Skip to main content

Expression of peroxisome proliferator-activated receptor isoforms in the rat uterus during early pregnancy

Abstract

Peroxisome proliferator-activated receptors (PPARs) play an important role in different compartments of the female reproductive system in rodents and humans. However, expressional profiles and physiological functions of PPARs in the endometrium prior to the placentation are not well understood. In this study, we determined expressional profiles of the PPARs during early pregnancy. Immunocytochemistry revealed that both PPARα and PPARβ/δ were strongly detected in the endometrial stroma on days 4.5–6.5 of pregnancy, which is just a starting time of implantation. Delayed implantation animal model showed that the expressions of PPARα and PPARβ/δ occurred after the initiation of implantation in the endometrial stroma. Moreover, an in vitro decidualization model further revealed that the expression of PPARα increased in the cultured rat endometrial stromal cells at 24 h after the decidualization treatment, but the expression of PPARβ/δ was delayed and increased at 48 h after the treatment. PPARγ was expressed in the endometrial stroma and its expression decreased significantly at 2.5 days post-coitum and maintained a low level of expression during the period of implantation. These results indicate that PPARα is expressed and induced by the initiation of implantation, prior to the expression of PPARβ/δ in decidualized endometrium. Increasing expression of PPARγ during fertilization and its decline during the period of implantation further suggest that PPARs may play important roles during early pregnancy.

This is a preview of subscription content, access via your institution.

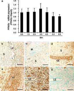
Fig. 1
Fig. 2
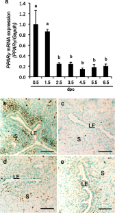
Fig. 3
Fig. 4
Fig. 5

References

  • Asami-Miyagishi R, Iseki S, Usui M, Uchida K, Kubo H, Morita I (2004) Expression and function of PPARgamma in rat placental development. Biochem Biophys Res Commun 315(2):497–501

    PubMed  Article  CAS  Google Scholar 

  • Balakumar P, Rose M, Singh M (2007) PPAR ligands: are they potential agents for cardiovascular disorders? Pharmacology 80(1):1–10

    PubMed  Article  CAS  Google Scholar 

  • Barak Y, Nelson MC, Ong ES, Jones YZ, Ruiz-Lozano P, Chien KR, Koder A, Evans RM (1999) PPAR gamma is required for placental, cardiac, and adipose tissue development. Mol Cell 4(4):585–595

    PubMed  Article  CAS  Google Scholar 

  • Beato M, Herrlich P, Schutz G (1995) Steroid hormone receptors: many actors in search of a plot. Cell 83(6):851–857

    PubMed  Article  CAS  Google Scholar 

  • Beaven SW, Tontonoz P (2006) Nuclear receptors in lipid metabolism: targeting the heart of dyslipidemia. Annu Rev Med 57:313–329

    PubMed  Article  CAS  Google Scholar 

  • Brosens JJ, Pijnenborg R, Brosens IA (2002) The myometrial junctional zone spiral arteries in normal and abnormal pregnancies: a review of the literature. Am J Obstet Gynecol 187(5):1416–1423

    PubMed  Article  Google Scholar 

  • Cammas L, Reinaud P, Bordas N, Dubois O, Germain G, Charpigny G (2006) Developmental regulation of prostacyclin synthase and prostacyclin receptors in the ovine uterus and conceptus during the peri-implantation period. Reproduction 131(5):917–927

    PubMed  Article  CAS  Google Scholar 

  • Cervero A, Dominguez F, Horcajadas JA, Quinonero A, Pellicer A, Simon C (2006) The role of the leptin in reproduction. Curr Opin Obstet Gynecol 18(3):297–303

    PubMed  Article  Google Scholar 

  • DeSouza MM, Mani SK, Julian J, Carson DD (1998) Reduction of mucin-1 expression during the receptive phase in the rat uterus. Biol Reprod 58(6):1503–1507

    PubMed  Article  CAS  Google Scholar 

  • Ding NZ, Ma XH, Diao HL, Xu LB, Yang ZM (2003a) Differential expression of peroxisome proliferator-activated receptor delta at implantation sites and in decidual cells of rat uterus. Reproduction 125(6):817–825

    PubMed  Article  CAS  Google Scholar 

  • Ding NZ, Teng CB, Ma H, Ni H, Ma XH, Xu LB, Yang ZM (2003b) Peroxisome proliferator-activated receptor delta expression and regulation in mouse uterus during embryo implantation and decidualization. Mol Reprod Dev 66(3):218–224

    PubMed  Article  CAS  Google Scholar 

  • Finn CA (1998) Menstruation: a nonadaptive consequence of uterine evolution. Q Rev Biol 73(2):163–173

    PubMed  Article  CAS  Google Scholar 

  • Fournier T, Tsatsaris V, Handschuh K, Evain-Brion D (2007) PPARs and the placenta. Placenta 28(2–3):65–76

    PubMed  Article  CAS  Google Scholar 

  • Froment P, Fabre S, Dupont J, Pisselet C, Chesneau D, Staels B, Monget P (2003) Expression and functional role of peroxisome proliferator-activated receptor-gamma in ovarian folliculogenesis in the sheep. Biol Reprod 69(5):1665–1674

    PubMed  Article  CAS  Google Scholar 

  • Froment P, Gizard F, Defever D, Staels B, Dupont J, Monget P (2006) Peroxisome proliferator-activated receptors in reproductive tissues: from gametogenesis to parturition. J Endocrinol 189(2):199–209

    PubMed  Article  CAS  Google Scholar 

  • Gamo T, Yamauchi N, Nishimura K, Watanabe R, Matsumoto K, Oozono S, Kubota K, He PJ, Soh T, Hattori MA (2007) Effects of tumor necrosis factor-alpha on cell proliferation, prostaglandins and matrix-metalloproteinases production in rat endometrial stromal cells cultured in vitro. J Exp Zool A Ecol Genet Physiol 307(12):699–707

    PubMed  Article  Google Scholar 

  • Gasic S, Bodenburg Y, Nagamani M, Green A, Urban RJ (1998) Troglitazone inhibits progesterone production in porcine granulosa cells. Endocrinology 139(12):4962–4966

    PubMed  Article  CAS  Google Scholar 

  • Keller H, Givel F, Perroud M, Wahli W (1995) Signaling cross-talk between peroxisome proliferator-activated receptor/retinoid X receptor and estrogen receptor through estrogen response elements. Mol Endocrinol 9(7):794–804

    PubMed  Article  CAS  Google Scholar 

  • Kliewer SA, Umesono K, Noonan DJ, Heyman RA, Evans RM (1992) Convergence of 9-cis retinoic acid and peroxisome proliferator signalling pathways through heterodimer formation of their receptors. Nature 358(6389):771–774

    PubMed  Article  CAS  Google Scholar 

  • Komar CM, Curry TE Jr (2002) Localization and expression of messenger RNAs for the peroxisome proliferator-activated receptors in ovarian tissue from naturally cycling and pseudopregnant rats. Biol Reprod 66(5):1531–1539

    PubMed  Article  CAS  Google Scholar 

  • Komar CM, Braissant O, Wahli W, Curry TE Jr (2001) Expression and localization of PPARs in the rat ovary during follicular development and the periovulatory period. Endocrinology 142(11):4831–4838

    PubMed  Article  CAS  Google Scholar 

  • Kubota N, Terauchi Y, Miki H, Tamemoto H, Yamauchi T, Komeda K, Satoh S, Nakano R, Ishii C, Sugiyama T, Eto K, Tsubamoto Y, Okuno A, Murakami K, Sekihara H, Hasegawa G, Naito M, Toyoshima Y, Tanaka S, Shiota K, Kitamura T, Fujita T, Ezaki O, Aizawa S, Kadowaki T et al (1999) PPAR gamma mediates high-fat diet-induced adipocyte hypertrophy and insulin resistance. Mol Cell 4(4):597–609

    PubMed  Article  CAS  Google Scholar 

  • Lefebvre P, Chinetti G, Fruchart JC, Staels B (2006) Sorting out the roles of PPAR alpha in energy metabolism and vascular homeostasis. J Clin Invest 116(3):571–580

    PubMed  Article  CAS  Google Scholar 

  • Lehrke M, Lazar MA (2005) The many faces of PPARgamma. Cell 123(6):993–999

    PubMed  Article  CAS  Google Scholar 

  • Lim H, Paria BC, Das SK, Dinchuk JE, Langenbach R, Trzaskos JM, Dey SK (1997) Multiple female reproductive failures in cyclooxygenase 2-deficient mice. Cell 91(2):197–208

    PubMed  Article  CAS  Google Scholar 

  • Lim H, Gupta RA, Ma WG, Paria BC, Moller DE, Morrow JD, DuBois RN, Trzaskos JM, Dey SK (1999) Cyclo-oxygenase-2-derived prostacyclin mediates embryo implantation in the mouse via PPARdelta. Genes Dev 13(12):1561–1574

    PubMed  Article  CAS  Google Scholar 

  • Lord E, Murphy BD, Desmarais JA, Ledoux S, Beaudry D, Palin MF (2006) Modulation of peroxisome proliferator-activated receptor delta and gamma transcripts in swine endometrial tissue during early gestation. Reproduction 131(5):929–942

    PubMed  Article  CAS  Google Scholar 

  • Mangelsdorf DJ, Thummel C, Beato M, Herrlich P, Schutz G, Umesono K, Blumberg B, Kastner P, Mark M, Chambon P, Evans RM (1995) The nuclear receptor superfamily: the second decade. Cell 83(6):835–839

    PubMed  Article  CAS  Google Scholar 

  • Matsumoto K, Yamauchi N, Watanabe R, Oozono S, Kubota K, Nishimura K, Wood C, Soh T, Kizaki K, Hattori MA (2009) In vitro decidualization of rat endometrial stromal cells. Cell Tissue Res 335(3):575–583

    PubMed  Article  CAS  Google Scholar 

  • Michalik L, Desvergne B, Dreyer C, Gavillet M, Laurini RN, Wahli W (2002) PPAR expression and function during vertebrate development. Int J Dev Biol 46(1):105–114

    PubMed  CAS  Google Scholar 

  • Nunez SB, Medin JA, Braissant O, Kemp L, Wahli W, Ozato K, Segars JH (1997) Retinoid X receptor and peroxisome proliferator-activated receptor activate an estrogen 16 responsive gene independent of the estrogen receptor. Mol Cell Endocrinol 127(1):27–40

    PubMed  Article  CAS  Google Scholar 

  • Rodríguez JC, Gil-Gómez G, Hegardt FG, Haro D (1994) Peroxisome proliferator-activated receptor mediates induction of the mitochondrial 3-hydroxy-3-methylglutaryl-CoA synthase gene by fatty acids. J Biol Chem 269(29):18767–18772

    PubMed  Google Scholar 

  • Rosen ED, Walkey CJ, Puigserver P, Spiegelman BM (2000) Transcriptional regulation of adipogenesis. Genes Dev 14(11):1293–1307

    PubMed  CAS  Google Scholar 

  • Sanchez-Criado JE, Ochiai K, Rothchild I (1987) Indomethacin treatment prevents prolactin-induced luteolysis in the rat. J Endocrinol 112(2):317–322

    PubMed  Article  CAS  Google Scholar 

  • Semple RK, Chatterjee VK, O'Rahilly S (2006) PPAR gamma and human metabolic disease. J Clin Invest 116(3):581–589

    PubMed  Article  CAS  Google Scholar 

  • Shalom-Barak T, Nicholas JM, Wang Y, Zhang X, Ong ES, Young TH, Gendler SJ, Evans RM, Barak Y (2004) Peroxisome proliferator-activated receptor gamma controls Muc1 transcription in trophoblasts. Mol Cell Biol 24(24):10661–10669

    PubMed  Article  CAS  Google Scholar 

  • Wang Q, Fujii H, Knipp GT (2002) Expression of PPAR and RXR isoforms in the developing rat and human term placentas. Placenta 23(8–9):661–671

    PubMed  Article  CAS  Google Scholar 

  • Yang J, Chen L, Zhang X, Zhou Y, Zhang D, Huo M, Guan Y (2008) PPARs and female reproduction: evidence from genetically manipulated mice. PPAR Res 2008:723243

    PubMed  Google Scholar 

  • Yessoufou A, Hichami A, Besnard P, Moutairou K, Khan NA (2006) Peroxisome proliferator-activated receptor alpha deficiency increases the risk of maternal abortion and neonatal mortality in murine pregnancy with or without diabetes mellitus: modulation of T cell differentiation. Endocrinology 147(9):4410–4418

    PubMed  Article  CAS  Google Scholar 

  • Zoete V, Grosdidier A, Michielin O (2007) Peroxisome proliferator-activated receptor structures: ligand specificity, molecular switch and interactions with regulators. Biochim Biophys Acta 1771(8):915–925

    PubMed  CAS  Google Scholar 

Download references

Acknowledgements

The authors would like to thank Ms. Chiaki Kondo and Ms. Takako Miyoshi for their helpful suggestions and technical assistance.

Author information

Affiliations

Authors

Corresponding author

Correspondence to Nobuhiko Yamauchi.

Rights and permissions

Reprints and Permissions

About this article

Cite this article

Nishimura, K., Yamauchi, N., Chowdhury, V.S. et al. Expression of peroxisome proliferator-activated receptor isoforms in the rat uterus during early pregnancy. Cell Tissue Res 345, 275 (2011). https://doi.org/10.1007/s00441-011-1208-4

Download citation

  • Received:

  • Accepted:

  • Published:

  • DOI: https://doi.org/10.1007/s00441-011-1208-4

Keywords

  • PPAR
  • Endometrium
  • Decidualization
  • Implantation
  • Rat (Sprague Dawley)