Skip to main content

Expression of galectin-3 in the rat pancreas during regeneration following hormone-induced pancreatitis

Abstract

Supramaximal dosage of the cholecystokinin analog caerulein leads to edematous pancreatitis with subsequent acinar cell destruction predominantly by apoptosis. We have used immunohistochemistry to reveal the expression of the anti-apoptotic protein galectin-3 in pancreatic acinar cells. Galectin-3, which occurs only in duct cells under physiological conditions, is expressed in a subset of acinar cells after the end of a 12-h caerulein infusion, giving rise to a “patchy” staining pattern. During the subsequent period of inflammation and regeneration, galectin-3 expression increases in those acinar cells that undergo apoptosis. By 48 h after the end of caerulein infusion, morphologically normal cells do not contain galectin-3 and participate in regeneration by proliferation. Tubular complexes, being transient structures from degenerative acini, accumulate galectin-3 in the remnants of the epithelium cells. Stimulation with supramaximal dosages of caerulein of the cell line AR4–2J, which is derived from rat pancreatic acinar cells, also results in a marked increase of galectin-3, confirming the in vivo results. We postulate that the high expression of the anti-apoptotic protein galectin-3 regulates the time course of the apoptotic process in pancreatic acinar cells.

This is a preview of subscription content, access via your institution.

Fig. 1A–D
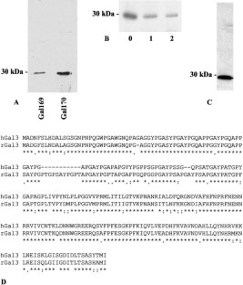
Fig. 2A–D
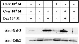
Fig. 3
Fig. 4A–H
Fig. 5
Fig. 6

References

  • Adler G, Kern HF, Pan GZ, Gardner JD (1984) Secretagogue-induced membrane alterations in dispersed acini from rat pancreas. Eur J Cell Biol 33:234–241

    CAS  PubMed  Google Scholar 

  • Akahani S, Nangia-Makker P, Inohara H, Kim HR, Raz A (1997) Galectin-3: a novel antiapoptotic molecule with a functional BH1 (NWGR) domain of Bcl-2 family. Cancer Res 57:5272–5276

    CAS  PubMed  Google Scholar 

  • Autuori F, Farrace MG, Oliverio S, Piredda L, Piacentini M (1998) “Tissue” transglutaminase and apoptosis. Adv Biochem Eng Biotechnol 62:129–136

    CAS  PubMed  Google Scholar 

  • Barondes SH, Cooper DN, Gitt MA, Leffler H (1994) Galectins. Structure and function of a large family of animal lectins. J Biol Chem 269:20807–20810

    CAS  PubMed  Google Scholar 

  • Cory S, Adams JM (2002) The Bcl2 family: regulators of the cellular life-or-death switch. Nat Rev Cancer 2:647–656

    Article  CAS  PubMed  Google Scholar 

  • Damoiseaux JG, Dopp EA, Calame W, Chao D, MacPherson GG, Dijkstra CD (1994) Rat macrophage lysosomal membrane antigen recognized by monoclonal antibody ED1. Immunology 83:140–147

    CAS  PubMed  Google Scholar 

  • Elsässer HP, Adler G, Kern HF (1986) Time course and cellular source of pancreatic regeneration following acute pancreatitis in the rat. Pancreas 1:421–429

    CAS  PubMed  Google Scholar 

  • Elsässer HP, Adler G, Kern HF (1989) Fibroblast structure and function during regeneration from hormone-induced acute pancreatitis in the rat. Pancreas 4:169–178

    PubMed  Google Scholar 

  • Elsässer HP, Haake T, Grimmig M, Adler G, Kern HF (1992) Repetitive cerulein-induced pancreatitis and pancreatic fibrosis in the rat. Pancreas 7:385–390

    PubMed  Google Scholar 

  • Elsässer HP, Adler G, Kern HF (1993a) Replication and regeneration of the pancreas. In: Go VLW, et al (eds) The pancreas: biology, pathobiology and disease, 2nd edn. Raven, New York, pp 75–86

  • Elsässer HP, Lehr U, Agricola B, Kern HF (1993b) Structural analysis of a new highly metastatic cell line PaTu 8902 from a primary human pancreatic adenocarcinoma. Virchows Arch [B] 64:201–207

    Google Scholar 

  • Gomez G, Lee HM, He Q, Englander EW, Uchida T, Greeley GH (2001) Acute pancreatitis signals activation of apoptosis-associated and survival genes in mice. Exp Biol Med 226:692–700

    CAS  Google Scholar 

  • Gorelick FS, Adler G, Kern HF (1993) Cerulein-induced pancreatitis. In: Go VLW et al. (eds) The pancreas: biology, pathobiology and disease, 2nd edn. Raven, New York, pp 501–526

  • Gukovskaya AS, Gukovsky I, Jung Y, Mouria M, Pandol SJ (2002) Cholecystokinin induces caspase activation and mitochondrial dysfunction in pancreatic acinar cells. Roles in cell injury processes of pancreatitis. J Biol Chem 277:22595–22604

    Article  CAS  PubMed  Google Scholar 

  • Hamasaki A, Sendo F, Nakayama K, Ishida N, Negishi I, Nakayama K, Hatakeyama S (1998) Accelerated neutrophil apoptosis in mice lacking A1-a, a subtype of the bcl-2-related A1 gene. J Exp Med 188:1985–1992

    Article  CAS  PubMed  Google Scholar 

  • Harjacek M, Diaz-Cano S, De Miguel M, Wolfe H, Maldonado CA, Rabinovich GA (2001) Expression of galectins-1 and -3 correlates with defective mononuclear cell apoptosis in patients with juvenile idiopathic arthritis. J Rheumatol 28:1914–1922

    CAS  PubMed  Google Scholar 

  • Iovanna JL (1996) Redifferentiation and apoptosis of pancreatic cells during acute pancreatitis. Int J Pancreatol 20:77–84

    CAS  PubMed  Google Scholar 

  • Kaiser AM, Saluja AK, Sengupta A, Saluja M, Steer ML (1995) Relationship between severity, necrosis, and apoptosis in five models of experimental acute pancreatitis. Am J Physiol 269:C1295–C1304

    CAS  PubMed  Google Scholar 

  • Kleinman HK, McGoodwin EB, Rennard SI, Martin GR (1979) Preparation of collagen substrates for cell attachment; effect of collagen concentration and phosphate buffer. Anal Biochem 94:308–312

    CAS  PubMed  Google Scholar 

  • Lampel M, Kern HF (1977) Acute interstitial pancreatitis in the rat induced by excessive doses of a pancreatic secretagogue. Virchows Arch [A] 373:97–117

    Google Scholar 

  • Lin HM, Moon BK, Yu F, Kim HR (2000) Galectin-3 mediates genistein-induced G(2)/M arrest and inhibits apoptosis. Carcinogenesis 21:1941–1945

    Article  CAS  PubMed  Google Scholar 

  • Matarrese P, Tinari N, Semeraro ML, Natoli C, Iacobelli S, Malorni W (2000) Galectin-3 overexpression protects from cell damage and death by influencing mitochondrial homeostasis. FEBS Lett 473:311–315

    Article  CAS  PubMed  Google Scholar 

  • Mehul B, Bawumia S, Hughes RC (1995) Cross-linking of galectin 3, a galactose-binding protein of mammalian cells, by tissue-type transglutaminase. FEBS Lett 360:160–164

    Article  CAS  PubMed  Google Scholar 

  • Mengwasser J, Liu FT, Sleeman JP (2002) Galectin-3 is strongly up-regulated in nonapoptosing mammary epithelial cells during rat mammary gland involution. Glycobiology 12:129–134

    Article  CAS  PubMed  Google Scholar 

  • Moon BK, Lee YJ, Battle P, Jessup JM, Raz A, Kim HR (2001) Galectin-3 protects human breast carcinoma cells against nitric oxide-induced apoptosis: implication of galectin-3 function during metastasis. Am J Pathol 159:1055–1060

    CAS  PubMed  Google Scholar 

  • Motoyama N, Wang F, Roth KA, Sawa H, Nakayama K, Nakayama K, Negishi I, Senju S, Zhang Q, Fujii S, et al (1995) Massive cell death of immature hematopoietic cells and neurons in Bcl-x-deficient mice. Science 267:1506–1510

    CAS  PubMed  Google Scholar 

  • Perillo NL, Marcus ME, Baum LG (1998) Galectins: versatile modulators of cell adhesion, cell proliferation, and cell death. J Mol Med 76:402–412

    Article  CAS  PubMed  Google Scholar 

  • Piacentini M (1995) Tissue transglutaminase: a candidate effector element of physiological cell death. Curr Top Microbiol Immunol 200:163–175

    Google Scholar 

  • Reid LE, Walker NI (1999) Acinar cell apoptosis and the origin of tubular complexes in caerulein-induced pancreatitis. Int J Exp Pathol 80:205–215

    Article  CAS  PubMed  Google Scholar 

  • Ross AJ, Waymire KG, Moss JE, Parlow AF, Skinner MK, Russell LD, MacGregor GR (1998) Testicular degeneration in Bclw-deficient mice. Nat Genet 18:251–256

    CAS  PubMed  Google Scholar 

  • Sata N, Klonowski-Stumpe H, Han B, Luthen R, Haussinger D, Niederau C (1999) Supraphysiologic concentrations of cerulein induce apoptosis in the rat pancreatic acinar cell line AR4–2J. Pancreas 19:76–82

    CAS  PubMed  Google Scholar 

  • Schaffert C, Pour PM, Chaney WG (1998) Localization of galectin-3 in normal and diseased pancreatic tissue. Int J Pancreatol 23:1–9

    CAS  PubMed  Google Scholar 

  • Schild L, Matthias R, Stanarius A, Wolf G, Augustin W, Halangk W (1999) Induction of permeability transition in pancreatic mitochondria by cerulein in rats. Mol Cell Biochem 195:191–197

    Article  CAS  PubMed  Google Scholar 

  • Swarovsky B, Steinhilber W, Scheele GA, Kern HF (1988) Coupled induction of exocrine proteins and intracellular compartments involved in the secretory pathway in AR4–2J cells by glucocorticoids. Eur J Cell Biol 47:101–111

    CAS  PubMed  Google Scholar 

  • Veis DJ, Sorenson CM, Shutter JR, Korsmeyer SJ (1993) Bcl-2-deficient mice demonstrate fulminant lymphoid apoptosis, polycystic kidneys, and hypopigmented hair. Cell 75:229–240

    CAS  PubMed  Google Scholar 

  • Willemer S, Elsässer HP, Adler G, Kern HF (1987) Tubular complexes in cerulein- and oleic acid-induced pancreatitis in rats: glycoconjugate pattern, immunohistochemical, and ultrastructural findings. Pancreas 2:669–675

    CAS  PubMed  Google Scholar 

  • Yang E, Korsmeyer SJ (1996) Molecular thanatopsis: a discourse on the BCL2 family and cell death. Blood 88:386–401

    CAS  PubMed  Google Scholar 

  • Yang RY, Liu FT (2003) Galectins in cell growth and apoptosis. Cell Mol Life Sci 60:267–276

    Article  CAS  PubMed  Google Scholar 

  • Yang RY, Hsu DK, Liu FT (1996) Expression of galectin-3 modulates T-cell growth and apoptosis. Proc Natl Acad Sci USA 93:6737–6742

    Article  CAS  PubMed  Google Scholar 

  • Yoshii T, Fukumori T, Honjo Y, Inohara H, Kim HR, Raz A (2002) Galectin-3 phosphorylation is required for its anti-apoptotic function and cell cycle arrest. J Biol Chem 277:6852–6857

    Article  PubMed  Google Scholar 

  • Yu F, Finley RL, Raz A, Kim HR (2002) Galectin-3 translocates to the perinuclear membranes and inhibits cytochrome c release from the mitochondria. A role for synexin in galectin-3 translocation. J Biol Chem 277:15819–15827

    Article  CAS  PubMed  Google Scholar 

Download references

Acknowledgements

We gratefully acknowledge the expert technical assistance of Ursula Lehr and the preparation of the photographic reprints by Volkwin Kramer.

Author information

Affiliations

Authors

Corresponding author

Correspondence to Hans-Peter Elsässer.

Rights and permissions

Reprints and Permissions

About this article

Cite this article

Gebhardt, A., Ackermann, W., Ünver, N. et al. Expression of galectin-3 in the rat pancreas during regeneration following hormone-induced pancreatitis. Cell Tissue Res 315, 321–329 (2004). https://doi.org/10.1007/s00441-003-0850-x

Download citation

  • Received:

  • Accepted:

  • Published:

  • Issue Date:

  • DOI: https://doi.org/10.1007/s00441-003-0850-x

Keywords

  • Pancreatitis
  • Caerulein
  • Galectin-3
  • Apoptosis
  • AR4–2J cells
  • Rat (Wistar)