Skip to main content

Needling the liver: Time of Young Lion

I came across a copy of an essay written by Professor Tadayoshi Takemoto (Emeritus Professor at the Institute of Gastroenterology, Tokyo Women’s Medical University [TWMU]) that describes the study of endoscopy in the Institute. In that essay he mentions my struggle to develop percutaneous transhepatic cholangio-drainage (PTCD, or percutaneous transhepatic biliary drainage [PTBD]) for treatment of obstructive jaundice when I was a resident doctor. At that time, we did not have endoscopic retrograde cholangiopancreatography (ERCP), not to mention sonography, computed tomography (CT), or magnetic resonance imagine (MRI); it was difficult to diagnose or treat jaundice. The essay is a description of a young doctor struggling in clinical studies, written from the viewpoint of Professor Takemoto as an outside observer. At that time, I was a resident surgical doctor at the Institute of Gastroenterology, Tokyo Women’s Medical University established by Professor Komei Nakayama (who passed away in 2005); Professor Takemoto was a professor and chairman of the Department of Gastroenterology and also chief of the Gastroenterological Endoscopy Department. Professor Takemoto has no experience of having worked together with me but wrote about my efforts through his great insight.

The essay is titled ldNeedling the Liver,” contained in a section called “Children of Endoscopy,” published by Professor Takemoto.

Professor Takemoto specialized in endoscopy while my research was conducted by X-ray apparatus. I have no idea why Professor Takemoto chose my research as a topic, since it had little to do with his specialty. At any rate, my efforts and struggles were depicted through the eyes of Professor Takemoto. I was then in my third year as a resident doctor. I make this paper public with a view to encouraging young doctors to take up the torch during those times when great efforts in clinical studies are needed.

Needling the Liver

“This is it! This is wonderful. I have never done treatments that way. I have never even seen it done!”

“Dr. Takada, a resident doctor, did it.”

“That’s wonderful! Dr. Takeda, quickly, write a paper on it in English.”

Toward the end of 1972, Professor Nakayama, head of the Institute of Gastroenterology, Tokyo Women’s Medical University (TWMU), praised the work of a young resident doctor to the staff of the Institute. Dr. Takada, or Tadahiro Takada, was then 30 years old and in his fifth year as a resident doctor. He was one of the second generation of students who had graduated from the Institute of Gastroenterology, TWMU, where Professor Nakayama had established a resident system. It was uncommon to receive such praise from the founder of the Institute whose usual ritual was to lecture.

Professor Nakayama’s praise of Dr. Takada was in regard to the technology called percutaneous transhepatic cholangio-drainage (PTCD) (also known as percutaneous tranhepatic biliary drainage [PTBD]) that Dr. Takada had developed. Professor Nakayama further advised Dr. Takada to write a paper on the subject in English. In the early 1970s it was rare for Japanese surgical doctors to write a paper in English, and there had been no such precedent at the Institute. PTCD technology would become popular not only in Japan but also among doctors the world over.

Upon hearing Professor Nakayama’s praise, Dr. Takada was filled with deep emotion. The result of years of effort and hard work at the Institute was at last recognized. Two years had already passed since Dr. Takada first developed PTCD.

PTCD is used for cases of obstructive jaundice, a symptom where the eyes, hands, legs, or the entire body is yellowed because the concentration of bilirubin (i.e., a pigment in bile) reaches the higher blood levels, due to the inadequate flow of bile through the duct because of biliary calculuses or cancer. If a case of obstructive jaundice is left untreated, the patient is likely to suffer hepatic dysfunction, renal dysfunction, or bleeding in the digestive tract, which leads to death.

Nowadays, it can be easily cured thanks to PTCD. If you would like to watch a live treatment with PTCD, you may come to the Institute of Gastroenterology, TWMU Hospital. There you will see patients walking in the hallway wearing hospital gowns and carrying plastic collection bottles filled with dark liquid. Extending from the bottles are tubes that connect to the patient to drain the bile. Most of these patients are treated with PTCD to abate the symptom of jaundice.

PTCD is used on a daily basis. The PTCD treatment is to directly stick a long needle into the section of bile duct in the liver (hepatic duct) from outside of the body and insert a tube to remove bile that is the cause of jaundice.

In 1967 when Takada joined the Institute, clinical doctors were challenged by how to reduce jaundice. The easiest way was a surgical operation; however, it put heavy stress on the liver, already under stress from jaundice. Moreover, the mortality rate was as high as about 30% of patients who had undergone an operation simply to remove the symptom of jaundice.

Is there any other way?

“When I joined the Institute, I saw a lot of cases of recurrent gastric cancer patients who died, having jaundice and hematemesis with oliguria. I had always wanted to alleviate the jaundice in such patients. I think it was that desire which led to the idea of percutaneous transhepatic cholangio-drainage (PTCD),” said Dr. Takada about his motive for the development of PTCD.

Dr. Takada graduated from the School of Medicine, Chiba University. When he was about to finish his internship at that school, he learned that the Institute of Gastroenterology, Tokyo Women’s Medical University Hospital, was recruiting resident doctors. He applied for the position and was hired by the Institute, where patients with recurrent gastric cancer were dying agonizing deaths due to jaundice.

Always thinking of how to safely alleviate the symptom of jaundice without surgical intervention, Dr. Takada heard that doctors at the Department of Surgery I, Chiba University, stuck a needle into patients through the flank and inserted a pipe to drain bile that had accumulated in their bodies. He was then in his third year as a resident doctor (1970). He asked Dr. Fujio Hanyu, then associate professor at the Institute, to write a letter to that department requesting that Dr. Takada watch the paracentesis being practiced at Chiba University. He saw the procedure three times but each time it failed. He returned to the Institute of Gastroenterology, TWMU, with no further observation, and thought there should be other ways.

“That was a totally new invention,” remembered Dr. Takada, referring to the percutaneous transhepatic cholangiography (PTC) (Fig. 1) that he experienced the first year he joined the Institute (1967). PTC involved sticking a thin needle into the flank and hepatic duct and injecting a contrast medium, thus enabling more precise diagnosis of biliary calculuses or cancers. However, further study was needed on how to remove the symptom of jaundice, and Dr. Takada resolved to do this. He heard of, and went to see, the paracentesis at Chiba University, but it had not been successful.

Fig. 1
figure 1

Practice of percutaneous transhepatic cholangiography (PTC). A needle is inserted into the section of the bile duct in the liver under fluoroscopic monitoring and a contrast medium is injected into the biliary tract for cholangiography

How could it be done?

Dr. Takada thought of inserting a needle through the front side of the body instead of the flank (Fig. 2). At Chiba University, they X-rayed patients and tried to insert a needle through the flank, depending upon the contrast medium, but they failed. Two-dimensional images from the front side do not provide any information on the depth in the body. Without information on the depth in the body, sticking a needle that is sometimes thicker than that for taking images depends largely on the surgeon’s instinct. If the surgeon inserts a needle in the front side, he can know the position of the bile duct in a two-dimensional plane. For the depth in the body, he can insert a needle to sufficiently exact depths based on the data obtained from images of the inside of the body.

Fig. 2
figure 2

Performance of percutaneous transhepatic cholangiodrainage (PTCD) under fluoroscopic monitoring (direct approach). After PTC, a needle is inserted into the intrahepatic bile duct from the top of the obtained cholangiogram (along the direction of projection of radiations) and a catheter is inserted into the intrahepatic bile duct for biliary drainage

Then Dr. Takada had an idea, but his main problem was how to test it at the Institute of Gastroenterology, TWMU University Hospital. His attempts led to a bitter experience. Even though he was only in his first year as a resident doctor, he argued that PTC be used to take images within the body so that it would be possible to check the biliary system, the situation of which was difficult to see and understand. At that time, ultrasonography, CT, MRI, and ERCP did not yet exist, so obstructive jaundice could be diagnosed only by an abdominal operation or as a result of autopsy. Dr. Takada, therefore, dared to propose using PTC. But most of the doctors at the Institute were against it, and for reasons that are unbelievable based on common knowledge today, namely that the obstructed bile duct was under high pressure and could rupture if a contrast medium was put in it or bile leaked out of the duct. It was too risky, they said. Dr. Takada still continued to advocate using PTC. Finally Dr. Seiichiro Kobayashi, associate professor and head of the Radiology Research Department (who passed away in 1993), supported him and took responsibility for allowing the use of PTC. Dr. Takada was permitted to use it as the first staff case on condition that he would do it jointly with other staff members.

It was a success!

As a consequence, work with PTC increased at the Institute and Dr. Takada’s reputation grew. His next push was for PTCD. He argued that a needle about 3 mm thick could be inserted into the bile duct so accumulated bile could be drained out of the body. Once again Dr. Takada faced strong opposition within the Institute. They were worried that such treatment could kill patients and refused to allow him to proceed.

With the cooperation of contemporary residents, Dr. Takada took a patient to the Radiological Diagnosis Room at midnight and performed percutaneous drainage from the bile duct on the patient by means of a method he had devised and named direct percutaneous transhepatic cholangio-drainage under fluoroscopic monitoring.

When this first use of the method was a success, the atmosphere totally changed at the Institute. He received successive requests for drainage, and even during meetings of academic societies, he was sometimes called by telephone and had to return to the Institute to perform PTCD. Yet he still had to practice diagnosis by means of PTCD in the middle of the night, i.e., he conducted underground research.

It was not until the spring of 1972 when Dr. Hanyu, associate professor at the Institute of Gastroenterology (he was the most aggressive surgeon there) called and asked him to perform transhepatic drainage on a case of acute obstructive suppurative cholangitis (AOSC) with shock due to infection in the biliary system that Dr. Takada’s technology was publicly recognized. Dr. Hanyu had previously operated on some cases of obstructive jaundice with AOSC, but all patients had died during operation. Dr. Hanyu said he had asked Dr. Takada to rise to the challenge, which he did. Dr. Tadahiro Takada succeeded in diagnosing and treating the case. Following this successful drainage, he was allowed to conduct his own style of treatment at the Institute of Gastroenterology, TWMU Hospital.

Toward the end of that year, Dr. Takada’s technology attracted Dr. Nakayama’s attention, when Dr. Takada presented at a medical conference a serious case of cholangitic hepatic abscesses that could have been diagnosed only by autopsy but had actually been diagnosed and treated clinically by means of PTCD (Figs. 3 and 4). Dr. Nakayama listened to his presentation and advised him to write a paper on PTCD in English, whereupon his technology became known worldwide.

Fig. 3
figure 3

The first case in the world of cholangitic hepatic abscesses that could be diagnosed and treated by means of PTCD. When PTC was performed, images of numerous cyst-like shadows in disorderly shapes continuing from the hepatic bile duct were seen (left). The bile duct in the lower section was blocked. Suctioned bile was pus. Then biliary drainage was performed by means of PTCD immediately

Fig. 4
figure 4

Cholangiogram 4 days later, when the condition of the whole body had been improved. The numerous cyst-like shadows in disorderly shapes continuing from the hepatic bile duct that were seen in the first instance of cholangiography were much fewer and much smaller in size (left). Cholangiography at the time when the whole body condition had been completely improved shows that the cyst-like shadows in the liver had completely disappeared and there was only one spot of suspended stones in the common bile duct

Being at the bedside of patients with serious jaundice, Dr. Takada had searched for a cure for jaundice, and after much struggle, developed the percutaneous transhepatic cholangio-drainage (PTCD) technology. The fruit of his struggle was finally made known to the world thanks to the praise of the renowned Professor Nakayama. Dr. Takada was employed as the only fellow among the first and second generation of resident doctors at the Institute; resident doctors at the Institute were generally not employed as fellows by Tokyo Women’s Medical University Hospital, and after 6 years of training they had to find positions at other local hospitals, according to a policy enacted by Professor Nakayama, head of the Institute. Only Dr. Takada stayed on at TWMU Hospital as a fellow, and he went on to become assistant professor, then associate professor, then fulltime professor, and finally, professor and chairman of the Department of Surgery (Teikyo University School of Medicine).

In the early stages, paracentesis in PTCD was performed under X-ray monitoring. Improvements now mean it can be performed under ultrasonic monitoring, which is used nowadays.

“Thanks to patients, I arrived at the idea of percutaneous transhepatic cholangio-drainage,” Dr. Takada said as he remembered the opportunities that led to his great leap, one that led him to become an apprentice to Professor Nakayama.

In his fourth year as a resident doctor, Dr. Takada further developed percutaneous transhepatic cholangio-drainage into percutaneous transhepatic cholangioscopy (PTCS), for the first time in the world (Figs. 5 and 6). The endoscope had so far been inserted perorally to observe the inside of the body; by contrast, in PTCS, it was inserted through an artificial tube inserted percutaneously to observe the inside of the bile duct. As in endoscopy or ERCP for the digestive tract, once there was a technological breakthrough in the field of biliary drainage, various diagnostic or treatment tools have developed and medicine advances once again.

Fig. 5
figure 5

The first case of percutaneous transhepatic cholangioscopy (PTCS) in the world. The arrow shows where the endoscope is inserted

Fig. 6
figure 6

The first case of percutaneous transhepatic bile duct biopsy in the world. This is a case of recurrent gastric cancer combined with obstructive jaundice. The bile cytology showed that it was Class 1 but the result of biopsy exactly revealed the existence of cancer cells in tissues under the epithelium of the bile duct

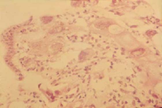
Fig. 7
figure 7

Biopsied specimen through percutaneous transhepatic bile duct biopsy. The membrane of the bile duct was normal; however, cancer cells were found in tissues under the membrane of the bile duct

References

  1. T Takada S Kobayashi A Yamada S Suzuki I Uchimura M Nakamura et al. (1972) ArticleTitlePercutaneous transhepatic cholangiodrainage to relieve obstructive jaundice J Tokyo Women’s Medical Coll 9 692–700

    Google Scholar 

  2. T Takada F Hanyu S Kobayashi Y Mikoshiba K Hamano (1972) Percutaneous transhepatic cholangiodrainage and cholangioscopy for the cases of severe obstructive jaundice caused by pancreatic tumor P Stefanini V Speranza (Eds) Proceedings of the 18th World Congress of the International College of Surgeons Elsevier New York 478–81

    Google Scholar 

  3. T Takada F Hanyu Y Mikoshiba S Kobayashi K Nakayama (1974) ArticleTitleSevere choledochocholangitis causing numerous cyst-like hepatic abscesses Int Surg 59 180–2 Occurrence Handle1:STN:280:DyaE2c7kvFyktA%3D%3D Occurrence Handle4596289

    CAS  PubMed  Google Scholar 

  4. T Takada S Suzuki M Nakamura F Hanyu S Kobayashi (1974) ArticleTitlePercutaneous transhepatic cholangioscopy as a new approach to the diagnosis of the biliary diseases Gastroenterol Endosc 16 106–11

    Google Scholar 

  5. T Takada F Hanyu S Kobayashi Y Uchida (1976) ArticleTitlePercutaneous transhepatic cholangial drainage; direct approach under fluoroscopic control J Surg Oncol 8 83–97 Occurrence Handle10.1002/jso.2930080113 Occurrence Handle1:STN:280:DyaE287isVWhsQ%3D%3D Occurrence Handle1249944

    Article  CAS  PubMed  Google Scholar 

  6. T Takada Y Uchida H Yasuda S Kobayashi N Sakakibara F Hanyu (1977) ArticleTitleConversion of percutaneous transhepatic cholagiodrainage to internal drainage in obstructive jaundice Jpn J Surg 7 10–7 10.1007/BF02469402 Occurrence Handle10.1007/BF02469402 Occurrence Handle1:STN:280:DyaE2s7mvVymsA%3D%3D Occurrence Handle857061

    Article  CAS  PubMed  Google Scholar 

  7. T Takada H Yasuda (1996) ArticleTitleValue of preoperative biliary drainage prior to bile duct cancer surgery; results of a retrospective review Asian J Surg 19 84–7

    Google Scholar 

  8. T Takada (2001) ArticleTitleIs preoperative biliary drainage necessary according to evidence-based medicine? J Hepatobiliary Pancreat Surg 8 58–640 10.1007/s005340170051 Occurrence Handle10.1007/s005340170051 Occurrence Handle1:STN:280:DC%2BD3Mvkslaqsg%3D%3D Occurrence Handle11294291

    Article  CAS  PubMed  Google Scholar 

Download references

Author information

Affiliations

Authors

Corresponding author

Correspondence to Tadahiro Takada M.D., F.A.C.S., F.R.C.S..

About this article

Cite this article

Takada, T. Needling the liver: Time of Young Lion. J Hepatobiliary Pancreat Surg 14, 122 (2007). https://doi.org/10.1007/s00534-006-1164-7

Download citation

  • Published:

  • DOI: https://doi.org/10.1007/s00534-006-1164-7

Keywords

  • Bile Duct
  • Biliary Drainage
  • Obstructive Jaundice
  • Percutaneous Transhepatic Biliary Drainage
  • Percutaneous Transhepatic Cholangiography