Skip to main content

Role of circulating fibroblast growth factor-2 in lipopolysaccharide-induced acute kidney injury in mice

Abstract

Fibroblast growth factor-2 (FGF-2) is an angiogenic growth factor involved in renal growth and regeneration. Previous studies in rodents revealed that single intrarenal injections of FGF-2 improved the outcome of acute kidney injury (AKI). Septic children usually show elevated plasma levels of FGF-2, and are at risk of developing AKI. However, the role of circulating FGF-2 in the pathogenesis of AKI is not well understood. We have developed a mouse model to determine how FGF-2 released into the circulation modulates the outcome of AKI induced by lipopolysaccharide (LPS). Young FVB/N mice were infected with adenoviruses carrying a secreted form of human FGF-2 or control LacZ vectors. Subsequently, when the circulating levels of FGF-2 were similar to those seen in septic children, mice were injected with a non-lethal dose of LPS or control buffer. All mice injected with LPS developed hypotension and AKI, from which they recovered after 5 days. FGF-2 did not improve the outcome of AKI, and induced more significant renal proliferative and apoptotic changes during the recovery phase. These findings suggest that circulating FGF-2 may not necessarily prevent the development or improve the outcome of AKI. Moreover, the renal accumulation of FGF-2 might cause further renal damage.

This is a preview of subscription content, access via your institution.

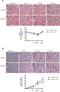
Fig. 1
Fig. 2
Fig. 3
Fig. 4
Fig. 5

References

  1. Schneider J, Khemani R, Grushkin C, Bart R (2010) Serum creatinine as stratified in the RIFLE score for acute kidney injury is associated with mortality and length of stay for children in the pediatric intensive care unit. Crit Care Med 38:933–939

    PubMed  Article  CAS  Google Scholar 

  2. Aird WC (2003) The role of the endothelium in severe sepsis and multiple organ dysfunction syndrome. Blood 101:3765–3777

    PubMed  Article  CAS  Google Scholar 

  3. El-Achkar TM, Hosein M, Dagher PC (2008) Pathways of renal injury in systemic gram-negative sepsis. Eur J Clin Invest 38[Suppl 2]:39–44

    PubMed  Article  CAS  Google Scholar 

  4. Akcay A, Nguyen Q, Edelstein CL (2009) Mediators of inflammation in acute kidney injury. Mediators Inflamm 2009:137072

    PubMed  Article  Google Scholar 

  5. Haimovitz-Friedman A, Cordon-Cardo C, Bayoumy S, Garzotto M, McLoughlin M, Gallily R, Edwards CK 3rd, Schuchman EH, Fuks Z, Kolesnick R (1997) Lipopolysaccharide induces disseminated endothelial apoptosis requiring ceramide generation. J Exp Med 186:1831–1841

    PubMed  Article  CAS  Google Scholar 

  6. Hotchkiss RS, Tinsley KW, Swanson PE, Karl IE (2002) Endothelial cell apoptosis in sepsis. Crit Care Med 30:S225–S228

    PubMed  Article  Google Scholar 

  7. Molitoris BA, Sutton TA (2004) Endothelial injury and dysfunction: role in the extension phase of acute renal failure. Kidney Int 66:496–499

    PubMed  Article  Google Scholar 

  8. Ku PT, D'Amore PA (1995) Regulation of basic fibroblast growth factor (bFGF) gene and protein expression following its release from sublethally injured endothelial cells. J Cell Biochem 58:328–343

    PubMed  Article  CAS  Google Scholar 

  9. Jones SG, Morrisey K, Phillips AO (2001) Regulation of renal proximal tubular epithelial cell fibroblast growth factor-2 generation by heparin. Am J Kidney Dis 38:597–609

    PubMed  Article  CAS  Google Scholar 

  10. Ray PE, Tassi E, Liu XH, Wellstein A (2006) Role of fibroblast growth factor-binding protein in the pathogenesis of HIV-associated hemolytic uremic syndrome. Am J Physiol Regul Integr Comp Physiol 290:R105–R113

    PubMed  Article  CAS  Google Scholar 

  11. Villanueva S, Cespedes C, Gonzalez AA, Roessler E, Vio CP (2008) Inhibition of bFGF-receptor type 2 increases kidney damage and suppresses nephrogenic protein expression after ischemic acute renal failure. Am J Physiol Regul Integr Comp Physiol 294:R819–R828

    PubMed  Article  CAS  Google Scholar 

  12. Villanueva S, Cespedes C, Gonzalez A, Vio CP (2006) bFGF induces an earlier expression of nephrogenic proteins after ischemic acute renal failure. Am J Physiol Regul Integr Comp Physiol 291:R1677–R1687

    PubMed  Article  CAS  Google Scholar 

  13. Ray PE, Bruggeman LA, Weeks BS, Kopp JB, Bryant JL, Owens JW, Notkins AL, Klotman PE (1994) bFGF and its low affinity receptors in the pathogenesis of HIV-associated nephropathy in transgenic mice. Kidney Int 46:759–772

    PubMed  Article  CAS  Google Scholar 

  14. Strutz F (2009) The role of FGF-2 in renal fibrogenesis. Front Biosci (Schol Ed) 1:125–131

    Google Scholar 

  15. Kriz W, Hahnel B, Rosener S, Elger M (1995) Long-term treatment of rats with FGF-2 results in focal segmental glomerulosclerosis. Kidney Int 48:1435–1450

    PubMed  Article  CAS  Google Scholar 

  16. Soler-Garcia AA, Rakhmanina NY, Mattison PC, Ray PE (2009) A urinary biomarker profile for children with HIV-associated renal diseases. Kidney Int 76:207–214

    PubMed  Article  CAS  Google Scholar 

  17. Ray PE, Liu XH, Xu L, Rakusan T (1999) Basic fibroblast growth factor in HIV-associated hemolytic uremic syndrome. Pediatr Nephrol 13:586–593

    PubMed  Article  CAS  Google Scholar 

  18. Ray P, Acheson D, Chitrakar R, Cnaan A, Gibbs K, Hirschman GH, Christen E, Trachtman H (2002) Basic fibroblast growth factor among children with diarrhea-associated hemolytic uremic syndrome. J Am Soc Nephrol 13:699–707

    PubMed  CAS  Google Scholar 

  19. Li Z, Jerebtsova M, Liu XH, Tang P, Ray PE (2006) Novel cystogenic role of basic fibroblast growth factor in developing rodent kidneys. Am J Physiol Renal Physiol 291:F289–F296

    PubMed  Article  CAS  Google Scholar 

  20. Kozarsky K, Grossman M, Wilson JM (1993) Adenovirus-mediated correction of the genetic defect in hepatocytes from patients with familial hypercholesterolemia. Somat Cell Mol Genet 19:449–458

    PubMed  Article  CAS  Google Scholar 

  21. Gupta AR, Dejneka NS, D'Amato RJ, Yang Z, Syed N, Maguire AM, Bennett J (2001) Strain-dependent anterior segment neovascularization following intravitreal gene transfer of basic fibroblast growth factor (bFGF). J Gene Med 3:252–259

    PubMed  Article  CAS  Google Scholar 

  22. Jerebtsova M, Wong E, Przygodzki R, Tang P, Ray PE (2007) A novel role of fibroblast growth factor-2 and pentosan polysulfate in the pathogenesis of intestinal bleeding in mice. Am J Physiol Heart Circ Physiol 292:H743–H750

    PubMed  Article  CAS  Google Scholar 

  23. Krege JH, Hodgin JB, Hagaman JR, Smithies O (1995) A noninvasive computerized tail-cuff system for measuring blood pressure in mice. Hypertension 25:1111–1115

    PubMed  CAS  Google Scholar 

  24. Soler-Garcia AA, Johnson D, Hathout Y, Ray PE (2009) Iron-related proteins: candidate urine biomarkers in childhood HIV-associated renal diseases. Clin J Am Soc Nephrol 4:763–771

    PubMed  Article  CAS  Google Scholar 

  25. Kjeldsen L, Koch C, Arnljots K, Borregaard N (1996) Characterization of two ELISAs for NGAL, a newly described lipocalin in human neutrophils. J Immunol Methods 198:155–164

    PubMed  Article  CAS  Google Scholar 

  26. Mankhambo LA, Banda DL, Jeffers G, White SA, Balmer P, Nkhoma S, Phiri H, Molyneux EM, Hart CA, Molyneux ME, Heyderman RS, Carrol ED (2010) The role of angiogenic factors in predicting clinical outcome in severe bacterial infection in Malawian children. Crit Care 14:R91

    PubMed  Article  Google Scholar 

  27. Miyaji T, Hu X, Yuen PS, Muramatsu Y, Iyer S, Hewitt SM, Star RA (2003) Ethyl pyruvate decreases sepsis-induced acute renal failure and multiple organ damage in aged mice. Kidney Int 64:1620–1631

    PubMed  Article  CAS  Google Scholar 

  28. Doi K, Leelahavanichkul A, Yuen PS, Star RA (2009) Animal models of sepsis and sepsis-induced kidney injury. J Clin Invest 119:2868–2878

    PubMed  Article  CAS  Google Scholar 

  29. Reiser J, von Gersdorff G, Loos M, Oh J, Asanuma K, Giardino L, Rastaldi MP, Calvaresi N, Watanabe H, Schwarz K, Faul C, Kretzler M, Davidson A, Sugimoto H, Kalluri R, Sharpe AH, Kreidberg JA, Mundel P (2004) Induction of B7-1 in podocytes is associated with nephrotic syndrome. J Clin Invest 113:1390–1397

    PubMed  CAS  Google Scholar 

  30. Molitoris BA, Sandoval R, Sutton TA (2002) Endothelial injury and dysfunction in ischemic acute renal failure. Crit Care Med 30:S235–S240

    PubMed  Article  Google Scholar 

  31. Silvia OJ, Urosevic N (1999) Variations in LPS responsiveness among different mouse substrains of C3H lineage and their congenic derivative sublines. Immunogenetics 50:354–357

    PubMed  Article  CAS  Google Scholar 

  32. Ye X, Liu X, Li Z, Ray PE (2001) Efficient gene transfer to rat renal glomeruli with recombinant adenoviral vectors. Hum Gene Ther 12:141–148

    PubMed  Article  CAS  Google Scholar 

  33. Edelman ER, Nugent MA, Karnovsky MJ (1993) Perivascular and intravenous administration of basic fibroblast growth factor: vascular and solid organ deposition. Proc Natl Acad Sci USA 90:1513–1517

    PubMed  Article  CAS  Google Scholar 

  34. Jerebtsova M, Liu XH, Ye X, Ray PE (2005) Adenovirus-mediated gene transfer to glomerular cells in newborn mice. Pediatr Nephrol 20:1395–1400

    PubMed  Article  Google Scholar 

  35. Lindner V, Reidy MA (1991) Proliferation of smooth muscle cells after vascular injury is inhibited by an antibody against basic fibroblast growth factor. Proc Natl Acad Sci USA 88:3739–3743

    PubMed  Article  CAS  Google Scholar 

  36. Lindner V, Olson NE, Clowes AW, Reidy MA (1992) Inhibition of smooth muscle cell proliferation in injured rat arteries. Interaction of heparin with basic fibroblast growth factor. J Clin Invest 90:2044–2049

    PubMed  Article  CAS  Google Scholar 

  37. Iatropoulos MJ, Williams GM (1996) Proliferation markers. Exp Toxicol Pathol 48:175–181

    PubMed  Article  CAS  Google Scholar 

  38. Rozengurt E (1986) Early signals in the mitogenic response. Science 234:161–166

    PubMed  Article  CAS  Google Scholar 

  39. Izevbigie EB, Gutkind JS, Ray PE (2000) Isoproterenol inhibits fibroblast growth factor-2-induced growth of renal epithelial cells. Pediatr Nephrol 14:726–734

    PubMed  Article  CAS  Google Scholar 

  40. Mishra J, Ma Q, Prada A, Mitsnefes M, Zahedi K, Yang J, Barasch J, Devarajan P (2003) Identification of neutrophil gelatinase-associated lipocalin as a novel early urinary biomarker for ischemic renal injury. J Am Soc Nephrol 14:2534–2543

    PubMed  Article  CAS  Google Scholar 

  41. Trachtman H, Christen E, Cnaan A, Patrick J, Mai V, Mishra J, Jain A, Bullington N, Devarajan P (2006) Urinary neutrophil gelatinase-associated lipocalcin in D + HUS: a novel marker of renal injury. Pediatr Nephrol 21:989–994

    PubMed  Article  Google Scholar 

  42. Paragas N, Nickolas TL, Wyatt C, Forster CS, Sise M, Morgello S, Jagla B, Buchen C, Stella P, Sanna-Cherchi S, Carnevali ML, Mattei S, Bovino A, Argentiero L, Magnano A, Devarajan P, Schmidt-Ott KM, Allegri L, Klotman P, D'Agati V, Gharavi AG, Barasch J (2009) Urinary NGAL marks cystic disease in HIV-associated nephropathy. J Am Soc Nephrol 20:1687–1692

    PubMed  Article  CAS  Google Scholar 

  43. Schmidt-Ott KM, Mori K, Li JY, Kalandadze A, Cohen DJ, Devarajan P, Barasch J (2007) Dual action of neutrophil gelatinase-associated lipocalin. J Am Soc Nephrol 18:407–413

    PubMed  Article  CAS  Google Scholar 

  44. Mishra J, Dent C, Tarabishi R, Mitsnefes MM, Ma Q, Kelly C, Ruff SM, Zahedi K, Shao M, Bean J, Mori K, Barasch J, Devarajan P (2005) Neutrophil gelatinase-associated lipocalin (NGAL) as a biomarker for acute renal injury after cardiac surgery. Lancet 365:1231–1238

    PubMed  Article  CAS  Google Scholar 

  45. Guo R, Wang Y, Minto AW, Quigg RJ, Cunningham PN (2004) Acute renal failure in endotoxemia is dependent on caspase activation. J Am Soc Nephrol 15:3093–3102

    PubMed  Article  Google Scholar 

  46. Bannerman DD, Goldblum SE (2003) Mechanisms of bacterial lipopolysaccharide-induced endothelial apoptosis. Am J Physiol Lung Cell Mol Physiol 284:L899–L914

    PubMed  CAS  Google Scholar 

  47. Wu X, Guo R, Chen P, Wang Q, Cunningham PN (2009) TNF induces caspase-dependent inflammation in renal endothelial cells through a Rho- and myosin light chain kinase-dependent mechanism. Am J Physiol Renal Physiol 297:F316–F326

    PubMed  Article  CAS  Google Scholar 

  48. Messmer UK, Briner VA, Pfeilschifter J (2000) Basic fibroblast growth factor selectively enhances TNF-alpha-induced apoptotic cell death in glomerular endothelial cells: effects on apoptotic signaling pathways. J Am Soc Nephrol 11:2199–2211

    PubMed  CAS  Google Scholar 

  49. Clyne AM, Zhu H, Edelman ER (2008) Elevated fibroblast growth factor-2 increases tumor necrosis factor-alpha induced endothelial cell death in high glucose. J Cell Physiol 217:86–92

    PubMed  Article  CAS  Google Scholar 

  50. Zittermann SI, Issekutz AC (2006) Basic fibroblast growth factor (bFGF, FGF-2) potentiates leukocyte recruitment to inflammation by enhancing endothelial adhesion molecule expression. Am J Pathol 168:835–846

    PubMed  Article  CAS  Google Scholar 

  51. Tang P, Jerebtsova M, Przygodzki R, Ray PE (2005) Fibroblast growth factor-2 increases the renal recruitment and attachment of HIV-infected mononuclear cells to renal tubular epithelial cells. Pediatr Nephrol 20:1708–1716

    PubMed  Article  Google Scholar 

  52. Samaniego F, Markham PD, Gendelman R, Gallo RC, Ensoli B (1997) Inflammatory cytokines induce endothelial cells to produce and release basic fibroblast growth factor and to promote Kaposi's sarcoma-like lesions in nude mice. J Immunol 158:1887–1894

    PubMed  CAS  Google Scholar 

  53. Keller M, Ruegg A, Werner S, Beer HD (2008) Active caspase-1 is a regulator of unconventional protein secretion. Cell 132:818–831

    PubMed  Article  CAS  Google Scholar 

Download references

Acknowledgments

This work was supported by USPHS awards R0-1HL-55605, R0-1HL-102497 and R0-1 DK 49419.

Author information

Affiliations

Authors

Corresponding author

Correspondence to Patricio E. Ray.

Rights and permissions

Reprints and Permissions

About this article

Cite this article

Mattison, P.C., Soler-García, Á.A., Das, J.R. et al. Role of circulating fibroblast growth factor-2 in lipopolysaccharide-induced acute kidney injury in mice. Pediatr Nephrol 27, 469–483 (2012). https://doi.org/10.1007/s00467-011-2001-z

Download citation

  • Received:

  • Revised:

  • Accepted:

  • Published:

  • Issue Date:

  • DOI: https://doi.org/10.1007/s00467-011-2001-z

Keywords

  • Acute kidney injury
  • Fibroblast growth factor-2
  • Neutrophil gelatinase-associated lipocalin
  • Urinary biomarkers
  • Mouse model
  • Lipopolysaccharide
  • Endotoxemia