Skip to main content

Ιnflammatory or septic arthritis associated with mycoplasma pneumonia in children: Two case reports and review of the literature

Abstract

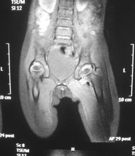
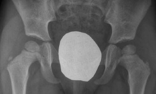
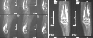
Inflammatory or septic arthritis due to Mp is an extremely unusual manifestation in children, and the functional outcome of the joints is difficult to be predicted. Two cases with Mp infection are presented. The first patient had positive PCR for Mp after hip aspiration and arthrotomy with thorough irrigation and debridement. A flattened femoral head was detected during the follow-up, which became quite spherical a year after. An arthrotomy with medial synovectomy of the knee was performed in the second patient. Lack of full knee extension was presented during the first 3 months, which gradually decreased to 7° in the final follow-up. The suspicion of Mp infection with extra-pulmonary involvement in children is mainly based on clinical, epidemiological and radiological data, but laboratory testing is required for confirmation. Rapid diagnosis of probability consists of serum tests, and their results are essential for early therapeutic planning. The direct diagnosis of Mp DNA through polymerase chain reaction (PCR) provides specificity and sensitivity. Very few cases of arthritis associated with Mp infection have been published but not with the severity of our cases. Clinical suspicion of Mp infection is of great importance, and the outcome depends on early diagnosis and specific treatment.

This is a preview of subscription content, access via your institution.

Fig. 1
Fig. 2
Fig. 3
Fig. 4
Fig. 5
Fig. 6
Fig. 7
Fig. 8
Fig. 9

References

  1. Foy H (1993) Infections caused by Mycoplasma pneumonia and possible carrier state in different populations of patients. Clin Infect Dis 17(suppl 1):S37–S46

    PubMed  Article  Google Scholar 

  2. Principi N, Eposito S, Blasi F, Allegra L (2001) Role of Mycoplasma pneumonia and Chlamydia pneumonia in children with community-acquired lower respiratory tract infections. Clin Infect Dis 32:1281–1289

    PubMed  Article  CAS  Google Scholar 

  3. Koskiniemi M (1993) CNS manifestations associated with Mycoplasma pneumonia infections; summary of cases at the University of Helsinki and review. Clin Infect Dis 17(suppl 1):S52–S57

    PubMed  Article  Google Scholar 

  4. Bitnum A, Ford-Jones EL, Petric M, MacGregor D, Heurter H, Nelson S, Johnson G, Richardson S (2001) Acute childhood encephalitis and Mycoplasma pneumonia. Clin Infect Dis 32:1674–1684

    Article  Google Scholar 

  5. Poggio TV, Orlando N, Galanternik L, Grinstein S (1998) Microbiology of acute arthropathies among children in Argentina. Mycoplasma pneumonia and hominis and ureoplasma urealyticum. Pediatr Infect Dis 17:304–308

    Article  CAS  Google Scholar 

  6. Berger RP, Wadowksy RM (2000) Rhabdomyolysis associated with infection by Mycoplasma pneumonia: a case report. Paediatrics 105(2):433–436

    Article  CAS  Google Scholar 

  7. Garcia-De La Torre I (2000) Advances in the management of septic arthritis. Infect Dis Clin N Am 20:773–788

    Article  Google Scholar 

  8. Goldenberg DL (1998) Septic arthritis. Lancet 351:197–202

    PubMed  Article  CAS  Google Scholar 

  9. Deng GM, Nilsson IM, Verdrengh M, Collins LV, Tarkowski A (1995) Intra-articularly localized bacterial DNA containing CpG motifs induces arthritis. Nat Med 5:702–705

    Article  Google Scholar 

  10. Kaandorp CJ, Krijnen P, Moens HJ, Habbema JD, van Schaardenburg D (1997) The outcome of bacterial arthritis: a prospective community-based study. Arthritis Rheum 40:884–892

    PubMed  Article  CAS  Google Scholar 

  11. Azumagawa K, Kambara Y, Murata T, Tamai H (2008) Four cases of arthritis associated with Mycoplasma pneumonia. Pediatr Int 50:511–513

    PubMed  Article  Google Scholar 

  12. Timitilli A, Di Rocco M, Nattero G, Tachella A, Giacchino R (2004) Unusual manifestations of infections due to Mycoplasma pneumonia in children. Infez Med 12(2):113–117

    PubMed  Google Scholar 

  13. Ali NJ, Sillis M, Andrews BE, Jenkins PF, Harrison BD (1986) The clinical spectrum and diagnosis of Mycoplasma pneumonia infection. Q J Med 227:241–251

    Google Scholar 

  14. Ponka A (1979) Arthritis associated with Mycoplasma pneumonia infection. Scand J Rheumatol 8:27–32

    PubMed  CAS  Google Scholar 

  15. Principi N, Esposito S (2001) Emerging role of Mycoplasma pneumonia and Chlamidia pneumonia in paediatric respiratory-tract infections. J Infect Dis 1:334–344

    CAS  Google Scholar 

  16. Sakurai N, Nagayama Y, Honda A, Makuta M, Yamamoto K, Kojima S (1998) Mycoplasma pneumonia and other pathogens in the aetiology of lower respiratory infections among Japanese children. J Infect 16:253–261

    Article  Google Scholar 

  17. Nagayama Y, Sakurai N, Yamamoto K, Honda A, Makuta M, Suzuki R (1988) Isolation of Mycoplasma pneumonia from children with lower respiratory-tract infections. J Infect Dis 157:911–917

    PubMed  Article  CAS  Google Scholar 

Download references

Conflict of interest

No benefits or funds were received in support of this study. The authors declare that they have no competing interests.

Author information

Affiliations

Authors

Corresponding author

Correspondence to Maria Vlachou.

Rights and permissions

Reprints and Permissions

About this article

Cite this article

Vlachou, M., Dialyna, P., Bartsocas, C. et al. Ιnflammatory or septic arthritis associated with mycoplasma pneumonia in children: Two case reports and review of the literature. Eur J Orthop Surg Traumatol 22, 721–726 (2012). https://doi.org/10.1007/s00590-011-0894-7

Download citation

  • Received:

  • Accepted:

  • Published:

  • Issue Date:

  • DOI: https://doi.org/10.1007/s00590-011-0894-7

Keywords

  • Septic
  • Arthritis
  • Pneumonia
  • Mycoplasma