Abstract
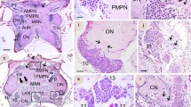
Calanoid copepods constitute an important group of marine planktonic crustaceans that often dominate the metazoan biomass of the world’s oceans. In proportion to their ecological importance, little is known about their nervous systems. We have used immunohistochemical techniques in a common North Atlantic calanoid to localize re-identifiable neurons that putatively contain the biogenic amines histamine, dopamine, and serotonin. We have found low numbers of such cells and cell groups (approximately 37 histamine pairs, 22 dopamine pairs, and 12 serotonin pairs) compared with those in previously described crustaceans. These cells are concentrated in the anterior part of the central nervous system, the majority for each amine being located in the three neuromeres that constitute the brain (protocerebrum, deutocerebrum, and tritocerebrum). Extensive histamine labeling occurs in several small compact protocerebral neuropils, three pairs of larger, more posterior, paired, dense neuropils, and one paired diffuse tritocerebral neuropil. The most concentrated neuropil showing dopamine labeling lies in the putative deutocerebrum, associated with heavily labeled commissural connections between the two sides of the brain. The most prominent serotonin neuropil is present in the anterior medial part of the brain. Tracts of immunoreactive fibers of all three amines are prominent in the cephalic region of the nervous system, but some projections into the most posterior thoracic regions have also been noted.





Similar content being viewed by others
Explore related subjects
Discover the latest articles and news from researchers in related subjects, suggested using machine learning.References
Aramant K, Elofsson R (1976) Distribution of monoaminergic neurons in the nervous system of non-malacostracan crustaceans. Cell Tissue Res 166:1–24
Barthelemy R-M, Jule Y, daPrato J-L, Liberge M (2006) Expression of serotonin and enkephalins in calanoid copepods (Crustacea): an immunohistochemical study. J Plankton Res 28:1047–1053
Battelle BA, Calman BG, Andrews AW, Grieco FD, Mleziva MB, Callaway JC, Stuart AE (1991) Histamine: a putative afferent neurotransmitter in Limulus eyes. J Comp Neurol 305:527–542
Baxter DA, Byrne JH (2006) Feeding behavior of Aplysia: a model system for comparing cellular mechanisms of classical and operant conditioning. Learn Mem 13:669–680
Beltz BS (1999) Distribution and functional anatomy of amine-containing neurons in decapod crustaceans. Microsc Res Tech 44:105–120
Beltz BS, Kravitz EA (1983) Mapping of serotonin-like immunoreactivity in the lobster nervous system. J Neurosci 3:585–602
Beltz BS, Pontes M, Helluy SM, Kravitz EA (1990) Patterns of appearance of serotonin and proctolin immunoreactivities in the developing nervous system of the American lobster. J Neurobiol 21:521–542
Bicker G (1999) Biogenic amines in the brain of the honeybee: cellular distribution, development, and behavioral functions. Microsc Res Tech 44:166–178
Bishop CA, O’Shea M (1983) Serotonin immunoreactive neurons in the central nervous system of an insect (Periplaneta americana). J Neurobiol 14:251–269
Bornhauser BC, Meyer EP (1997) Histamine-like immunoreactivity in the visual system and brain of an orthopteran and a hymenopteran insect. Cell Tissue Res 287:211–221
Brezina V, Weiss KR (1997) Analyzing the functional consequences of transmitter complexity. Trends Neurosci 20:538–543
Brodfuehrer PD, Debski EA, O’Gara BA, Friesen WO (1995) Neuronal control of leech swimming. J Neurobiol 27:403–418
Buchner E, Buchner S, Burg MG, Hofbauer A, Pak WL, Pollack I (1993) Histamine is a major mechanosensory neurotransmitter candidate in Drosophila melanogaster. Cell Tissue Res 273:119–125
Bullock TH, Horridge GA (1965) Structure and function in the nervous system of invertebrates, vol I. Freeman, San Francisco
Callaway JC, Stuart AE (1999) The distribution of histamine and serotonin in the barnacle's nervous system. Microsc Res Tech 44:94–104
Callaway JC, Stuart AE, Edwards JS (1989) Immunocytochemical evidence for the presence of histamine and GABA in photoreceptors of the barnacle (Balanus nubilus). Vis Neurosci 3:289–299
Carlberg M, Anctil M (1993) Biogenic amines in coelenterates. Comp Biochem Physiol C 106:1–9
Chase DL, Koelle MR (2007) Biogenic amine neurotransmitters in C. elegans. WormBook 20:1–15
Chiel HJ, Weiss KR, Kupfermann I (1990) Multiple roles of a histaminergic afferent neuron in the feeding behavior of Aplysia. Trends Neurosci 13:223–227
Christie AE, Skiebe P, Marder E (1995) Matrix of neuromodulators in neurosecretory structures of the crab Cancer borealis. J Exp Biol 198:2431–2439
Christie AE, Stein W, Quinlan JE, Beenhakker MP, Marder E, Nusbaum MP (2004) Actions of a histaminergic/peptidergic projection neuron on rhythmic motor patterns in the stomatogastric nervous system of the crab Cancer borealis. J Comp Neurol 469:153–169
Cooke IM, Sullivan RE (1982) Hormones and neurosecretion. In: Atwood HL, Sandeman DC (eds) The biology of Crustacea, vol 3: neurobiology: structure and function. Academic Press, New York, pp 206–278
Cournil I, Geffard M, Moulins M, Le Moal M (1984) Coexistence of dopamine and serotonin in an identified neuron of the lobster nervous system. Brain Res 310:397–400
Cournil I, Helluy SM, Beltz BS (1994) Dopamine in the lobster Homarus gammarus. I. Comparative analysis of dopamine and tyrosine hydroxylase immunoreactivities in the nervous system of the juvenile. J Comp Neurol 344:455–469
Cournil I, Casasnovas B, Helluy SM, Beltz BS (1995) Dopamine in the lobster Homarus gammarus. II. Dopamine-immunoreactive neurons and development of the nervous system. J Comp Neurol 362:1–16
Dickinson PS, Stemmler EA, Christie AE (2008) The pyloric neural circuit of the herbivorous crab Pugettia producta shows limited sensitivity to several neuromodulators that elicit robust effects in more opportunistically feeding decapods. J Exp Biol 211:1434–1447
Dubbels R, Elofsson R (1989) N-acetylation of arylalkylamines (serotonin and tryptamine) in the crayfish brain. Comp Biochem Physiol 93C:307–312
Elofsson R (1966) The nauplius eye and frontal organs of the non-malacostraca (Crustacea). Sarsia 25:1–128
Elofsson R (1971) The ultrastructure of a chemoreceptor organ in the head of copepod crustaceans. Acta Zool 52:299–315
Elofsson R (1983) 5-HT-like immunoreactivity in the central nervous system of the crayfish, Pacifastacus leniusculus. Cell Tissue Res 232:221–236
Elofsson R (1992) Monoaminergic and peptidergic neurons in the nervous system of Hutchinsoniella macracantha (Cephalocarida). J Crustacean Biol 12:531–536
Elofsson R (2006) The frontal eyes of crustaceans. Arthropod Struct Dev 35:275–291
Elofsson R, Falck B, Lindvall O, Myhrberg H (1977) Evidence for new catecholamines or related amino acids in some invertebrate sensory neurons. Cell Tissue Res 182:525–536
Elofsson R, Laxmyr L, Rosengren E, Hansson C (1982) Identification and quantitative measurements of biogenic amines and DOPA in the central nervous system and haemolymph of the crayfish Pacifastacus leniusculus (Crustacea). Comp Biochem Physiol 71C:195–201
Fort TJ, Brezina V, Miller MW (2004) Modulation of an integrated central pattern generator-effector system: dopaminergic regulation of cardiac activity in the blue crab Callinectes sapidus. J Neurophysiol 92:3455–3470
Fu Q, Kutz KK, Schmidt JJ, Hsu YW, Messinger DI, Cain SD, Iglesia HO de la, Christie AE, Li L (2005) Hormone complement of the Cancer productus sinus gland and pericardial organ: an anatomical and mass spectrometric investigation. J Comp Neurol 493:607–626
Gallus L, Ramoino P, Faimali M, Piazza V, Maura G, Marcoli M, Ferrando S, Girosi L, Tagliafierro G (2005) Presence and distribution of serotonin immunoreactivity in the cyprids of the barnacle Balanus amphitrite. Eur J Histochem 49:341–348
Hamasaka Y, Nässel DR (2006) Mapping of serotonin, dopamine, and histamine in relation to different clock neurons in the brain of Drosophila. J Comp Neurol 494:314–330
Hartline DK, Beltz BS (2006) 5HT and CHH immunoreactivity in the nervous system of the copepod, Calanus finmarchicus. Program no. 449.28. 2006 Neuroscience Meeting Planner, Atlanta, Ga., USA. Society for Neuroscience, 2006 (online)
Hartline DK, Christie AE (2007) Amine-like immunoreactivity in the central nervous system of the copepod, Calanus finmarchicus. Bull MDI Biol Lab 46:136
Harzsch S (2004) Phylogenetic comparison of serotonin-immunoreactive neurons in representatives of the Chilopoda, Diplopoda, and Chelicerata: implications for arthropod relationships. J Morphol 259:198–213
Harzsch S, Dawirs RR (1995) A developmental study of serotonin-immunoreactive neurons in the larval central nervous system of the spider crab Hyas araneus (Decapoda, Brachyura). Invert Neurosci 1:53–65
Harzsch S, Glötzner J (2002) An immunohistochemical study of structure and development of the nervous system in the brine shrimp Artemia salina Linnaeus, 1758 (Branchiopoda, Anostraca) with remarks on the evolution of the arthropod brain. Arthropod Struct Dev 30:251–270
Harzsch S, Waloszek D (2000) Serotonin-immunoreactive neurons in the ventral nerve cord of Crustacea: a character to study aspects of arthropod phylogeny. Arthropod Struct Dev 29:307–322
Haselton AT, Yin CM, Stoffolano JG Jr (2006) Occurrence of serotonin immunoreactivity in the central nervous system and midgut of adult female Tabanus nigrovittatus (Diptera: Tabanidae). J Med Entomol 43:252–257
Homberg U (2002) Neurotransmitters and neuropeptides in the brain of the locust. Microsc Res Tech 56:189–209
Homberg U (2008) Evolution of the central complex in the arthropod brain with respect to the visual system. Arthropod Struct Dev 37:347–362
Homberg U, Hildebrand JG (1989) Serotonin-immunoreactive neurons in the median protocerebrum and suboesophageal ganglion of the sphinx moth Manduca sexta. Cell Tissue Res 258:1–24
Homberg U, Hildebrand JG (1991) Histamine-immunoreactive neurons in the midbrain and suboesophageal ganglion of sphinx moth Manduca sexta. J Comp Neurol 307:647–657
Hörner M (1999) Cytoarchitecture of histamine-, dopamine-, serotonin- and octopamine-containing neurons in the cricket ventral nerve cord. Microsc Res Tech 44:137–165
Huber R (2005) Amines and motivated behaviors: a simpler systems approach to complex behavioral phenomena. J Comp Physiol A Neuroethol Sens Neural Behav Physiol 191:231–239
Hummel NA, Li AY, Witt CM (2007) Serotonin-like immunoreactivity in the central nervous system of two ixodid tick species. Exp Appl Acarol 43:265–278
Ignell R (2001) Monoamines and neuropeptides in antennal lobe interneurons of the desert locust, Schistocerca gregaria: an immunocytochemical study. Cell Tissue Res 306:143–156
Katz PS, Eigg MH, Harris-Warrick RM (1989) Serotonergic/cholinergic muscle receptor cells in the crab stomatogastric nervous system. I. Identification and characterization of the gastropyloric receptor cells. J Neurophysiol 62:558–570
Kirchhof BS, Homberg U, Mercer AR (1999) Development of dopamine-immunoreactive neurons associated with the antennal lobes of the honey bee, Apis mellifera. J Comp Neurol 411:643–653
Klemm N, Steinbusch HW, Sundler F (1984) Distribution of serotonin-containing neurons and their pathways in the supraoesophageal ganglion of the cockroach Periplaneta americana (L.) as revealed by immunocytochemistry. J Comp Neurol 225:387–395
Kravitz EA (2000) Serotonin and aggression: insights gained from a lobster model system and speculations on the role of amine neurons in a complex behavior. J Comp Physiol A 186:221–238
Kupfermann I (1991) Functional studies of cotransmission. Physiol Rev 71:683–732
Langworthy K, Helluy S, Benton J, Beltz B (1997) Amines and peptides in the brain of the American lobster: immunocytochemical localization patterns and implications for brain function. Cell Tissue Res 288:191–206
Le Feuvre Y, Fenelon VS, Meyrand P (2001) Ontogeny of modulatory inputs to motor networks: early established projection and progressive neurotransmitter acquisition. J Neurosci 21:1313–1326
Leitinger G, Pabst MA, Kral K (1999) Serotonin-immunoreactive neurones in the visual system of the praying mantis: an immunohistochemical, confocal laser scanning and electron microscopic study. Brain Res 823:11–23
Loesel R, Homberg U (1999) Histamine-immunoreactive neurons in the brain of the cockroach Leucophaea maderae. Brain Res 842:408–418
Longley AJ, Longley RD (1986) Serotonin immunoreactivity in the nervous system of the dragonfly nymph. J Neurobiol 17:329–338
Lowe E (1935) On the anatomy of a marine copepod, Calanus finmarchicus (Gunnerus). Trans R Soc Edinb 63:560–603
Lundell MJ, Hirsh J (1994) Temporal and spatial development of serotonin and dopamine neurons in the Drosophila CNS. Dev Biol 165:385–396
Marder E, Hooper SL, Siwicki KK (1986) Modulatory action and distribution of the neuropeptide proctolin in the crustacean stomatogastric nervous system. J Comp Neurol 243:454–467
Marder E, Christie AE, Kilman VL (1995) Functional organization of cotransmission systems: lessons from small nervous systems. Invert Neurosci 1:105–112
Mesce KA, DeLorme AW, Brelje TC, Klukas KA (2001) Dopamine-synthesizing neurons include the putative H-cell homologue in the moth Manduca sexta. J Comp Neurol 430:501–517
Meyrand P, Faumont S, Simmers J, Christie AE, Nusbaum MP (2000) Species-specific modulation of pattern-generating circuits. Eur J Neurosci 12:2585–2596
Myhrberg HE, Elofsson R, Aramant R, Klemm N, Laxmyr L (1979) Selective uptake of exogenous catecholamines into nerve fibres in crustaceans. A fluorescence histochemical investigation. Comp Biochem Physiol 62C:141–150
Miczek KA, Almeida RM de, Kravitz EA, Rissman EF, Boer SF de, Raine A (2007) Neurobiology of escalated aggression and violence. J Neurosci 27:11803–11806
Milton GW, Verhaert PD, Downer RG (1991) Immunofluorescent localization of dopamine-like and leucine-enkephalin-like neurons in the supraoesophageal ganglia of the American cockroach, Periplaneta americana. Tissue Cell 23:331–340
Monastirioti M (1999) Biogenic amine systems in the fruit fly Drosophila melanogaster. Microsc Res Tech 45:106–121
Moreau X, Benzid D, De Jong L, Barthélémy RM, Casanova JP (2002) Evidence for the presence of serotonin in Mysidacea (Crustacea, Peracarida) as revealed by fluorescence immunohistochemistry. Cell Tissue Res 310:359–371
Mulloney B, Hall WM (1991) Neurons with histamine-like immunoreactivity in the segmental and stomatogastric nervous systems of the crayfish Pacifastacus leniusculus and the lobster Homarus americanus. Cell Tissue Res 266:197–207
Nässel DR (1999) Histamine in the brain of insects: a review. Microsc Res Tech 44:121–136
Nässel DR, Elekes K (1984) Ultrastructural demonstration of serotonin-immunoreactivity in the nervous system of an insect (Calliphora erythrocephala). Neurosci Lett 48:203–210
Nässel DR, Elekes K (1985) Serotonergic terminals in the neural sheath of the blowfly nervous system: electron microscopical immunocytochemistry and 5, 7-dihydroxytryptamine labelling. Neuroscience 15:293–307
Nässel DR, Elekes K (1992) Aminergic neurons in the brain of blowflies and Drosophila: dopamine- and tyrosine hydroxylase-immunoreactive neurons and their relationship with putative histaminergic neurons. Cell Tissue Res 267:147–167
Nässel DR, Holmqvist MH, Hardie RC, Håkanson R, Sundler F (1988a) Histamine-like immunoreactivity in photoreceptors of the compound eyes and ocelli of the flies Calliphora erythrocephala and Musca domestica. Cell Tissue Res 253:639–646
Nässel DR, Elekes K, Johansson KU (1988b) Dopamine-immunoreactive neurons in the blowfly visual system: light and electron microscopic immunocytochemistry. J Chem Neuroanat 1:311–325
Nusbaum MP, Blitz DM, Swensen AM, Wood D, Marder E (2001) The roles of co-transmission in neural network modulation. Trends Neurosci 24:146–154
Orona E, Battelle BA, Ache BW (1990) Immunohistochemical and biochemical evidence for the putative inhibitory neurotransmitters histamine and GABA in lobster olfactory lobes. J Comp Neurol 294:633–646
Panksepp JB, Yue Z, Drerup C, Huber R (2003) Amine neurochemistry and aggression in crayfish. Microsc Res Tech 60:360–368
Panula P, Häppölä O, Airaksinen MS, Auvinen S, Virkamäki A (1988) Carbodiimide as a tissue fixative in histamine immunohistochemistry and its application in developmental neurobiology. J Histochem Cytochem 36:259–269
Park TS (1966) The biology of a calanoid copepod Epilabidocera amphitrites McMurrich. Cellule 66:129–251
Pollack I, Hofbauer A (1991) Histamine-like immunoreactivity in the visual system and brain of Drosophila melanogaster. Cell Tissue Res 266:391–398
Popova NK (2008) From gene to aggressive behavior: the role of brain serotonin. Neurosci Behav Physiol 38:471–475
Pirvola U, Tuomisto L, Yamatodani A, Panula P (1988) Distribution of histamine in the cockroach brain and visual system: an immunocytochemical and biochemical study. J Comp Neurol 276:514–526
Pulver SR, Marder E (2002) Neuromodulatory complement of the pericardial organs in the embryonic lobster, Homarus americanus. J Comp Neurol 451:79–90
Pulver SR, Thirumalai V, Richards KS, Marder E (2003) Dopamine and histamine in the developing stomatogastric system of the lobster Homarus americanus. J Comp Neurol 462:400–414
Rasband WS (1997-2000) ImageJ, US National Institutes of Health, Bethesda, Maryland, USA, http://rsb.info.nih.gov/ij/.
Real D, Czternasty G (1990) Mapping of serotonin-like immunoreactivity in the ventral nerve cord of crayfish. Brain Res 521:203–212
Rieger V, Harzsch S (2008) Embryonic development of the histaminergic system in the ventral nerve cord of the marbled crayfish (Marmorkrebs). Tissue Cell 40:113–126
Ryding E, Lindström M, Träskman-Bendz L (2008) The role of dopamine and serotonin in suicidal behaviour and aggression. Prog Brain Res 172:307–315
Salecker I, Distler P (1990) Serotonin-immunoreactive neurons in the antennal lobes of the American cockroach Periplaneta americana: light- and electron-microscopic observations. Histochemistry 94:463–473
Sandeman DC, Sandeman RE, Aitken AR (1988) Atlas of serotonin-containing neurons in the optic lobes and brain of the crayfish, Cherax destructor. J Comp Neurol 269:465–478
Sandeman DC, Sandeman RE, Derby C, Schmidt M (1992) Morphology of the brain of crayfish, crabs and spiny lobsters: a common nomenclature for homologous structures. Biol Bull 183:304–326
Santhoshi S, Sugumar V, Munuswamy N (2008) Histological and immunocytochemical localization of serotonin-like immunoreactivity in the brain and optic ganglia of the Indian white shrimp, Fenneropenaeus indicus. Microsc Res Tech 71:186–195
Schäfer S, Rehder V (1989) Dopamine-like immunoreactivity in the brain and suboesophageal ganglion of the honeybee. J Comp Neurol 280:43–58
Schmid A, Becherer C (1999) Distribution of histamine in the CNS of different spiders. Microsc Res Tech 44:81–93
Schmidt M, Ache BW (1994) Descending neurons with dopamine-like or with substance P/FMRFamide-like immunoreactivity target the somata of olfactory interneurons in the brain of the spiny lobster, Panulirus argus. Cell Tissue Res 278:337–352
Schürmann FW, Klemm N (1984) Serotonin-immunoreactive neurons in the brain of the honeybee. J Comp Neurol 225:570–580
Schürmann FW, Hörner M, Spörhase-Eichmann U (1995) The diverse layout of amine-containing systems in the ventral cord of an insect. Acta Biol Hung 46:485–490
Seid MA, Goode K, Li C, Traniello JF (2008) Age- and subcaste-related patterns of serotonergic immunoreactivity in the optic lobes of the ant Pheidole dentata. Dev Neurobiol 68:1325–1333
Semmler H, Wanninger A, Høeg JT, Scholtz G (2008) Immunocytochemical studies on the naupliar nervous system of Balanus improvisus (Crustacea, Cirripedia, Thecostraca). Arthropod Struct Dev 37:383–395
Settembrini BP, Villar MJ (2004) Distribution of serotonin in the central nervous system of the blood-feeding heteropteran, Triatoma infestans (Heteroptera: Reduviidae). J Morphol 260:21–32
Siever LJ (2008) Neurobiology of aggression and violence. Am J Psychiatry 165:429–442
Siwicki KK, Beltz BS, Kravitz EA (1987) Proctolin in identified serotonergic, dopaminergic, and cholinergic neurons in the lobster, Homarus americanus. J Neurosci 7:522–532
Skiebe P, Schneider H (1994) Allatostatin peptides in the crab stomatogastric nervous system: inhibition of the pyloric motor pattern and distribution of allatostatin-like immunoreactivity. J Exp Biol 194:195–208
Siju KP, Hansson BS, Ignell R (2008) Immunocytochemical localization of serotonin in the central and peripheral chemosensory system of mosquitoes. Arthropod Struct Dev 37:248–259
Stevenson PA, Spörhase-Eichmann U (1995) Localization of octopaminergic neurones in insects. Comp Biochem Physiol A Physiol 110:203–215
Stuart AE (1999) From fruit flies to barnacles, histamine is the neurotransmitter of arthropod photoreceptors. Neuron 22:431–433
Thompson KS, Zeidler MP, Bacon JP (1994) Comparative anatomy of serotonin-like immunoreactive neurons in isopods: putative homologues in several species. J Comp Neurol 347:553–569
Tierney AJ, Godleski MS, Rattananont P (1999) Serotonin-like immunoreactivity in the stomatogastric nervous systems of crayfishes from four genera. Cell Tissue Res 295:537–551
Tierney AJ, Kim T, Abrams R (2003) Dopamine in crayfish and other crustaceans: distribution in the central nervous system and physiological functions. Microsc Res Tech 60:325–335
Tsuji E, Aonuma H, Yokohari F, Nishikawa M (2007) Serotonin-immunoreactive neurons in the antennal sensory system of the brain in the carpenter ant, Camponotus japonicus. Zool Sci 24:836–849
Vieillemaringe J, Duris P, Geffard M, Le Moal M, Delaage M, Bensch C, Girardie J (1984) Immunohistochemical localization of dopamine in the brain of the insect Locusta migratoria migratorioides in comparison with the catecholamine distribution determined by the histofluorescence technique. Cell Tissue Res 237:391–394
Weatherby TM, Lenz PH (2000) Mechanoreceptors in calanoid copepods: designed for high sensitivity. Arthropod Struct Dev 29:275–288
Wegerhoff R (1999) GABA and serotonin immunoreactivity during postembryonic brain development in the beetle Tenebrio molitor. Microsc Res Tech 45:154–164
Wendt B, Homberg U (1992) Immunocytochemistry of dopamine in the brain of the locust Schistocerca gregaria. J Comp Neurol 321:387–403
Wood DE, Derby CD (1996) Distribution of dopamine-like immunoreactivity suggests a role for dopamine in the courtship display behavior of the blue crab, Callinectes sapidus. Cell Tissue Res 285:321–330
Würden S, Homberg U (1995) Immunocytochemical mapping of serotonin and neuropeptides in the accessory medulla of the locust, Schistocerca gregaria. J Comp Neurol 362:305–319
Acknowledgements
We greatly appreciate the advice and/or assistance provided by Dr. Barbara Beltz, Ms. Jeannie Benton, Mr. Daniel Burdick, Ms. Tina Weatherby Carvalho, Dr. Petra Lenz, Ms. Elizabeth Mitchell, and two anonymous reviewers. We thank Andrew Peterson and the College of the Atlantic for assistance in collecting animals. We are also grateful to the Biological Electron Microscope Facility at PBRC and to the Imaging Center of the MDIBL for providing confocal microscope facilities.
Author information
Authors and Affiliations
Corresponding author
Additional information
This work was supported by an NSF grant (no. 0451376 to P. Lenz). A. Christie received support from an MDIBL New Investigator award (provided through the Salisbury Cove Research Fund of the Thomas H. Maren Foundation), from MDIBL institutional funds, and from funds provided by the Cades Foundation (Honolulu).
Rights and permissions
About this article
Cite this article
Hartline, D.K., Christie, A.E. Immunohistochemical mapping of histamine, dopamine, and serotonin in the central nervous system of the copepod Calanus finmarchicus (Crustacea; Maxillopoda; Copepoda). Cell Tissue Res 341, 49–71 (2010). https://doi.org/10.1007/s00441-010-0974-8
Received:
Accepted:
Published:
Issue Date:
DOI: https://doi.org/10.1007/s00441-010-0974-8


