Skip to main content

Elimination by necrosis, not apoptosis, of embryonic extraocular muscles in the muscular dysgenesis mutant of the mouse

Abstract

Muscular dysgenesis (mdg) in the mouse is a loss-of-function mutation of the skeletal muscle isoform of the voltage-sensor Ca2+ channel of skeletal muscle (DHP receptor alpha1 subunit, Cchl1a3, Chr1), which is essential for excitation-contraction coupling. Affected individuals (genotype mdg/mdg, phenotype MDG) are unable to breathe and die perinatally. We introduce here extraocular muscles in the study of MDG myopathy and show that, despite their developmental origin from head placodes, they are affected like trunk and limb muscles. MDG myotubes in situ are eliminated by necrosis, not apoptosis.

This is a preview of subscription content, access via your institution.

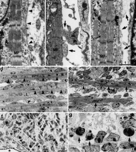
Fig. 1
Fig. 2
Fig. 3

References

  • Andrade FH, Porter JD, Kaminski HJ (2000) Eye muscle sparing by the muscular dystrophies: lessons to be learned? Microsc Res Tech 48:192–203

    Article  CAS  PubMed  Google Scholar 

  • Asmussen N, Költgen D, Jockusch H (1990) Involvement of cranial muscles and diaphragm in myotonia of ADR mice. Mouse Genome 86:217–218

    Google Scholar 

  • Bader D, Masaki T, Fischman DA (1982) Immunochemical analysis of myosin heavy chain during avian myogenesis in vivo and in vitro. J Cell Biol 95:763–770

    CAS  PubMed  Google Scholar 

  • Banker BQ (1977) Muscular dysgenesis in the mouse (mdg/mdg). I. Ultrastructural study of skeletal and cardiac muscle. J Neuropathol Exp Neurol 36:100–127

    CAS  PubMed  Google Scholar 

  • Bowden-Essien F (1972) An in vitro study of normal and mutant myogenesis in the mouse. Dev Biol 27:351–364

    CAS  PubMed  Google Scholar 

  • Chaudhari N (1992) A single nucleotide deletion in the skeletal muscle-specific calcium channel transcript of muscular dysgenesis (mdg) mice. J Biol Chem 267:25636–9

    CAS  PubMed  Google Scholar 

  • Gavrieli Y, Sherman Y, Ben-Sasson SA (1992) Identification of programmed cell death in situ via specific labeling of nuclear DNA fragmentation. J Cell Biol 119:493–501

    CAS  PubMed  Google Scholar 

  • Jockusch H (1996) Genetic control of muscle function and molecular basis of muscle diseases. In: Greger R, Windhorst U (eds) Comprehensive human physiology, vol I. Springer, Berlin Heidelberg New York

  • Jockusch H, Jockusch BM (1980) Structural organization of the Z-line protein, alpha-actinin, in developing skeletal muscle cells. Dev Biol 75:231–238

    CAS  PubMed  Google Scholar 

  • Kerr JFR, Gobe GC, Winterford CM, Harmon BV (1995) Anatomical methods in cell biology. in: Schwartz LM, Osborne BA (eds) Cell death. Academic Press

  • Khurana TS, Prendergast RA, Alameddine HS, Tome FM, Fardeau M, Arahata K, Sugita H, Kunkel LM (1995) Absence of extraocular muscle pathology in Duchenne’s muscular dystrophy: role for calcium homeostasis in extraocular muscle sparing. J Exp Med 182:467–475

    CAS  PubMed  Google Scholar 

  • Knudson CM, Chaudhari N, Sharp AH, Powell JA, Beam KG, Campbell KP (1989) Specific absence of the alpha 1 subunit of the dihydropyridine receptor in mice with muscular dysgenesis. J Biol Chem 264:1345–1348

    CAS  PubMed  Google Scholar 

  • Pai AC (1965a) Developmental genetics of a lethal mutation muscular dysgenesis (mdg) in the mouse. I. Genetic analysis and gross morphology. Dev Biol 11:82–92

    CAS  PubMed  Google Scholar 

  • Pai AC (1965b) Developmental genetics of a lethal mutation muscular dysgenesis (mdg) in the mouse. II. Developmental analysis. Dev Biol 11:93–101

    CAS  PubMed  Google Scholar 

  • Platzer AC, Gluecksohn-Waelsch S (1972) Fine structure of mutant (muscular dysgenesis) embryonic mouse muscle. Dev Biol 28:242–252

    CAS  PubMed  Google Scholar 

  • Porter JD, Rafael JA, Ragusa RJ, Brueckner JK, Trickett JI, Davies KE (1998) The sparing of extraocular muscle in dystrophinopathy is lost in mice lacking utrophin and dystrophin. J Cell Sci 111:1801–1811

    CAS  PubMed  Google Scholar 

  • Powell JA (1990) Muscular dysgenesis: a model system for studying skeletal muscle development. FASEB J 4:2798–2808

    CAS  PubMed  Google Scholar 

  • Powell JA, Friedman B, Cossi A (1979) Tissue culture study of murine muscular dysgenesis: role of spontaneous action potential generation in the regulation of muscle maturation. Ann N Y Acad Sci 317:550–570

    CAS  PubMed  Google Scholar 

  • Sandri M, Carraro U (1999) Apoptosis of skeletal muscles during development and disease. Int J Biochem Cell Biol 31:1373–1390

    Article  CAS  PubMed  Google Scholar 

  • Steinmeyer K, Klocke R, Ortland C, Gronemeier M, Jockusch H, Grunder S, Jentsch TJ (1991) Inactivation of muscle chloride channel by transposon insertion in myotonic mice. Nature 354:304–308

    CAS  PubMed  Google Scholar 

  • Takeshima H, Iino M, Takekura H, Nishi M, Kuno J, Minowa O, Takano H, T. N (1994) Excitation-contraction uncoupling and muscular degeneration in mice lacking functional skeletal muscle ryanodine-receptor gene. Nature 369:556–559

    CAS  PubMed  Google Scholar 

  • Wyllie AH, Kerr JF, Currie AR (1980) Cell death: the significance of apoptosis. Int Rev Cytol 68:251–306

    CAS  PubMed  Google Scholar 

Download references

Acknowledgements

We thank Sandra Heising for excellent technical help.

Author information

Affiliations

Authors

Corresponding author

Correspondence to Harald Jockusch.

Additional information

The study was supported by the Deutsche Forschungsgemeinschaft, SFB 223 C03, E02

Rights and permissions

Reprints and Permissions

About this article

Cite this article

Heimann, P., Kuschel, T. & Jockusch, H. Elimination by necrosis, not apoptosis, of embryonic extraocular muscles in the muscular dysgenesis mutant of the mouse. Cell Tissue Res 315, 243–247 (2004). https://doi.org/10.1007/s00441-003-0831-0

Download citation

  • Received:

  • Accepted:

  • Published:

  • Issue Date:

  • DOI: https://doi.org/10.1007/s00441-003-0831-0

Keywords

  • Necrosis/apoptosis
  • Calcium channel
  • Slow T-tubular
  • Muscular dysgenesis
  • Extraocular muscles
  • Mouse (mdg/mdg)