Skip to main content

Five-year clinical and radiographic outcomes using pedicle screw only constructs in the treatment of adolescent idiopathic scoliosis

Abstract

Purpose

To determine the mid-term clinical and radiographic impact of pedicle screw fixation in patients with adolescent idiopathic scoliosis (AIS).

Methods

A multicenter AIS database was retrospectively queried to identify 99 consecutive patients who underwent posterior spinal fusion using an all pedicle screw construct with a minimum of 5-year follow-up. Radiographic and clinical parameters were reviewed at regular intervals up to 5 years.

Results

The mean age was 14.4 ± 2.0 years with 79 % being female. The mean preoperative major curve was 51.7 ± 14.2° with a mean correction of 66 and 64 % at 2 and 5 years (p = 0.16). Pre-op thoracic kyphosis averaged 22.3 ± 12.9° and was 18.4 ± 10.6° at 5 years with no significant change from 2 years (p = 0.33). SRS total and domain scores demonstrated significant improvements at 2 years, which were slightly decreased at 5 years (p = 0.06). SRS scores of self-image (p = 0.99) and satisfaction (p = 0.18) were significantly improved after surgery with minimal change by 5 years. The change in SRS total scores from 2 to 5 years was attributed to differences in SRS scores of pain and mental health (p < 0.05).

Conclusions

Intermediate follow-up of patients with AIS treated with an all pedicle screw construct demonstrates maintenance of their coronal, and sagittal plane correction between 2- and 5-year follow-up. At 5 years, improvements in SRS scores were consistent with 2-year values, except for a decline in pain and mental health scores.

This is a preview of subscription content, access via your institution.

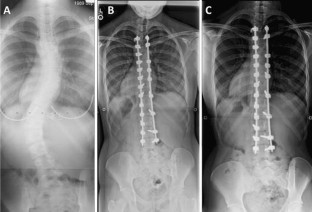
Fig. 1
Fig. 2

References

  1. Cochran T, Irstam L, Nachemson A (1983) Long-term anatomic and functional changes in patients with adolescent idiopathic scoliosis treated by Harrington rod fusion. Spine 8:576–584

    PubMed  Article  CAS  Google Scholar 

  2. Danielsson AJ, Nachemson AL (2003) Back pain and function 23 years after fusion for adolescent idiopathic scoliosis: a case–control study-part II. Spine 28:E373–E383

    PubMed  Article  Google Scholar 

  3. Ecker ML, Betz RR, Trent PS, Mahboubi S, Mesqarzadeh M, Bonakdapour A et al (1988) Computer tomography evaluation in Cotrel–Dubousset instrumentation in idiopathic scoliosis. Spine 13:1141–1144

    PubMed  Article  CAS  Google Scholar 

  4. Shufflebarger HL, Smiley K, Roth HJ (1994) Internal thoracoplasty. A new procedure. Spine 19:840–842

    PubMed  Article  CAS  Google Scholar 

  5. Suk S, Choon KL, Won-Joong K et al (1995) Segmental pedicle screw fixation in the treatment of thoracic idiopathic scoliosis. Spine 20:1399–1405

    PubMed  CAS  Google Scholar 

  6. Wood KB, Transfeldt EE, Ogilvie JW et al (1991) Rotational changes of the vertebral-pelvic axis following Cotrel–Dubousset instrumentation. Spine 16:S404–S408

    PubMed  Article  CAS  Google Scholar 

  7. Booth KC, Bridwell KH, Lenke LG et al (1999) Complications and predictive factors for the successful treatment of flatback deformity (fixed sagittal imbalance). Spine 24:1712–1790

    PubMed  Article  CAS  Google Scholar 

  8. Bradford DS, Tribus CB (1994) Current concepts and management of patients with fixed decompensated spinal deformity. Clin Orthop Relat Res 306:64–72

    PubMed  Google Scholar 

  9. Weatherley CR, Draycott V, O’Brien JF et al (1987) The rib deformity in adolescent idiopathic scoliosis. J Bone Jt Surg Br 69:179–182

    CAS  Google Scholar 

  10. Asghar J, Samdani AF, Pahys JM et al (2009) Computed tomography evaluation of rotation correction in adolescent idiopathic scoliosis: a comparison of an all pedicle screw construct versus a hook-rod system. Spine 34(8):804–807

    PubMed  Article  Google Scholar 

  11. Di Silvestre M, Bakaloudis G, Lolli F et al (2008) Posterior fusion only for thoracic adolescent idiopathic scoliosis of more than 80 degrees: pedicle screws versus hybrid instrumentation. Eur Spine J 17:1336–1349

    PubMed  Article  Google Scholar 

  12. Dobbs MB, Lenke LG, Kim YJ et al (2006) Selective posterior thoracic fusions for adolescent idiopathic scoliosis: comparison of hooks versus pedicle screws. Spine 31:2400–2404

    PubMed  Article  Google Scholar 

  13. Karatoprak O, Unay K, Tezer M et al (2008) Comparative analysis of pedicle screw versus hybrid instrumentation in adolescent idiopathic scoliosis surgery. Int Orthop 32:523–528

    PubMed  Article  Google Scholar 

  14. Kim YJ, Bridwell KH, Lenke LG et al (2005) Proximal junctional kyphosis in adolescent idiopathic scoliosis following segmental posterior spinal instrumentation and fusion. Minimum 5-year follow-up. Spine 30:2045–2050

    PubMed  Article  Google Scholar 

  15. Liljenqvist U (2002) Comparative analysis of pedicle screw and hook instrumentation in posterior correction and fusion of idiopathic thoracic scoliosis. Eur Spine J 11:336–343

    PubMed  Article  CAS  Google Scholar 

  16. Kuklo TR, Potter BK, Lenke LG et al (2007) Surgical revision rates of hooks versus hybrid versus screws versus combined anteroposterior spinal fusion for adolescent idiopathic scoliosis. Spine 32:2258–2264

    PubMed  Article  Google Scholar 

  17. Clements DH, Betz RR, Newton PO et al (2009) Correlation of scoliosis curve correction with the number and type of fixation anchors. Spine 34:2147–2150

    PubMed  Article  Google Scholar 

  18. Helgeson MD, Shah SA, Newton PO et al (2010) Evaluation of proximal junctional kyphosis in adolescent idiopathic scoliosis following pedicle screw, hook, or hybrid instrumentation. Spine 35:177–181

    PubMed  Article  Google Scholar 

  19. Hwang SW, Samdani AF, Gressot LV et al (2012) Effect of direct vertebral body derotation on the sagittal profile in adolescent idiopathic scoliosis. Eur Spine J 21(1):31–39

    PubMed  Article  Google Scholar 

  20. Quan GM, Gibson MJ (2010) Correction of main thoracic adolescent idiopathic scoliosis using pedicle screw instrumentation. Does higher implant density improve correction? Spine 35:562–567

    PubMed  Article  Google Scholar 

  21. Andersen MO, Christensen SB, Thomsen K (2006) Outcome at 10 years after treatment for adolescent idiopathic scoliosis. Spine 31:350–354

    PubMed  Article  Google Scholar 

  22. Bjerkreim I, Steen H, Brox JI (2007) Idiopathic scoliosis treated with Cotrel–Dubousset instrumentation: evaluation 10 years after surgery. Spine 32:2103–2110

    PubMed  Article  Google Scholar 

  23. Helenius I, Remes V, Yrjonen T et al (2003) Harrington and Cotrel–Dubousset instrumentation in adolescent idiopathic scoliosis. Long-term functional and radiographic outcomes. J Bone Jt Surg 85-A:2303–2309

    Google Scholar 

  24. Kelly DM, McCarthy RE, McCullough FL, Kelly HR (2010) Long-term outcomes of anterior spinal fusion with instrumentation for thoracolumbar and lumbar curves in adolescent idiopathic scoliosis. Spine 35(2):194–198

    PubMed  Article  Google Scholar 

  25. Tis JE, O’Brien MF, Newton PO et al (2010) Adolescent idiopathic scoliosis treated with open instrumented anterior spinal fusion: five-year follow-up. Spine 35(1):64–70

    PubMed  Article  Google Scholar 

  26. Suk SI, Lee SM, Chung ER et al (2005) Selective thoracic fusion with segmental pedicle screw fixation in the treatment of thoracic idiopathic scoliosis: more than 5-year follow-up. Spine 30:1602–1609

    PubMed  Article  Google Scholar 

  27. Kim YJ, Lenke LG, Kim J et al (2006) Comparative analysis of pedicle screw versus hybrid instrumentation in posterior spinal fusion of adolescent idiopathic scoliosis. Spine 31:291–298

    PubMed  Article  Google Scholar 

  28. Boos N, Dolan LA, Weinstein SL (2007) Long-term clinical and radiographic results of Cotrel–Dubousset instrumentation of right thoracic adolescent idiopathic scoliosis. Iowa Orthop J 27:40–46

    PubMed  Google Scholar 

  29. Jeng CL, Sponseller PD, Tolo VT (1993) Outcome of Wisconsin instrumentation in idiopathic scoliosis. Minimum 5-year follow-up. Spine 18:1584–1590

    PubMed  Article  CAS  Google Scholar 

  30. Hwang CJ, Lee CK, Chang BS et al (2011) Minimum 5-year follow-up results of skipped pedicle screw fixation for flexible idiopathic scoliosis. J Neurosurg Spine 15(2):146–150

    PubMed  Article  Google Scholar 

  31. Bartie BJ, Lonstein JE, Winter RB (2009) Long-term follow-up of adolescent idiopathic scoliosis patients who had Harrington instrumentation and fusion to the lower lumbar vertebrae: is low back pain a problem? Spine 34(24):E873–E878

    PubMed  Article  Google Scholar 

  32. Abul-Kasim K, Ohlin A, Strombeck A, Maly P, Sundgren PC (2010) Radiological and clinical outcome of screw placement in adolescent idiopathic scoliosis: evaluation with low-dose computed tomography. Eur Spine J 19(1):96–104

    PubMed  Article  Google Scholar 

  33. Sarlak AY, Tosun B, Atmaca H, Sarisoy HT, Buluc L (2009) Evaluation of thoracic pedicle screw placement in adolescent idiopathic scoliosis. Eur Spine J 18(12):1892–1897

    PubMed  Article  Google Scholar 

  34. Li G, Lv G, Passias P, Kozanek M, Metkar US, Liu Z, Wood KB, Rehak L, Deng Y (2010) Complications associated with thoracic pedicle screws in spinal deformity. Eur Spine J 19(9):1576–1584

    PubMed  Article  Google Scholar 

Download references

Conflict of interest

This study was supported by a research grant from Depuy Spine to the Setting Scoliosis Straight Foundation of the Harms Study Group.

Author information

Affiliations

Authors

Corresponding author

Correspondence to Amer F. Samdani.

Rights and permissions

Reprints and Permissions

About this article

Cite this article

Hwang, S.W., Samdani, A.F., Marks, M. et al. Five-year clinical and radiographic outcomes using pedicle screw only constructs in the treatment of adolescent idiopathic scoliosis. Eur Spine J 22, 1292–1299 (2013). https://doi.org/10.1007/s00586-012-2625-0

Download citation

  • Received:

  • Revised:

  • Accepted:

  • Published:

  • Issue Date:

  • DOI: https://doi.org/10.1007/s00586-012-2625-0

Keywords

  • Pedicle screw
  • Adolescent idiopathic scoliosis
  • SRS scores
  • Outcomes
  • Complications