Skip to main content

Prediction of sagittal balance in patients with osteoporosis using spinopelvic parameters

Abstract

Purpose

Little data is available on the relationships between sagittal balance and spinopelvic parameters in osteoporosis. We analyzed sagittal spinopelvic parameters in osteoporotic patients.

Methods

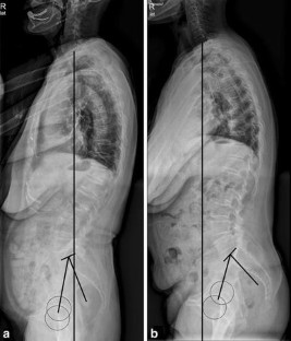
In this prospective study, the patient and control groups comprised 124 osteoporotic patients and 40 controls. Average age was 72.4 ± 6.8 in the osteoporosis group and 42.7 ± 12.5 in the control group, which was significantly different (P < 0.001). Osteoporotic patients were allocated to two groups by sagittal vertical axis, namely, a sagittal balance group (n = 56) and a sagittal imbalance group (n = 68). All 164 study subjects underwent whole spine lateral radiography, which included hip joints. The radiographic parameters investigated were sacral slope, pelvic tilt, pelvic incidence, thoracic kyphosis, lumbar lordosis, and sagittal vertical axis. Statistical analysis was performed to identify significant differences between the two groups.

Results

Osteoporotic patients and controls were found to be significantly different in terms of sagittal vertical axis, sacral slope, pelvic tilt, lumbar lordosis, and thoracic kyphosis. However, no significant difference was observed between patients and controls in terms of pelvic incidence (P > 0.05). Significant differences were found between the balance and imbalance groups in terms of age, lumbar spine bone mineral density (LSBMD), femoral neck BMD (FNBMD), visual analogue scale (VAS) score, sacral slope, and pelvic incidence. Correlation analysis revealed significant relationships between sagittal parameters and osteoporosis. Stepwise logistic regression analysis revealed that FNBMD and pelvic incidence contributed significantly to sagittal balance.

Conclusion

Sagittal spinopelvic parameters were found to be significantly different in patients and normal controls. Significant relationships were found between sagittal spinopelvic parameters in osteoporotic patients. In particular, low FNBMD and high pelvic incidence were significant parameters in determination of sagittal balance in osteoporotic patients.

This is a preview of subscription content, access via your institution.

Fig. 1
Fig. 2
Fig. 3

References

  1. Barrey C, Jund J, Perrin G, Roussouly P (2007) Spinopelvic alignment of patients with degenerative spondylolisthesis. Neurosurgery 61:981–986

    PubMed  Article  Google Scholar 

  2. Bernhardt M, Bridwell KH (1989) Segmental analysis of the sagittal plane alignment of the normal thoracic and lumbar spines and thoracolumbar junction. Spine 14:717–721

    PubMed  Article  CAS  Google Scholar 

  3. Berthonnaud E, Dimnet J, Roussouly P, Labelle H (2005) Analysis of the sagittal balance of the spine and pelvis using shape and orientation parameters. J Spinal Disord Tech 18:40–47

    PubMed  Article  Google Scholar 

  4. Boulay C, Tardieu C, Hecquet J, Benaim C, Mouilleseaux B, Marty C, Prat-Pradal D, Legaye J, Duval-Beaupère G, Pélissier J (2006) Sagittal alignment of spine and pelvis regulated by pelvic incidence: standard values and prediction of lordosis. Eur Spine J 15:415–422

    PubMed  Article  CAS  Google Scholar 

  5. De Smet AA, Robinson RG, Johnson BE, Lukert BP (1988) Spinal compression fractures in osteoporotic women: patterns and relationship to hyperkyphosis. Radiology 166:497–500

    PubMed  Google Scholar 

  6. Ensrud KE, Black DM, Harris F, Ettinger B, Cummings SR (1997) Correlates of kyphosis in older women. J Am Geriatr Soc 45:682–687

    PubMed  CAS  Google Scholar 

  7. Gelb DE, Lenke LG, Bridwell KH, Blanke K, McEnery KW (1995) An analysis of sagittal spinal alignment in 100 asymptomatic middle and older aged volunteers. Spine 20:1351–1358

    PubMed  CAS  Google Scholar 

  8. Glassman SD, Berven S, Bridwell K, Horton W, Dimar JR (2005) Correlation of radiographic parameters and clinical symptoms in adult scoliosis. Spine 30:682–688

    PubMed  Article  Google Scholar 

  9. Glassman SD, Bridwell K, Dimar JR, Horton W, Berven S, Schwab F (2005) The impact of positive sagittal balance in adult spinal deformity. Spine 30:2024–2029

    PubMed  Article  Google Scholar 

  10. Hammerberg EM, Wood KB (2003) Sagittal profile of the elderly. J Spinal Disord 16:44–50

    Article  Google Scholar 

  11. Hasday CA, Passoff TL, Perry J (1983) Gait abnormalities arising from iatrogenic loss of lumbar lordosis secondary to Harrington instrumentation in lumbar fractures. Spine 8:501–511

    PubMed  Article  CAS  Google Scholar 

  12. Hirose D, Ishida K, Nagano Y, Takahashi T, Yamamoto H (2004) Posture of the trunk in the sagittal plane is associated with gait in community-dwelling elderly population. Clin Biomech 19:57–63

    Article  Google Scholar 

  13. Jackson RP, Kanemura T, Kawakami N, Hales C (2000) Lumbopelvic lordosis and pelvic balance on repeated standing lateral radiographs of adult volunteers and untreated patients with constant low back pain. Spine 25:575–586

    PubMed  Article  CAS  Google Scholar 

  14. Jackson RP, Peterson MD, McManus AC, Hales C (1998) Compensatory spinopelvic balance over the hip axis and better reliability in measuring lordosis to the pelvic radius on standing lateral radiographs of adult volunteers and patients. Spine 23:1750–1767

    PubMed  Article  CAS  Google Scholar 

  15. Kumar MN, Baklanov A, Chopin D (2001) Correlation between sagittal plane changes and adjacent segment degeneration following lumbar spine fusion. Eur Spine J 10:314–319

    PubMed  Article  CAS  Google Scholar 

  16. Lee JH, Kim KT, Suk KS, Lee SH, Jeong BO, Kim JS, Eoh JH, Kim YJ (2010) Analysis of spinopelvic parameters in lumbar degenerative kyphosis: correlation with spinal stenosis and spondylolisthesis. Spine 35:E1386–E1391

    PubMed  Article  Google Scholar 

  17. Lefage V, Schwab F, Patel A, Hawkinson N, Farcy JP (2009) Pelvic tilt and truncal inclination: two key radiographic parameters in the setting of adults with spinal deformity. Spine 34:E599–E606

    Article  Google Scholar 

  18. Legaye J, Duval-Beaupere G, Hecquet J, Marty C (1998) Pelvic incidence: a fundamental pelvic parameter for three-dimensional regulation of spinal sagittal curves. Eur Spine J 7:99–103

    PubMed  Article  CAS  Google Scholar 

  19. MacThiong JM, Berthonnaud E, Dimar JR 2nd, Betz RR, Labelle H (2004) Sagittal alignment of the spine and pelvis during growth. Spine 29:1642–1647

    Article  Google Scholar 

  20. Oleksik A, Lips P, Dawson A, Minshall ME, Shen W, Cooper C, Kanis J (2000) Health-related quality of life in postmenopausal women with low BMD with or without prevalent vertebral fractures. J Bone Miner Res 15:1384–1392

    PubMed  Article  CAS  Google Scholar 

  21. Polly DW, Kilkelly FX, McHale KA, Asplund LM, Mulligan M, Chang AS (1996) Measurement of lumbar lordosis: evaluation of intraobserver, interobserver, and technique variability. Spine 21:1530–1536

    PubMed  Article  Google Scholar 

  22. Roussouly P, Gollogly S, Berthonnaud E, Dimnet J (2005) Classification of the normal variation in the sagittal alignment of the human lumbar spine and pelvis in the standing position. Spine 30:346–353

    PubMed  Article  Google Scholar 

  23. Seeman E, Bianchi G, Khosla S, Kanis JA, Orwoll E (2006) Bone fragility in men—where are we? Osteoporos Int 17:1577–1583

    PubMed  Article  CAS  Google Scholar 

  24. Sinaki M, Brey RH, Hughes CA, Larson DR, Kaufman KR (2005) Balance disorder and increased risk of falls in osteoporosis and kyphosis. Osteoporos Int 16:1004–1010

    PubMed  Article  Google Scholar 

  25. Takeda N, Kobayashi T, Atsuta Y, Matsuno T, Shirado O, Minami A (2009) Changes in the sagittal spinal alignment of the elderly without vertebral fractures: a minimum 10-year longitudinal study. J Orthop Sci 14:748–753

    PubMed  Article  Google Scholar 

  26. Takemitsu Y, Harada Y, Iwahara T, Miyamoto M, Miyatake Y (1988) Lumbar degenerative kyphosis: clinical, radiological and epidemiological studies. Spine 13:1317–1326

    PubMed  Article  CAS  Google Scholar 

  27. Vaz G, Roussouly P, Berthonnaud P, Dimnet J (2002) Sagittal morphology and equilibrium of pelvis and spine. Eur Spine J 11:80–87

    PubMed  Article  CAS  Google Scholar 

  28. Vialle R, Levassor N, Rillardon L, Templier A, Skalli W, Guigui P (2005) Radiographic analysis of the sagittal alignment and balance of the spine in asymptomatic subjects. J Bone Joint Surg Am 87:260–267

    PubMed  Article  Google Scholar 

Download references

Conflict of interest

None.

Author information

Affiliations

Authors

Corresponding author

Correspondence to Jung Sub Lee.

Rights and permissions

Reprints and Permissions

About this article

Cite this article

Lee, J.S., Lee, H.S., Shin, J.K. et al. Prediction of sagittal balance in patients with osteoporosis using spinopelvic parameters. Eur Spine J 22, 1053–1058 (2013). https://doi.org/10.1007/s00586-013-2672-1

Download citation

  • Received:

  • Revised:

  • Accepted:

  • Published:

  • Issue Date:

  • DOI: https://doi.org/10.1007/s00586-013-2672-1

Keywords

  • Osteoporosis
  • Sagittal spinopelvic parameters