Skip to main content

Effect of high oxygen on placental function in short-term explant cultures

Abstract

Ex situ culture of human gestational tissues has been routinely used as a model to investigate tissue function. The objective of this study was to determine the effect of varying oxygen concentrations on human term placental explants over a 24-h time period. Specifically, the effect of incubating placental explants in oxygen concentrations of 8%, 21% or 95% on tissue viability, metabolism and cell death was measured by assessing glucose consumption, lactate production, release of lactate dehydrogenase, parathyroid hormone-related protein (PTHrP), tumour necrosis factor-alpha (TNF-α) and 8-isoprostane, immunoreactivity for cleaved-caspase-9 and immunohistochemistry for the caspase-3-cleaved cytokeratin-18 neoepitope, M30. Exposure to higher oxygen concentrations significantly increased the rates of glucose consumption and lactate production. Apoptosis was significantly increased under conditions of higher oxygen as evidenced by increased M30 in placental explant sections. Similarly, hyperoxia significantly increased the releases of PTHrP, TNF-α and 8-isoprostane. Thus, incubation of placental explants with oxygen concentrations of 95% and, to a lesser extent, 21% oxygen was associated with the modulation of multiple cellular response pathways including those associated with tissue viability and cell death. These data are consistent with the hypothesis that hyperoxia activates pathways and mechanisms involved in cellular metabolism, necrosis and apoptosis, thereby shifting the balance from a steady state towards cell death.

This is a preview of subscription content, access via your institution.

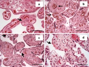
Fig. 1
Fig. 2
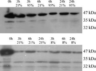
Fig. 3
Fig. 4
Fig. 5

References

  • Aban M, Cinel L, Arslan M, Dilek U, Kaplanoglu M, Arpaci R, Dilek S (2004) Expression of nuclear factor-kappa B and placental apoptosis in pregnancies complicated with intrauterine growth restriction and preeclampsia: an immunohistochemical study. J Exp Med 204:195–202

    CAS  Google Scholar 

  • Ahmad A, Ahmad S, Chang L, Schaack J, White CW (2006) Endothelial Akt activation by hyperoxia: role in cell survival. Free Radic Biol Med 40:1108–1118

    PubMed  Article  CAS  Google Scholar 

  • Aplin J (1991) Implantation, trophoblast differentiation and haemochorial placentation: mechanistic evidence in vivo and in vitro. J Cell Sci 99:681–692

    PubMed  Google Scholar 

  • Black S, Kadyrov M, Kaufmann P, Ugele B, Emans N, Huppertz B (2004) Syncytial fusion of human trophoblast depends on caspase 8. Cell Death Differ 11:90–98

    PubMed  Article  CAS  Google Scholar 

  • Caniggia I, Winter J, Lye S, Post M (2000a) Oxygen and placental development during the first trimester: implications for the pathophysiology of pre-eclampsia. Placenta 14(Suppl A):S25–S30

    Article  CAS  Google Scholar 

  • Caniggia I, Mostachfi H, Winter J, Gassmann M, Lye S, Kuliszewski M, Post M (2000b) Hypoxia-inducible factor-1 mediates the biological effects of oxygen on human trophoblast differentiation through TGF3. J Clin Invest 105:577–587

    CAS  Article  Google Scholar 

  • Coughlan MT, Permezel M, Georgiou H, Rice G (2004) Repression of oxidant-induced nuclear factor-kappa B activity mediates placental cytokine responses in gestational diabetes. J Clin Endocrinol Metab 89:3585–3594

    PubMed  Article  CAS  Google Scholar 

  • Crocker IP, Tansinda D, Jones C, Baker P (2004) The influence of oxygen and tumour necrosis factor-α on the cellular kinetics of term placental villous explants in culture. J Histochem Cytochem 52:749–757

    PubMed  Article  CAS  Google Scholar 

  • Farrugia W, Ho PWM, Rice GE, Moseley J, Permezel M, Wlodek ME (2000) Parathyroid hormone-related protein(1–34) in gestational fluids and release from human gestational tissues. J Endocrinol 165:657–662

    PubMed  Article  CAS  Google Scholar 

  • Grill V, Ho PWM, Body JJ, Johanson N, Lee SC, Kukreja SC, Moseley JM, Martin TJ (1991) Parathyroid related-hormone: elevated levels in both humoral hypercalcemia of malignancy and hypercalcemia complicating metastatic breast cancer. J Clin Endocrinol Metab 73:1309–1315

    PubMed  CAS  Article  Google Scholar 

  • Guthmann F, Wissel F, Schachtrup C, Tolle A, Rudiger M, Spener F, Rustow B (2005) Inhibition of TNF alpha in vivo presents hyperoxia-mediated activation of caspase-3 in type II cells. Respir Res 6:1465–1475

    Article  CAS  Google Scholar 

  • Hastings R, Ryan R, D’Angio C, Holm B, Patel A, Quintana R, Biederman E, Burton D, Deftos L (2002) Parathyroid hormone-related protein response to hyperoxic lung injury. Am J Physiol Lung Cell Mol Physiol 282:L1198–L1208

    PubMed  CAS  Google Scholar 

  • Hesse A, Dorger M, Kupatt C, Krombach F (2004) Proinflammatory role of inducible nitric oxide synthase in acute hyperoxic lung injury. Respir Res 5:1–9

    Article  CAS  Google Scholar 

  • Huppertz B, Kingdom J, Caniggia I, Desoye G, Black S, Korr H, Kaufmann P (2003) Hypoxia favours necrotic versus apoptotic shedding of placental syncytiotrophoblast into the maternal circulation. Placenta 24:181–190

    PubMed  Article  CAS  Google Scholar 

  • Jauniaux E, Watson AL, Hempstock J, Ba YP, Skepper JN, Burton GJ (2000) Onset of maternal arterial blood flow and placental oxidative stress. A possible factor in human early pregnancy failure. Am J Pathol 157:2111–2122

    PubMed  CAS  Google Scholar 

  • Kadyrov M, Kaufmann P, Huppertz B (2001) Expression of a cytokeratin 18 neo-epitope is a specific marker for trophoblast apoptosis in human placenta. Placenta 22:44–48

    PubMed  Article  CAS  Google Scholar 

  • Laham N, Brennecke SP, Rice G (1997) Interleukin-8 release from human gestational tissue explants: the effects of lipopolysaccharide and cytokines. Biol Reprod 57:616–620

    PubMed  Article  CAS  Google Scholar 

  • Lappas M, Permezel M, Rice GE (2003) N-acetyl-cysteine inhibits phospholipid metabolism, pro-inflammatory cytokine release, protease activity and NF-B DNA binding activity in human fetal membranes in vitro. J Clin Endocrinol Metab 88:1723–1729

    PubMed  Article  CAS  Google Scholar 

  • Lappas M, Permezel M, Georgiou HM, Rice GE (2004) Regulation of phospholipase isozymes by nuclear factor-B in human gestational tissues in vitro. J Clin Endocrinol Metab 89:2365–2372

    PubMed  Article  CAS  Google Scholar 

  • Lee H, Park H, Kim Y, Kim H, Ahn Y, Park B, Park J, Lee B (2005) Expression of lectin-like oxidized low-density lipoprotein receptor-1 (LOX-1) in human preeclamptic placenta: possible implications in the process of trophoblast apoptosis. Placenta 26:226–233

    PubMed  Article  CAS  Google Scholar 

  • Long A, Colitz CMH, Bomser J (2004) Apoptotic and necrotic mechanisms of stress-induced human lens epithelial cell death. Exp Biol Med 229:1072–1080

    CAS  Google Scholar 

  • Miller RK, Genbacev O, Turner MA, Aplin JD, Caniggia I, Huppertz B (2005) Human placental explants in culture: approaches and assessments. Placenta 26:439–448

    PubMed  Article  CAS  Google Scholar 

  • Newby D, Marks L, Lyall F (2005) Dissolved oxygen concentration in culture medium: assumptions and pitfalls. Placenta 26:353–357

    PubMed  Article  CAS  Google Scholar 

  • Nguyen H, Rice GE, Farrugia W, Wong M, Brennecke S (1994) Bacterial endotoxin increases type II phospholipase A2 immunoreactive content and phospholipase A2 enzymatic activity in human choriodecidua. Biol Reprod 50:526–534

    PubMed  Article  CAS  Google Scholar 

  • Schneider H (2000) Placental oxygen consumption. II. In vitro studies: a review. Placenta 21(Suppl A):S38–S44

    PubMed  Article  Google Scholar 

  • Takahashi A, Masuda A, Sun M, Centonze VE, Herman B (2004) Oxidative stress-induced apoptosis in association with alterations in mitochondrial caspase activity and Bcl-2-dependent alterations in mitochondrial pH (pHm). Brain Res Bull 62:497–504

    PubMed  Article  CAS  Google Scholar 

  • Wlodek ME, Ho PW, Rice GE, Moseley JM, Martin TJ, Brennecke SP (1995) Parathyroid hormone-related protein (PTHrP) concentrations in human amniotic fluid during gestation and at the time of labour. Reprod Fertil Dev 7:1509–1513

    PubMed  Article  CAS  Google Scholar 

  • Zerega B, Cermelli S, Bianco P, Cancedda R, Cancedda FD (1999) Parathyroid hormone [PTH(1-34)] and parathyroid hormone-related protein [PTHrP(1-34)] promote reversion of hypertrophic chondrocytes to a pre-hypertrophic proliferating phenotype and prevent terminal differentiation of osteoblast-like cells. J Bone Mineral Res 14:1281–1289

    Article  CAS  Google Scholar 

Download references

Acknowledgments

The authors gratefully acknowledge the contribution made by the clinical research midwives (Val Bryant, Sarah Mitchell, Angie Denning, Melissa Ryan and Ellen Smith) at the Mercy Hospital for Women. They are also grateful to both Daphne Hards and Patricia Ho at the St Vincent’s Institute for Medical Research for time spent on paraffin embedding and performing the PTHrP radioimmunoassay, respectively. Finally, they thank the Medical Research Foundation for Women and Babies for providing funding for the Leica Qwin Image Analysis System.

Author information

Affiliations

Authors

Corresponding author

Correspondence to Martha Lappas.

Rights and permissions

Reprints and Permissions

About this article

Cite this article

Reti, N.G., Lappas, M., Huppertz, B. et al. Effect of high oxygen on placental function in short-term explant cultures. Cell Tissue Res 328, 607–616 (2007). https://doi.org/10.1007/s00441-006-0375-1

Download citation

  • Received:

  • Accepted:

  • Published:

  • Issue Date:

  • DOI: https://doi.org/10.1007/s00441-006-0375-1

Keywords

  • Term placental explants
  • Short-term cultures
  • Oxidant stress
  • Metabolite activity
  • Apoptosis
  • Human