Skip to main content

Damaging effect of the fish pathogen Aeromonas salmonicida ssp. salmonicida on intestinal enterocytes of Atlantic salmon (Salmo salar L.)

Abstract

In fish, bacterial pathogens can enter the host by one or more of three different routes: (a) skin, (b) gills and (c) gastrointestinal tract. Bacteria can cross the gastrointestinal lining in three different ways. In undamaged tissue, bacteria can translocate by transcellular or paracellular routes. Alternatively, bacteria can damage the intestinal lining with extracellular enzymes or toxins before entering. Using an in vitro (Ussing chamber) model, this paper describes intestinal cell damage in Atlantic salmon (Salmo salar L.) caused by the fish pathogen Aeromonas salmonicida ssp. salmonicida, the causative agent of furunculosis. The in vitro method clearly demonstrated substantial detachment of enterocytes from anterior region of the intestine (foregut) upon exposure to the pathogen. In the hindgut (posterior part of the intestine), little detachment was observed but cellular damage involved microvilli, desmosomes and tight junctions. Based on these findings, we suggest that A. salmonicida may obtain entry to the fish by seriously damaging the intestinal lining. Translocation of bacteria through the foregut (rather than the hindgut) is a more likely infection route for A. salmonicida infections in Atlantic salmon.

This is a preview of subscription content, access via your institution.

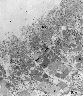
Fig. 1
Fig. 2
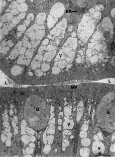
Fig. 3
Fig. 4

References

  • Bakken Y (2002) Histological studies of pyloric caeca of Atlantic salmon (Salmo salar L.) fed diets containing linseed, soybean, and marine oils. Effects of challenge with Aeromonas salmonicida ssp. salmonicida. MSc Thesis. Norwegian College of Fishery Science, University of Tromsø, Norway

  • Bennish ML (1994) Cholera: pathophysiology, clinical features, and treatment. In: Wachsmuth K, Blake PA, Olsvik Ø (eds) Vibrio cholera and cholera: molecular to global perspectives. American Society for Microbiology, Washington, pp 229–255

  • Birkbeck TH, Ringø E (2004) Pathogenesis and the GI tract of growing fish. In: Holzapfel W, Naughton P (eds) Microbial ecology of the growing animal. Elsevier, Amsterdam

  • Chair M, Dehasque M, van Poucke S, Nelis H, Sorgeloos P, de Leener AP (1994) An oral challenge for turbot larvae with Vibrio anguillarum. Aquacult Int 2:270–272

    Google Scholar 

  • Chopra AK, Xu XJ, Ribardo D, Gonzalez M, Kuhl K, Peterson JW, Houston CW (2000) The cytotoxic enterotoxin of Aeromonas hydrophila induces proinflammatory cytokine production and activates arachidonic acid metabolism in macrophages. Infect Immun 68:2808–2818

    Article  CAS  PubMed  Google Scholar 

  • Fasano A (2002) Toxins and the gut: role in human disease. Gut 50:9–14

    Article  PubMed  Google Scholar 

  • Finlay BB, Falkow S (1989) Common themes in microbial pathogenicity. Microbiol Rev 53:210–230

    CAS  PubMed  Google Scholar 

  • Fivaz M, van der Goot FG (1999) The tip of a molecular syringe. Trends Microbiol 7:341–343

    Article  CAS  PubMed  Google Scholar 

  • Grass GM, Sweetana SA (1988) In vitro measurement of gastrointestinal tissue permeability using a new diffusion cell. Pharmacol Res 5:372–376

    Article  CAS  Google Scholar 

  • Grisez L, Chair M, Sorgeloos P, Ollevier F (1996) Mode of infection and spread of Vibrio anguillarum in turbot Scophthalmus maximus larvae after oral challenge through live feed. Dis Aquat Org 26:181–187

    Google Scholar 

  • Hicks S, Candy DCA, Phillips AD (1996) Adhesion of enteroaggregative Escherichia coli to pediatric intestinal mucosa in vitro. Infect Immun 64:4751–4760

    CAS  PubMed  Google Scholar 

  • Isenmann R, Schwarz M, Rozdzinski E, Marre R, Berger HG (2000) Aggregation substance promote colonic mucosal invasion of Enterococcus faecalis in an ex vivo model. J Surg Res 89:132–138

    Article  CAS  PubMed  Google Scholar 

  • Jöborn A, Olsson JC, Westerdahl A, Conway PL, Kjelleberg S (1997) Colonization in the fish intestinal tract and production of inhibitory substances in intestinal mucus and faecal extracts by Carnobacterium sp. strain K1. J Fish Dis 20:383–392

    Article  Google Scholar 

  • Karunasagar I, Karunasagar I (1999) Diagnosis, treatment and prevention of microbial diseases of fish and shellfish. Curr Sci 76:387–399

    CAS  Google Scholar 

  • Knutton S (1995) Electron microscopical methods in adhesion. Methods Enzymol 253:145–158

    Article  CAS  PubMed  Google Scholar 

  • Knutton S, Shaw RK, Bhan M, Smith HR, McConnell MM, Cheasty T, Williams PH, Baldwin TJ (1992) Ability of enteroaggregative Escherichia coli strains to adhere in vitro to human intestinal mucosa. Infect Immun 60:2083–2091

    CAS  PubMed  Google Scholar 

  • Krogdahl A, Bakke-Mckellep AM, Rød KH, Bæverfjord G (2000) Feeding Atlantic salmon, Salmo salar L., soybean products: effect on disease resistance (furunculosis), and lysozyme and IgM levels in the intestinal mucosa. Aquacult Nutr 6:77–84

    Article  Google Scholar 

  • Kurkchubasche AG, Cardona M, Watkins SC, Smith SD, Albanese CT, Simmons RL, Rowe MI, Ford HR (1998) Transmucosal passage of bacteria across rat intestinal epithelium in the ussing chamber: effect of nutritional factors and bacterial virulence. Shock 9:121–127

    CAS  PubMed  Google Scholar 

  • Lødemel JB, Mayhew TM, Myklebust R, Olsen RE, Espelid S, Ringø E (2001) Effect of three dietary oils on disease susceptibility in Arctic charr (Salvelinus alpinus L.) during cohabitant challenge with Aeromonas salmonicida ssp. salmonicida. Aquacult Res 32:935–945

    Google Scholar 

  • Mackie TJ, Arkwright JA, Pyrce-Tannatt TE, Mottram JC, Johnston WD, Menzies WJ (1930) Interim report of the furunculosis committee. HMSO, Edinburgh

  • Magigan MT, Martinko JM, Parker J (2000) Brock. Biology of microorganisms, 9th edn. Prentice Hall International, Upper Saddle River

  • Mangell P, Nejdfors P, Wang M, Ahrne S, Westrom B, Thorlacius H, Jeppsson B (2002) Lactobacillus plantarum 299v inhibits Escherichia coli-induced intestinal permeability. Dig Dis Sci 47:511–516

    Article  PubMed  Google Scholar 

  • Mayhew TM, Myklebust R, Whybrow A, Jenkins R (1999) Epithelial integrity, cell death and cell loss in mammalian small intestine. Histol Histopathol 14:257–267

    CAS  PubMed  Google Scholar 

  • McDowell EM, Trump BR (1976) Histological fixatives suitable for diagnostic light and electron microscopy. Arch Pathol Lab Med 100:405–414

    CAS  PubMed  Google Scholar 

  • Nataro JP, Kaper JB (1998) Diarrheagenic Escherichia coli. Clin Microbiol Rev 11:142–201

    CAS  PubMed  Google Scholar 

  • Olivier G (1997) Getting to know your enemy. In: Bernoth E-M, Ellis AE, Midtlyng PJ, Olivier G, Smith P (eds) Furunculosis. Multidisciplinary fish disease research. Academic, San Diego, pp 233–234

  • Olsen RE, Myklebust R, Ringø E, Mayhew TM (2000) The influence of dietary linseed oil and saturated fatty acids on caecal enterocytes in Arctic charr (Salvelinus alpinus L.): a quantitative ultrastructural study. Fish Physiol Biochem 22:207–216

    Article  CAS  Google Scholar 

  • Olsson JC, Jöborn A, Westerdahl A, Blomberg L, Kjelleberg S, Conway PL (1996) Is the turbot, Scophthalmus maximus L., intestine a port of entry for the fish pathogen Vibrio anguillarum. J Fish Dis 19:225–234

    Google Scholar 

  • Petersen A, Dalsgaard A (2003) Antimicrobial resistance of intestinal Aeromonas spp. and Enterococcus spp. in fish cultured in integrated broiler-fish farms in Thailand. Aquaculture 219:71–82

    Article  CAS  Google Scholar 

  • Press CM, Lillehaug A (1995) Vaccination in European salmonid aquaculture: a review of practices and prospects. Br Vet J 151:45–69

    CAS  PubMed  Google Scholar 

  • Ringø E, Olsen RE (1999) The effect of diet on aerobic bacterial flora associated with intestine of Arctic charr (Salvelinus alpinus L.). J Appl Microbiol 86:22–28

    Article  PubMed  Google Scholar 

  • Ringø E, Olsen RE, Øverli Ø, Løvik F (1997) Effect of dominance hierarchy formation on aerobic microbiota associated with epithelial mucosa of subordinate and dominant individuals of Arctic charr, Salvelinus alpinus (L.). Aquacult Res 28:901–904

    Google Scholar 

  • Ringø E, Lødemel JB, Myklebust R, Kaino T, Mayhew TM, Olsen RE (2001) Epithelium associated bacteria in the gastrointestinal tract of Arctic charr (Salvelinus alpinus L.). An electron microscopical study. J Appl Microbiol 90:294–300

    Article  PubMed  Google Scholar 

  • Ringø E, Olsen RE, Mayhew TM, Myklebust R (2003) Electron microscopy of the intestinal microflora of fish. Aquaculture 227:395–415

    Article  Google Scholar 

  • Robertson PAW, O’Dowd C, Burrells C, Williams P, Austin B (2000) Use of Carnobacterium sp. as a probiont for Atlantic salmon (Salmo salar L.) and rainbow trout (Oncorhynchus mykiss, Walbaum). Aquaculture 185:235–243

    Article  Google Scholar 

  • Romalde JL, Magarinos B, Nunez S, Barja JL, Toranzo AE (1996) Host range susceptibility of Enterococcus sp. strains isolated from diseased turbot: possible routes of infection. Appl Environ Microbiol 62:607–611

    CAS  PubMed  Google Scholar 

  • Rose AS, Ellis AE, Munro ALS (1989) The infectivity by different routes of exposure and shedding rates of Aeromonas salmonicida ssp. salmonicida in Atlantic salmon, Salmo salar L., held in sea water. J Fish Dis 12:573–578

    Google Scholar 

  • Sakai DK (1979) Invasive routes of Aeromonas salmonicida subsp. salmonicida. Sci Rep Hokkaido Fish Hatch 34:61–89

    Google Scholar 

  • Samuelsen OB, Hjeltnes B, Glette J (1998) Efficacy of orally administered florfenicol in the treatment of furunculosis in Atlantic salmon. J Aqua Anim Health 10:56–61

    Article  Google Scholar 

  • Scheppach W, Dusel G, Kuhn T, Loges C, Karch H, Bartram HP, Richter F, Christl SU, Kasper H (1996) Effect of l-glutamine and n-butyrate on the restitution of rat colonic mucosa after induced injury. Gut 38:875–885

    Google Scholar 

  • Skirpstunas RT, Baldwin TJ (2002) Edwardsiella ictaluri invasion of IEC-6, Henle 407, fathead minnow and channel catfish enteric epithelial cells. Dis Aquat Organ 51:161–167

    PubMed  Google Scholar 

  • Sundell K, Jutfelt F, Agustsson T, Olsen RE, Sandblom E, Hansen T, Björnsson BTh (2003) Intestinal transport mechanisms and plasma cortisol levels during normal and out-of season parr–smolt transformation of Atlantic salmon, Salmo salar. Aquaculture 222:265–285

    Article  CAS  Google Scholar 

Download references

Author information

Affiliations

Authors

Corresponding author

Correspondence to Einar Ringø.

Additional information

Financial support from the Commission of the European Communities, quality of Life and Management of Living Resources programme, project Q5RT-2000-31656 “Gastrointestinal Functions and Food Intake Regulation in Salmonids: Impact of Dietary vegetable Lipids” (GUTINTEGRITY) and from Magnus Bergvalls Stiftelse for KS, is acknowledged.

This work does not represent the opinion of the European Community, which is thus not responsible for any use of the data presented.

Rights and permissions

Reprints and Permissions

About this article

Cite this article

Ringø, E., Jutfelt, F., Kanapathippillai, P. et al. Damaging effect of the fish pathogen Aeromonas salmonicida ssp. salmonicida on intestinal enterocytes of Atlantic salmon (Salmo salar L.). Cell Tissue Res 318, 305–311 (2004). https://doi.org/10.1007/s00441-004-0934-2

Download citation

  • Received:

  • Accepted:

  • Published:

  • Issue Date:

  • DOI: https://doi.org/10.1007/s00441-004-0934-2

Keywords

  • Ussing chamber
  • Fish digestive tract
  • Aeromonas
  • Cell damage
  • Electron microscopy
  • Salmo salar (Teleostei)