Skip to main content

Comparison of Patient-Reported Postoperative Dysphagia in Patients Undergoing One-Level Versus Two-Level Anterior Cervical Discectomy and Fusion with the Zero-P Implant System

Abstract

To investigate whether dysphagia differs between one-level and two-level anterior cervical discectomy and fusion (ACDF) with the Zero Profile (Zero-P) Implant System. A retrospective analysis of 208 patients who underwent ACDF with the Zero-P Implant System and had at least one year of follow-up was performed from January 2013 to December 2018. The patients were divided into two groups based on the number of operated levels (one-level group, N = 86; two-level group, N = 122). Dysphagia was assessed based on the Bazaz grading system. The incidence of dysphagia and the severity of dysphagia at each follow-up were compared between the two groups. The patients were divided into two groups (nondysphagia group, N = 160; dysphagia group, N = 48), and covariates were obtained for multivariate analysis, including demographic parameters, surgical parameters, and radiographic parameters. The results showed that the incidence and severity of postoperative dysphagia in the two-level group were significantly greater at 1 week, 1 month and 3 months postoperatively than those in the one-level group. The results of ordinal logistic regression showed that older age, two-level surgery, greater prevertebral soft tissue swelling (PSTS) and the difference between the postoperative and preoperative C2–7 angle (dC2–7A) were significantly associated with a higher incidence of dysphagia after ACDF with the Zero-P. Two-level ACDF with the Zero-P can result in a significantly greater incidence and severity of transient postoperative dysphagia. Older age, greater PSTS and the dC2-7A were also associated with postoperative dysphagia after ACDF with the Zero-P.

This is a preview of subscription content, access via your institution.

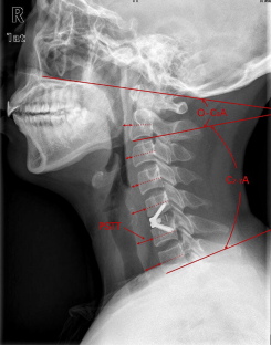
Fig. 1
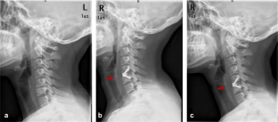
Fig. 2
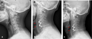
Fig. 3
Fig. 4

References

  1. Cloward RB. The anterior approach for removal of ruptured cervical disks. J Neurosurg. 1958;15(6):602–17.

    CAS  PubMed  Article  PubMed Central  Google Scholar 

  2. Simmons EH, Bhalla SK. Anterior cervical discectomy and fusion. A clinical and biomechanical study with eight-year follow-up. J Bone Joint Surg. 1969;51(2):225.

    CAS  Article  Google Scholar 

  3. Bazaz R, Lee MJ, Yoo JU. Incidence of dysphagia after anterior cervical spine surgery: a prospective study. Spine. 2002;27(22):2453.

    PubMed  Article  PubMed Central  Google Scholar 

  4. Zdeblick TA, Cooke ME, Kunz DN, et al. Anterior cervical discectomy and fusion using a porous hydroxyapatite bone graft substitute. Spine. 1994;19(20):2348.

    CAS  PubMed  Article  PubMed Central  Google Scholar 

  5. Anderson DG, Albert TJ. Bone grafting, implants, and plating options for anterior cervical fusions. OrthopClin N Am. 2002;33(2):317.

    Article  Google Scholar 

  6. Kaiser MG, Haid RW, Subach BR, et al. Anterior cervical plating enhances arthrodesis after discectomy and fusion with cortical allograft. Neurosurgery. 2002;50(2):229–36.

    PubMed  PubMed Central  Google Scholar 

  7. Song KJ, Taghavi CE, Lee KB, et al. The efficacy of plate construct augmentation versus cage alone in anterior cervical fusion. Spine. 2009;34(26):2886–922.

    PubMed  Article  PubMed Central  Google Scholar 

  8. Li ZH, Zhao YT, Tang JG, et al. A comparison of a new zero-profile, stand-alone Fidji cervical cage and anterior cervical plate for single and multilevel ACDF: a minimum 2-year follow-up study. Eur Spine J. 2017;26(4):1129–39.

    PubMed  Article  PubMed Central  Google Scholar 

  9. Min Y, Kim WS, Kang SS, et al. Incidence of dysphagia and serial videofluoroscopic swallow study findings after anterior cervical discectomy and fusion: a prospective study. Clin Spine Surg. 2016;29(4):E177.

    PubMed  Article  PubMed Central  Google Scholar 

  10. Lee MJ, Bazaz R, Furey CG, et al. Influence of anterior cervical plate design on Dysphagia: a 2-year prospective longitudinal follow-up study. J Spinal Disord Tech. 2005;18(5):406–9.

    PubMed  Article  PubMed Central  Google Scholar 

  11. Smith-Hammond CA, New KC, Pietrobon R, et al. Prospective analysis of incidence and risk factors of dysphagia in spine surgery patients: comparison of anterior cervical, posterior cervical, and lumbar procedures. Spine. 2004;29(13):1441–6.

    PubMed  Article  PubMed Central  Google Scholar 

  12. Riley LH, Skolasky RL, Albert TJ, et al. Dysphagia after anterior cervical decompression and fusion: prevalence and risk factors from a longitudinal cohort study. Spine (Phila, Pa 1976). 2005;30:2564–9.

    Article  Google Scholar 

  13. Chin KR, Eiszner JR, Adams Jr SB. Role of plate thickness as a cause of dysphagia after anterior cervical fusion. Spine (Phila, Pa). 2007;32(23):2585–90.

    Article  Google Scholar 

  14. Miyata M, Neo M, Fujibayashi S, et al. O-C2 angle as a predictor of dyspnea and/or dysphagia after occipitocervical fusion. Spine (Phila, Pa 1976). 2009;34(2):184–8.

    Article  Google Scholar 

  15. Beutler WJ, Sweeny CA, Connolly PJ. Recurrent laryngeal nerve injury with anterior cervical spine surgery risk with laterality of surgical approach. Spine (Phila, Pa 1976). 2001;26(12):1337–422.

    CAS  Article  Google Scholar 

  16. Clavé P, Shaker R. Dysphagia: current reality and scope of the problem. Nat Rev GastroenterolHepatol. 2015;12(5):259–70.

    Article  Google Scholar 

  17. Skeppholm M, Olerud C. Comparison of dysphagia between cervical artificial disc replacement and fusion: data from a randomized controlled study with two years of followup. Spine (Phila, Pa 1976). 2013;38:E1507–1510.

    Article  Google Scholar 

  18. Kepler CK, Rihn JA, Bennett JD, et al. Dysphagia and soft-tissue swelling after anterior cervical surgery: a radiographic analysis. Spine J. 2012;12(8):639–44.

    PubMed  Article  PubMed Central  Google Scholar 

  19. Yang Y, Ma LT, Liu H, et al. Comparison of the incidence of patient-reported post-operative dysphagia between ACDF with a traditional anterior plate and artificial cervical disc replacement. ClinNeurolNeurosurg. 2016;148:72–8.

    Google Scholar 

  20. Fountas KN, Kapsalaki EZ, Nikolakakos LG, et al. Anterior cervical discectomy and fusion associated complications. Spine (Phila, Pa 1976). 2007;32:2310–7.

    Article  Google Scholar 

  21. Riederman BD, Butler BA, Lawton CD, et al. Recombinant human bone morphogenetic protein-2 versus iliac crest bone graft in anterior cervical discectomy and fusion: Dysphagia and dysphonia rates in the early postoperative period with review of the literature. J ClinNeurosci. 2017;44:180–3.

    Google Scholar 

  22. Wang T, Ma L, Yang DL, et al. Factors predicting dysphagia after anterior cervical surgery. Medicine. 2017;96(34):E7916.

    PubMed  PubMed Central  Article  Google Scholar 

  23. Scholz M, Schnake KJ, Pingel A, et al. A new zero-profile implant for stand-alone anterior cervical interbody fusion. ClinOrthopRelat Res. 2011;469(3):666–73.

    CAS  Google Scholar 

  24. Zhuang C, Zhou D, Tang XM, et al. Clinical outcome of anterior cervical discectomy and fusion using a zero-profile interbody fusion and fixation device for cervical spondyloticmyeloath. Chin J Reparat Reconstruct Surg. 2015;29(6):751–5.

    Google Scholar 

  25. Hofstetter CC, Kesavabhotla K, Boockvar JA. Zero-profile anchored spacer reduces rate of dysphagia compared with ACDF with anterior plating. J Spinal Disord Tech. 2013;28(5):284–90.

    Article  Google Scholar 

  26. Yang HS, Chen DY, Wang XW, et al. Zero-profile integrated plate and spacer device reduces rate of adjacent-level ossification development and dysphagia compared to ACDF with plating and cage system. Arch Orthop Trauma Surg. 2015;135(6):781–7.

    PubMed  Article  PubMed Central  Google Scholar 

  27. Avani SV, Philip S, Steven M, et al. Is the likelihood of dysphagia different in patients undergoing one-level versus two-level anterior cervical discectomy and fusion? Spine J. 2020;000:1–8.

    Google Scholar 

  28. Cheung KM, Mak KC, Luk KD. Anterior approach to cervical spine. Spine (Phila, Pa 1976). 2012;37(5):297–302.

    Article  Google Scholar 

  29. Cho W, Buchowski JM, Park Y, et al. Surgical approach to the cervicothoracic junction: can a standard Smith Robinson approach be utilized. J Spinal Disord Tech. 2012;25:264–7.

    PubMed  Article  PubMed Central  Google Scholar 

  30. Mummaneni PV, Burkus JK, Haid RW, et al. Clinical and radiographic analysis of cervical disc arthroplasty compared with allograft fusion: a randomized controlled clinical trial. J Neurosurg. 2007;6(3):198–209.

    Google Scholar 

  31. Ohara A, Miyamoto K, Naganawa T, et al. Reliabilities of and correlations among five standard methods of assessing the sagittal alignment of the cervical spine. Spine (Phila, Pa 1976). 2006;31(22):2585–91.

    Article  Google Scholar 

  32. Ota M, Neo M, Aoyama T, et al. Impact of the O-C2 angle on the oropharyngeal space in normal patients. Spine (Phila, Pa 1976). 2011;36(11):E720–726.

    Article  Google Scholar 

  33. Rihn JA, Kane J, Joshi A, et al. Dysphagia following anterior cervical surgery: a controlled, prospective analysis. Spine J. 2009;9(10):2S.

    Article  Google Scholar 

  34. Riley LH III, Vaccaro AR, Dettori JR, et al. Postoperative dysphagia in anterior cervical spine surgery. Spine (Phila, PA 1976). 2010;35:76–85.

    Article  Google Scholar 

  35. Kandziora F, Schnake KJ, Hoffmann R, et al. A new zero-profile implant for stand-alone anterior cervical interbody fusion. ClinOrthopRelat Res. 2011;469(3):666–73.

    Google Scholar 

  36. Logemann JA, Larsen K. Oropharyngeal dysphagia: pathophysiology and diagnosis for the anniversary issue of Diseases of the Esophagus. Dis Esophagus. 2012;25(4):299–304.

    CAS  PubMed  Article  PubMed Central  Google Scholar 

  37. Qi M, Chen H, Liu Y, et al. The use of a zero-profile device compared with an anterior plate and cage in the treatment of patients with symptomatic cervical spondylosis: a preliminary clinical investigation. Bone Joint J. 2013;95(4):543–7.

    PubMed  Article  PubMed Central  Google Scholar 

  38. Razfar A, Sadr-hosseini SM, Rosen CA, et al. Prevention and management of dysphonia during anterior cervical spine surgery. Laryngoscope. 2012;122(10):2179–83.

    PubMed  Article  PubMed Central  Google Scholar 

  39. Yang Y, Ma LT, Wang BY, et al. Comparison of the incidence of post-operative dysphagia between anterior cervical discectomy and fusion with the zero-profile implant system and with the traditional anterior plate. Int J ClinExp Med. 2017;10(6):9277–87.

    Google Scholar 

  40. Frempong-Boadu A, Houten JK, Osborn B, et al. Swallowing and speech dysfunction in patients undergoing anterior cervical discectomy and fusion: a prospective, objective preoperative and postoperative assessment. J Spinal Disord Tech. 2002;15(5):362–8.

    PubMed  Article  PubMed Central  Google Scholar 

  41. Wang C, Zhang Y, Yuan W. Early clinical outcomes and radiographic features after treatment of cervical degenerative disk disease with the new Zero-Profile implant: a 1-year follow-up retrospective study. Clin Spine Surg. 2016;29(2):E73–E7979.

    PubMed  Article  PubMed Central  Google Scholar 

  42. Njoku I Jr, Alimi M, Leng LZ, et al. Anterior cervical discectomy and fusion with a zero-profile integrated plate and spacer device: a clinical and radiological study: clinical article. J Neurosurg Spine. 2014;21(4):529–37.

    PubMed  Article  PubMed Central  Google Scholar 

  43. Yue WM, Brodner W, Highland TR. Persistent swallowing and voice problems after anterior cervical discectomy and fusion with allograft and plating: a 5- to 11-year follow-up study. Eur Spine J. 2005;14(7):677–82.

    PubMed  PubMed Central  Article  Google Scholar 

  44. Yoshida M, Neo M, Fujibayashi S, et al. Upper-airway obstruction after short posterior occipitocervical fusion in a flexed position. Spine. 2007;32(8):E267–270.

    PubMed  Article  PubMed Central  Google Scholar 

  45. Meng Y, Wu TK, Liu ZY, et al. The impact of the difference in O-C2 angle in the development of dysphagia after occipitocervical fusion: a simulation study in normal volunteers combined with a case-control study. Spine J. 2018;18(8):1388–97.

    PubMed  Article  PubMed Central  Google Scholar 

  46. Tian W, Yu J. The role of C2–C7 and O-C2 angle in the development of dysphagia after cervical spine surgery. Dysphagia. 2013;28(2):131–8.

    PubMed  PubMed Central  Google Scholar 

  47. Siska PA, Ponnappan RK, Hohl JB, et al. Dysphagia after anterior cervical spine surgery: a prospective study using the swallowing quality of life questionnaire and analysis of patient comorbidities. Spine (Phila, Pa 1976). 2011;36(17):1387–91.

    Article  Google Scholar 

  48. Smucker JD, Rhee JM, Singh K, et al. Increased swelling complications associated with off-label usage of rhBMP-2 in the anterior cervical spine. Spine(Phila, Pa 1976). 2006;31(24):2813–9.

    Article  Google Scholar 

  49. Heese O, Fritzsche E, Heiland M, et al. Intraoperative measurement of pharynx/esophagus retraction during anterior cervical surgery. Part II: perfusion. Eur Spine J. 2006;15(12):1839–43.

    PubMed  Article  PubMed Central  Google Scholar 

  50. Chen XS, Jia LS, Cao SF, et al. Prevention and management of complications in anterior cervical spine surgery. Chin J Orthop Trauma. 2003;23(11):644–9.

    Google Scholar 

  51. Shoda N, Takeshita K, Seichi A, et al. Measurement of occipito-cervical angle. Spine (Phila, Pa 1976). 2004;29(10):E204–208.

    Article  Google Scholar 

  52. Izeki M, Neo M, Takemoto M, et al. The O-C2 angle established at occipito-cervical fusion dictates the patients destiny in terms of postoperative dyspnea and/or dysphagia. Eur Spine J. 2014;23(2):328–36.

    PubMed  Article  PubMed Central  Google Scholar 

  53. Kalb S, Reis MT, Cowperthwaite MC, et al. Dysphagia after anterior cervical spine surgery: incidence and risk factors. World Neurosurg. 2012;77(1):183–7.

    PubMed  Article  PubMed Central  Google Scholar 

Download references

Acknowledgements

We would like to acknowledge Ying Hong for contributing to the manuscript.

Funding

This study was supported by: Sichuan Province Science and Technology Support Program (Grant No. 2019YFQ0002 to Hao Liu), West China Hospital, Sichuan University (Grant No. HX-H1812210 to Hao Liu), 1·3·5 project for disciplines of excellence–Clinical Research Incubation Project, West China Hospital, Sichuan University (Grant No. 2019HXFH040 to Beiyu Wang), Key Research and Development Programs of Department of Science and Technology of Sichuan Province (Grant No. 2020YFS0075 to Chen Ding).

Author information

Affiliations

Authors

Corresponding author

Correspondence to Hao Liu.

Ethics declarations

Conflict of interest

The authors declare that they have conflict of interest.

Additional information

Publisher's Note

Springer Nature remains neutral with regard to jurisdictional claims in published maps and institutional affiliations.

Rights and permissions

Reprints and Permissions

About this article

Verify currency and authenticity via CrossMark

Cite this article

Huang, C., Abudouaini, H., Wang, B. et al. Comparison of Patient-Reported Postoperative Dysphagia in Patients Undergoing One-Level Versus Two-Level Anterior Cervical Discectomy and Fusion with the Zero-P Implant System. Dysphagia 36, 743–753 (2021). https://doi.org/10.1007/s00455-020-10197-w

Download citation

  • Received:

  • Accepted:

  • Published:

  • Issue Date:

  • DOI: https://doi.org/10.1007/s00455-020-10197-w

Keywords

  • ACDF
  • Zero-P
  • Cervical degenerative disc disease
  • Dysphagia