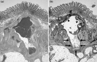
Fig. 1
Fig. 2
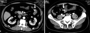
Fig. 3
Fig. 4
Fig. 5

References

  1. Lioyd KM, Dennis M. Cowden’s disease. A possible new symptom complex with multiple system involvement. Ann Intern Med. 1963;58:136–42.

    Article  Google Scholar 

  2. Weary PE, Gorlin RJ, Gentry WC, Comer JE, Greer KE. Multiple hamartoma syndrome (Cowden’s disease). Arch Dermatol. 1972;106:682–90.

    PubMed  Article  CAS  Google Scholar 

  3. Salem OS, Steck WD. Cowden’s disease (multiple hamartoma and neoplastic syndrome). A case report and review of the English literature. J Am Acad Dermatol. 1983;8:686–96.

    PubMed  Article  CAS  Google Scholar 

  4. Marsh DJ, Coulan V, Lunetta KL, Rocca-Serra P, Dahia PL, Zheng Z, et al. Mutation spectrum and genotype-phenotype analyses in Cowden disease and Bannayan-Zonana syndrome, two hamartoma syndromes with germline PTEN mutations. Hum Mol Genet. 1988;7:507–815.

    Article  Google Scholar 

  5. Eng C. Will the real Cowden syndrome please stand up: revised diagnostic criteria. J Med Genet. 2000;37:828–30.

    PubMed  Article  CAS  Google Scholar 

  6. Weinstock JV, Kawanishi H. Gastrointestinal polyposis with orocutaneous hamartomas (Cowden’s disease). Gastroenterology. 1978;74:890–5.

    PubMed  CAS  Google Scholar 

  7. Kato M, Mizuki A, Hayashi T, Kunihiro T, Nagata H, Tsukada N, et al. Cowden’s disease diagnosed through mucocutaneous lesions and gastrointestinal polyposis with recurrent hematochezia, unrevealed by initial diagnosis. Intern Med. 2000;39:559–63.

    PubMed  Article  CAS  Google Scholar 

  8. Kay PS, Soetikno RM, Mindelzun R, Young HS. Diffuse esophageal glycogenic acanthosis: an endoscopic marker of Cowden’s disease. Am J Gastroenterol. 1977;92:1038–40.

    Google Scholar 

  9. Haggitt RC, Reid BJ. Hereditary gastrointestinal polyposis syndromes. Am J Surg Pathol. 1986;10:871–87.

    PubMed  Article  CAS  Google Scholar 

  10. Zhou XP, Hampel H, Thiele H, Gorlin RJ, Hennekam RCM, Parisi M, Winter RM, Eng C. Association of germline mutation in the PTEN tumour suppressor gene and Proteus and Proteus-like syndromes. Lancet. 2001;358:210–1.

    PubMed  Article  CAS  Google Scholar 

  11. Barker KT, Houlston RS. Overgrowth syndrome: is dysfunctional PI3-kinase signaling a unifying mechanism? Eur J Hum Genet. 2003;11:665–70.

    PubMed  Article  CAS  Google Scholar 

  12. Maehama T, Dixon JE. The tumor suppressor, PTEN/MMAC1, dephosphorylates the lipid second messenger, phosphatidylinositol 3,4,5-triphosphate. J Biol Chem. 1998;273:13375–8.

    PubMed  Article  CAS  Google Scholar 

  13. Wu X, Senechal K, Neshat MS, Whang YE, Sawyers CI. The PTEN/MMAC1 tumor suppressor phosphate functions as a negative regulator of the phosphoinositide 3-kinase/Akt pathway. Proc Natl Acad Sci USA. 1998;93:15587–91.

    Article  Google Scholar 

  14. Tumbull MM, Humeniuk V, Stein B, Suthers GK. Arteriovenous malformations in Cowden syndrome. J Med Genet. 2005;42:e50.

    Article  Google Scholar 

  15. Déléris P, Bacqueville D, Gayral S, Carrez L, Salles JP, Perret B, Breton-Douillon M. SHIP-2 and PTEN are expressed and active in vascular smooth muscle cell nuclei, but only SHIP-2 is associated with nuclear speckles. J Biol Chem. 2003;278:38884–91.

    PubMed  Article  Google Scholar 

  16. Su JD, Mayo LD, Donner DB, Durden DL. PTEN and phosphatidylinositol 3′-kinase inhibitors up-regulate p53 nd block tumor-induced angiogenesis: evidence for an effect on the tumor and endothelial compartment. Cancer Res. 2003;63:3585–92.

    PubMed  CAS  Google Scholar 

  17. Koul D, Shen R, Garyali A, Ke LD, Liu TJ, Yung WK. MMAC/PTEN tumor suppressor gene regulates vascular endothelial growth factor-mediated angiogenesis in prostate cancer. Int J Oncol. 2002;21:469–75.

    PubMed  CAS  Google Scholar 

  18. Takaya N, Iwasew T, Maehara A, Nishiyama S, Nakanishi S, Yamana D, et al. Transcatheter embolization of arteriovenous malformations in Cowden disease. Jpn Circ J. 1999;63:326–9.

    PubMed  Article  CAS  Google Scholar 

  19. Mindelzun RE, Bealieu CF. Using biphasic CT to reveal gastrointestinal arteriovenous malformations. Am J Roentgenol. 1997;168:437–8.

    Article  CAS  Google Scholar 

  20. Cheon JH, Song HJ, Kim JS, Park KJ, Kim WH, Jung HC, et al. Recurrent lower gastrointestinal bleeding from congenital arteriovenous malformation in the terminal ileum mimicking intestinal varicosis: a case report. J Korean Med Sci. 2007;22:746–9.

    PubMed  Article  Google Scholar 

Download references

Conflict of interest

Yoshifumi Nakayama and the other co-authors have no conflicts of interest to declare.

Author information

Affiliations

Authors

Corresponding author

Correspondence to Yoshifumi Nakayama.

Rights and permissions

Reprints and Permissions

About this article

Cite this article

Nakayama, Y., Segawa, J., Sujita, K. et al. Intestinal bleeding from arteriovenous malformations of the small bowel in a patient with Cowden syndrome: report of a case. Surg Today 43, 542–546 (2013). https://doi.org/10.1007/s00595-012-0460-x

Download citation

  • Received:

  • Accepted:

  • Published:

  • Issue Date:

  • DOI: https://doi.org/10.1007/s00595-012-0460-x

Keywords

  • Cowden syndrome
  • Arterial venous malformations
  • Gastrointestinal bleeding
  • Gastrointestinal polyposis