Skip to main content

Spinal cord herniation following cervical meningioma excision: a rare clinical entity and review of literature

Abstract

Background

Spinal cord herniation following surgery is an extremely uncommon clinical condition with very few reports in published literature. This condition usually occurs as a spontaneous idiopathic phenomenon often in the thoracic spine or following a scenario of post traumatic spinal cord/nerve root injury. Rarely has it been reported following spinal cord tumor surgery.

Purpose

To document a case of cervical spinal cord herniation as a late onset complication following spinal cord tumor surgery with an atypical presentation of monoparesis.

Design

Case report.

Methods

We describe the clinical presentation, operative procedure, post operative outcome and review of literature of this rare clinical condition.

Results

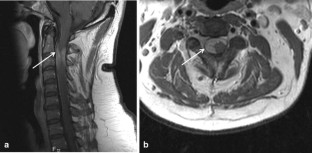
A 57-year-old man presented with right upper limb monoparesis due to a spinal cord herniation 6 years after a cervical intradural meningioma excision. The patients underwent surgery to reduce the herniation and duroplasty with subsequent complete resolution of symptoms.

Conclusions

Spinal cord herniation must be considered as differential diagnosis in scenarios of spinal cord tumor excision presenting with late onset neurological deficit. These cases may present as paraparesis, Brown-sequard syndrome and rarely as in our case as monoparesis.

This is a preview of subscription content, access via your institution.

Fig. 1
Fig. 2

References

  1. Wortzman G, Tasker RR, Rewcastle NB, Richardson JC, Pearson FG (1974) Spontaneous incarcerated herniation of the spinal cord into a vertebral body: a unique cause of paraplegia: case report. J Neurosurg 41(5):631–635

    CAS  Article  PubMed  Google Scholar 

  2. Kumar R, Taha J, Greiner AL (1995) Herniation of the spinal cord: case report. J Neurosurg 82(1):131–136

    CAS  Article  PubMed  Google Scholar 

  3. Watters MR, Stears JC, Osborn AG, Turner GE, Burton BS, Lillehei K, Yuh WT (1998) Transdural spinal cord herniation: imaging and clinical spectra. Am J Neuroradiol 19(7):1337–1344

    CAS  PubMed  Google Scholar 

  4. Aydin AL, Sasani M, Erhan B, Sasani H, Ozcan S, Ozer AF (2011) Idiopathic spinal cord herniation at two separate zones of the thoracic spine: the first reported case and literature review. Spine J 11(8):e9–e14

    Article  PubMed  Google Scholar 

  5. Ijiri K, Hida K, Yano S, Komiya S, Iwasaki Y (2009) Traumatic spinal-cord herniation associated with pseudomeningocele after lower-thoracic nerve-root avulsion. Spinal Cord 47(11):829–831

    CAS  Article  PubMed  Google Scholar 

  6. Dasilva VR, Al-Gahtany M, Midha R, Sarma D, Cooper P (2003) Upper thoracic spinal cord herniation after traumatic nerve root avulsion: case report and review of the literature. J Neurosurg Spine 99(3):306–309

    Article  Google Scholar 

  7. Tanaka M, Ikuma H, Nakanishi K, Sugimoto Y, Misawa H, Takigawa T, Ozaki T (2008) Spinal cord herniation into pseudomeningocele after traumatic nerve root avulsion: case report and review of the literature. Eur Spine J 17(2):263–266

    Article  PubMed Central  Google Scholar 

  8. Yokota H, Yokoyama K, Noguchi H, Uchiyama Y (2007) Spinal cord herniation into associated pseudomeningocele after brachial plexus avulsion injury: case report. Neurosurgery 60(1):E205

    Article  PubMed  Google Scholar 

  9. Lee T, Lui TN, Jeng CM (1997) Spinal cord herniation after stabbing injury. Br J Neurosurg 11(1):84–86

    CAS  Article  PubMed  Google Scholar 

  10. Sachdev VP, Huang YP, Shah CP et al (1981) Posttraumatic pseudomeningomyelocele (enlarging fracture?) in a vertebral body. Case report. J Neurosurg 54:545–549

    CAS  Article  PubMed  Google Scholar 

  11. Burres KP, Conley FK (1978) Progressive neurological dysfunction secondary to postoperative cervical pseudomeningocele in a C-4 quadriplegic: case report. J Neurosurg 48(2):289–291

    CAS  Article  PubMed  Google Scholar 

  12. Belen D, Er U, Gurses L, Yigitkanli K (2009) Delayed pseudomyelomeningocele: a rare complication after foramen magnum decompression for Chiari malformation. Surg Neurol 71(3):357–361

    Article  PubMed  Google Scholar 

  13. Kawsar KA, Bhatia R, Casey AC (2014) Spinal cord herniation as a complication of en bloc, multilevel, anterior thoracic vertebrectomy for a giant cell tumor: success of posterior cord reduction and dural repair: case report. J Neurosurg Spine 21(6):909–912

    Article  PubMed  Google Scholar 

  14. Hosono N, Yonenobu K, Ono K (1995) Postoperative cervical pseudomeningocele with herniation of the spinal cord. Spine 20(19):2147–2150

    CAS  Article  PubMed  Google Scholar 

  15. Moriyama T, Tachibana T, Maruo K, Inoue S, Okada F, Yoshiya S (2013) Postoperative spinal cord herniation with pseudomeningocele in the cervical spine: a case report. Spine J 13(10):e43–e45

    Article  PubMed  Google Scholar 

  16. Chan YC, Mills KR (2005) The use of transcranial magnetic stimulation in the clinical evaluation of suspected myelopathy. J Clin Neurosci 12(8):878–881

    CAS  Article  PubMed  Google Scholar 

  17. Elwahab SMA, O’Sullivan MJ (2015) Spinal cord herniation after resection of cervical spinal neurofibroma with a unique presentation. Spine J 15(4):e1–e3

    Article  Google Scholar 

Download references

Acknowledgments

The project was funded by Ganga Orthopaedic Research and Education Foundation, Coimbatore.

Author information

Affiliations

Authors

Corresponding author

Correspondence to S. Rajasekaran.

Ethics declarations

Conflict of interest

None of the authors has any potential conflict of interest.

Rights and permissions

Reprints and Permissions

About this article

Verify currency and authenticity via CrossMark

Cite this article

Aiyer, S.N., Shetty, A.P., Kanna, R. et al. Spinal cord herniation following cervical meningioma excision: a rare clinical entity and review of literature. Eur Spine J 25, 216–219 (2016). https://doi.org/10.1007/s00586-016-4412-9

Download citation

  • Received:

  • Revised:

  • Accepted:

  • Published:

  • Issue Date:

  • DOI: https://doi.org/10.1007/s00586-016-4412-9

Keywords

  • Spinal cord herniation
  • Cervical meningioma
  • Pseudomeningocoele
  • Monoparesis
  • Post-operative