Skip to main content

Thin-layer ablation of human esophageal epithelium using a bipolar radiofrequency balloon device

Abstract

Background

The goal of this study was to determine the optimal treatment parameters for the ablation of human esophageal epithelium using a balloon-based bipolar radiofrequency (RF) energy electrode.

Methods

Immediately prior to esophagectomy, subjects underwent esophagoscopy and ablation of two separate, 3-cm long, circumferential segments of non-tumor-bearing esophageal epithelium using a balloon-based bipolar RF energy electrode (BARRX Medical, Inc., Sunnyvale, CA, USA). Subjects were randomized to one of three energy density groups: 8, 10, or 12 J/cm2. RF energy was applied one time (1×) proximally and two times (2×) distally. Following resection, sections from each ablation zone were evaluated using H&E and diaphorase. Histological endpoints were complete epithelial ablation (yes/no), maximum ablation depth, and residual ablation thickness after tissue slough. Outcomes were compared according to energy density group and 1× vs 2× treatment.

Results

Thirteen male subjects (age, 49–85 years) with esophageal adenocarcinoma underwent the ablation procedure followed by total esophagectomy. Complete epithelial removal occurred in the following zones: 10 J/cm2 (2×) and 12 J/cm2 (1× and 2×). The maximum depth of injury was the muscularis mucosae: 10 and 12 J/cm2 (both 2×). A second treatment (2×) did not significantly increase the depth of injury. Maximum thickness of residual ablation after tissue slough was only 35 μm.

Conclusions

Complete removal of the esophageal epithelium without injury to the submucosa or muscularis propria is possible using this balloon-based RF electrode at 10 J/cm2 (2×) or 12 J/cm2 (1× or 2×). A second application (2×) does not significantly increase ablation depth. These data have been used to select the appropriate settings for treating intestinal metaplasia in trials currently under way.

This is a preview of subscription content, access via your institution.

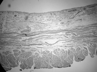
Fig. 1
Fig. 2
Fig. 3
Fig. 4
Fig. 5
Fig. 6

References

  1. Ackroyd R, Brown NJ, Stephenson TJ, Stoddard CJ, Reed MWR (1999) Ablation treatment for Barrett oesophagus: what depth of tissue destruction is needed? J Clin Pathol 52: 509–512

    PubMed  CAS  Article  Google Scholar 

  2. Eisen GM (2003) Ablation therapy for Barrett’s esophagus. Gastrointest Endosc 58: 760–769

    PubMed  Article  Google Scholar 

  3. Ganz RA, Utley DS, Stern RA, Jackson J, Batts KP, Termin P (2004) Complete ablation of esophageal epithelium with a balloon-based bipolar electrode: a phased evaluation in the porcine and in the human esophagus. Gastrointest Endosc 60: 1002–1010

    PubMed  Article  Google Scholar 

  4. Ganz RA, Zelickson B, Stern R, Termin P, Coles C (2003) A method of endoscopic esophageal mucosal ablation using a novel RF energy balloon catheter (BARRx): response characteristics. Gastrointest Endosc 57: M1767

    Google Scholar 

  5. Gerson LB, Shetler K, Triadafilopoulos G (2002) Prevalence of Barrett’s esophagus in asymptomatic individuals. Gastroenterology 123: 636–639

    Article  Google Scholar 

  6. Reid BJ (1991) Barrett’s esophagus and adenocarcinoma. Gastroenterol Clin North Am 20: 817–834

    PubMed  CAS  Google Scholar 

  7. Rex DK, Cummings OW, Shaw M, et al (2003) Screening for Barrett’s esophagus in colonoscopy patients with and without heartburn. Gastroenterology 125: 1670–1677

    PubMed  Article  Google Scholar 

  8. Sampliner RE (2002) Updated guidelines for the diagnosis, surveillance, and therapy of Barrett’s esophagus. Am J Gastroenterol 97: 1888–1895

    PubMed  Article  Google Scholar 

  9. Spechler SJ (2002) Barrett’s esophagus. N Engl J Med 346: 836–842

    PubMed  Article  Google Scholar 

  10. Winawer SJ, Zauber AG, Ho MN, et al (1993) Prevention of colorectal cancer by colonoscopic polypectomy. N Engl J Med 329: 1977–1981

    PubMed  Article  CAS  Google Scholar 

Download references

Acknowledgments

We thank Robert Shebert, MD, Professor of Medicine. Department of Medicine, Division of Neurology, University of Miami, School of Medicine, for his assistance in providing his knowledge and expertise in the preparation and interpretation of diaphorase stained esophageal sections for this study. This study was supported by a research grant from BARRX medical, Inc.

Author information

Affiliations

Authors

Corresponding author

Correspondence to B. J. Dunkin.

Rights and permissions

Reprints and Permissions

About this article

Cite this article

Dunkin, B.J., Martinez, J., Bejarano, P.A. et al. Thin-layer ablation of human esophageal epithelium using a bipolar radiofrequency balloon device. Surg Endosc 20, 125–130 (2006). https://doi.org/10.1007/s00464-005-8279-9

Download citation

  • Received:

  • Accepted:

  • Published:

  • Issue Date:

  • DOI: https://doi.org/10.1007/s00464-005-8279-9

Keywords

  • Intestinal metaplasia
  • Barrett’s
  • ablation
  • Radiofrequency
  • Esophagectomy
  • Esophagus