Skip to main content

Successful laparoscopic division of a patent ductus venosus: report of a case

Abstract

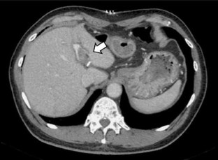
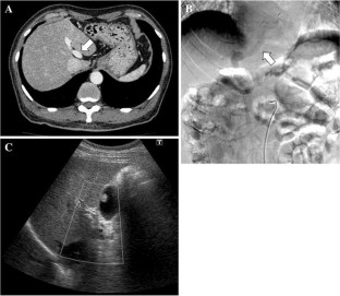
Patent ductus venosus (PDV) is a rare condition of a congenital portosystemic shunt from the umbilical vein to the inferior vena cava. This report presents the case of an adult patient with PDV, who was successfully treated with laparoscopic shunt division. A 69-year-old male was referred with hepatic encephalopathy. Contrast-enhanced CT revealed a large connection between the left portal vein and the inferior vena cava, which was diagnosed as PDV. The safety of a shunt disconnection was confirmed using a temporary balloon occlusion test for the shunt, and the shunt division was performed laparoscopically. The shunt was carefully separated from the liver parenchyma with relative ease, and then divided using a vascular stapler. Portal flow was markedly increased after the operation, and the liver function of the patient improved over the 3-month period after surgery. Although careful interventional evaluation for portal flow is absolutely imperative prior to surgery, a minimally invasive laparoscopic approach can be safely used for treating PDV.

This is a preview of subscription content, access via your institution.

Fig. 1
Fig. 2
Fig. 3
Fig. 4
Fig. 5

References

  1. Ikeda S, Yamaguchi Y, Sera Y, Ohshiro H, Uchino S, Ogawa M. Surgical correction of patent ductus venosus in three brothers. Dig Dis Sci. 1999;44:582–9.

    PubMed  Article  CAS  Google Scholar 

  2. Cho YK, Chang NK, Ma JS. Successful transcatheter closure of a large patent ductus venosus with the Amplatzer vascular plug II. Pediatr Cardiol. 2009;30:540–2.

    PubMed  Article  CAS  Google Scholar 

  3. Merkle EM, Gilkeson RC. Remnants of fetal circulation: appearance on MDCT in adults. Am J Roentgenol. 2005;185(2):541–9.

    Article  Google Scholar 

  4. Fugelseth D, Lindemann R, Liestol K, Kiserud T, Langslet A. Ultrasonographic study of ductus venosus in healthy neonates. Arch Dis Child Fetal Neonatal Ed. 1997;77(2):F131–4.

    PubMed  Article  CAS  Google Scholar 

  5. Stringer MD. The clinical anatomy of congenital portosystemic venous shunts. Clin Anat. 2008;21(2):147–57.

    PubMed  Article  Google Scholar 

  6. Araki T, Kamada M, Okamoto Y, Arai S, Oba O. Coil embolization of a patent ductus venosus in a 52-day-old girl with congenital heart disease. Ann Thorac Surg. 2003;75:273–5.

    PubMed  Article  Google Scholar 

  7. Araki T, Konishi T, Yasuda S, Osada T, Araki T. Embolization of the patent ductus venosus in an adult patient. AJR Am J Roentgenol. 2003;180:716–8.

    PubMed  Article  Google Scholar 

  8. Shen B, Younossi ZM, Dolmatch B, Newman JS, Henderson JM, Ong JP, et al. Patent ductus venosus in an adult presenting as pulmonary hypertension, right-sided heart failure, and portosystemic encephalopathy. Am J Med. 2001;110:657–60.

    PubMed  Article  CAS  Google Scholar 

  9. Kamimatsuse A, Onitake Y, Kamei N, Tajima G, Sakura N, Sueda T, et al. Surgical intervention for patent ductus venosus. Pediatr Surg Int. 2010;26:1025–30.

    PubMed  Article  Google Scholar 

  10. Yoshimoto Y, Shimizu R, Saeki T, Harada T, Sugio Y, Nomura S, et al. Patent ductus venosus in children: a case report and review of the literature. J Pediatr Surg. 2004;39:E1–5.

    PubMed  Article  Google Scholar 

  11. Raskin NH, Price JB, Fishman RA. Portal-systemic encephalopathy due to congenital intrahepatic shunts. N Engl J Med. 1964;270:225–9.

    PubMed  Article  CAS  Google Scholar 

  12. Barsky MF, Rankin RN, Wall WJ, Ghent CN, Garcia B. Patent ductus venosus: problems in assessment and management. Can J Surg. 1989;32(4):271–5.

    PubMed  CAS  Google Scholar 

  13. Kimura T, Soh H, Hasegawa T, Sasaki T, Kuroda S, Yuri E, et al. Laparoscopic correction of congenital portosystemic shunt in children. Surg Laparosc Endosc Percutan Tech. 2004;14:285–8.

    PubMed  Article  Google Scholar 

  14. Nii A, Takehara HO, Kuyama H, Shimada M. Successful preemptive surgical division of type 2-congenital extrahepatic portosystemic shunt in children. J Med Invest. 2009;56:49–54.

    PubMed  Article  Google Scholar 

  15. Yagi H, Takada Y, Fujimoto Y, Ogura Y, Kozaki K, Ueda M, et al. Successful surgical ligation under intraoperative portal vein pressure monitoring of a large portosystemic shunt presenting as an intrapulmonary shunt: report of a case. Surg Today. 2004;34:1049–52.

    PubMed  Article  Google Scholar 

  16. Sato Y, Mitsuma C, Iwaya A, Kurosaki I, Shirai Y, Hatakeyama K. Resection of spleno-renal shunt resulting in enhanced liver volume in a patient with congenital portosystemic shunt concomitant with early gastric cancer. Review of Japanese cases. Dig Surg. 2001;18:74–8.

    PubMed  Article  CAS  Google Scholar 

  17. Kinjo N, Kawanaka H, Akahoshi T, Tomikawa M, Yamashita N, Konishi K, et al. Risk factors for portal venous thrombosis after splenectomy in patients with cirrhosis and portal hypertension. Br J Surg. 2010;97:910–6.

    PubMed  Article  CAS  Google Scholar 

Download references

Conflict of interest

Y. Hara and the other co-authors have no conflict of interest to declare.

Author information

Affiliations

Authors

Corresponding author

Correspondence to Yoshiaki Hara.

Rights and permissions

Reprints and Permissions

About this article

Cite this article

Hara, Y., Sato, Y., Yamamoto, S. et al. Successful laparoscopic division of a patent ductus venosus: report of a case. Surg Today 43, 434–438 (2013). https://doi.org/10.1007/s00595-012-0316-4

Download citation

  • Received:

  • Accepted:

  • Published:

  • Issue Date:

  • DOI: https://doi.org/10.1007/s00595-012-0316-4

Keywords

  • Patent ductus venosus
  • Laparoscopic surgery
  • Portosystemic shunt division