Abstract
Background
Data on the risk factors for chronic kidney disease in children with immunoglobulin A nephropathy (IgAN) are scarce. This study was aimed at investigating whether glomerular C4d immunostaining is a prognostic marker in pediatric IgAN.
Methods
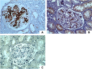
In this retrospective cohort study, 47 patients with IgAN biopsied from 1982 to 2010 were evaluated. Immunohistochemistry for C4d was performed in all cases. For analysis, patients were grouped according to positivity or not for C4d in the mesangial area. Primary outcome was a decline in baseline estimated glomerular filtration rate (eGFR) by 50% or more.
Results
Median follow-up was 8.3 years. Median renal survival was 13.7 years and the probability of a 50% decline in eGFR was 13% over 10 years. Nine children exhibited the primary outcome and 4 developed end-stage renal disease (ESRD). Compared with C4d-negative patients (n = 10), C4d-positive patients (n = 37) presented higher baseline proteinuria (1.66 ± 0.68 vs 0.47 ± 0.19 g/day/1.73 m2, p < 0.001), a progressive decline in eGFR (−10.04 ± 19.38 vs 1.70 ± 18.51 ml/min/1.73 m2/year; p = 0.045), and more frequently achieved the primary outcome (50.0 vs 10.8%, p = 0.013), and ESRD (30.0 vs 2.7%, p = 0.026). No difference was observed in Oxford classification variables. Baseline proteinuria, endocapillary hypercellularity and mesangial C4d deposition were associated with primary outcome in univariate analysis. Proteinuria and mesangial C4d deposition at baseline independently predicted the decline in eGFR. Renal survival was significantly reduced in C4d-positive patients (8.6 vs 15.1 years in C4d-negative patients, p < 0.001).
Conclusions
In this exclusively pediatric cohort, positivity for C4d in the mesangial area was an independent predictor of renal function deterioration in IgAN.




References
Wyatt RJ, Julian BA (2013) IgA nephropathy. N Engl J Med 368:2402–2414
Gutiérrez E, Zamora I, Ballarín JA, Arce Y, Jiménez S, Quereda C, Olea T, Martínez-Ara J, Segarra A, Bernis C, García A, Goicoechea M, García de Vinuesa S, Rojas-Rivera J, Praga M, Grupo de Estudio de Enfermedades Glomerulares de la Sociedad Española de Nefrología (GLOSEN) (2012) Long-term outcomes of IgA nephropathy presenting with minimal or no proteinuria. J Am Soc Nephrol 23:1753–1760
Lv J, Shi S, Xu D, Zhang H, Troyanov S, Cattran DC, Wang H (2013) Evaluation of the Oxford classification of IgA nephropathy: a systematic review and meta-analysis. Am J Kidney Dis 62:891–899
Taal MW, Brenner BM (2006) Predicting initiation and progression of chronic kidney disease: developing renal risk scores. Kidney Int 70:1694–1705
Taal MW, Brenner BM (2008) Renal risk scores: progress and prospects. Kidney Int 73:1216–1219
Tangri N, Stevens LA, Griffith J, Tighiouart H, Djurdjev O, Naimark D, Levin A, Levey AS (2011) A predictive model for progression of chronic kidney disease to kidney failure. JAMA 305:1553–1559
Bartosik LP, Lajoie G, Sugar L, Cattran DC (2001) Predicting progression in IgA nephropathy. Am J Kidney Dis 38:728–735
Cattran DC, Coppo R, Cook HT, Feehally J, Roberts ISD, Troyanov S, Alpers CE, Amore A, Barratt J, Berthoux F, Bonsib S, Bruijn JA, D’Agati V, D’Amico G, Emancipator S, Emma F, Ferrario F, Fervenza FC, Florquin S, Fogo A, Geddes CC, Groene HJ, Haas M, Herzenberg AM, Hill PA, Hogg RJ, Hsu SI, Jennette JC, Joh K, Julian BA, Kawamura T, Lai FM, Leung CB, Li LS, Li PK, Liu ZH, Mackinnon B, Mezzano S, Schena FP, Tomino Y, Walker PD, Wang H, Weening JJ, Yoshikawa N, Zhang H, Working Group of the International IgA Nephropathy Network and the Renal Pathology Society (2009) The Oxford classification of IgA nephropathy: rationale, clinicopathological correlations, and classification. Kidney Int 76:534–554
Roberts ISD, Cook HT, Troyanov S, Alpers CE, Amore A, Barratt J, Berthoux F, Bonsib S, Bruijn JA, Cattran DC, Coppo R, D’Agati V, D’Amico G, Emancipator S, Emma F, Feehally J, Ferrario F, Fervenza FC, Florquin S, Fogo A, Geddes CC, Groene HJ, Haas M, Herzenberg AM, Hill PA, Hogg RJ, Hsu SI, Jennette JC, Joh K, Julian BA, Kawamura T, Lai FM, Li LS, Li PK, Liu ZH, Mackinnon B, Mezzano S, Schena FP, Tomino Y, Walker PD, Wang H, Weening JJ, Yoshikawa N, Zhang H, Working Group of the International IgA Nephropathy Network and the Renal Pathology Society (2009) The Oxford classification of IgA nephropathy: pathology definitions, correlations, and reproducibility. Kidney Int 76:546–556
Fabiano RC, Pinheiro SV, de Almeida AS, Silva AC (2016) Immunoglobulin A nephropathy: pathological markers of renal survival in pediatric patients. Nephrology (Carlton) 21:995–1002
Mina SN, Murphy MW (1985) IgA nephropathy. A comparative study of the clinicopathologic features in children and adults. Am J Clin Pathol 83:669–675
Okada K, Funai M, Kawakami K, Kagami S, Yano I, Kuroda Y (1990) IgA nephropathy in Japanese children and adults: a comparative study of clinicopathological features. Am J Nephrol 10:191–197
Ikezumi Y, Suzuki T, Imai N, Ueno M, Narita I, Kawachi H, Shimizu F, Nikolic-Paterson DJ, Uchiyama M (2006) Histological differences in new-onset IgA nephropathy between children and adults. Nephrol Dial Transplant 21:3466–3474
Hastings MC, Moldoveanu Z, Suzuki H, Berthoux F, Julian BA, Sanders JT, Renfrow MB, Novak J, Wyatt RJ (2013) Biomarkers in IgA nephropathy: relationship to pathogenetic hits. Expert Opin Med Diagn 7:615–627
Fabiano RC, Pinheiro SV, Simões e Silva AC (2016) Immunoglobulin A nephropathy: a pathophysiology view. Inflamm Res 65:757–770
Bellur SS, Troyanov S, Cook HT, Roberts IS (2011) Immunostaining findings in IgA nephropathy: correlation with histology and clinical outcome in the Oxford classification patient cohort. Nephrol Dial Transplant 26:2533–2536
Rauterberg EW, Lieberknecht HM, Wingen AM, Ritz E (1987) Complement membrane attack (MAC) in idiopathic IgA-glomerulonephritis. Kidney Int 31:820–829
Wyatt RJ, Julian BA (1988) Activation of complement in IgA nephropathy. Am J Kidney Dis 12:437–442
Espinosa M, Ortega R, Gómez-Carrasco JM, López-Rubio F, López-Andreu M, López-Oliva MO, Aljama P (2009) Mesangial C4d deposition: a new prognostic factor in IgA nephropathy. Nephrol Dial Transplant 24:886–891
Maeng Y-I, Kim M-K, Park J-B, Cho C-H, Oh H-K, Sung WJ, Park K-K (2013) Glomerular and tubular C4d depositions in IgA nephropathy: relations with histopathology and with albuminuria. Int J Clin Exp Pathol 6:904–910
Sahin OZ, Yavas H, Taslı F, Gibyeli DG, Ersoy R, Uzum A, Cirit M (2014) Prognostic value of glomerular C4d staining in patients with IgA nephritis. Int J Clin Exp Pathol 7:3299–3304
Espinosa M, Ortega R, Sánchez M, Segarra A, Salcedo MT, González F, Camacho R, Valdivia MA, Cabrera R, López K, Pinedo F, Gutierrez E, Valera A, Leon M, Cobo MA, Rodriguez R, Ballarín J, Arce Y, García B, Muñoz MD, Praga M, Spanish Group for Study of Glomerular Diseases (GLOSEN) (2014) Association of C4d deposition with clinical outcomes in IgA nephropathy. Clin J Am Soc Nephrol 9:897–904
Nasri H, Ahmadi A, Rafieian-Kopaei M, Bashardoust B, Nasri P, Mubarak M (2015) Association of glomerular C4d deposition with various demographic data in IgA nephropathy patients; a preliminary study. J Nephropathol 4:19–23
Galla JH (1995) IgA nephropathy. Kidney Int 47:377–387
IBGE (2000) Censo 2000. Brazilian Institute of Geography and Statistics, Rio de Janeiro, http://www.ibge.gov.br/home/estatistica/populacao/censo2000/populacao/censo2000_populacao.pdf
National High Blood Pressure Education Program Working Group on High Blood Pressure in Children and Adolescents (2004) Fourth report on the diagnosis, evaluation, and treatment of high blood pressure in children and adolescents. Pediatrics 114:555–576
Shima Y, Nakanishi K, Hama T, Mukaiyama H, Togawa H, Hashimura Y, Kaito H, Sako M, Iijima K, Yoshikawa N (2012) Validity of the Oxford classification of IgA nephropathy in children. Pediatr Nephrol 27:783–792
Schwartz GJ, Brion LP, Spitzer A (1987) The use of plasma creatinine concentration for estimating glomerular filtration rate in infants, children, and adolescents. Pediatr Clin N Am 34:571–590
Schwartz GJ, Muñoz A, Schneider MF, Mak RH, Kaskel F, Warady BA, Furth SL (2009) New equations to estimate GFR in children with CKD. J Am Soc Nephrol 20:629–637
Mestecky J, Raska M, Julian BA, Gharavi AG, Renfrow MB, Moldoveanu Z, Novak L, Matousovic K, Novak J (2013) IgA nephropathy: molecular mechanisms of the disease. Annu Rev Pathol 8:217–240
Faria B, Henriques C (2015) Combined C4d and CD3 immunostaining predicts immunoglobulin (Ig) A nephropathy progression. Clin Exp Immunol 179:354–361
Roos A, Rastaldi MP, Calvaresi N, Oortwijn BD, Schlagwein N, van Gijlswijk-Janssen DJ, Stahl GL, Matsushita M, Fujita T, van Kooten C, Daha MR (2006) Glomerular activation of the lectin pathway of complement in IgA nephropathy is associated with more severe renal disease. J Am Soc Nephrol 17:1724–1734
Maillard N, Wyatt RJ, Julian BA, Kiryluk K, Gharavi A, Fremeaux-Bacchi V, Novak J (2015) Current understanding of the role of complement in IgA nephropathy. J Am Soc Nephrol 26:1503–1512
Onda K, Ohsawa I, Ohi H, Tamano M, Mano S, Wakabayashi M, Toki A, Horikoshi S, Fujita T, Tomino Y (2011) Excretion of complement proteins and its activation marker C5b-9 in IgA nephropathy in relation to renal function. BMC Nephrol 12:64
Van Es LA, de Heer E, Vleming LJ, van der Wal A, Mallat M, Bajema I, Bruijn JA, de Fijter JW (2008) GMP-17-positive T-lymphocytes in renal tubules predict progression in early stages of IgA nephropathy. Kidney Int 73:1426–1433
Heybeli C, Unlu M, Yildiz S, Cavdar C, Sarioglu S, Camsari T (2015) IgA nephropathy: association of C4d with clinical and histopathological findings and possible role of IgM. Ren Fail 37:1464–1469
Daha MR, van Kooten C (2016) Role of complement in IgA nephropathy. J Nephrol 29:1–4
Acknowledgements
The authors dedicate this work to the deceased Professor José Silvério Santos Diniz, founder of the Pediatric Nephrology Unit, Clinics Hospital, Federal University of Minas Gerais, Brazil. The authors thank Dr Luiz Sérgio Bahia Cardoso, Dr Maria Goretti Moreira Guimarães Penido, and all other colleagues who processed medical records, managed patients, performed renal biopsies, and assisted with follow-up.
Author information
Authors and Affiliations
Corresponding author
Ethics declarations
Conflicts of interest
The authors have no conflicts to declare.
Ethical aspects
The Ethics Committee of the Federal University of Minas Gerais approved the study, according to the principles of the Declaration of Helsinki (National protocol CAAE18196713.4.0000.5149).
Financial support
FAPEMIG (Fundação de Amparo à Pesquisa do Estado de Minas Gerais, Brazil), CNPq (Conselho Nacional de Desenvolvimento Científico e Tecnológico, Brazil), and CAPES (Coordenação de Aperfeiçoamento de Pessoal de Nível Superior).
Additional information
An erratum to this article is available at http://dx.doi.org/10.1007/s00467-017-3644-1.
Rights and permissions
About this article
Cite this article
Fabiano, R.C.G., de Almeida Araújo, S., Bambirra, E.A. et al. Mesangial C4d deposition may predict progression of kidney disease in pediatric patients with IgA nephropathy. Pediatr Nephrol 32, 1211–1220 (2017). https://doi.org/10.1007/s00467-017-3610-y
Received:
Revised:
Accepted:
Published:
Issue Date:
DOI: https://doi.org/10.1007/s00467-017-3610-y