Skip to main content

Evolution of non-specific lipid transfer protein (nsLTP) genes in the Poaceae family: their duplication and diversity

Abstract

Previously, the genes encoding non-specific lipid transfer proteins (nsLTPs) of the Poaceae family appear to evidence different genomic distribution and somewhat different shares of EST clones, which is suggestive of independent duplication(s) followed by functional diversity. To further evaluate the evolutionary fate of the Poaceae nsLTP genes, we have identified Ka/Ks values, conserved, mutated or lost cis-regulatory elements, responses to several elicitors, genome-wide expression profiles, and nsLTP gene-coexpression networks of both (or either) wheat and rice. The Ka/Ks values within each group and between groups appeared to be similar, but not identical, in both species. The conserved cis-regulatory elements, e.g. the RY repeat (CATGCA) element related to ABA regulation in group A, might be reflected in some degree of long-term conservation in transcriptional regulation postdating speciation. In group A, wheat nsLTP genes, with the exception of TaLTP4, evidenced responses similar to those of plant elicitors; however, the rice nsLTP genes evidenced differences in expression profiles, even though the genes of both species have undergone purifying selection, thereby suggesting their independent functional diversity. The expression profiles of rice nsLTP genes with a microarray dataset of 155 gene expression omnibus sample (GSM) plates suggest that subfunctionalization is not the sole mechanism inherent to the evolutionary history of nsLTP genes but may, rather, function in concert with other mechanism(s). As inferred by the nsLTP gene-coexpression networks, the functional diversity of nsLTP genes appears not to be randomized, but rather to be specialized in the direction of specific biological processes over evolutionary time.

This is a preview of subscription content, access via your institution.

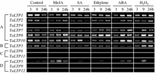
Fig. 1
Fig. 2
Fig. 3
Fig. 4
Fig. 5
Fig. 6
Fig. 7

References

  • Adams KL, Cronn R, Percifield R, Wendel JF (2003) Genes duplicated by polyploidy show unequal contributions to the transcriptome and organ-specific reciprocal silencing. Proc Natl Acad Sci USA 100:4649–4654

    PubMed  Article  CAS  Google Scholar 

  • Arabidopsis Genome Initiative (2000) Analysis of the genome sequence of the flowering plant Arabidopsis thaliana. Nature 408:796–815

    Article  Google Scholar 

  • Arondel VV, Vergnolle C, Cantrel C, Kader J (2000) Lipid transfer proteins are encoded by a small multigene family in Arabidopsis thaliana. Plant Sci 157:1–12

    Article  CAS  Google Scholar 

  • Blanc G, Wolfe KH (2004a) Wide spread paleopolyploidy in model plant species inferred from age distributions of duplicate genes. Plant Cell 16:1667–1678

    PubMed  Article  CAS  Google Scholar 

  • Blanc G, Wolfe KH (2004b) Functional divergence of duplicated genes formed by polyploidy during Arabidopsis evolution. Plant Cell 16:1679–1691

    PubMed  Article  CAS  Google Scholar 

  • Blanchette M, Tompa M (2003) FootPrinter: a program designed for phylogenetic footprinting. Nucleic Acids Res 31:3840–3842

    PubMed  Article  CAS  Google Scholar 

  • Boutrot F, Guirao A, Alary R, Joudrier P, Gautier MF (2005) Wheat non-specific lipid transfer protein genes display a complex pattern of expression in developing seeds. Biochim Biophys Acta 1730:114–125

    PubMed  CAS  Google Scholar 

  • Boutrot F, Meynard D, Guiderdoni E, Joudrier P, Gautier MF (2007) The Triticum aestivum non-specific lipid transfer protein (TaLtp) gene family: comparative promoter activity of six TaLtp genes in transgenic rice. Planta 225:843–862

    PubMed  Article  CAS  Google Scholar 

  • Carvalho Ade O, Gomes VM (2007) Role of plant lipid transfer proteins in plant cell physiology-a concise review. Peptides 28:1144–1153

    PubMed  Article  Google Scholar 

  • de Hoon MJ, Imoto S, Nolan J, Miyano S (2004) Open source clustering software. Bioinformatics 20:1453–1454

    PubMed  Article  Google Scholar 

  • Ezcurra I, Ellerstrom M, Wycliffe P, Stalberg K, Rask L (1999) Interaction between composite elements in the napA promoter: both the B-box ABA-responsive complex and the RY/G complex are necessary for seed-specific expression. Plant Mol Biol 40:699–709

    PubMed  Article  CAS  Google Scholar 

  • Force A, Lynch M, Pickett FB, Amores A, Yan YL, Postlethwait J (1999) Preservation of duplicate genes by complementary, degenerative mutations. Genetics 151:1531–1545

    PubMed  CAS  Google Scholar 

  • Gausing K (1994) Lipid transfer protein genes specifically expressed in barley leaves and coleoptiles. Planta 192:574–580

    PubMed  Article  CAS  Google Scholar 

  • Green PJ, Yong MH, Cuozzo M, Kano-Murakami Y, Silverstein P, Chua NH (1988) Binding site requirements for pea nuclear protein factor GT-1 correlate with sequences required for light-dependent transcriptional activation of the rbcS-3A gene. EMBO J 7:4035–4044

    PubMed  CAS  Google Scholar 

  • Hall TA (1999) BioEdit: a user-friendly biological sequence alignment editor and analysis program for Windows 95/98/NT. Nucleic Acids Symp Ser 41:95–98

    CAS  Google Scholar 

  • Herrero J, Valencia A, Dopazo J (2001) A hierarchical unsupervised growing neural network for clustering gene expression patterns. Bioinformatics 17:126–136

    PubMed  Article  CAS  Google Scholar 

  • Higo K, Ugawa Y, Iwamoto M, Korenaga T (1999) Plant cis-acting regulatory DNA elements (PLACE) database: 1999. Nucleic Acids Res 27:297–300

    PubMed  Article  CAS  Google Scholar 

  • Huang X, Madan A (1999) CAP3: A DNA sequence assembly program. Genome Res 9:868–877

    PubMed  Article  CAS  Google Scholar 

  • Jang CS, Kim DS, Bu SY, Kim JB, Lee SS, Kim JY, Johnson JW, Seo YW (2002) Isolation and characterization of lipid transfer protein (LTP) genes from a wheat-rye translocation line. Plant Cell Rep 20:961–966

    Article  CAS  Google Scholar 

  • Jang CS, Lee HJ, Chang SJ, Seo YW (2004) Expression and promoter analysis of the TaLTP1 gene induced by drought and salt stress in wheat (Triticum aestivum L.). Plant Sci 167:995–1001

    Article  CAS  Google Scholar 

  • Jang CS, Johnson JW, Seo YW (2005) Differential expression of TaLTP3 and TaCOMT1 induced by Hessian fly larval infestation in a wheat line possessing H21 resistance gene. Plant Sci 168:1319–1326

    Article  CAS  Google Scholar 

  • Jang CS, Jung JH, Yim WC, Lee B-M, Seo YW, Kim W (2007) Divergence of genes encoding non-specific lipid transfer proteins in the Poaceae family. Mol Cells 24:215–223

    PubMed  CAS  Google Scholar 

  • Kader JC (1996) Lipid-transfer proteins in plants. Annu Rev Plant Physiol Plant Mol Biol 47:627–654

    PubMed  Article  CAS  Google Scholar 

  • Kaplinsky NJ, Braun DM, Penterman J, Goff SA, Freeling M (2002) Utility and distribution of conserved noncoding sequences in the grasses. Proc Natl Acad Sci USA 99:6147–6151

    PubMed  Article  CAS  Google Scholar 

  • Kramer EM, Jaramillo MA, Di Stilio VS (2004) Patterns of gene duplication and functional evolution during the diversification of the AGAMOUS subfamily of MADS box genes in angiosperms. Genetics 166:1011–1023

    PubMed  Article  CAS  Google Scholar 

  • Kumar S, Tamura K, Nei M (2004) MEGA3: Integrated software for molecular evolutionary genetics analysis and sequence alignment. Brief Bioinform 5:150–163

    PubMed  Article  CAS  Google Scholar 

  • Lee TG, Jang CS, Kim JY, Kim DS, Park JH, Kim DY, Seo YW (2007) A Myb transcription factor (TaMyb1) from wheat roots is expressed during hypoxia: roles in response to the oxygen concentration in root environment and abiotic stresses. Physiol Plantarum 129:375–385

    Article  CAS  Google Scholar 

  • Lockton S, Gaut BS (2005) Plant conserved non-coding sequences and paralogue evolution. Trends Genet 21:60–65

    PubMed  Article  CAS  Google Scholar 

  • Maldonado AM, Doerner P, Dixon RA, Lamb CJ, Cameron RK (2002) A putative lipid transfer protein involved in systemic resistance signalling in Arabidopsis. Nature 419:399–403

    PubMed  Article  CAS  Google Scholar 

  • Moore RC, Purugganan MD (2005) The evolutionary dynamics of plant duplicate genes. Curr Opin Plant Biol 8:122–128

    PubMed  Article  CAS  Google Scholar 

  • Nagao RT, Goekjian VH, Hong JC, Key JL (1993) Identification of protein-binding DNA sequences in an auxin-regulated gene of soybean. Plant Mol Biol 21:1147–1162

    PubMed  Article  CAS  Google Scholar 

  • Nei M, Kumar S (2000) Molecular evolution and phylogentics. Oxford University Press, New York, p 52

    Google Scholar 

  • Papp B, Pal C, Hurst LD (2003) Evolution of cis-regulatory elements in duplicated genes of yeast. Trends Genet 19:417–422

    PubMed  Article  CAS  Google Scholar 

  • Park HC, Kim ML, Kang YH, Jeon JM, Yoo JH, Kim MC, Park CY, Jeong JC, Moon BC, Lee JH (2004) Pathogen-and NaCl-induced expression of the SCaM-4 promoter is mediated in part by a GT-1 box that interacts with a GT-1-like transcription factor 1. Plant Physiol 135:2150–2161

    PubMed  Article  CAS  Google Scholar 

  • Paterson AH, Bowers JE, Chapman BA (2004) Ancient polyploidization predating divergence of the cereals, and its consequences for comparative genomics. Proc Natl Acad Sci USA 101:9903–9908

    PubMed  Article  CAS  Google Scholar 

  • Qi LL, Echalier B, Chao S, Lazo GR, Butler GE, Anderson OD, Akhunov ED, Dvorak J, Linkiewicz AM, Ratnasiri A, Dubcovsky J, Bermudez-Kandianis CE, Greene RA, Kantety R, La Rota CM, Munkvold JD, Sorrells SF, Sorrells ME, Dilbirligi M, Sidhu D, Erayman M, Randhawa HS, Sandhu D, Bondareva SN, Gill KS, Mahmoud AA, Ma XF, Miftahudin, Gustafson JP, Conley EJ, Nduati V, Gonzalez-Hernandez JL, Anderson JA, Peng JH, Lapitan NL, Hossain KG, Kalavacharla V, Kianian SF, Pathan MS, Zhang DS, Nguyen HT, Choi DW, Fenton RD, Close TJ, McGuire PE, Qualset CO, Gill BS (2004) A chromosome bin map of 16,000 expressed sequence tag loci and distribution of genes among the three genomes of polyploid wheat. Genetics 168:701–712

    PubMed  Article  CAS  Google Scholar 

  • Rice chromosomes 11, 12 sequencing consortia (2005) The sequence of rice chromosomes 11 and 12, rich in disease resistance genes and recent gene duplications. BMC Biol 3:20. doi:10.1186/1741-7007-3-20

    Article  Google Scholar 

  • Rubio V, Linhares F, Solano R, Martin AC, Iglesias J, Leyva A, Paz-Ares J (2001) A conserved MYB transcription factor involved in phosphate starvation signaling both in vascular plants and in unicellular algae. Gene Dev 15:2122–2133

    PubMed  Article  CAS  Google Scholar 

  • Saitou N, Nei M (1987) The neighbor-joining method: a new method for reconstructing phylogenetic trees. Mol Biol Evol 4:406–425

    PubMed  CAS  Google Scholar 

  • Seo YW, Johnson JW, Jarret RL (1997) A molecular marker associated with the H21 Hessian fly resistance gene in wheat. Mol Breed 3:177–181

    Article  CAS  Google Scholar 

  • Shirsat A, Wilford N, Croy R, Boulter D (1989) Sequences responsible for the tissue specific promoter activity of a pea legumin gene in tobacco. Mol Gen Genet 215:326–331

    PubMed  Article  CAS  Google Scholar 

  • Stuart JM, Segal E, Koller D, Kim SK (2003) A gene-coexpression network for global discovery of conserved genetic modules. Science 302:249–255

    PubMed  Article  CAS  Google Scholar 

  • Swigonova Z, Lai J, Ma J, Ramakrishna W, Llaca V, Bennetzen JL, Messing J (2004) Close split of sorghum and maize genome progenitors. Genome Res 14:1916–1923

    PubMed  Article  CAS  Google Scholar 

  • Vignols F, Lund G, Pammi S, Tremousaygue D, Grellet F, Kader JC, Puigdomenech P, Delseny M (1994) Characterization of a rice gene coding for a lipid transfer protein. Gene 142:265–270

    PubMed  Article  CAS  Google Scholar 

  • Vignols F, Wigger M, Garcia-Garrido JM, Grellet F, Kader JC, Delseny M (1997) Rice lipid transfer protein (LTP) genes belong to a complex multigene family and are differentially regulated. Gene 195:177–186

    PubMed  Article  CAS  Google Scholar 

  • Villain P, Mache R, Zhou DX (1996) The mechanism of GT element-mediated cell type-specific transcriptional control. J Biol Chem 271:32593–32598

    PubMed  Article  CAS  Google Scholar 

  • Wang X, Tang H, Bowers JE, Feltus FA, Paterson AH (2007) Extensive concerted evolution of rice paralogs and the road to regaining independence. Genetics 177:1753–1763

    PubMed  Article  CAS  Google Scholar 

  • Zahn LM, Leebens-Mack JH, Arrington JM, Hu Y, Landherr LL, dePamphilis CW, Becker A, Theissen G, Ma H (2006) Conservation and divergence in the AGAMOUS subfamily of MADS-box genes: evidence of independent sub- and neofunctionalization events. Evol Dev 8:30–45

    PubMed  Article  CAS  Google Scholar 

  • Zhu Q, Ordiz MI, Dabi T, Beachy RN, Lamb C (2002) Rice TATA binding protein interacts functionally with transcription factor IIB and the RF2a bZIP transcriptional activator in an enhanced plant in vitro transcription system. Plant Cell 14:795–803

    PubMed  Article  CAS  Google Scholar 

Download references

Acknowledgments

This work was supported by a Korea Research Foundation Grant funded by the Korean Government (MOEHRD, Basic Research Promotion Fund) (KRF-2005-050-F00001) to CSJ.

Author information

Affiliations

Authors

Corresponding authors

Correspondence to Cheol Seong Jang or Byung-Moo Lee.

Additional information

C.S. Jang and W.C. Yim are equally contributed to this report.

Communicated by Y. Van de Peer.

Electronic supplementary material

Below is the link to the electronic supplementary material.

ESM1 (DOC 74 kb)

Rights and permissions

Reprints and Permissions

About this article

Cite this article

Jang, C.S., Yim, W.C., Moon, JC. et al. Evolution of non-specific lipid transfer protein (nsLTP) genes in the Poaceae family: their duplication and diversity. Mol Genet Genomics 279, 481–497 (2008). https://doi.org/10.1007/s00438-008-0327-4

Download citation

  • Received:

  • Accepted:

  • Published:

  • Issue Date:

  • DOI: https://doi.org/10.1007/s00438-008-0327-4

Keywords

  • Duplication
  • Evolutionary fate
  • Functional diversity
  • Gene family
  • nsLTP
  • Poaceae