Skip to main content

Adiponectin receptors are downregulated in human gastric cancer

Abstract

Background

Adiponectin has been shown to have suppressive effects on tumor development, but the expression of adiponectin receptors in tumor tissue has not been fully elucidated. The purpose of this study was to quantitatively evaluate the expression of two adiponectin receptors, AdipoR1 and AdipoR2, in gastric cancer tissue.

Methods

The mRNA levels of AdipoR1 and AdipoR2 were evaluated by quantitative reverse transcription polymerase chain reaction (RT-PCR) and immunohistochemical staining in 67 gastric cancer tissues and their normal counterparts. In addition, the effects of cytokines on AdipoR1 and AdipoR2 expression in cultured gastric cancer cells were examined.

Results

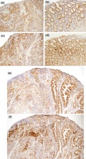
As compared to findings in the normal counterparts, AdipoR1 mRNA expression, standardized by β-actin mRNA, tended to be lower (cancer 0.488 ± 0.039, normal 0.955 ± 0.281, p = 0.0726) and AdipoR2 expression was significantly lower (0.818 ± 0.081, 1.500 ± 0.222, p = 0.0035) in gastric cancer tissue. Immunohistochemical examination showed the same tendency for AdipoR1 and AdipoR2 expression in epithelial cells. Moreover, AdipoR2 was strongly expressed in interstitial cells. However, the expression levels of these receptors did not show a strong correlation with various pathological factors. An in vitro experiment using two gastric cancer cell lines, MKN-74 and NUGC-3, showed that the expression levels of AdipoR1 and AdipoR2 were significantly decreased by transforming growth factor (TGF)-β in a dose-dependent manner.

Conclusions

Two major adiponectin receptors were decreased in gastric cancer as compared to findings in normal gastric epithelium. TGF-β may be involved in this receptor downregulation. This downregulation may be an ideal strategy for cancer cells to escape the antiproliferative effects of adiponectin in the initial phase of tumor development.

This is a preview of subscription content, access via your institution.

Fig. 1
Fig. 2
Fig. 3
Fig. 4

References

  1. Pajvani UB, Du X, Combs TP, Berg AH, Rajala MW, Schulthess T, et al. Structure-function studies of the adipocyte-secreted hormone Acrp30/adiponectin. Implications fpr metabolic regulation and bioactivity. J Biol Chem. 2003;278(11):9073–85.

    CAS  Article  PubMed  Google Scholar 

  2. Tsao TS, Lodish HF, Fruebis J. ACRP30, a new hormone controlling fat and glucose metabolism. Eur J Pharmacol. 2002;440(2–3):213–21.

    CAS  Article  PubMed  Google Scholar 

  3. Fruebis J, Tsao TS, Javorschi S, Ebbets-Reed D, Erickson MR, Yen FT, et al. Proteolytic cleavage product of 30-kDa adipocyte complement-related protein increases fatty acid oxidation in muscle and causes weight loss in mice. Proc Natl Acad Sci USA. 2001;98(4):2005–10.

    CAS  Article  PubMed  Google Scholar 

  4. Okamoto Y, Kihara S, Funahashi T, Matsuzawa Y, Libby P. Adiponectin: a key adipocytokine in metabolic syndrome. Clin Sci (Lond). 2006;110(3):267–78.

    CAS  Article  Google Scholar 

  5. Ishikawa M, Kitayama J, Kazama S, Hiramatsu T, Hatano K, Nagawa H. Plasma adiponectin and gastric cancer. Clin Cancer Res. 2005;11(2 Pt 1):466–72.

    CAS  PubMed  Google Scholar 

  6. Wei EK, Giovannucci E, Fuchs CS, Willett WC, Mantzoros CS. Low plasma adiponectin levels and risk of colorectal cancer in men: a prospective study. J Natl Cancer Inst. 2005;97(22):1688–94.

    CAS  Article  PubMed  Google Scholar 

  7. Otake S, Takeda H, Suzuki Y, Fukui T, Watanabe S, Ishihama K, et al. Association of visceral fat accumulation and plasma adiponectin with colorectal adenoma: evidence for participation of insulin resistance. Clin Cancer Res. 2005;11(10):3642–6.

    CAS  Article  PubMed  Google Scholar 

  8. Mantzoros C, Petridou E, Dessypris N, Chavelas C, Dalamaga M, Alexe DM, et al. Adiponectin and breast cancer risk. J Clin Endocrinol Metab. 2004;89(3):1102–7.

    CAS  Article  PubMed  Google Scholar 

  9. Miyoshi Y, Funahashi T, Kihara S, Taguchi T, Tamaki Y, Matsuzawa Y, et al. Association of serum adiponectin levels with breast cancer risk. Clin Cancer Res. 2003;9(15):5699–704.

    CAS  PubMed  Google Scholar 

  10. Chen DC, Chung YF, Yeh YT, Chaung HC, Kuo FC, Fu OY, et al. Serum adiponectin and leptin levels in Taiwanese breast cancer patients. Cancer Lett. 2006;237(1):109–14.

    CAS  Article  PubMed  Google Scholar 

  11. Tworoger SS, Eliassen AH, Kelesidis T, Colditz GA, Willett WC, Mantzoros CS, et al. Plasma adiponectin concentrations and risk of incident breast cancer. J Clin Endocrinol Metab. 2007;92(4):1510–6.

    CAS  Article  PubMed  Google Scholar 

  12. Goktas S, Yilmaz MI, Caglar K, Sonmez A, Kilic S, Bedir S. Prostate cancer and adiponectin. Urology. 2005;65(6):1168–72.

    Article  PubMed  Google Scholar 

  13. Michalakis K, Williams CJ, Mitsiades N, Blakeman J, Balafouta-Tselenis S, Giannopoulos A, et al. Serum adiponectin concentrations and tissue expression of adiponectin receptors are reduced in patients with prostate cancer: a case control study. Cancer Epidemiol Biomarkers Prev. 2007;16(2):308–13.

    CAS  Article  PubMed  Google Scholar 

  14. Dal Maso L, Augustin LS, Karalis A, Talamini R, Franceschi S, Trichopoulos D, et al. Circulating adiponectin and endometrial cancer risk. J Clin Endocrinol Metab. 2004;89(3):1160–3.

    CAS  Article  PubMed  Google Scholar 

  15. Petridou E, Mantzoros C, Dessypris N, Koukoulomatis P, Addy C, Voulgaris Z, et al. Plasma adiponectin concentrations in relation to endometrial cancer: a case-control study in Greece. J Clin Endocrinol Metab. 2003;88(3):993–7.

    CAS  Article  PubMed  Google Scholar 

  16. Cust AE, Kaaks R, Friedenreich C, Bonnet F, Laville M, Lukanova A, et al. Plasma adiponectin levels and endometrial cancer risk in pre- and postmenopausal women. J Clin Endocrinol Metab. 2007;92(1):255–63.

    CAS  Article  PubMed  Google Scholar 

  17. Soliman PT, Wu D, Tortolero-Luna G, Schmeler KM, Slomovitz BM, Bray MS, et al. Association between adiponectin, insulin resistance, and endometrial cancer. Cancer. 2006;106(11):2376–81.

    CAS  Article  PubMed  Google Scholar 

  18. Spyridopoulos TN, Petridou ET, Skalkidou A, Dessypris N, Chrousos GP, Mantzoros CS. Low adiponectin levels are associated with renal cell carcinoma: a case-control study. Int J Cancer. 2007;120(7):1573–8.

    CAS  Article  PubMed  Google Scholar 

  19. Avcu F, Ural AU, Yilmaz MI, Bingol N, Nevruz O, Caglar K. Association of plasma adiponectin concentrations with chronic lymphocytic leukemia and myeloproliferative diseases. Int J Hematol. 2006;83(3):254–8.

    Article  PubMed  Google Scholar 

  20. Petridou E, Mantzoros CS, Dessypris N, Dikalioti SK, Trichopoulos D. Adiponectin in relation to childhood myeloblastic leukaemia. Br J Cancer. 2006;94(1):156–60.

    CAS  Article  PubMed  Google Scholar 

  21. Yamauchi T, Kamon J, Ito Y, Tsuchida A, Yokomizo T, Kita S, et al. Cloning of adiponectin receptors that mediate antidiabetic metabolic effects. Nature. 2003;423(6941):762–9.

    CAS  Article  PubMed  Google Scholar 

  22. Wess J. G-protein-coupled receptors: molecular mechanisms involved in receptor activation and selectivity of G-protein recognition. FASEB J. 1997;11(5):346–54.

    CAS  PubMed  Google Scholar 

  23. Yokomizo T, Izumi T, Chang K, Takuwa Y, Shimizu T. A G-protein-coupled receptor for leukotriene B4 that mediates chemotaxis. Nature. 1997;387(6633):620–4.

    CAS  Article  PubMed  Google Scholar 

  24. Scheer A, Fanelli F, Costa T, De Benedetti PG, Cotecchia S. Constitutively active mutants of the alpha 1B-adrenergic receptor: role of highly conserved polar amino acids in receptor activation. EMBO J. 1996;15(14):3566–78.

    CAS  PubMed  Google Scholar 

  25. Yamauchi T, Kamon J, Minokoshi Y, Ito Y, Waki H, Uchida S, et al. Adiponectin stimulates glucose utilization and fatty-acid oxidation by activating AMP-activated protein kinase. Nat Med. 2002;8(11):1288–95.

    CAS  Article  PubMed  Google Scholar 

  26. Tomas E, Tsao TS, Saha AK, Murrey HE, Zhang Cc C, Itani SI, et al. Enhanced muscle fat oxidation and glucose transport by ACRP30 globular domain: acetyl-CoA carboxylase inhibition and AMP-activated protein kinase activation. Proc Natl Acad Sci USA. 2002;99(25):16309–13.

    CAS  Article  PubMed  Google Scholar 

  27. Yamauchi T, Kamon J, Waki H, Imai Y, Shimozawa N, Hioki K, et al. Globular adiponectin protected ob/ob mice from diabetes and ApoE-deficient mice from atherosclerosis. J Biol Chem. 2003;278(4):2461–8.

    CAS  Article  PubMed  Google Scholar 

  28. Ramachandran R, Ocon-Grove OM, Metzger SL. Molecular cloning and tissue expression of chicken AdipoR1 and AdipoR2 complementary deoxyribonucleic acids. Domest Anim Endocrinol. 2007;33(1):19–31.

    CAS  Article  PubMed  Google Scholar 

  29. Chinetti G, Zawadski C, Fruchart JC, Staels B. Expression of adiponectin receptors in human macrophages and regulation by agonists of the nuclear receptors PPARalpha, PPARgamma, and LXR. Biochem Biophys Res Commun. 2004;314(1):151–8.

    CAS  Article  PubMed  Google Scholar 

  30. Berner HS, Lyngstadaas SP, Spahr A, Monjo M, Thommesen L, Drevon CA, et al. Adiponectin and its receptors are expressed in bone-forming cells. Bone. 2004;35(4):842–9.

    CAS  Article  PubMed  Google Scholar 

  31. Kharroubi I, Rasschaert J, Eizirik DL, Cnop M. Expression of adiponectin receptors in pancreatic beta cells. Biochem Biophys Res Commun. 2003;312(4):1118–22.

    CAS  Article  PubMed  Google Scholar 

  32. Jonsson JR, Moschen AR, Hickman IJ, Richardson MM, Kaser S, Clouston AD, et al. Adiponectin and its receptors in patients with chronic hepatitis C. J Hepatol. 2005;43(6):929–36.

    CAS  Article  PubMed  Google Scholar 

  33. Shimizu A, Takamura T, Matsuzawa N, Nakamura S, Nabemoto S, Takeshita Y, et al. Regulation of adiponectin receptor expression in human liver and a hepatocyte cell line. Metabolism. 2007;56(11):1478–85.

    CAS  Article  PubMed  Google Scholar 

  34. Staiger H, Kaltenbach S, Staiger K, Stefan N, Fritsche A, Guirguis A, et al. Expression of adiponectin receptor mRNA in human skeletal muscle cells is related to in vivo parameters of glucose and lipid metabolism. Diabetes. 2004;53(9):2195–201.

    CAS  Article  PubMed  Google Scholar 

  35. Ishikawa M, Kitayama J, Yamauchi T, Kadowaki T, Maki T, Miyato H, et al. Adiponectin inhibits the growth and peritoneal metastasis of gastric cancer through its specific membrane receptors AdipoR1 and AdipoR2. Cancer Sci. 2007;98(7):1120–7.

    CAS  Article  PubMed  Google Scholar 

  36. Miyazaki T, Bub JD, Uzuki M, Iwamoto Y. Adiponectin activates c-Jun NH2-terminal kinase and inhibits signal transducer and activator of transcription 3. Biochem Biophys Res Commun. 2005;333(1):79–87.

    CAS  Article  PubMed  Google Scholar 

  37. Mistry T, Digby JE, Chen J, Desai KM, Randeva HS. The regulation of adiponectin receptors in human prostate cancer cell lines. Biochem Biophys Res Commun. 2006;348(3):832–8.

    CAS  Article  PubMed  Google Scholar 

  38. Bub JD, Miyazaki T, Iwamoto Y. Adiponectin as a growth inhibitor in prostate cancer cells. Biochem Biophys Res Commun. 2006;340(4):1158–66.

    CAS  Article  PubMed  Google Scholar 

  39. Dieudonne MN, Bussiere M, Dos Santos E, Leneveu MC, Giudicelli Y, Pecquery R. Adiponectin mediates antiproliferative and apoptotic responses in human MCF7 breast cancer cells. Biochem Biophys Res Commun. 2006;345(1):271–9.

    CAS  Article  PubMed  Google Scholar 

  40. Takahata C, Miyoshi Y, Irahara N, Taguchi T, Tamaki Y, Noguchi S. Demonstration of adiponectin receptors 1 and 2 mRNA expression in human breast cancer cells. Cancer Lett. 2007;250(2):229–36.

    CAS  Article  PubMed  Google Scholar 

  41. Korner A, Pazaitou-Panayiotou K, Kelesidis T, Kelesidis I, Williams CJ, Kaprara A, et al. Total and high-molecular-weight adiponectin in breast cancer: in vitro and in vivo studies. J Clin Endocrinol Metab. 2007;92(3):1041–8.

    Article  PubMed  Google Scholar 

  42. Wang Y, Lam JB, Lam KS, Liu J, Lam MC, Hoo RL, et al. Adiponectin modulates the glycogen synthase kinase-3beta/beta-catenin signaling pathway and attenuates mammary tumorigenesis of MDA-MB-231 cells in nude mice. Cancer Res. 2006;66(23):11462–70.

    CAS  Article  PubMed  Google Scholar 

  43. Takemura Y, Osuga Y, Yamauchi T, Kobayashi M, Harada M, Hirata T, et al. Expression of adiponectin receptors and its possible implication in the human endometrium. Endocrinology. 2006;147(7):3203–10.

    CAS  Article  PubMed  Google Scholar 

  44. Sugiyama M, Takahashi H, Hosono K, Endo H, Kato S, Yoneda K, et al. Adiponectin inhibits colorectal cancer cell growth through the AMPK/mTOR pathway. Int J Oncol. 2009;34(2):339–44.

    CAS  PubMed  Google Scholar 

  45. Tsuchida A, Yamauchi T, Ito Y, Hada Y, Maki T, Takekawa S, et al. Insulin/Foxo1 pathway regulates expression levels of adiponectin receptors and adiponectin sensitivity. J Biol Chem. 2004;279(29):30817–22.

    CAS  Article  PubMed  Google Scholar 

  46. Brakenhielm E, Veitonmaki N, Cao R, Kihara S, Matsuzawa Y, Zhivotovsky B, et al. Adiponectin-induced antiangiogenesis and antitumor activity involve caspase-mediated endothelial cell apoptosis. Proc Natl Acad Sci USA. 2004;101(8):2476–81.

    CAS  Article  PubMed  Google Scholar 

  47. Petridou ET, Mitsiades N, Gialamas S, Angelopoulos M, Skalkidou A, Dessypris N, et al. Circulating adiponectin levels and expression of adiponectin receptors in relation to lung cancer: two case-control studies. Oncology. 2007;73(3–4):261–9.

    CAS  Article  PubMed  Google Scholar 

  48. Yoneda K, Tomimoto A, Endo H, Iida H, Sugiyama M, Takahashi H, et al. Expression of adiponectin receptors, AdipoR1 and AdipoR2, in normal colon epithelium and colon cancer tissue. Oncol Rep. 2008;20(3):479–83.

    CAS  PubMed  Google Scholar 

  49. Barresi V, Grosso M, Giuffre G, Tuccari G, Barresi G. The expression of adiponectin receptors Adipo-R1 and Adipo-R2 is associated with an intestinal histotype and longer survival in gastric carcinoma. J Clin Pathol. 2009;62(8):705–9.

    CAS  Article  PubMed  Google Scholar 

  50. Songun I, van de Velde CJ, Hermans J, Pals ST, Verspaget HW, Vis AN, et al. Expression of oncoproteins and the amount of eosinophilic and lymphocytic infiltrates can be used as prognostic factors in gastric cancer. Dutch Gastric Cancer Group (DGCG). Br J Cancer. 1996;74(11):1783–8.

    CAS  PubMed  Google Scholar 

  51. Lee HE, Chae SW, Lee YJ, Kim MA, Lee HS, Lee BL, et al. Prognostic implications of type and density of tumour-infiltrating lymphocytes in gastric cancer. Br J Cancer. 2008;99(10):1704–11.

    CAS  Article  PubMed  Google Scholar 

  52. Simons PJ, van den Pangaart PS, Aerts JM, Boon L. Pro-inflammatory delipidizing cytokines reduce adiponectin secretion from human adipocytes without affecting adiponectin oligomerization. J Endocrinol. 2007;192(2):289–99.

    CAS  Article  PubMed  Google Scholar 

  53. Ura H, Obara T, Yokota K, Shibata Y, Okamura K, Namiki M. Effects of transforming growth factor-beta released from gastric carcinoma cells on the contraction of collagen-matrix gels containing fibroblasts. Cancer Res. 1991;51(13):3550–4.

    CAS  PubMed  Google Scholar 

  54. Yoshida K, Yokozaki H, Niimoto M, Ito H, Ito M, Tahara E. Expression of TGF-beta and procollagen type I and type III in human gastric carcinomas. Int J Cancer. 1989;44(3):394–8.

    CAS  Article  PubMed  Google Scholar 

  55. Mahara K, Kato J, Terui T, Takimoto R, Horimoto M, Murakami T, et al. Transforming growth factor beta 1 secreted from scirrhous gastric cancer cells is associated with excess collagen deposition in the tissue. Br J Cancer. 1994;69(4):777–83.

    CAS  PubMed  Google Scholar 

  56. Mizoi T, Ohtani H, Miyazono K, Miyazawa M, Matsuno S, Nagura H. Immunoelectron microscopic localization of transforming growth factor beta 1 and latent transforming growth factor beta 1 binding protein in human gastrointestinal carcinomas: qualitative difference between cancer cells and stromal cells. Cancer Res. 1993;53(1):183–90.

    CAS  PubMed  Google Scholar 

  57. Kinugasa S, Abe S, Tachibana M, Hishikawa Y, Yoshimura H, Monden N, et al. Overexpression of transforming growth factor-beta1 in scirrhous carcinoma of the stomach correlates with decreased survival. Oncology. 1998;55(6):582–7.

    CAS  Article  PubMed  Google Scholar 

  58. Saito H, Tsujitani S, Oka S, Kondo A, Ikeguchi M, Maeta M, et al. The expression of transforming growth factor-beta1 is significantly correlated with the expression of vascular endothelial growth factor and poor prognosis of patients with advanced gastric carcinoma. Cancer. 1999;86(8):1455–62.

    CAS  Article  PubMed  Google Scholar 

  59. Saito H, Tsujitani S, Oka S, Kondo A, Ikeguchi M, Maeta M, et al. An elevated serum level of transforming growth factor-beta 1 (TGF-beta 1) significantly correlated with lymph node metastasis and poor prognosis in patients with gastric carcinoma. Anticancer Res. 2000;20(6B):4489–93.

    CAS  PubMed  Google Scholar 

  60. Tada T, Ohzeki S, Utsumi K, Takiuchi H, Muramatsu M, Li XF, et al. Transforming growth factor-beta-induced inhibition of T cell function. Susceptibility difference in T cells of various phenotypes and functions and its relevance to immunosuppression in the tumor-bearing state. J Immunol. 1991;146(3):1077–82.

    CAS  PubMed  Google Scholar 

  61. Derynck R, Akhurst RJ, Balmain A. TGF-beta signaling in tumor suppression and cancer progression. Nat Genet. 2001;29(2):117–29.

    CAS  Article  PubMed  Google Scholar 

  62. Wakefield LM, Roberts AB. TGF-beta signaling: positive and negative effects on tumorigenesis. Curr Opin Genet Dev. 2002;12(1):22–9.

    CAS  Article  PubMed  Google Scholar 

  63. Pertovaara L, Kaipainen A, Mustonen T, Orpana A, Ferrara N, Saksela O, et al. Vascular endothelial growth factor is induced in response to transforming growth factor-beta in fibroblastic and epithelial cells. J Biol Chem. 1994;269(9):6271–4.

    CAS  PubMed  Google Scholar 

  64. Laiho M, Keski-Oja J. Growth factors in the regulation of pericellular proteolysis: a review. Cancer Res. 1989;49(10):2533–53.

    CAS  PubMed  Google Scholar 

Download references

Author information

Affiliations

Authors

Corresponding author

Correspondence to Kensuke Otani.

Rights and permissions

Reprints and Permissions

About this article

Cite this article

Otani, K., Kitayama, J., Kamei, T. et al. Adiponectin receptors are downregulated in human gastric cancer. J Gastroenterol 45, 918–927 (2010). https://doi.org/10.1007/s00535-010-0228-2

Download citation

  • Received:

  • Accepted:

  • Published:

  • Issue Date:

  • DOI: https://doi.org/10.1007/s00535-010-0228-2

Keywords

  • Adiponectin
  • AdipoR1
  • AdipoR2
  • Gastric cancer
  • TGF-β