Abstract
Introduction
The number of cases of osteoporotic vertebral compression fracture (OVCF) with intravertebral cleft (IVC) with delayed neurologic deficit (DND) is increasing as the population ages. However, the cause of DND is poorly understood, and no definitive treatment of the disease has been established. The purpose of this study was to clarify the radiographic parameters contributing to the occurrence of DND, and to evaluate the efficacy and safety of percutaneous vertebroplasty for this pathology.
Methods
Percutaneous vertebroplasty was prospectively performed for 244 patients with OVCF with IVC; 30 had DND and 214 did not. Radiographic parameters of local kyphotic angle, percent spinal canal compromise and intravertebral instability were investigated for correlations to DND. Procedural outcomes were evaluated using visual analog scale (VAS), Oswestry Disability Index (ODI), and modified Frankel grades.
Results
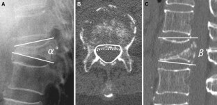
Before vertebroplasty, no substantial difference in local kyphotic angle was seen between OVCF with IVC with and without DND, but percent spinal canal compromise and intravertebral instability were greater in OVCF with IVC with DND (P < 0.001). After vertebroplasty, 25 of 30 cases (84 %) of OVCF with IVC with DND achieved clinically meaningful improvement (CMI), but 5 (17 %) did not. Patients with CMI showed substantial improvements in intravertebral instability (P < 0.001), and no change in local kyphotic angle or percent spinal canal compromise. In five patients without CMI, four showed an initial improvement, but subsequent vertebral fracture adjacent to the treated vertebra caused neurologic re-deterioration. One patient with percent spinal canal compromise 54.9 % and intravertebral instability 4° achieved no neurologic improvement following vertebroplasty. No serious complications or adverse events related to the procedure were encountered.
Conclusions
Intravertebral instability is the dominant cause of DND. Percutaneous vertebroplasty appears effective and safe in the treatment of OVCF with IVC with DND. Patients with less intravertebral instability and severe spinal canal compromise could be candidates for conventional surgical treatment.



References
Arciero RA, Leung KYK, Pierce JH (1989) Spontaneous unstable burst fracture of the thoracolumbar spine in osteoporosis. Spine 14:114–117
Ataka H, Tanno T, Yamazaki M (2009) Posterior instrumented fusion without neural decompression for incomplete neurological deficits following vertebral collapse in the osteoporotic thoracolumbar spine. Eur Spine J 18:69–76
Baba H, Maezawa Y, Kamitani K, Furusawa N, Imura S, Tomita K (1995) Osteoporotic vertebral collapse with late neurological complications. Paraplegia 33:281–289
Boszczyk BM, Bierschneider M, Schmid K, Grillhosl A, Robert B (2004) Microsurgical interlaminary vertebro- and kyphoplasty for severe osteoporotic fractures. J Neurosurg 100(1 Suppl):32–37
Chevalier X, Wrona N, Avouac B, Larget-Piet B (1991) Thigh pain and multiple vertebral osteonecroses: value of magnetic resonance imaging. J Rheumatol 18:1627–1630
Do HM, Jensen ME, Marx WF, Kallmes DF (1999) Percutaneous vertebroplasty in vertebral osteonecrosis (Kummell’s spondylitis). Neurosurg Focus 7(1):e2
Dvorak MF, Fisher CG (1999) Revision spine surgery in the presence of osteoporosis. In: Margulies JY, Aebi M, Farcy JP (eds) Revision spine surgery, 1st edn. Mosby, St. Louis, pp 646–653
Fairbank J, Davies J, Couper J, O’Brien JP (1980) The oswestry low back pain disability questionnaire. Physiotherapy 66:271–273
Faciszewski T, Winter RB, Lonstein JE, Denis F, Johnson L (1995) The surgical and medical perioperative complications of anterior spinal fusion surgery in the thoracic and lumbar spine in adults: a review of 1223 procedures. Spine 14:1592–1599
Garfin SR, Yuan HA, Reiley MA (2001) New technologies in spine: kyphoplasty and vertebroplasty for the treatment of painful osteoporotic compression fractures. Spine 26:1511–1515
Ha KY, Lee JS, Kim KW, Chon JS (2006) Percutaneous vertebroplasty for vertebral compression fractures with and without intravertebral clefts. JBJS-Br 88(5):629–633
Hasegawa K, Homma T, Uchiyama S, Takahashi H (1998) Vertebral pseudarthrosis in the osteoporotic spine. Spine 23:2201–2206
Heggeness MH (1993) Spine fracture with neurological deficit in osteoporosis. Osteoporosis Int 3:215–221
Jang JS, Kim DY, Lee SH (2003) Efficacy of percutaneous vertebroplasty in the treatment of intravertebral pseudoarthrosis associated with noninfected avascular necrosis of the vertebral body. Spine 28:1588–1592
Kaneda K, Asano S, Hashimoto T, Satoh S, Fujiya M (1992) The treatment of osteoporoticposttraumatic vertebral collapse using the Kaneda device and a bioactive ceramic vertebral prosthesis. Spine 17:S295–S303
Kaplan PA, Orton DF, Asleson RJ (1987) Osteoporosis with vertebral compression fractures, retropulsed fragments and neurologic compromise. Radiology 165:533–535
Kawaguchi S, Horigome K, Yajima H, Oda T, Kii Y, Ida K et al (2010) Symptomatic relevance of intravertebral cleft in patients with osteoporotic vertebral fracture. J Neurosurg Spine 13:267–275
Kim DH, Vaccaro AR (2006) Osteoporotic compression fractures of the spine; current options and considerations for treatment. Spine J 6:479–487
Kim KT, Suk KS, Kim JM, Lee SH (2003) Delayed vertebral collapse with neurological deficits secondary to osteoporosis. Int Orthop 27:65–69
Lafforgue P (2006) Pathophysiology and natural history of avascular necrosis of bone. Jt Bone Spine 73:500–507
McKiernan F, Faciszewski T (2003) Intravertebral clefts in osteoporotic vertebral compression fractures. Arthritis Rheum 48:1414–1419
Melton LJ III (1989) Epidemiology of vertebral fractures in women. Am J Epidemiol 129:1000–1011
Nieuwenhuijse MJ, van Rijswijk CS, van Erkel AR, Dijkstra SP (2012) The intravertebral cleft in painful long-standing osteoporotic vertebral compression fractures treated with percutaneous vertebroplasty: diagnostic assessment and clinical significance. Spine 37(11):974–981
Ostelo RW, Deyo RA, Stratford P, Waddell G, Croft P, Von Korff M, Bouter LM, de Vet HC (2008) Interpreting change scores for pain and functional status in low back pain: towards international consensus regarding minimal important change. Spine 33:90–94
Sailhan F, Funck-Brentano T, Dougados M, Anract P (2009) Leg pain may reveal vertebral osteoporosis. J Rheumatol 36:2621–2622
Saita K, Hoshino Y, Kikkawa I, Nakamura H (2000) Posterior spinal shortening for paraplegia after vertebral collapse caused by osteoporosis. Spine 25:2832–2835
Saito F, Takahashi K, Tanaka S, Torio T, Iizuka H, Wei C, Oda H (2011) Effects of vertebroplasty for delayed-onset paraplegia caused by vertebral pseudarthrosis. J Orthop Sci 16(6):673–681
Scott J, Huskisson EC (1976) Graphic representation of pain. Pain 2:175–184
Singh K, Heller JG, Samartzis D, Price JS, An HS, Yoon ST, Rhee J, Ledlie JT, Phillips FM (2005) Open vertebral cement augmentation combined with lumbar decompression for the operative management of thoracolumbar stenosis secondary to osteoporotic burst fractures. J Spinal Disord Tech 18:413–419
Steel HH (1951) Kümmell’s disease. Am J Surg 81:161–167
Suk SI, Kim JH, Lee SM, Chung ER, Lee JH (2003) Anterior-posterior surgery versus posterior closing wedge osteotomy in posttraumatic kyphosis with neurologic compromised osteoporotic fracture. Spine 28:2170–2175
Sutherland CJ, Miler F, Wang GJ (1983) Early progressive kyphosis following compression fractures. Two cases reports from a series of “stable” thoracolumbar compression fractures. Clin Orthop Relat Res 173:216–220
Suzuki N, Ogikubo O, Hansson T (2008) The course of the acute vertebral body fragility fracture: its effect on pain, disability and quality of life during 12 months. Eur Spine J 17(10):1380–1390
Tanaka S, Kubota M, Fujimoto Y, Hayashi J, Nishikawa K (1993) Conus medullaris syndrome secondary to an L1 burst fracture in osteoporosis. Spine 18:2131–2134
Tanigawa N, Kariya S, Komemushi A, Tokuda T, Nakatani M, Yagi R, Sawada S (2009) Cement leakage in percutaneous vertebroplasty for osteoporotic compression fractures with or without intravertebral clefts. AJR Am J Roentgenol 193(5):442–445
Tsou PM, Wang J, Khoo L, Shamie AN, Holly L (2006) A thoracic and lumbar spine injury severity classification based on neurologic function grade, spinal canal deformity, and spinal biomechanical stability. Spine J 6:636–647
Uchida K, Nakajima H, Yayama T, Miyazaki T, Hirai T, Kobayashi S, Chen K, Guerrero AR, Baba H (2010) Vertebroplasty-augmented short-segment posterior fixation of osteoporotic vertebral collapse with neurological deficit in the thoracolumbar spine: comparisons with posterior surgery without vertebroplasty and anterior surgery. J Neurosurg Spine 13:612–621
Acknowledgments
We thank Prof. John G. Heller (Department of Orthopaedic Surgery, Emory University Medical Center and the Spine Surgery Service, Emory Orthopaedic and Spine Center, Decatur, Georgia) for helpful comments. We are also indebted to Dr. Hiroto Kuwabara (Division of Nuclear Medicine, Department of Radiology, Johns Hopkins University, Baltimore, MD) for his helpful suggestions and excellent assistance in creating this article.
Conflict of interest
None.
Author information
Authors and Affiliations
Corresponding author
Rights and permissions
About this article
Cite this article
Nakamae, T., Fujimoto, Y., Yamada, K. et al. Percutaneous vertebroplasty for osteoporotic vertebral compression fracture with intravertebral cleft associated with delayed neurologic deficit. Eur Spine J 22, 1624–1632 (2013). https://doi.org/10.1007/s00586-013-2686-8
Received:
Revised:
Accepted:
Published:
Issue Date:
DOI: https://doi.org/10.1007/s00586-013-2686-8