Skip to main content

Xanthogranulomatous cholecystitis: the use of preoperative CT findings to differentiate it from gallbladder carcinoma

Abstract

Background and aim

A retrospective analysis was performed on 32 patients with histologically confirmed xanthogranulomatous cholecystitis (XGC) and 21 patients with gallbladder carcinoma who underwent surgical treatment between 1998 and 2007.

Methods

All patients underwent preoperative CT scanning. The CT features analyzed were: the presence of intramural hypoattenuated nodules or bands, mucosal line, the patterns of wall thickening and enhancement, and the presence of stones in the gallbladder. The variables of the CT findings with XGC were analyzed using multivariate logistic regression analysis.

Results

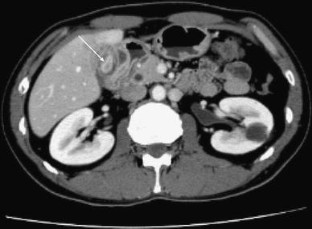
Intramural hypoattenuated nodules were observed in 21 patients (65%) with XGC, but in only six patients (29%) with gallbladder carcinoma (< 0.01). The mucosal line was observed in 27 patients (84%) with XGC and in only four patients (19%) with gallbladder carcinoma (< 0.0001). Gallstones were noted in 24 patients (75%) with XGC and five patients (24%) with gallbladder carcinoma (< 0.001). There was no significant difference in the pattern of gallbladder wall thickening (diffuse or focal) and the presence of changes outside the gallbladder. Multivariate logistic regression analysis revealed from the CT features that the enhanced continuous mucosal line (= 0.0013) and the presence of gallstones (= 0.0072) were independently correlated with XGC.

Conclusion

CT features of the enhanced continuous mucosal line in a thickened gallbladder wall, together with gallstones in a patient with chronic gallbladder disease, are highly suggestive of XGC. Accurate diagnosis of XGC may therefore indicate the need to select a less aggressive surgical approach.

This is a preview of subscription content, access via your institution.

Fig. 1
Fig. 2
Fig. 3

References

  1. Shuto R, Kiyosue H, Komatsu E, Matsumoto S, Kawano K, Kondo Y, et al. CT and MR imaging findings of xanthogranulomatous cholecystitis: correlation with pathologic findings. Eur Radiol. 2004;14:440–6.

    PubMed  Article  Google Scholar 

  2. Srikanth G, Kumar A, Khare R, Siddappa L, Gupta A, Sikora SS, et al. Should laparoscopic cholecystectomy be performed in patients with thick-walled gallbladder? J Hepatobiliary Pancreat Surg. 2004;11:40–4.

    PubMed  Article  Google Scholar 

  3. Guzmán-Valdivia G. Xanthogranulomatous cholecystitis in laparoscopic surgery. J Gastrointest Surg. 2005;9:494–7.

    PubMed  Article  Google Scholar 

  4. Yang T, Zhang BH, Zhang J, Zhang YJ, Jiang XQ, Wu MC. Surgical treatment of xanthogranulomatous cholecystitis: experience in 33 cases. Hepatobiliary Pancreat Dis Int. 2007;6:504–8.

    PubMed  Google Scholar 

  5. Ros PR, Goodman ZD. Xanthogranulomatous cholecystitis versus gallbladder carcinoma. Radiology. 1997;203:10–2.

    PubMed  CAS  Google Scholar 

  6. Dixit VK, Prakash A, Gupta A, Pandey M, Gautam A, Kumar M, et al. Xanthogranulomatous cholecystitis. Dig Dis Sci. 1998;43:940–2.

    PubMed  Article  CAS  Google Scholar 

  7. Houston JP, Collins MC, Cameron I, Reed MW, Parsons MA. Roberts KM Xanthogranulomatous cholecystitis. Br J Surg. 1994;81:1030–2.

    PubMed  Article  CAS  Google Scholar 

  8. Matsuki M, Inada Y, Nakai G, Tatsugami F, Tanikake M, Narabayashi I, et al. Diffusion-weighed MR imaging of pancreatic carcinoma. Abdom Imaging. 2007;32:481–3.

    PubMed  Article  CAS  Google Scholar 

  9. Nasu K, Kuroki Y, Nawano S, Kuroki S, Tsukamoto T, Yamamoto S, et al. Hepatic metastases: diffusion-weighted sensitivity-encoding versus SPIO-enhanced MR imaging. Radiology. 2006;239:122–30.

    PubMed  Article  Google Scholar 

  10. Koh T, Tanigichi H, Yamaguchi A, Kunishima S. Differential diagnosis of gallbladder cancer using positron emission tomography with fluorine–18-labeled fluoro-deoxyglucose (FDG PET). J Surg Oncol. 2003;84:74–81.

    PubMed  Article  Google Scholar 

  11. Anderson CD, Rice MH, Pinson CW, Chapman WC, Chari RS, Delbeke D. Fluorodeoxyglucose PET imaging in the evaluation of gallbladder carcinoma and cholangiocarcinoma. J Gastrointest Surg. 2004;8:90–7.

    PubMed  Article  Google Scholar 

  12. Casas D, Pérez-Andrés R, Jiménez JA, Mariscal A, Cuadras P, Salas M, et al. Xanthogranulomatous cholecystitis: a radiological study of 12 cases and a review of the literature. Abdom Imaging. 1996;21:456–60.

    PubMed  Article  CAS  Google Scholar 

  13. Akyürek N, Irkörücü O, Salman B, Erdem O, Sare M, Tatlicioğlu E. Unexpected gallbladder cancer during laparoscopic cholecystectomy. J Hepatobiliary Pancreat Surg. 2004;11:357–61.

    PubMed  Article  Google Scholar 

  14. Kawate S, Ohwada S, Ikota H, Hamada K, Kashiwabara K, Morishita Y. Xanthogranulomatous cholangitis causing obstructive jaundice: a case report. World J Gastroenterol. 2006;12:4428–30.

    PubMed  Google Scholar 

  15. Pinocy J, Lange A, Konig C, Kaiserling E, Becker HD, Krober SM. Xanthogranulomatous cholecystitis resembling carcinoma with extensive tumorous infiltration of the liver and colon. Langenbecks Arch Surg. 2003;388:48–51.

    PubMed  Google Scholar 

  16. Spinelli A, Schumacher G, Pascher A, Lopez-Hanninen E, Al-Abadi H, Benckert C, et al. Extended surgical resection for xanthogranulomatous cholecystitis mimicking advanced gallbladder carcinoma: a case report and review of literature. World J Gastroenterol. 2006;12:2293–6.

    PubMed  Google Scholar 

  17. Parra JA, Acinas O, Bueno J, Güezmes A, Fernández MA, Fariñas MC. Xanthogranulomatous cholecystitis: clinical, sonographic, and CT findings in 26 patients. AJR Am J Roentgenol. 2000;174:979–83.

    PubMed  CAS  Google Scholar 

  18. Kwon AH, Matsui Y, Uemura Y. Surgical procedures and histopathologic findings for patients with xanthogranulomatous cholecystitis. J Am Coll Surg. 2004;199:204–10.

    PubMed  Article  Google Scholar 

  19. Kim PN, Lee SH, Gong GY, Kim JG, Ha HK, Lee YJ, et al. Xanthogranulomatous cholecystitis: radiologic findings with histologic correlation that focuses on intramural nodules. AJR Am J Roentgenol. 1999;172:949–53.

    PubMed  CAS  Google Scholar 

  20. Chun KA, Ha HK, Yu ES, Shinn KS, Kim KW, Lee DH, et al. Xanthogranulomatous cholecystitis: CT features with emphasis on differentiation from gallbladder carcinoma. Radiology. 1997;203:93–7.

    PubMed  CAS  Google Scholar 

Download references

Author information

Affiliations

Authors

Corresponding author

Correspondence to Hiroki Yamaue.

About this article

Cite this article

Uchiyama, K., Ozawa, S., Ueno, M. et al. Xanthogranulomatous cholecystitis: the use of preoperative CT findings to differentiate it from gallbladder carcinoma. J Hepatobiliary Pancreat Surg 16, 333–338 (2009). https://doi.org/10.1007/s00534-009-0067-9

Download citation

  • Received:

  • Accepted:

  • Published:

  • Issue Date:

  • DOI: https://doi.org/10.1007/s00534-009-0067-9

Keywords

  • Xanthogranulomatous cholecystitis (XGC)
  • Gallbladder carcinoma
  • CT scan
  • FDG-PET
  • Diffusion-weighted (DW) MRI