Skip to main content

Genomic localization of endogenous mobile CACTA family transposons in natural variants of Arabidopsis thaliana

Abstract

The differentiation between gene-rich and transposon-rich (gene-poor) regions is a common feature of plant genomes. This may be due to preferential integration of transposons into gene-poor regions or may be due to purifying selection against transposon insertion into gene-rich regions. We examined the distribution of a low-copy-number mobile subfamily of Arabidopsis CACTA transposons in the genomes of 19 natural variants (ecotypes) of A. thaliana, and compared that to the pattern of integrations induced in the laboratory by mutation of the DDM1 ( Decrease in DNA Methylation) gene. Sequences similar to mobile CACTA1 copies were distributed among the ecotypes and showed high degrees of polymorphism in genomic localization. Despite the high level of polymorphism, the copy number was low in all the ecotypes examined, and the elements were localized preferentially in pericentromeric and transposon-rich regions. This contrasts with the pattern of transposition induced by the ddm1 mutation, in which the range of integration sites is less biased and the copy number frequently increases. Based on these observations, we discuss the possible contribution of natural selection and chromatin structure to the distribution of transposons.

This is a preview of subscription content, access via your institution.

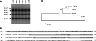
Fig. 1A–C
Fig. 2
Fig. 3
Fig. 4A, B
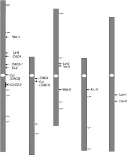
Fig. 5A, B

References

  • Bennetzen JL (2000) Transposable elements: contributions to plant gene and genome evolution. Plant Mol Biol 42:251–269

    CAS  PubMed  Google Scholar 

  • Boeke JD, Devine SE (1998) Yeast retrotransposons: finding a nice quiet neighborhood. Cell 93:1087–1089

    CAS  PubMed  Google Scholar 

  • Brzeski J, Jerzmanowski A (2003) Deficient in DNA methylation 1 (DDM1) defines a novel family of chromatin remodeling factors. J Biol Chem 10: 823–828

    Article  Google Scholar 

  • Church GM, Gilbert W (1984) Genomic sequencing. Proc Natl Acad Sci USA 81:1991–1995

    CAS  PubMed  Google Scholar 

  • Cresse AD, Hulbert SH, Brown WE, Lucas JR, Bennetzen JL (1995) Mu1 -related transposable elements of maize preferentially insert into low copy number DNA. Genetics 140:315–324

    CAS  Google Scholar 

  • Frank MJ, Preuss D, Mack A, Kuhlmann TC, Crawford NM (1998) The Arabidopsis transposable element Tag1 is widely distributed among Arabidopsis ecotypes. Mol Gen Genet 257:478–484

    CAS  PubMed  Google Scholar 

  • Fransz PF, Armstrong S, de Jong JH, Parnell LD, van Drunen G, Dean C, Zabel P, Bisseling T, Jones GH (2000) Integrated cytogenetic map of chromosome arm 4S of A. thaliana: structural organization of heterochromatic knob and centromere region. Cell 100:367–376

    CAS  PubMed  Google Scholar 

  • Hosouchi T, Kumekawa N, Tsuruoka H, Kotani H (2002) Physical map-based sizes of the centromeric regions of Arabidopsis thaliana chromosomes 1, 2, and 3. DNA Res 9:117–121

    CAS  PubMed  Google Scholar 

  • Isegawa Y, Sheng J, Sokawa Y, Yamanishi K, Nakagomi O, Ueda S (1992) Selective amplification of cDNA sequence from total RNA by cassette-ligation mediated polymerase chain reaction (PCR): application to sequencing 6.5-kb genome segment of hantavirus strain B-1. Mol Cell Probes 6:467–475

    CAS  PubMed  Google Scholar 

  • Jeddeloh JA, Stokes TL, Richards EJ (1999) Maintenance of genomic methylation requires a SWI2/SNF2-like protein. Nat Genet 22:94–97

    CAS  PubMed  Google Scholar 

  • Jukes TH, Cantor CR (1969) Evolution of protein molecules. In: Munro H (ed) Mammalian protein metabolism. Academic Press, New York, pp 21–132

  • Kakutani T, Jeddeloh J, Flowers S, Munakata K, Richards E (1996) Developmental abnormalities and epimutations associated with DNA hypomethylation mutations. Proc Natl Acad Sci USA 93:12406–12411

    CAS  PubMed  Google Scholar 

  • Kato M, Miura A, Bender J, Jacobsen SE, Kakutani T (2003) Role of CG and non-CG methylation in immobilization of transposons in Arabidopsis. Curr Biol 13:421–426

    CAS  PubMed  Google Scholar 

  • Kumar S, Tamura K, Jacobsen I, Nei M (2000) MEGA2: Molecular Evolutionary Genetics Analysis, version 2.0. Pennsylvania and Arizona State Universities, University Park, Pennsylvania and Tempe, Arizona

  • Kurata N, et al (1994) A 300 kilobase interval genetic map of rice including 883 expressed sequences. Nat Genet 8:365–372

    CAS  PubMed  Google Scholar 

  • Langley CH, Montgomery E, Hudson R, Kaplan N, Charlesworth B (1988) On the role of unequal exchange in the containment of transposable element copy number. Genet Res 52:223–235.

    CAS  PubMed  Google Scholar 

  • Le QH, Wright SI, Yu Z, Bureau TE (2000) Transposon diversity in Arabidopsis thaliana. Proc Natl Acad Sci USA 97:14680–14685

    PubMed  Google Scholar 

  • Lister C, Dean C (1993) Recombinant inbred lines for mapping RFLP and phenotypic markers in Arabidopsis thaliana. Plant J 4:745–750

    CAS  Google Scholar 

  • McCombie WR, et al (2000) The complete sequence of a heterochromatic island from a higher eukaryote. Cell 100:377–386

    CAS  PubMed  Google Scholar 

  • Miller JT, Dong F, Jackson SA, Song J, Jiang J (1998) Retrotransposon-related DNA sequences in the centromeres of grass chromosomes. Genetics 150:1615–1623

    CAS  PubMed  Google Scholar 

  • Miyao A, Tanaka K, Murata K, Sawaki H, Takeda S, Abe K, Shinozuka Y, Onosato K, Hirochika H (2003) Target site specificity of the Tos17 retrotransposon shows a preference for insertion within genes and against insertion in retrotransposon-rich regions of the genome. Plant Cell 15:1771–1780

    CAS  PubMed  Google Scholar 

  • Miura A, Yonebayashi S, Watanabe K, Toyama T, Shimada H, Kakutani T (2001) Mobilization of transposons by a mutation abolishing full DNA methylation in Arabidopsis. Nature 411:212–214

    Article  CAS  PubMed  Google Scholar 

  • Morgan MT (2001) Transposable element number in mixed mating populations. Genet Res 77:261–275

    CAS  PubMed  Google Scholar 

  • Myouga F, Tsuchimoto S, Noma K, Ohtsubo H, Ohtsubo E (2001) Identification and structural analysis of SINE elements in the Arabidopsis thaliana genome. Genes Genet Syst 76:169–179

    CAS  PubMed  Google Scholar 

  • Pearce SR, Pich U, Harrison G, Flavell AJ, Heslop-Harrison JS, Schubert I, Kumar A (1996) The Ty1-copia group retrotransposons of Allium cepa are distributed throughout the chromosomes but are enriched in the terminal heterochromatin. Chromosome Res 4:357–364

    CAS  PubMed  Google Scholar 

  • Pelissier T, Tutois S, Tourmente S, Deragon JM, Picard G (1996) DNA regions flanking the major Arabidopsis thaliana satellite are principally enriched in Athila retroelement sequences. Genetica 97:141–151

    CAS  PubMed  Google Scholar 

  • Presting GG, Malysheva L, Fuchs J, Schubert I (1998) A TY3/GYPSY retrotransposon-like sequence localises to the centromeric region of cereal chromosomes. Plant J 16:721–728

    Article  CAS  PubMed  Google Scholar 

  • Rabinowicz PD, Schutz K, Dedhia N, Yordan C, Parnell LD, Stein L, McCombie WR, Martienssen RA (1999) Differential methylation of genes and retrotransposons facilitates shotgun sequencing of the maize genome. Nat Genet 23:305–308

    CAS  PubMed  Google Scholar 

  • Round EK, Flowers SK, Richards EJ (1997) Arabidopsis thaliana centromere regions: genetic map positions and repetitive DNA structure. Genome Res 7:1045–1053

    CAS  PubMed  Google Scholar 

  • SanMiguel P, Tikhonov A, Jin YK, Motchoulskaia N, Zakharov D, Melake-Berhan A, Springer PS, Edwards KJ, Lee M, Avramova Z, Bennetzen JL (1996) Nested retrotransposons in the intergenic regions of the maize genome. Science 274:765–768

    CAS  PubMed  Google Scholar 

  • SanMiguel P, Gaut BS, Tikhonov A, Nakajima Y, Bennetzen JL (1998) The paleontology of intergene retrotransposons of maize. Nat Genet 20:43–45

    CAS  PubMed  Google Scholar 

  • Santiago N, Herraiz C, Goni JR, Messeguer X, Casacuberta JM (2002) Genome-wide analysis of the Emigrant family of MITEs of Arabidopsis thaliana. Mol Biol Evol 19:2285–2293

    CAS  PubMed  Google Scholar 

  • Saitou N, Nei M (1987) The neighbor-joining method: a new method for reconstructing phylogenetic trees. Mol Biol Evol 4:406-425

    CAS  PubMed  Google Scholar 

  • Schmidt T, Kubis S, Heslop-Harrison JS (1995) Analysis and chromosomal location of retrotransposons in sugar beet ( Beta vulgaris): LINEs and Ty1-copia -like elements as major components of the genome. Chromosome Res 3:335–345

    CAS  PubMed  Google Scholar 

  • Siebert PD, Chenchik A, Kellogg DE, Lukyanov KA, Lukyanov SA (1995) An improved PCR method for walking in uncloned genomic DNA. Nucleic Acids Res 23:1087-1088.

    CAS  PubMed  Google Scholar 

  • Singer T, Yordan C, Martienssen RA (2001) Robertson’s Mutator transposons in A. thaliana are regulated by the chromatin-remodeling gene Decrease in DNA Methylation ( DDM1). Genes Dev 15:591–602

    CAS  PubMed  Google Scholar 

  • The Arabidopsis Genome Initiative (2000) Analysis of the genome sequence of the flowering plant Arabidopsis thaliana. Nature 408:796–815

    PubMed  Google Scholar 

  • Tsay YF, Frank MJ, Page T, Dean C, Crawford NM (1993) Identification of a mobile endogenous transposon in Arabidopsis thaliana. Science 260:342–324

    CAS  PubMed  Google Scholar 

  • Vongs A, Kakutani T, Martienssen RA, Richards EJ (1993) Arabidopsis thaliana DNA methylation mutants. Science 260:1926–1928

    CAS  PubMed  Google Scholar 

  • Wright SI, Agrawal N, Bureau TE (2003) Effect of recombination rate and gene density on transposable element distributions in Arabidopsis thaliana. Genome Res 13:1897–1903

    CAS  PubMed  Google Scholar 

  • Xie W, Gai X, Zhu Y, Zappulla DC, Sternglanz R, Voytas DF (2001) Targeting of yeast Ty5 retrotransposon to silent chromatin is mediated by interaction between integrase and Sir4p. Mol Cell Biol 21:6606–6614

    Article  CAS  PubMed  Google Scholar 

  • Yamazaki M, Tsugawa H, Miyao A, Yano M, Wu J, Yamamoto S, Matsumoto T, Sasaki T, Hirochika H (2001) The rice retrotransposon Tos17 prefers low-copy-number sequences as integration targets. Mol Genet Genomics 265:336–344

    Article  CAS  PubMed  Google Scholar 

  • Yu Z, Wright SI, Bureau TE (2000) Mutator -like elements in Arabidopsis thaliana. Structure, diversity and evolution. Genetics 156:2019–2031

    CAS  PubMed  Google Scholar 

  • Zhu Y, Dai J, Fuerst PG, Voytas DF (2003) Controlling integration specificity of a yeast retrotransposon. Proc Natl Acad Sci USA 100:5891–5895

    CAS  PubMed  Google Scholar 

Download references

Acknowledgements

We thank Y. Kinoshita, Y. Sasaki, and A. Terui for technical assistance, and T. Bureau and E. Richards for critical comments on the manuscript. We acknowledge the Arabidopsis Biological Stock Center at Ohio State University for the seed stocks. This work was supported by a Grant-in-Aid for Creative Scientific Research (No. 14GS0321)

Author information

Affiliations

Authors

Corresponding author

Correspondence to T. Kakutani.

Additional information

Communicated by M.-A. Grandbastien

Electronic Supplementary Material

Rights and permissions

Reprints and Permissions

About this article

Cite this article

Miura, A., Kato, M., Watanabe, K. et al. Genomic localization of endogenous mobile CACTA family transposons in natural variants of Arabidopsis thaliana . Mol Genet Genomics 270, 524–532 (2004). https://doi.org/10.1007/s00438-003-0943-y

Download citation

  • Received:

  • Accepted:

  • Published:

  • Issue Date:

  • DOI: https://doi.org/10.1007/s00438-003-0943-y

Keywords

  • Heterochromatin
  • DNA methylation
  • Genome organization