Skip to main content

Reconstruction of the proximal femur with a modular resection prosthesis

Abstract

Background

Various megaprostheses are currently available for reconstruction of the proximal femur after tumor resection. This study evaluates the survival and complications of a modular megaprosthesis for reconstruction of the proximal femur.

Materials and methods

We studied the medical files of 109 tumor patients (age range 16–86 years) who underwent proximal femoral reconstruction with the MRP® megaprosthesis from 2002 to 2011. There were 70 patients with metastases, 34 patients with bone sarcomas, and five patients with hematological malignancies; 82 were primary and 27 were revision reconstructions. Mean follow-up was 2.5 years; 31 patients had a minimum five-year follow-up. We evaluated the survival and function of the patients, and the survival and complications of the megaprostheses.

Results

Survival was significantly higher for the patients with bone sarcomas compared to those with metastases and hematological malignancies. Mean MSTS functional score was similar between patients with bone sarcomas and those with hematological malignancies and metastases, and between patients with primary and those with revision reconstructions. Overall survival of the MRP® megaprostheses was 74 % at 5 and 9 years. Fourteen (13.6 %) major complications occurred at a mean period of 1.4 years (range 3 months to 4.5 years); these included infection (5.8 %), dislocation (3.9 %), local recurrence (2.9 %), and acetabular fracture (1 %).

Conclusion

MRP® megaprostheses are a valuable reconstruction option after tumor resection of the proximal femur.

This is a preview of subscription content, access via your institution.

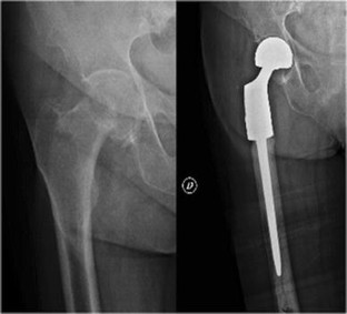
Fig. 1
Fig. 2
Fig. 3

References

  1. Chandrasekar CR, Grimer RJ, Carter SR, Tillman RM, Abudu AT, Jeys LM (2011) Outcome of pathologic fractures of the proximal femur in nonosteogenic primary bone sarcoma. Eur J Surg Oncol 37(6):532–536

    CAS  Article  PubMed  Google Scholar 

  2. Damron TA, Sim FH (2000) Surgical treatment for metastatic disease of the pelvis and the proximal end of the femur. Instr Course Lect 49:461–470

    CAS  PubMed  Google Scholar 

  3. Papagelopoulos PJ, Mavrogenis AF, Savvidou OD, Benetos IS, Galanis EC, Soucacos PN (2008) Pathological fractures in primary bone sarcomas. Injury 39(4):395–403

    Article  PubMed  Google Scholar 

  4. Ruggieri P, Mavrogenis AF, Casadei R, Errani C, Angelini A, Calabro T, Pala E, Mercuri M (2010) Protocol of surgical treatment of long bone pathological fractures. Injury 41(11):1161–1167

    Article  PubMed  Google Scholar 

  5. Ahlmann ER, Menendez LR, Kermani C, Gotha H (2006) Survivorship and clinical outcome of modular endoprosthetic reconstruction for neoplastic disease of the lower limb. J Bone Joint Surg Br 88(6):790–795

    CAS  Article  PubMed  Google Scholar 

  6. Bernthal NM, Schwartz AJ, Oakes DA, Kabo JM, Eckardt JJ (2010) How long do endoprosthetic reconstructions for proximal femoral tumors last? Clin Orthop Relat Res 468(11):2867–2874

    Article  PubMed  PubMed Central  Google Scholar 

  7. Kabukcuoglu Y, Grimer RJ, Tillman RM, Carter SR (1999) Endoprosthetic replacement for primary malignant tumors of the proximal femur. Clin Orthop Relat Res 358:8–14

    PubMed  Google Scholar 

  8. Menendez LR, Ahlmann ER, Kermani C, Gotha H (2006) Endoprosthetic reconstruction for neoplasms of the proximal femur. Clin Orthop Relat Res 450:46–51

    Article  PubMed  Google Scholar 

  9. Sharma S, Turcotte RE, Isler MH, Wong C (2007) Experience with cemented large segment endoprostheses for tumors. Clin Orthop Relat Res 459:54–59

    Article  PubMed  Google Scholar 

  10. Winkelmann W (2010) Reconstruction of the proximal femur with the MUTARS(R) system. Orthopade 39(10):942–948

    CAS  Article  PubMed  Google Scholar 

  11. Chandrasekar CR, Grimer RJ, Carter SR, Tillman RM, Abudu A, Buckley L (2009) Modular endoprosthetic replacement for tumours of the proximal femur. J Bone Joint Surg Br 91(1):108–112

    CAS  Article  PubMed  Google Scholar 

  12. Chandrasekar CR, Grimer RJ, Carter SR, Tillman RM, Abudu AT (2008) Modular endoprosthetic replacement for metastatic tumours of the proximal femur. J Orthop Surg Res 3:50

    Article  PubMed  PubMed Central  Google Scholar 

  13. Harvey N, Ahlmann ER, Allison DC, Wang L, Menendez LR (2012) Endoprostheses last longer than intramedullary devices in proximal femur metastases. Clin Orthop Relat Res 470(3):684–691

    Article  PubMed  PubMed Central  Google Scholar 

  14. Jacofsky DJ, Haidukewych GJ, Zhang H, Sim FH (2004) Complications and results of arthroplasty for salvage of failed treatment of malignant pathologic fractures of the hip. Clin Orthop Relat Res 427:52–56

    Article  PubMed  Google Scholar 

  15. Potter BK, Chow VE, Adams SC, Letson GD, Temple HT (2009) Endoprosthetic proximal femur replacement: metastatic versus primary tumors. Surg Oncol 18(4):343–349

    Article  PubMed  Google Scholar 

  16. Steensma M, Boland PJ, Morris CD, Athanasian E, Healey JH (2012) Endoprosthetic treatment is more durable for pathologic proximal femur fractures. Clin Orthop Relat Res 470(3):920–926

    Article  PubMed  PubMed Central  Google Scholar 

  17. Ashford RU, Hanna SA, Park DH, Pollock RC, Skinner JA, Briggs TW, Cannon SR (2010) Proximal femoral replacements for metastatic bone disease: financial implications for sarcoma units. Int Orthop 34(5):709–713

    Article  PubMed  PubMed Central  Google Scholar 

  18. Henderson ER, Groundland JS, Pala E, Dennis JA, Wooten R, Cheong D, Windhager R, Kotz RI, Mercuri M, Funovics PT, Hornicek FJ, Temple HT, Ruggieri P, Letson GD (2011) Failure mode classification for tumor endoprostheses: retrospective review of five institutions and a literature review. J Bone Joint Surg Am 93(5):418–429

    Article  PubMed  Google Scholar 

  19. Enneking WF, Spanier SS, Goodman MA (1980) A system for the surgical staging of musculoskeletal sarcoma. Clin Orthop Relat Res 153:106–120

    PubMed  Google Scholar 

  20. Pala E, Mavrogenis AF, Angelini A, Henderson ER, Douglas Letson G, Ruggieri P (2013) Cemented versus cementless endoprostheses for lower limb salvage surgery. J BUON 18(2):496–503

    CAS  PubMed  Google Scholar 

  21. Enneking WF, Dunham W, Gebhardt MC, Malawar M, Pritchard DJ (1993) A system for the functional evaluation of reconstructive procedures after surgical treatment of tumors of the musculoskeletal system. Clin Orthop Relat Res 286:241–246

    PubMed  Google Scholar 

  22. Farid Y, Lin PP, Lewis VO, Yasko AW (2006) Endoprosthetic and allograft-prosthetic composite reconstruction of the proximal femur for bone neoplasms. Clin Orthop Relat Res 442:223–229

    Article  PubMed  Google Scholar 

  23. Gosheger G, Gebert C, Ahrens H, Streitbuerger A, Winkelmann W, Hardes J (2006) Endoprosthetic reconstruction in 250 patients with sarcoma. Clin Orthop Relat Res 450:164–171

    Article  PubMed  Google Scholar 

  24. Finstein JL, King JJ, Fox EJ, Ogilvie CM, Lackman RD (2007) Bipolar proximal femoral replacement prostheses for musculoskeletal neoplasms. Clin Orthop Relat Res 459:66–75

    Article  PubMed  Google Scholar 

  25. Manoso MW, Frassica DA, Lietman ES, Frassica FJ (2007) Proximal femoral replacement for metastatic bone disease. Orthopedics 30(5):384–388

    PubMed  Google Scholar 

  26. Mittermayer F, Krepler P, Dominkus M, Schwameis E, Sluga M, Heinzl H, Kotz R (2001) Long-term followup of uncemented tumor endoprostheses for the lower extremity. Clin Orthop Relat Res 388:167–177

    Article  PubMed  Google Scholar 

  27. Zeegen EN, Aponte-Tinao LA, Hornicek FJ, Gebhardt MC, Mankin HJ (2004) Survivorship analysis of 141 modular metallic endoprostheses at early followup. Clin Orthop Relat Res 420:239–250

    Article  PubMed  Google Scholar 

  28. Rack H, Qazi JI (2006) Titanium alloys for biomedical applications. Mater Sci Eng C 26(8):1269–1277

    CAS  Article  Google Scholar 

  29. Ogilvie CM, Wunder JS, Ferguson PC, Griffin AM, Bell RS (2004) Functional outcome of endoprosthetic proximal femoral replacement. Clin Orthop Relat Res 426:44–48

    Article  PubMed  Google Scholar 

  30. Gosheger G, Hillmann A, Lindner N, Rodl R, Hoffmann C, Burger H, Winkelmann W (2001) Soft tissue reconstruction of megaprostheses using a trevira tube. Clin Orthop Relat Res 393:264–271

    Article  PubMed  Google Scholar 

  31. Chandrasekar CR, Grimer RJ, Carter SR, Tillman RM, Abudu A, Jeys LM (2009) Unipolar proximal femoral endoprosthetic replacement for tumour: the risk of revision in young patients. J Bone Joint Surg Br 91(3):401–404

    CAS  Article  PubMed  Google Scholar 

  32. Unwin PS, Cannon SR, Grimer RJ, Kemp HB, Sneath RS, Walker PS (1996) Aseptic loosening in cemented custom-made prosthetic replacements for bone tumours of the lower limb. J Bone Joint Surg Br 78(1):5–13

    CAS  PubMed  Google Scholar 

  33. Mavrogenis AF, Pala E, Angelini A, Calabro T, Romagnoli C, Romantini M, Drago G, Ruggieri P (2015) Infected prostheses after lower-extremity bone tumor resection: clinical outcomes of 100 patients. Surg Infect (Larchmt) 16(3):267–275

    Article  Google Scholar 

  34. Mavrogenis AF, Papagelopoulos PJ, Coll-Mesa L, Pala E, Guerra G, Ruggieri P (2011) Infected tumor prostheses. Orthopedics 34(12):991–1000

    Article  PubMed  Google Scholar 

  35. Mavrogenis AF, Ruggieri P, Mercuri M, Papagelopoulos PJ (2008) Megaprosthetic reconstruction for malignant bone tumors: complications and outcomes. J Long Term Eff Med Implants 18(3):239–251

    Article  PubMed  Google Scholar 

  36. Mavrogenis AF, Mitsiokapa EA, Sakellariou VI, Tzanos G, Papagelopoulos PJ (2011) Functional and radiographic outcome after tumor limb salvage surgery using STANMORE megaprostheses. J BUON 16(2):353–360

    CAS  PubMed  Google Scholar 

Download references

Author information

Affiliations

Authors

Corresponding author

Correspondence to Pietro Ruggieri.

Ethics declarations

Conflict of interest

All authors declare that they have no conflict of interest.

Ethical approval

All procedures performed in studies involving human participants were in accordance with the ethical standards of the Institutional and/or National Research Committee and with the 1964 Declaration of Helsinki and its later amendments or comparable ethical standards.

Informed consent

Informed consent was obtained from all individual participants included in the study.

Rights and permissions

Reprints and Permissions

About this article

Verify currency and authenticity via CrossMark

Cite this article

Calabró, T., Van Rooyen, R., Piraino, I. et al. Reconstruction of the proximal femur with a modular resection prosthesis. Eur J Orthop Surg Traumatol 26, 415–421 (2016). https://doi.org/10.1007/s00590-016-1764-0

Download citation

  • Received:

  • Accepted:

  • Published:

  • Issue Date:

  • DOI: https://doi.org/10.1007/s00590-016-1764-0

Keywords

  • Limb salvage
  • Proximal femur
  • Megaprosthetic reconstruction
  • MRP®