Skip to main content

Histological evaluation after arthroscopic reconstruction of the shoulder using a polytetrafluoroethylene patch for massive rotator cuff tears

Abstract

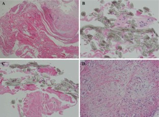
An artificial patch can be used in open and arthroscopic surgery in a massive rotator cuff tear but there is no evidence of biological attachment between the artificial patch and the cuff or bone tissue. We used an artificial polytetrafluoroethylene (PTFE) patch for the arthroscopic treatment for a massive rotator cuff tear. One year after surgery, we could undertake second-look arthroscopy to evaluate whether the PTFE patch was attached to cuff tissue and humeral bone with regard to histological features. We found a tight connection between the PTFE patch and bone, and also recognized smooth attachment to cuff tissue without proliferation of inflammatory cells in the synovium. We assessed the outcome of surgery using the American Shoulder and Elbow Surgeons (ASES) scale and range of motion before and after surgery: A score of 24 before surgery improved to 75 after surgery. MRI after surgery showed continuous low intensity from the PTFE patch to cuff and bone. This is the first report to describe the histological findings of PTFE patch reconstruction of massive rotator cuff tear after 1 year: A major biological reaction was not observed in this respect.

This is a preview of subscription content, access via your institution.

Fig. 1
Fig. 2

References

  1. Ahlfeld SK, Larson RL, Collins HR (1987) Anterior cruciate reconstruction in the chronically unstable knee using an expanded polytetrafluoroethylene (PTFE) prosthetic ligament. Am J Sports Med 15:326–330

    PubMed  Article  CAS  Google Scholar 

  2. O’Brien TP, Walsh MT, Kavanagh EG, Finn SP, Grace PA, McGloughlin TM (2007) Surgical feasibility study of a novel polytetrafluoroethylene graft design for the treatment of peripheral arterial disease. Ann Vasc Surg 21:611–617

    PubMed  Article  Google Scholar 

  3. Gertsman GM, Khan M, Hammerman SM (1998) Arthroscopic repair of full-thickness tears of the rotator cuff. J Bone Joint Surg Am 80:832–840

    Google Scholar 

  4. Burkhart SS, Danaceau SM, Pearce CE (2001) Arthroscopic rotator cuff repair: analysis of results by tear size and by repair technique-margin convergence versus direct tendon-to-bone repair. Arthroscopy 17:905–912

    PubMed  Article  CAS  Google Scholar 

  5. Gerber C, Fuchs B, Holder J (2000) The results of repair of massive tears of the rotator cuff. J Bone Joint Surg Am 82:505–515

    Google Scholar 

  6. Harryman DT, Mack LA, Wang KJ, Jackins SE, Richardson ML, Matsen FA (1991) Repairs of the rotator cuff. correlation of functional results with the integrity of the cuff. J Bone Joint Surg Am 73:982–989

    PubMed  Google Scholar 

  7. Cofield RH (1985) Current concepts review. rotator cuff disease of the shoulder. J Bone Joint Surg Am 67:974–979

    PubMed  CAS  Google Scholar 

  8. Worland RL, Arrendo J, Angles F, Lopez-Jimenez F (1999) Repair of massive rotator cuff tears in patients older than 70 years. J Should Elb Surg 8:26–30

    Article  CAS  Google Scholar 

  9. Jost B, Pfirrmann CWA, Gerber C (2000) Clinical outcome after structural failure of rotator cuff repairs. J Bone Joint Surg Am 82:304–314

    PubMed  Article  CAS  Google Scholar 

  10. Rockwood CA, Williams GR Jr, Burkhead WZ Jr (1995) Debridement of degenerative, irreparable lesions of the rotator cuff. J Bone Joint Surg Am 77:857–866

    PubMed  Google Scholar 

  11. Wiley AM (1991) Superior humeral dislocation: a complication following decompression and debridement for rotator cuff tears. Clin Orthop 263:135–141

    PubMed  Google Scholar 

  12. Yamaguchi K, Flatow EL (1995) Arthroscopic evaluation and treatment of the rotator cuff. Orthop Clin North Am 26:643–659

    PubMed  CAS  Google Scholar 

  13. Ozaki J, Fujimoto S, Masahara K, Tamai S, Yoshimoto S (1986) Reconstruction of chronic massive rotator cuff tears with synthetic materials. Clin Orthop 202:173–183

    PubMed  Google Scholar 

  14. Hirooka A, Yoneda M, Wakitani S, Isaka Y, Hayashida K, Fukushima S, Okamura K (2002) Augmentation with a Gore-Tex patch for repair of large rotator cuff tears that cannot be sutured. J Orthop Sci 7:451–456

    PubMed  Article  Google Scholar 

  15. Kimura A, Aoki M, Fukushima S, Ishii S, Yamakoshi K (2003) Reconstruction of a defect of the rotator cuff with polytetrafluoroethylene felt graft; recovery of tensile strength and histocompatibility in an animal model. J Bone Joint Surg 85:282–287

    Article  CAS  Google Scholar 

Download references

Conflict of interest

No funds were received in support of this study. No benefits in any form have been or will be received from a commercial party related directly or indirectly to the subject of this manuscript.

Author information

Affiliations

Authors

Corresponding author

Correspondence to Katsuaki Kanbe.

Rights and permissions

Reprints and Permissions

About this article

Cite this article

Kanbe, K., Chiba, J. & Nakamura, A. Histological evaluation after arthroscopic reconstruction of the shoulder using a polytetrafluoroethylene patch for massive rotator cuff tears. Eur J Orthop Surg Traumatol 23, 183–187 (2013). https://doi.org/10.1007/s00590-012-1134-5

Download citation

  • Received:

  • Accepted:

  • Published:

  • Issue Date:

  • DOI: https://doi.org/10.1007/s00590-012-1134-5

Keywords

  • Rotator cuff tear
  • Massive
  • PTFE
  • Arthroscopy
  • Histology