Skip to main content

Atypical presentation of distal renal tubular acidosis in two siblings

Abstract

Primary distal renal tubular acidosis (dRTA) is an inherited disease characterized by the inability of the distal tubule to lower urine pH <5.50 during systemic acidosis. We report two male siblings who presented with severe hyperchloremic metabolic acidosis, high urinary pH, nephrocalcinosis, growth retardation, sensorineural hearing loss, and hypokalemic paralysis. Laboratory investigations revealed proximal tubular dysfunction (low molecular weight proteinuria, generalized hyperaminoaciduria, hypophosphatemia with hyperphosphaturia, and hypouricemia with hyperuricosuria). There was significant hyperoxaluria and laboratory evidence for mild rhabdomyolysis. Under potassium and alkali therapy, proximal tubular abnormalities, muscular enzymes, and oxaluria normalized. A homozygous mutation in the ATP6V1B1 gene, which is responsible for dRTA with early hearing loss, was detected in both siblings. In conclusion, proximal tubular dysfunction and hyperoxaluria may be found in children with dRTA and are reversible under appropriate therapy.

This is a preview of subscription content, access via your institution.

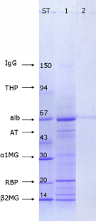
Fig. 1
Fig. 2

References

  1. Karet FE, Finberg KE, Nelson RD, Nayir A, Mocan H, Sanjad SA, Rodriguez-Soriano J, Santos F, Cremers CW, Di Pietro A, Hoffbrand BI, Winiarski J, Bakkaloglu A, Ozen S, Dusunsel R, Goodyer P, Hulton SA, Wu DK, Skvorak AB, Morton CC, Cunningham MJ, Jha V, Lifton RP (1999) Mutations in the gene encoding B1 subunit of H+-ATPase cause renal tubular acidosis with sensorineural deafness. Nat Genet 21:84–90

    CAS  Article  Google Scholar 

  2. Stover EH, Borthwick KJ, Bavalia C, Eady N, Fritz DM, Rungroj N, Giersch AB, Morton CC, Axon PR, Akil I, Al-Sabban EA, Baguley DM, Bianca S, Bakkaloglu A, Bircan Z, Chauveau D, Clermont MJ, Guala A, Hulton SA, Kroes H, Li Volti G, Mir S, Mocan H, Nayir A, Ozen S, Rodriguez Soriano J, Sanjad SA, Tasic V, Taylor CM, Topaloglu R, Smith AN, Karet FE (2002) Novel ATP6V1B1 and ATP6V0A4 mutations in autosomal recessive distal renal tubular acidosis with new evidence for hearing loss. J Med Genet 39:796–803

    CAS  Article  Google Scholar 

  3. Hahn H, Kang HG, Ha IS, Cheong HI, Choi Y (2003) ATP6B1 gene mutations associated with distal renal tubular acidosis and deafness in a child. Am J Kidney Dis 41:238–243

    CAS  Article  Google Scholar 

  4. Campion DS, Arias JM, Carter NW (1972) Rhabdomyolysis and myoglobinuria. Association with hypokalemia of renal tubular acidosis. JAMA 220:967–969

    CAS  PubMed  Google Scholar 

  5. Hanip MR, Cheong IK, Chin GL, Khalid BA (1990) Rhabdomyolysis associated with hypokalaemic periodic paralysis of renal tubular acidosis. Singapore Med J 31:159–161

    CAS  PubMed  Google Scholar 

  6. Bresolin NL, Grillo E, Fernandes VR, Carvalho FL, Goes JE, da Silva RJ (2005) A case report and review of hypokalemic paralysis secondary to renal tubular acidosis. Pediatr Nephrol 20:818–820

    Article  Google Scholar 

  7. Chang YC, Huang CC, Chiou YY, Yu CY (1995) Renal tubular acidosis complicated with hypokalemic periodic paralysis. Pediatr Neurol 13:52–54

    CAS  Article  Google Scholar 

  8. Kim CJ, Woo YJ, Ma JS, Hwang TJ, Kang HC, Kim PK, Lee JS, Kim DH (2005) Hypokalemic paralysis and rhabdomyolysis in distal renal tubular acidosis. Pediatr Int 47:211–213

    Article  Google Scholar 

  9. Igarashi T, Kawato H, Kamoshita S (1990) Reversible low-molecular-weight proteinuria in patients with distal renal tubular acidosis. Pediatr Nephrol 4:593–596

    CAS  Article  Google Scholar 

  10. Watanabe T (2005) Proximal renal tubular dysfunction in primary distal renal tubular acidosis. Pediatr Nephrol 20:86–88

    Article  Google Scholar 

  11. Finberg KE, Wagner CA, Bailey MA, Paunescu TG, Breton S, Brown D, Giebisch G, Geibel JP, Lifton RP (2005) The B1-subunit of the H(+) ATPase is required for maximal urinary acidification. Proc Natl Acad Sci USA 102:1316–1321

    Article  Google Scholar 

  12. Fricker H, Frey K, Vallotton MB, Gugler E (1975) Bartter’s syndrome and tubular functional disturbances. Helv Paediatr Acta 30:61–77

    CAS  PubMed  Google Scholar 

  13. Emery C, Young RM, Morgan DB, Hay AW, Tete-Donker D, Rubython J (1984) Tubular damage in patients with hypokalaemia. Clin Chim Acta 140:231–238

    CAS  Article  Google Scholar 

  14. Suga S, Yasui N, Yoshihara F, Horio T, Kawano Y, Kangawa K, Johnson RJ (2003) Endothelin A receptor blockade and endothelin B receptor blockade improve hypokalemic nephropathy by different mechanisms. J Am Soc Nephrol 14:397–406

    CAS  Article  Google Scholar 

  15. Cheng JH, Fu YK, Chen WP, Hwang BT, Chen SM, Lin CY (1987) Type I primary hyperoxaluria associated with type I renal tubular acidosis. Int J Pediatr Nephrol 8:235–238

    CAS  PubMed  Google Scholar 

  16. Mehler K, Stapenhorst L, Beck B, Hoppe B (2003) Hyperoxaluria in patients with primary distal renal tubular acidosis. Pediatr Nephrol 18:722–723

    CAS  PubMed  Google Scholar 

  17. Mount DB, Romero MF (2004) The SLC26 gene family of multifunctional anion exchangers. Pflugers Arch 447:710–721

    CAS  Article  Google Scholar 

  18. Jiang Z, Asplin JR, Evan AP, Rajendran VM, Velazquez H, Nottoli TP, Binder HJ, Aronson PS (2006) Calcium oxalate urolithiasis in mice lacking anion transporter Slc26a6. Nat Genet 38:474–478

    CAS  Article  Google Scholar 

  19. Borthwick KJ, Kandemir N, Topaloglu R, Kornak U, Bakkaloglu A, Yordam N, Ozen S, Mocan H, Shah GN, Sly WS, Karet FE (2003) A phenocopy of CAII deficiency: a novel genetic explanation for inherited infantile osteopetrosis with distal renal tubular acidosis. J Med Genet 40:115–121

    CAS  Article  Google Scholar 

  20. Ruf R, Rensing C, Topaloglu R, Guay-Woodford L, Klein C, Vollmer M, Otto E, Beekmann F, Haller M, Wiedensohler A, Leumann E, Antignac C, Rizzoni G, Filler G, Brandis M, Weber JL, Hildebrandt F (2003) Confirmation of the ATP6B1 gene as responsible for distal renal tubular acidosis. Pediatr Nephrol 18:105–109

    PubMed  Google Scholar 

  21. Gil H, Santos F, García E, Álvarez MV, Ordóñez FA, Málaga S, Coto E (2007) Distal RTA with nerve deafness: clinical spectrum and mutational analysis in five children. Pediatr Nephrol 22:825–828

    Article  Google Scholar 

  22. Abrahams JP, Leslie AGW, Lutter R, Walker JE (1994) Structure at 2.8 angstrom resolution of F1-ATPase from bovine heart mitochondria. Nature 370:621–628

    CAS  Article  Google Scholar 

Download references

Conflict of interest statement

None declared.

Author information

Affiliations

Authors

Corresponding author

Correspondence to Velibor Tasic.

Rights and permissions

Reprints and Permissions

About this article

Cite this article

Tasic, V., Korneti, P., Gucev, Z. et al. Atypical presentation of distal renal tubular acidosis in two siblings. Pediatr Nephrol 23, 1177–1181 (2008). https://doi.org/10.1007/s00467-008-0796-z

Download citation

  • Received:

  • Revised:

  • Accepted:

  • Published:

  • Issue Date:

  • DOI: https://doi.org/10.1007/s00467-008-0796-z

Keywords

  • Distal renal tubular acidosis
  • Hypokalemic paralysis
  • Rhabdomyolysis
  • Hyperoxaluria
  • ATP6V1B1 mutation