Skip to main content

Neonatal onset of nephrogenic syndrome of inappropriate antidiuresis

Abstract

This paper describes the manifestaton in a child of a new syndrome characterized by unusual, severe, persistent hyponatremia associated with hyposmolarity, euvolemia, inappropriately concentrated urine and elevated natriuresis. This is the fourth case of this syndrome reported to date, and the first to be reported in a neonate. The clinical features resemble those typically observed in patients with inappropriate antidiuretic hormone secretion, although high arginine vasopressin (AVP) levels are lacking. The findings led the authors to hypothesise a nephrogenic syndrome of inappropriate antidiuresis (NSIAD). The previously described R137C gain-of-function mutation was detected by means of mutation analysis of the V2R gene. Our results indicate that NSIAD is already present during the neonatal period and that molecular analysis of the V2R receptor should therefore be carried out, in all newborns with prolonged euvolemic hyponatremia with hypo-osmolarity, high urinary sodium and normal/low or undetectable AVP levels.

This is a preview of subscription content, access via your institution.

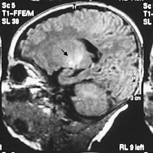
Fig. 1
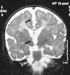
Fig. 2
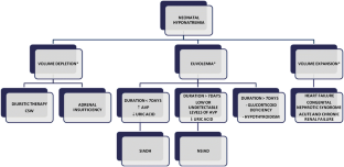
Fig. 3

References

  1. Feldman BJ, Rosenthal SM, Vargas GA, Fenwick RG, Huang EA, Matsuda-Abedini M, Lusting RH, Mathias RS, Portale AA, Miller WL, Gitelman SE (2005) Nephrogenic syndrome of inappropriate antidiuresis. N Engl J Med 352:1884–1890

    CAS  Article  Google Scholar 

  2. Bartter FC, Schwartz WB (1967) The syndrome of inappropriate secretion of antidiuretic hormone. Am J Med 42:790–806

    CAS  Article  Google Scholar 

  3. Baylis PH (2003) The syndrome of inappropriate antidiuretic hormone secretion. Int J Biochem Cell Biol 35:1495–1499

    CAS  Article  Google Scholar 

  4. Heng AE, Lautrette A, Deteix P, Souweine B (2006) Syndrome de secretion inappropriée d’hormone antidiurétique: diagnostic et prise en charge. New approaches to detect and manage the syndrome of inappropriate antidiuretic hormone secretion (SIADH). Réanimation 15:490–496

    Article  Google Scholar 

  5. Ellison DH, Berl T (2007) The syndrome of inappropriate antidiuresis. N Engl J Med 356:2064–2072

    CAS  Article  Google Scholar 

  6. Rosenthal SM, Gitelman SE, Vargas GA, Feldman BJ (2007) Gain-of-function mutation in the V2 vasopressin receptor. Horm Res 67(Suppl 1):121–125

    CAS  Google Scholar 

  7. Bes DF, Mendilaharzu H, Fenwick RG, Arrizurieta E (2007) Hyponatremia resulting from Arginine Vasopressin Receptor 2 gene mutation. Pediatr Nephrol 22:463–466

    Article  Google Scholar 

  8. Decaux G, Vandergheynst F, Bouko Y, Parma J, Vassart G, Vilain C (2007) Nephrogenic syndrome of inappropriate antidiuresis in adults: high phenotypic variability in men and women from a large pedigree. J Am Soc Nephrol 18:606–612

    CAS  Article  Google Scholar 

  9. Gitelman SE, Feldman BJ, Rosenthal SM (2006) Nephrogenic syndrome of inappropriate antidiuresis: a novel disorder in water balance in pediatric patients. Am J Med 119(Suppl 1):S54–S58

    CAS  Article  Google Scholar 

  10. Verbalis JG, Goldsmith SR, Greenberg A, Schrier RW, Sterns RH (2007) Hyponatremia treatment guidelines 2007: expert panel recommendations. Am J Med 120:S1–S21

    CAS  Article  Google Scholar 

  11. Huang EA, Feldman BJ, Schwartz ID, Geller DH, Rosenthal SM, Gitelman SE (2006) Oral urea for the treatment of chronic syndrome of inappropriate antidiuresis in children. J Pediatr 148:128–131

    CAS  Article  Google Scholar 

  12. Robertson GL (2006) Regulation of arginine vasopressin in the syndrome of inappropriate antidiuresis. Am J Med 119:S36–S42

    CAS  Article  Google Scholar 

  13. Zerbe R, Stropes L, Robertson G (1980) Vasopressin function in the syndrome of inappropriate antidiuresis. Annu Rev Med 31:315–327

    CAS  Article  Google Scholar 

  14. Sterns RH, Riggs JE, Schochet SS Jr (1986) Osmotic demyelination syndrome following correction of hyponatremia. N Engl J Med 314:1535–1542

    CAS  Article  Google Scholar 

  15. Sterns RH, Cappuccio JD, Silver SM, Cohen EP (1994) Neurologic sequelae after treatment of severe hyponatremia: a multicenter perspective. J Am Soc Nephrol 4:1522–1530

    CAS  PubMed  Google Scholar 

Download references

Author information

Affiliations

Authors

Corresponding author

Correspondence to Maria Cristina Rosatelli.

Rights and permissions

Reprints and Permissions

About this article

Cite this article

Marcialis, M.A., Faà, V., Fanos, V. et al. Neonatal onset of nephrogenic syndrome of inappropriate antidiuresis. Pediatr Nephrol 23, 2267–2271 (2008). https://doi.org/10.1007/s00467-008-0913-z

Download citation

  • Received:

  • Revised:

  • Accepted:

  • Published:

  • Issue Date:

  • DOI: https://doi.org/10.1007/s00467-008-0913-z

Keywords

  • Euvolemia
  • Hyponatremia
  • SIADH
  • Vasopressin receptor