Skip to main content

Histopathological, morphological, and molecular characterization of Sarcocystis species in elk (Cervus elaphus) from Pennsylvania, USA

Abstract

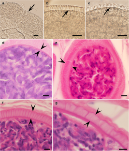
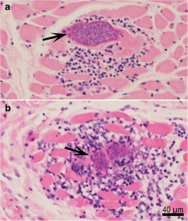
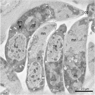
Sarcocystis sarcocysts are common in many species of domestic and wild animals. Here, we report sarcocystosis in muscles from 91 free range elk (Cervus elaphus) from Pennsylvania, USA, tested by histopathology, transmission electron microscopy (TEM), and DNA sequencing. Sarcocysts were detected in hematoxylin and eosin (HE)-stained sections from 83 of 91 (91.2%) elk, including 83/91 (91.2%) tongues and 15/17 (88.2%) hearts. With respect to age, sarcocysts were found in 0/5 calves, 8/9 (88.8%) yearlings, and 75/77 (97.4%) adults. Sarcocysts were identified in 62/69 (89.4%) females and 21/22 (91.2%) males. Associated lesions were mild and consisted of inflammatory foci around degenerate sarcocysts. There were two morphologically distinct sarcocysts based on wall thickness, thin (< 0.5 μm) and thick-walled (> 4.0 μm). Thin-walled sarcocysts had a TEM “type 2” and villar protrusions (vps), identical to Sarcocystis wapiti previously described from elk in western USA. This species was present both in tongue and heart samples and was detected in all infected elk. Thick-walled sarcocysts consisted of three morphologic variants, referred to herein as subkinds A, B, C. Subkind A sarcocysts were rare; only four sarcocysts were found in three elk. Histologically, they had a 5–8-μm thick wall with tufted vp. By TEM, the sarcocyst wall was “type 12” and appeared similar to Sarcocystis sybillensis, previously described from elk in USA. Subkind B, Sarcocystis sp.1 sarcocysts were also rare, found in only 1 elk. These sarcocysts had 6.7–7.3-μm-thick wall with TEM “type 15b” vp. Subkind C Sarcocystis sp.2 sarcocysts were more common (22/91). Morphologically, the sarcocyst wall was 6.1–6.8 μm thick and contained “type 10b” vp. Comparisons of ribosomal DNA loci with published sequences indicated all sarcocysts were similar to what has previously been isolated from cervid hosts across the northern hemisphere. Phylogenetic analysis placed the thin-walled S. wapiti within a strongly supported clade with S. linearis and S. taeniata, while the thick-walled cysts were very closely related to S. truncata, S. elongata, S. silva, and S. tarandi. Further sequencing is needed to produce molecular diagnostics to distinguish among these species. North American elk are hosts to multiple Sarcocystis species with diverse morphology, deriving from two separate evolutionary lineages.

This is a preview of subscription content, access via your institution.

Fig. 1
Fig. 2
Fig. 3
Fig. 4
Fig. 5
Fig. 6
Fig. 7
Fig. 8
Fig. 9
Fig. 10

References

  • Cerqueira-Cézar CK, Thompson PC, Verma SK, Mowery J, Calero-Bernal R, Murata FHA, Sinnett DR, van Hemert C, Rosenthal BM, Dubey JP (2017) Morphological and molecular characterization of Sarcocystis arctica-like sarcocysts from the Arctic fox (Vulpes lagopus) from Alaska, USA. Parasitol Res 116:1871–1878. https://doi.org/10.1007/s00436-017-5462-6

    Article  PubMed  Google Scholar 

  • Dubey JP, Kistner TP (1985) Epizootiology of Sarcocystis infections in mule deer fawns in Oregon. J Am Vet Med Assoc 187:1181–1186

    PubMed  CAS  Google Scholar 

  • Dubey JP, Jolley WR, Thorne ET (1983) Sarcocystis sybillensis sp. nov. from the north American elk (Cervus elaphus). Can J Zool 61:737–742. https://doi.org/10.1139/zB3-098

    Article  Google Scholar 

  • Dubey JP, van Wilpe E, Calero-Bernal R, Verma SK, Fayer R (2015) Sarcocystis heydorni n. sp. (Apicomplexa: Sarcocystidae) with cattle (Bos taurus) and human (Homo sapiens) cycle. Parasitol Res 114:4143–4147. https://doi.org/10.1007/s00436-015-4645-2

    Article  PubMed  Google Scholar 

  • Dubey JP, Calero-Bernal R, Rosenthal BM, Speer CA, Fayer R (2016) Sarcocystosis of animals and humans, 2nd edn. CRC Press, Boca Raton, pp 1–481

    Google Scholar 

  • Dubey JP, Brown J, Verma SK, Cerqueira-Cézar CK, Benefield J, Kwok OCH, Ying Y, Murata FHA, Pradhan AK, Su C (2017) Isolation of viable Toxoplasma gondii, molecular characterization, and seroprevalence in elk (Cervus canadensis) in Pennsylvania, USA. Vet Parasitol 243:1–5. https://doi.org/10.1016/j.vetpar.2017.05.030

    Article  PubMed  CAS  Google Scholar 

  • Eveland J, George J, Hunter N, Forney D, Harrison R (1979) A preliminary evaluation of the ecology of the elk in Pennsylvania. In: Boyce M, Hayden-Wing L (eds) North American elk: ecology, behavior, and management. The University of Wyoming, Laramie, pp 145–151

    Google Scholar 

  • Foreyt WJ, Baldwin TJ, Lagerquist JE (1995) Experimental infections of Sarcocystis spp. in rocky mountain elk (Cervus elaphus) calves. J Wildl Dis 31:462–466. https://doi.org/10.7589/0090-3558-31.4.462

    Article  PubMed  CAS  Google Scholar 

  • Gjerde B, Schulze J (2014) Muscular sarcocystosis in two arctic foxes (Vulpes lagopus) due to Sarcocystis arctica n. sp.: sarcocyst morphology, molecular characteristics and phylogeny. Parasitol Res 113:811–821. https://doi.org/10.1007/s00436-013-3711-x

    Article  PubMed  Google Scholar 

  • Gjerde B, Luzon M, Alunda JM, de la Fuente C (2017) Morphological and molecular characteristics of six Sarcocystis spp. from red deer (Cervus elaphus) in Spain, including Sarcocystis cervicanis and three new species. Parasitol Res 116:2795–2811. https://doi.org/10.1007/s00436-017-5590-z

    Article  PubMed  Google Scholar 

  • Hernández-Rodríguez S, Martínez-Gómez F, Navarrete I, Acosta-García I (1981a) Estudio al microscopio optico y electronico del quiste de Sarcocystis cervicanis. Rev Ibérica Parasitol 41:351–361

    Google Scholar 

  • Hernández-Rodríguez S, Navarrete I, Martínez-Gómez F (1981b) Sarcocystis cervicanis, nueva especie parásita del ciervo (Cervus elaphus). Rev Ibérica Parasitol 41:43–51

    Google Scholar 

  • Koller LD, Kistner TP, Hudkins GG (1977) Histopathologic study of experimental Sarcocystis hemionilatrantis infection in fawns. Am J Vet Res 38:1205–1209

    PubMed  CAS  Google Scholar 

  • Lagerquist JE, Foreyt WJ (1993) Prevalence of Sarcocystis in elk (Cervus elaphus) in Oregon. Northwest Sci 67:196–198

    Google Scholar 

  • Mahrt JL, Colwell DD (1980) Sarcocystis in wild ungulates in Alberta. J Wildl Dis 16:571–576

    Article  CAS  PubMed  Google Scholar 

  • Polziehn RO, Strobeck C (1998) Phylogeny of wapiti, red deer, sika deer, and other north American Cervids as determined from mitocondrial DNA. Mol Phylogenet Evol 10:249–258

    Article  CAS  PubMed  Google Scholar 

  • Pond DB, Speer CA (1979) Sarcocystis in free-ranging herbivores on the national bison range. J Wildl Dis 15:51–53

    Article  CAS  PubMed  Google Scholar 

  • Sayama K (1952) Sarcocystis in deer and elk of California. Fish Game 38:99–104

    Google Scholar 

  • Speer CA, Dubey JP (1982) Sarcocystis wapiti sp. nov. from the American wapiti (Cervus elaphus). Can J Zool 60:881–888. https://doi.org/10.1139/z82-120

    Article  Google Scholar 

  • Stolte M, Bockhardt I, Odening K (1996) A comparative scanning electron microscopic study of the cyst wall in 11 Sarcocystis species of mammals. J Zool (Lond) 239:821–832. https://doi.org/10.1111/j.1469-7998.1996.tb05480.x

    Article  Google Scholar 

  • Trupkiewicz JG, Calero-Bernal R, Verma SK, Mowery J, Davison S, Habecker P, Georoff TA, Ialeggio DM, Dubey JP (2016) Acute, fatal Sarcocystis calchasi-associated hepatitis in roller pigeons (Columbia livia f. dom.) at Philadelphia zoo. Vet Parasitol 216:52–58. https://doi.org/10.1016/j.vetpar.2015.11.008

    Article  PubMed  CAS  Google Scholar 

  • Williams SL, McLaren SB, Burgwin MA (1985) Paleo-archaeological and historical records of elected Pennsylvania mammals. Ann Carnegie Museum 54:77–188

    Google Scholar 

Download references

Acknowledgements

This research was supported in part by an appointment to the Agricultural Research Service (ARS) Research Participation Program administered by the Oak Ridge Institute for Science and Education (ORISE) through an interagency agreement between the US Department of Energy (DOE) and the US Department of Agriculture (USDA). ORISE is managed by ORAU under DOE contract number DE-SC0014664. All opinions expressed in this paper are the author’s and do not necessarily reflect the policies and views of USDA, ARS, DOE, or ORAU/ORISE.

Author information

Affiliations

Authors

Corresponding author

Correspondence to Jitender P. Dubey.

Ethics declarations

Conflict of interest

The authors declare that they have no conflict of interest.

Ethical statement

The samples were obtained from legally hunted elk. No laboratory experiments were performed.

Additional information

Section Editor: Daniel K Howe

Rights and permissions

Reprints and Permissions

About this article

Verify currency and authenticity via CrossMark

Cite this article

Cerqueira-Cézar, C.K., Thompson, P.C., Murata, F.H.A. et al. Histopathological, morphological, and molecular characterization of Sarcocystis species in elk (Cervus elaphus) from Pennsylvania, USA. Parasitol Res 117, 3245–3255 (2018). https://doi.org/10.1007/s00436-018-6024-2

Download citation

  • Received:

  • Accepted:

  • Published:

  • Issue Date:

  • DOI: https://doi.org/10.1007/s00436-018-6024-2

Keywords

  • Elk (Cervus elaphus)
  • Sarcocystis
  • Ultrastructure
  • Phylogeny