Skip to main content

The etiology of congenital scoliosis: genetic vs. environmental—a report of three monozygotic twin cases

Abstract

Purpose

To describe the presence of congenital scoliosis in a genetically identical population as it relates to the possible genetic vs. environmental etiologic factors.

Methods

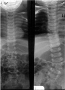
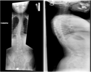
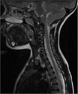
The authors describe three cases of congenital scoliosis in monozygotic twins. The first pair includes two 4-year-old girls presenting with mirror curves, one of whom had an associated stage I Chiari malformation. The second pair is a 4-year-old girl who presented with thoracic scoliosis, a T10–11 hemivertebra, and multilevel failure of segmentation in the lumbar spine whose identical sibling is unaffected. The third pair includes a 4-month-old boy with T9 and L4 hemivertebra whose brother is also unaffected.

Results

All three cases were managed conservatively with observation and remained asymptomatic throughout the duration of follow-up. There were no associations with extraspinal deformities, although one patient presented with concomitant type I Chiari malformation.

Conclusion

The variable presentation of congenital scoliosis in a genetically unique population serves as testament to the complexity associated with its development, likely involving both environmental factors and a genetic predisposition.

This is a preview of subscription content, access via your institution.

Fig. 1
Fig. 2
Fig. 3
Fig. 4
Fig. 5
Fig. 6
Fig. 7
Fig. 8
Fig. 9

References

  1. Giampietro PF, Blank RD, Raggio CL et al (2003) Congenital and idiopathic scoliosis: clinical and genetic aspects. Clin Med Res 1:125–136

    Article  PubMed  PubMed Central  Google Scholar 

  2. Arlet V, Odent T, Aebi M (2003) Congenital scoliosis. Eur Spine J 12:456–463

    Article  PubMed  PubMed Central  CAS  Google Scholar 

  3. Tanaka T, Uhthoff HK (1981) Significance of resegmentation in the pathogenesis of vertebral body malformation. Acta Orthop Scand 52:331–338

    Article  PubMed  CAS  Google Scholar 

  4. Pool RD (1986) Congenital scoliosis in monozygotic twins. Genetically determined or acquired in utero? J Bone Joint Surg Br 68:194–196

    Article  PubMed  CAS  Google Scholar 

  5. Kaspiris A, Grivas TB, Weiss HR (2008) Congenital scoliosis in monozygotic twins: a case report and review of possible factors contributing to its development. Scoliosis 3:17

    Article  PubMed  PubMed Central  Google Scholar 

  6. Keslin KL, Reinker KA (1997) Scoliosis in twins: a meta-analysis of the literature and report of six cases. Spine 22:2009–2014

    Article  Google Scholar 

  7. Hattaway GL (1977) Congenital scoliosis in one of monozygotic twins. J Bone Joint Surg Am 59:837–838

    Article  PubMed  CAS  Google Scholar 

  8. McKinley LM, Leatherman KD (1978) Idiopathic and congenital scoliosis in twins. Spine 3:227–228

    Article  PubMed  CAS  Google Scholar 

  9. Ogden JA, Southwick WO (1976) Contraposed curve patterns in monozygotic twins. Clin Orthop 116:35–37

    Google Scholar 

  10. Peterson HA, Peterson LF (1967) Hemivertebrae in identical twins with dissimilar spinal columns. J Bone Joint Surg Am 49:938–942

    Article  PubMed  CAS  Google Scholar 

  11. Sturn PF, Chung R, Bomze SR (2001) Hemivertebra in monozygotic twins. Spine 26:1389–1391

    Article  Google Scholar 

  12. Greenwood D, Bogar W (2014) Congenital scoliosis in non-identical twins: case reports and literature review. J Can Chiropr Assoc 58:291–299

    PubMed  PubMed Central  Google Scholar 

  13. Ingalls TH, Curley FJ (1957) Principles governing the genesis of congenital malformations induced in mice by hypoxia. N Engl J Med 257:1121–1127

    Article  PubMed  CAS  Google Scholar 

  14. Loder RT, Hernandez MJ, Lerner AL et al (2000) The induction of congenital spinal deformities in mice by maternal carbon monoxide exposure. J Pediatr Orthop 20:662–666

    Article  PubMed  CAS  Google Scholar 

  15. Farley FA, Loder RT, Nolan BT et al (2001) Mouse model for thoracic congenital scoliosis. J Pediatr Orthop 21:537–540

    PubMed  CAS  Google Scholar 

  16. Ardinger HH, Atkin JF, Blackston RD et al (1988) Verification of the fetal valproate syndrome phenotype. Am J Med Genet 29:171–185

    Article  PubMed  CAS  Google Scholar 

  17. Edwards MJ (1986) Hyperthermia as a teratogen: a review of experimental studies and their clinical significance. Teratog Carcinog Mutagen 6:563–582

    Article  PubMed  CAS  Google Scholar 

  18. Schilgen M, Loeser H (1994) Klippel-Feil anomaly combined with fetal alcohol syndrome. Eur Spine 3:289–290

    Article  CAS  Google Scholar 

  19. Wéry N, Narotsky MG, Pacico N, Kavlock RJ, Picard JJ, Gofflot F (2003) Defects in cervical vertebrae in boric acid-exposed rat embryos are associated with anterior shifts of hox gene expression domains. Birth Defects Res 67:59–67

    Article  CAS  Google Scholar 

  20. Rivard CH, Labelle P, Simoneau R et al (1982) Moderate hypobaric hypoxia used as inducer of congenital vertebral malformation in mouse embryo (author’s transl). Chir Pediatr 23:65–67

    PubMed  CAS  Google Scholar 

  21. Tanaka T, Uhthoff HK (1981) The pathogenesis of congenital vertebral malformations: a study based on observations made in 11 human embryos and fetuses. Acta Orthop Scand 52:413–425

    Article  PubMed  CAS  Google Scholar 

  22. Sparrow DB, Chapman G, Smith AJ et al (2012) A mechanism for gene-environment interaction in the etiology of congenital scoliosis. Cell 149:295–306

    Article  PubMed  CAS  Google Scholar 

  23. Conlon RA, Reaume AG, Rossant J (1995) Notch1 is required for the coordinate segmentation of somites. Development 121:1533–1545

    PubMed  CAS  Google Scholar 

  24. De Angelis MH, McIntyre JI, Gossler A (1997) Maintenance of somite borders in mice requires the Delta homologue Dll1. Nature 386:717–721

    Article  Google Scholar 

Download references

Author information

Affiliations

Authors

Corresponding author

Correspondence to Woojin Cho.

Ethics declarations

Conflict of interest

None of the authors has any potential conflict of interest.

Rights and permissions

Reprints and Permissions

About this article

Verify currency and authenticity via CrossMark

Cite this article

Cho, W., Shepard, N. & Arlet, V. The etiology of congenital scoliosis: genetic vs. environmental—a report of three monozygotic twin cases. Eur Spine J 27, 533–537 (2018). https://doi.org/10.1007/s00586-018-5604-2

Download citation

  • Received:

  • Accepted:

  • Published:

  • Issue Date:

  • DOI: https://doi.org/10.1007/s00586-018-5604-2

Keywords

  • Congenital scoliosis
  • Monozygotic twins
  • Chiari malformation
  • Hemivertebra