Skip to main content

End-stage renal failure in adolescence with Sjögren’s syndrome autoantibodies SSA and SSB

Abstract

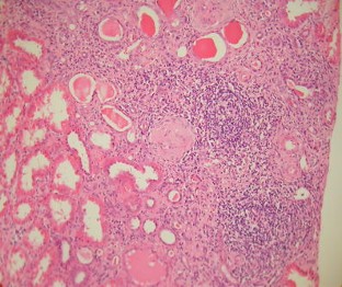
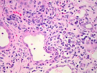
We describe two adolescents who presented with end-stage renal failure and clinical features suggestive of Sjögren’s syndrome (SS). They both demonstrated severe, chronic, tubulointerstitial inflammation on renal biopsy, high-titre antinuclear antibodies, high immunoglobulin A and G concentrations, positive anti-SSA and anti-SSB antibodies, and negative anti-double-stranded DNA antibodies. One had subjective and objective evidence of the sicca complex (dry eyes and/or dry mouth) and fulfilled the commonly accepted SS consensus criteria. The other showed no evidence of the sicca complex but fulfilled modified criteria for juvenile SS. SS may be underrecognised as a cause of end-stage renal failure in childhood.

This is a preview of subscription content, access via your institution.

Fig. 1
Fig. 2
Fig. 3

References

  1. Vitali C, Bombardieri S, Jonsson R, Moutsopoulos HM, Alexander EL, Carsons SE, Daniels TE, Fox PC, Fox RI, Kassan SS, Pillemer SR, Talal N, Weisman MH (2002) Classification criteria for Sjogren’s syndrome: a revised version of the European criteria proposed by the American-European Consensus Group. Ann Rheum Dis 61:554–558

    CAS  Article  Google Scholar 

  2. Houghton K, Malleson P, Cabral D, Petty R, Tucker L (2005) Primary Sjogren’s syndrome in children and adolescents: are proposed diagnostic criteria applicable? J Rheumatol 32:2225–2232

    CAS  PubMed  Google Scholar 

  3. Bartunkova J, Sediva A, Vencovsky J, Tesar V (1999) Primary Sjogren’s syndrome in children and adolescents: proposal for diagnostic criteria. Clin Exp Rheumatol 17:381–386

    CAS  PubMed  Google Scholar 

  4. Bossini N, Savoldi S, Franceschini F, Mombelloni S, Baronio M, Cavazzana I., Viola BF, Valzorio B, Mazzucchelli C, Cattaneo R, Scolari F, Maiorca R (2001) Clinical and morphological features of kidney involvement in primary Sjogren’s syndrome. Nephrol Dial Transplant 16:2328–2336

    CAS  Article  Google Scholar 

  5. Goules A, Masouridi S, Tzioufas AG, Ioannidis JP, Skopouli FN, Moutsopoulos HM (2000) Clinically significant and biopsy-documented renal involvement in primary Sjogren syndrome. Medicine 79:241–249

    CAS  Article  Google Scholar 

  6. Ohlsson V, Strike H, James-Ellison M, Tizard EJ, Ramanan AV (2006) Renal tubular acidosis, arthritis and autoantibodies: primary Sjogren’s syndrome in childhood. Rheumatology 45:238–240

    CAS  Article  Google Scholar 

  7. Pessler F, Emery H, Dai L, Wu YM, Monash B, Cron RQ, Pradhan M (2006) The spectrum of renal tubular acidosis in paediatric Sjogren syndrome. Rheumatology 45:85–91

    CAS  Article  Google Scholar 

  8. Moutsopoulos HM, Cledes J, Skopoul, FN, Elisaf M, Youinou P (1991) Nephrocalcinosis in Sjogren’s syndrome: a late sequela of renal tubular acidosis. J Intern Med 230:187–191

    CAS  Article  Google Scholar 

  9. Koenig M, Hacini J, Thibaudin D, Rousset H, Cathebras P (2004) Distal renal tubular acidosis ten years before Sjogren’s syndrome. Rev Med Interne 25:764–766

    CAS  Article  Google Scholar 

  10. Eriksson P, Denneberg T, Enestrom S, Johansson B, Lindstrom F, Skogh T (1996) Urolithiasis and distal renal tubular acidosis preceding primary Sjogren’s syndrome: a retrospective study 5–53 years after the presentation of urolithiasis. J Intern Med 239:483–488

    CAS  Article  Google Scholar 

  11. Palcoux JB, Janin-Mercier A, Campagne D, Fonck Y, Betail G (1984) Sjogren syndrome and lupus erythematosus nephritis. Arch Dis Child 59:175–177

    CAS  Article  Google Scholar 

  12. Zufferey P, Meyer OC, Bourgeois P, Vayssairat M, Kahn MF (1995) Primary systemic Sjogren syndrome (SS) preceding systemic lupus erythematosus: a retrospective study of 4 cases in a cohort of 55 SS patients. Lupus 4:23–27

    CAS  Article  Google Scholar 

  13. Brickman CM, Tsokos GC, Balow JE, Lawley TJ, Santaella M, Hammer CH, Frank MM (1986) Immunoregulatory disorders associated with hereditary angioedema. I. Clinical manifestations of autoimmune disease. J Allergy Clin Immunol 77:749–757

    CAS  Article  Google Scholar 

  14. Suzuki Y, Hinoshita F, Yokoyama K, Katori H, Ubara Y, Hara S, Ogura Y, Yamada A (1997) Association of Sjogren’s syndrome with hereditary angioneurotic edema: report of a case. Clin Immunol Immunopathol 84:95–97

    CAS  Article  Google Scholar 

  15. Botto M, Walport MJ (2002) C1q, autoimmunity and apoptosis. Immunobiology 205:395–406

    CAS  Article  Google Scholar 

  16. Ioannidis JP, Vassiliou VA, Moutsopoulos HM (2002) Long-term risk of mortality and lymphoproliferative disease and predictive classification of primary Sjogren’s syndrome. Arthritis Rheum 46:741–747

    Article  Google Scholar 

Download references

Conflict of Interest Statement:

None.

Author information

Affiliations

Authors

Corresponding author

Correspondence to Sally Johnson.

Rights and permissions

Reprints and Permissions

About this article

Cite this article

Johnson, S., Hulton, SA., Brundler, MA. et al. End-stage renal failure in adolescence with Sjögren’s syndrome autoantibodies SSA and SSB. Pediatr Nephrol 22, 1793–1797 (2007). https://doi.org/10.1007/s00467-007-0526-y

Download citation

  • Received:

  • Revised:

  • Accepted:

  • Published:

  • Issue Date:

  • DOI: https://doi.org/10.1007/s00467-007-0526-y

Keywords

  • Sjögren’s syndrome
  • Tubulointerstitial nephritis
  • Extraglandular manifestations
  • C1 esterase inhibitor deficiency
  • Renal failure