Abstract
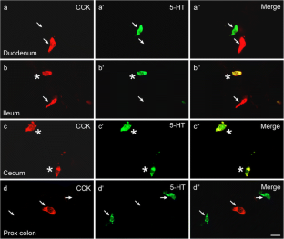
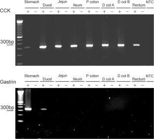
There is general consensus that enteroendocrine cells, EEC, containing the enteric hormone cholecystokinin (CCK) are confined to the small intestine and predominate in the duodenum and jejunum. Contrary to this, EEC that express the gene for CCK have been isolated from the large intestine of the mouse and there is evidence for EEC that contain CCK-like immunoreactivity in the mouse colon. However, the human and rat colons do not contain CCK cells. In the current study, we use immunohistochemistry to investigate CCK peptide presence in endocrine cells, PCR to identify cck transcripts and chromatography to identify CCK peptide forms in the mouse small and large intestine. The colocalisation of CCK and 5-HT, hormones that have been hypothesised to derive from cells of different lineages, was also investigated. CCK immunoreactivity was found in EEC throughout the mouse small and large intestine but positive cells were rare in the rectum. Immunoreactive EEC were as common in the caecum and proximal colon as they were in the duodenum and jejunum. CCK gene transcripts were found in the mucosa throughout the intestine but mRNA for gastrin, a hormone that can bind some anti-CCK antibodies, was only found in the stomach and duodenum. Characterisation of CCK peptides of the colon by extraction, chromatographic separation and radioimmunoassay revealed bioactive amidated and sulphated forms, including CCK-8 and CCK-33. Moreover, CCK-containing EEC in the large intestine bound antibodies that target the biologically active sulfated form. Colocalisation of CCK and 5-HT occurred in a proportion of EEC throughout the small intestine and in the caecum but these hormones were not colocalised in the colon, where there was CCK and PYY colocalisation. It is concluded that authentic, biologically active, CCK occurs in EEC of the mouse large intestine.







References
Agersnap M, Rehfeld JF (2014) Measurement of nonsulfated cholecystokinins. Scand J Clin Lab Invest 74:424–431
Agersnap M, Rehfeld JF (2015) Nonsulfated cholecystokinins in the small intestine of pigs and rats. Peptides 71:121–127
Beglinger C, Degen L (2004) Fat in the intestine as a regulator of appetite - role of CCK. Physiol Behav 83:617–621
Chambers ES, Viardot A, Psichas A et al (2015) Effects of targeted delivery of propionate to the human colon on appetite regulation, body weight maintenance and adiposity in overweight adults. Gut 64:1744–1174
Chao C, Hellmich MR (2012) Gastrointestinal hormones: gastrin, cholecystokinin, somatostatin and ghrelin. In: Johnson LR (ed) Physiology of the gastrointestinal tract. Academic, London
Chen MC, Wu SV, Reeve JR Jr, Rozengurt E (2006) Bitter stimuli induce Ca2+ signaling and CCK release in enteroendocrine STC-1 cells: role of L-type voltage-sensitive Ca2+ channels. Am J Physiol Cell Physiol 291:C726–C739
Cho H-J, Callaghan B, Bron R, Bravo DM, Furness JB (2014) Identification of enteroendocrine cells that express TRPA1 channels in the mouse intestine. Cell Tissue Res 356:77–82
Cho H-J, Kosari S, Hunne B, Callaghan B, Rivera LR, Bravo DM, Furness JB (2015) Differences in hormone localisation patterns of K and L type enteroendocrine cells in the mouse and pig small intestine and colon. Cell Tissue Res 359:693–698
Cox HM, Tough IR (2002) Neuropeptide Y, Y1, Y2 and Y4 receptors mediate Y agonist responses in isolated human colon mucosa. Br J Pharmacol 135:1505–1512
Daly K, Al-Rammahi M, Moran A, Marcello M, Niomiya Y, Shirazi-Beechey SP (2013) Sensing of amino acids by the gut-expressed taste receptor T1R1-T1R3 stimulates CCK secretion. Am J Physiol Gastrointest Liver Physiol 304:G271–G282
Edfalk S, Steneberg P, Edlund H (2008) Gpr40 is expressed in enteroendocrine cells and mediates free fatty acid stimulation of incretin secretion. Diabetes 57:2280–2287
Egerod KL, Engelstoft MS, Grunddal KV et al (2012) A major lineage of enteroendocrine cells coexpress CCK, secretin, GIP, GLP-1, PYY, and neurotensin but not somatostatin. Endocrinology 153:5782–5795
Ellis M, Chambers JD, Gwynne RM, Bornstein JC (2013) Serotonin and cholecystokinin mediate nutrient-induced segmentation in guinea pig small intestine. Am J Physiol Gastrointest Liver Physiol 304:G749–G761
Freeland KR, Wolever TMS (2010) Acute effects of intravenous and rectal acetate on glucagon-like peptide-1, peptide YY, ghrelin, adiponectin and tumour necrosis factor-α. Br J Nutr 103:460–466
Fu-Cheng X, Anini Y, Chariot J, Voisin T, Galmiche J-P, Rozé C (1995) Peptide YY release after intraduodenal, intraileal, and intracolonic administration of nutrients in rats. Eur J Physiol 431:66–75
Gonzalez-Coto AF, Alonso-Ron C, Alcalde I, Gallar J, Meana A, Merayo-Lloves J, Belmonte C (2014) Expression of cholecystokinin, gastrin, and their receptors in the mouse cornea. Invest Ophthalmol Vis Sci 55:1965–1975
Gribble FM, Reimann F (2015) Enteroendocrine cells: chemosensors in the intestinal epithelium. Annu Rev Physiol 78:3.1–3.23
Habib AM, Richards P, Cairns LS, Rogers GJ, Bannon CAM, Parker HE, Morley TCE, Yeo GSH, Reimann F, Gribble FM (2012) Overlap of endocrine hormone expression in the mouse intestine revealed by transcriptional profiling and flow cytometry. Endocrinology 153:3054–3065
Hayes MR, Covasa M (2005) CCK and 5-HT act synergistically to suppress food intake through simultaneous activation of CCK-1 and 5-HT3 receptors. Peptides 26:2322–2330
Huizinga JD, Chang G, Diamant NE, El Sharkawy TY (1984) The effects of cholecystokinin-octapeptide and pentagastrin on electrical and motor activities of canine circular muscle. Can J Physiol Pharmacol 62:1440–1447
Itoh Z (1997) Motilin and clinical application. Peptides 18:593–608
Kishimoto S, Machino H, Kobayashi H, Haruma K, Kajiyama G, Miyoshi A, Fuji K (1994) Inhibitory action of CCK-OP on rat proximal colon. Ann N Y Acad Sci 713:407–409
Larsson L-I, Rehfeld JF (1977) Evidence for a common evolutionary origin of gastrin and cholecystokinin. Nature 269:335–338
Larsson L-I, Rehfeld JF (1978) Distribution of gastrin and CCK cells in the rat gastrointestinal tract evidence for the occurrence of three distinct cell types storing COOH-terminal gastrin immunoreactivity. Histochemistry 58:23–31
Lay JM, Gillespie PJ, Samuelson LC (1999) Murine prenatal expression of cholecystokinin in neural crest, enteric neurons, and enteroendocrine cells. Dev Dyn 216:190–200
Li Y, Hao Y, Zhu J, Owyang C (2000) Serotonin released from intestinal enterochromaffin cells mediates luminal non-cholecystokinin-stimulated pancreatic secretion in rats. Gastroenterology 118:1197–1207
Lüttichau HR, Solinge WWV, Nielsen FC, Rehfeld JF (1993) Developmental expression of the gastrin and cholecystokinin genes in rat colon. Gastroenterology 104:1092–1098
Mangel AW (1984) Potentiation of colonic contractility to cholecystokinin and other peptides. Eur J Pharmacol 100:285–290
Martins P, Fakhry J, Chaves de Oliveira E, Hunne B, Fothergill LJ, Ringuet M, d’Ávila Reis D, Rehfeld JF, Callaghan B, Furness JB (2017) Analysis of eneteroendocrine cell populations in the human colon. Cell Tissue Res 367:361–368
Maton PN, Selden AC, Chadwick VS (1984) Differential distribution of molecular forms of cholecystokinin in human and porcine small intestinal mucosa. Regul Pept 8:9–19
Owyang C (1996) Physiological mechanisms of cholecystokinin action on pancreatic secretion. Am J Physiol 271:G1–G7
Psichas A, Sleeth ML, Murphy KG, Brooks L, Bewick GA, Hanyaloglu AC, Ghatei MA, Bloom SR, Frost G (2015) The short chain fatty acid propionate stimulates GLP-1 and PYY secretion via free fatty acid receptor 2 in rodents. Int J Obes 39:424–429
Raybould HE (1999) Nutrient tasting and signaling mechanisms in the gut I. Sensing of lipid by the intestinal mucosa. Am J Physiol 277:G751–G755
Raybould HE (2007) Mechanisms of CCK signaling from gut to brain. Curr Opin Pharmacol 7:570–574
Reeve JR, Eysselein V, Walsh, JH, Ben-Avram CM, Shively JE (1986) New molecular forms of cholecystokinin J. Biol. Chem. 261:16392–16397
Rehfeld JF (1978) Immunochemical studies on cholecystokinin. II. Distribution and molecular heterogeneity in the central nervous system and small intestine of man and hog. J Biol Chem 253:4022–4030
Rehfeld JF (1998) Accurate measurement of cholecystokinin in plasma. Clin Chem 44:991–1001
Rehfeld JF, Friis-Hansen L, Goetze JP, Hansen TVO (2007) The biology of cholecystokinin and gastrin peptides. Curr Top Med Chem 7:1154–1165
Rehfeld JF, Bundgaard JR, Hannibal J, Zhu X, Norrbom C, Steiner DF, Friis-Hansen L (2008) The cell-specific pattern of cholecystokinin peptides in endocrine cells versus neurons is governed by the expression of prohormone convertases 1/3, 2, and 5/6. Endocrinology 149:1600–1608
Reynaud Y, Fakhry J, Fothergill L, Callaghan B, Ringuet MT, Hunne B, Bravo DM, Furness JB (2016) The chemical coding of 5-hydroxytryptamine containing enteroendocrine cells in the mouse gastrointestinal tract. Cell Tissue Res 364:489–497
Roth KA, Kim S, Gordon JI (1992) Immunocytochemical studies suggest two pathways for enteroendocrine cell differentiation in the colon. Am J Physiol Gastrointest Liver Physiol 263:G174–G180
Sanger GJ, Furness JB (2016) Ghrelin and motilin receptors as drug targets for gastrointestinal disorders. Nat Rev Gastroenterol Hepatol 19:38–48
Savastano DM, Covasa M (2007) Intestinal nutrients elicit satiation through concomitant activation of CCK1 and 5-HT3 receptors. Physiol Behav 92:434–442
Smith PH, Davis BJ, Seino Y, Yanaihara N (1981) Localization of motilin-containing cells in the intestinal tract of mammals: a further comparison using region-specific motilin antisera. Gen Comp Endocrinol 44:288–291
Sykaras AG, Demenis C, Cheng L, Pisitkun T, Mclaughlin JT, Fenton RA, Smith CP (2014) Duodenal CCK cells from male mice express multiple hormones including ghrelin. Endocrinology 155:3339–3351
Tough IR, Forbes S, Tolhurst R, Ellis M, Herzog H, Bornstein JC, Cox HM (2011) Endogenous peptide YY and neuropeptide Y inhibit colonic ion transport, contractility and transit differentially via Y1 and Y2 receptors. Br J Pharmacol 164:471–484
Voigt J-P, Fink H, Marsden CA (1995) Evidence for the involvement of the 5-HT1A receptor in CCK induced satiety in rats. Naunyn Schmiedeberg’s Arch Pharmacol 351:217–220
Wang Y, Chandra R, Samasa LA, Gooch B, Fee BE, Cook JM, Vigna SR, Grant AO, Liddle RA (2011) Amino acids stimulate cholecystokinin release through the Ca2+-sensing receptor. Am J Physiol Gastrointest Liver Physiol 300:G528–G537
Acknowledgements
We thank Chelsea Dumensy for assistance with CCK characterisation and Mitchell Ringuet for assistance with the preparation of the paper.
Author information
Authors and Affiliations
Corresponding author
Additional information
Brid Callaghan and John B Furness are equal senior authors
Rights and permissions
About this article
Cite this article
Fakhry, J., Wang, J., Martins, P. et al. Distribution and characterisation of CCK containing enteroendocrine cells of the mouse small and large intestine. Cell Tissue Res 369, 245–253 (2017). https://doi.org/10.1007/s00441-017-2612-1
Received:
Accepted:
Published:
Issue Date:
DOI: https://doi.org/10.1007/s00441-017-2612-1