Skip to main content

Living donor liver transplantation for Budd–Chiari syndrome with hepatic inferior vena cava obstruction after open pericardial procedures

Abstract

Living donor liver transplantation (LDLT) for Budd–Chiari syndrome (BCS) presents a unique challenge as it does not involve replacement of the hepatic inferior vena cava (IVC). We report a case of successful LDLT in a patient with BCS associated with occlusion of the hepatic veins as well as the IVC. A 34-year-old woman with a history of two open pericardial procedures had decompensated liver failure and portal hypertension. Venography showed complete obstruction of the hepatic IVC and well-developed collateral vessels. We performed LDLT via sternotomy and laparotomy, with an end-to-end anastomosis between the left hepatic vein of the donor and the patient’s suprahepatic vena cava in the pericardium. The patient recovered uneventfully and has been doing well for 5 years. LDLT without caval replacement for BCS in a patient with hepatic IVC obstruction is feasible if the patient has good functional collaterals before liver transplantation.

This is a preview of subscription content, access via your institution.

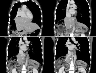
Fig. 1
Fig. 2
Fig. 3
Fig. 4

Abbreviations

BCS:

Budd–Chiari syndrome

LDLT:

Living donor liver transplantation

IVC:

Inferior vena cava

MELD:

Model for end-stage liver disease

PSVT:

Paroxysmal supraventricular tachycardia

PTFE:

Polytetrafluoroethylene

References

  1. DeLeve LD, Valla DC, Garcia-Tsao G. Vascular disorders of the liver. Hepatology. 2009;49:1729–64.

    PubMed  Article  CAS  Google Scholar 

  2. Yamada T, Tanaka K, Ogura Y, et al. Surgical techniques and long-term outcomes of living donor liver transplantation for Budd–Chiari syndrome. Am J Transplant. 2006;6:2463–9.

    PubMed  Article  CAS  Google Scholar 

  3. Soyama A, Eguchi S, Yanaga K, Takatsuki M, Hidaka M, Kanematsu T. Living donor liver transplantation with extensive caval thrombectomy for acute-on-chronic Budd–Chiari syndrome. Surg Today. 2011;41:1026–8.

    PubMed  Article  Google Scholar 

  4. Koja K, Kusaba A, Kuniyoshi Y, Iha K, Akasaki M, Miyagi K. Radical open endvenectomy with autologous pericardial patch graft for correction of Budd–Chiari syndrome. Cardiovasc Surg. 1996;4:500–4.

    PubMed  Article  CAS  Google Scholar 

  5. Cameron JL, Maddrey WC. Mesoatrial shunt: a new treatment for the Budd–Chiari syndrome. Ann Surg. 1978;187:402–6.

    PubMed  Article  CAS  Google Scholar 

  6. Burtch GD, Merion RM. Transdiaphragmatic exposure for direct atrial-caval anastomosis in liver transplantation for Budd–Chiari syndrome. Transplantation. 1989;48:161–3.

    PubMed  Article  CAS  Google Scholar 

  7. Carrel T, Decurtins M, Laske A, et al. Liver transplantation with atrioatrial anastomosis for Budd–Chiari syndrome. Ann Thorac Surg. 1990;50:658–60.

    PubMed  Article  CAS  Google Scholar 

  8. Carrel T, Schlumpf R, Lagardier F, Turina M. Sterno-laparotomy and extracorporeal circulation for liver transplantation after repeat-surgery for Budd–Chiari syndrome. Scand J Thorac Cardiovasc Surg. 1996;30:49–51.

    PubMed  Article  CAS  Google Scholar 

  9. Ravaioli M, Cescon M, Mikus E, et al. Liver and partial atrium transplantation for chronic Budd–Chiari syndrome. Liver Transpl. 2007;13:1758–9.

    PubMed  Article  Google Scholar 

  10. Gladstone RJ. A case in which the right ureter passed behind the inferior vena cava: with a short note upon a case in which the left renal vein passed behind the abdominal aorta, and the bearing of these abnormalities on the development of the abdominal veins. J Anat Physiol. 1911;45:225–31.

    PubMed  CAS  Google Scholar 

  11. Kubo S, Ichikawa T, Takemura S, et al. Reconstruction of hepatic veins by anastomosis with suprahepatic IVC in the posterior mediastinum in living donor liver transplantation for Budd–Chiari syndrome. Hepatogastroenterology. 2009;56:1521–4.

    PubMed  Google Scholar 

  12. Hardwigsen J, Baque P, Crespy B, Moutardier V, Delpero JR, Le Treut YP. Resection of the inferior vena cava for neoplasms with or without prosthetic replacement: a 14-patient series. Ann Surg. 2001;233:242–9.

    PubMed  Article  CAS  Google Scholar 

  13. Raju S, Hollis K, Neglen P. Obstructive lesions of the inferior vena cava: clinical features and endovenous treatment. J Vasc Surg. 2006;44:820–7.

    PubMed  Article  Google Scholar 

  14. Warwick R, Williams PL, editors. Gray’s anatomy. Philadelphia: WB Saunders; 1973. p. 164–7.

    Google Scholar 

  15. Gladstone RJ. Development of the inferior vena cava in the light of recent research, with especial reference to certain abnormalities, and current descriptions of the ascending lumbar and azygos veins. J Anat. 1929;64:70–93.

    PubMed  CAS  Google Scholar 

  16. Raju S, Fredericks R. Venous obstruction: an analysis of one hundred thirty-seven cases with hemodynamic, venographic, and clinical correlations. J Vasc Surg. 1991;14:305–13.

    PubMed  Article  CAS  Google Scholar 

  17. Huguet C, Ferri M, Gavelli A. Resection of the suprarenal inferior vena cava. The role of prosthetic replacement. Arch Surg. 1995;130:793–7.

    PubMed  Article  CAS  Google Scholar 

  18. Duckett JW Jr, Lifland JH, Peters PC. Resection of the inferior vena cava for adjacent malignant diseases. Surg Gynecol Obstet. 1973;136:711–6.

    PubMed  Google Scholar 

Download references

Conflict of interest

Akinari Fukuda and his co-authors have no conflict of interest.

Author information

Affiliations

Authors

Corresponding author

Correspondence to Akinari Fukuda.

Rights and permissions

Reprints and Permissions

About this article

Cite this article

Fukuda, A., Ogura, Y., Kanazawa, H. et al. Living donor liver transplantation for Budd–Chiari syndrome with hepatic inferior vena cava obstruction after open pericardial procedures. Surg Today 43, 1180–1184 (2013). https://doi.org/10.1007/s00595-012-0440-1

Download citation

  • Received:

  • Accepted:

  • Published:

  • Issue Date:

  • DOI: https://doi.org/10.1007/s00595-012-0440-1

Keywords

  • Living donor liver transplantation
  • Budd–Chiari syndrome
  • Inferior vena cava obstruction
  • Endvenectomy
  • Mesoatrial shunt