Skip to main content

Immunodetection of hepatic stellate cells in dogs with visceral leishmaniasis

Abstract

Hepatic stellate cells (HSC), or Ito cells, store vitamin A when at rest but undergo phenotypic changes in situations of liver injury, which may induce fibrosis, and they may participate in the immune response in the liver. The objective of the present study was to investigate the role of HSC in the livers of dogs with visceral leishmaniasis (VL). Twenty-eight livers from dogs infected with VL that were living in an area endemic for the disease were evaluated, among which 13 were asymptomatic (A) and 15 were symptomatic (S). A control group (C) was formed by five dogs from an area that was not endemic for VL. These organs were subjected to histopathological analysis (Masson’s trichrome for fibrosis) and immunohistochemical analysis (Leishmania, smooth-muscle α-actin and TGF-β). In the livers from the symptomatic dogs, a moderate to severe granulomatous inflammatory reaction was observed in the capsule and in the portal, centrilobular and intralobular regions. In the asymptomatic dogs, there was slight to moderate presence of granulomas, and these were even absent in some dogs. The intensity of hepatic fibrosis was predominantly low in the infected dogs (A and S), and fibrosis was absent in the control group. The immunomarking of HSC in the infected groups (A and S) differed significantly (P = 0.0153) from that of the control group. The symptomatic dogs presented the largest number of positive cells. This group also presented a larger number of parasitized macrophages, but did not differ statistically from the asymptomatic group (P > 0.05). The cytokine TGF-β was only detected at low levels, and only in the infected animals, but this did not differ from the control group. Immunomarking for HSC was observed mainly in the nuclei of cells present in the hepatic granulomas of symptomatic dogs and in the sinusoids of the asymptomatic dogs. It was concluded that in the livers of dogs with VL, the HSC are activated and participate in the hepatic response to the parasite. The cytokine TGF-β may be involved in this activation, but in the chronic phase of the infection, this cytokine was detected at lower proportions. It is possible that HSC may also contribute towards chemotaxis of leukocytes for the hepatic compartment, along with other cell types such as Kupffer cells.

This is a preview of subscription content, access via your institution.

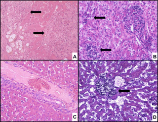
Fig. 1
Fig. 2
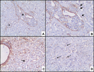
Fig. 3
Fig. 4
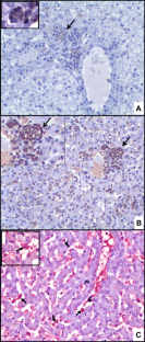
Fig. 5
Fig. 6

References

  • Andrade ZA (1994) Extracellular matrix degradation in parasitic diseases. Braz J Med Biol Res 27:2273–2281

    CAS  PubMed  Google Scholar 

  • Corbett CEP, Duarte MIS, Bustamante SE (1993) Regression of diffuse intralobular liver fibrosis associated with visceral leishmaniasis. Am J Trop Med Hyg 49:616–624

    CAS  Article  PubMed  Google Scholar 

  • Corrêa APFL, Dossi ACS, Vasconcelos RO, Munari DP, Lima VMF (2007) Evaluation of transformation growth factor-ß1, interleukin-10, and interferon-γ in male symptomatic and asymptomatic dogs naturally infected by Leishmania (Leishmania) chagasi. Vet Parasitol 143:267–274. https://doi.org/10.1016/j.vetpar.2006.08.023

  • Figueiredo MM, Deoti B, Amorim IF, Pinto AJW, Moraes A, Carvalho CS, Silva SM, Assis ACB, Faria AMC, Tafuri WL (2014) Expression of regulatory T cells in jejunum, colon, and cervical and mesenteric lymph nodes of dogs naturally. Infected with Leishmania infantum. Infect Immun 82(9):3704–3712. https://doi.org/10.1128/IAI.01862-14

    Article  PubMed  PubMed Central  Google Scholar 

  • Friedman SL (2008) Hepatic stellate cells: protean, multifunctional, and enigmatic cells of the liver. Physiol Rev 88:125–172. https://doi.org/10.1152/physrev.00013.2007

    CAS  Article  PubMed  PubMed Central  Google Scholar 

  • Giunchetti RC, Mayrink W, Carneiro CM, Oliveira RC, Martins-Filho OA, Marques MJ, Tafuri WL, Reis AB (2008) Histopathological and immunohistochemical investigations of the hepatic compartment associated with parasitism and serum biochemical changes in canine visceral leishmaniasis. Res Vet Sci 84:269–277. https://doi.org/10.1016/j.rvsc.2007.04.020

    Article  PubMed  Google Scholar 

  • Lima WG, Michalick MSM, Melo MN, Tafuri WL, Tafuri WL (2004) Canine visceral leishmaniasis: a histopathological study of lymph nodes. Acta Trop 92:43–53. https://doi.org/10.1016/j.actatropica.2004.04.007

    Article  PubMed  Google Scholar 

  • Lima VMF, Biazzono L, Silva AC, Correa APFL, Luvizotto MCR (2005) Serological diagnosis of visceral leishmaniasis by an enzyme immunoassay using protein A in naturally infected dogs. Pesq Vet Bras 25(4):215–218

    Article  Google Scholar 

  • Lima WG, Oliveira PS, Caliari MV, Gonçalves R, Michalick MSM, Melo MN, Tafuri WL, Tafuri WL (2007) Histopathological and immunohistochemical study of type 3 complement receptors (CD11b/CD18) in livers and spleens of asymptomatic and symptomatic dogs naturally infected with Leishmania (Leishmania) chagasi. Vet Immunol Immunopathol 117:129–136. https://doi.org/10.1016/j.vetimm.2007.02.012

    CAS  Article  PubMed  Google Scholar 

  • Melo FA, Moura EP, Ribeiro RR, Alves CF, Caliari MV, Tafuri WL, Calabrese KS, Tafuri WL (2009) Hepatic extracellular matrix alterations in dogs naturally infected with Leishmania (Leishmania) chagasi. Int J Exp Path 90:538–548. https://doi.org/10.1111/j.1365-2613.2009.00681.x

    Article  Google Scholar 

  • Moreira PRR, Vieira LM, Andrade MMC, Bandarra MB, Machado GF, Munari DP, Vasconcelos RO (2010) Immune response pattern of the popliteal lymph nodes of dogs with visceral leishmaniasis. Parasitol Res 107:605–613. https://doi.org/10.1007/s00436-010-1902-2

    Article  PubMed  Google Scholar 

  • Moreira PRR, Bandarra MB, Magalhães GM, Munari DP, Prandini MM, Alessi AC, Vasconcelos RO (2013) Influence of apoptosis on the cutaneous and peripheral lymph node inflammatory response in dogs with visceral leishmaniasis. Vet Parasitol 192:149–157

    CAS  Article  PubMed  Google Scholar 

  • Moreira PRR, Fernando FS, Montassier HJ, André MR, Vasconcelos RO (2016a) Polarized M2 macrophages in dogs with visceral leishmaniasis. Vet Parasitol 226:69–73. https://doi.org/10.1016/j.vetpar.2016.06.032

    CAS  Article  PubMed  Google Scholar 

  • Moreira PRR, Franciscato DA, Rossit SM, Munari DP, Vasconcelos RO (2016b) Influence of apoptosis on liver and spleen resistance in dogs with visceral leishmaniasis. Braz J Vet Parasitol 25(3):341–347. https://doi.org/10.1590/S1984-29612016054

    CAS  Google Scholar 

  • Oliveira TMFS, Furuta PI, Carvalho D, Machado RZ (2008) A study of cross-reactivity in serum samples from dogs positive for Leishmania sp, Babesia canis and Ehrlichia canis in enzyme-linked immunosorbent assay and indirect fluorescent antibody test. Braz J Vet Parasitol 17:7–11

    Article  Google Scholar 

  • Reis AB, Martins-Filho AO, Teixeira-Carvalho A, Giunchetti RC, Carneiro CM, Mayrink W, Tafuri WL, Corrêa-Oliveira R (2009) Systemic and compartimentalized immune response in canine visceral leishmaniasis. Vet Immunol Immunopathol 128:87–95. https://doi.org/10.1016/j.vetimm.2008.10.307

    CAS  Article  PubMed  Google Scholar 

  • Rockey DC (2000) Hepatic fibrogenesis and hepatitis C. Semin Gastrointest Dis 11:69–83

    CAS  PubMed  Google Scholar 

  • Sanchez M, Diaz NL, Zerpa O, Negron E, Convit J, Tapia FJ (2004) Organ-specific immunity in canine visceral leishmaniasis: analysis of symptomatic and asymptomatic dogs naturally infected with Leishmania chagasi. Am J Trop Med Hyg 70(6):618–624

    PubMed  Google Scholar 

  • Tafuri WL, Oliveira MR, Melo MN, Tafuri WL (2001) Canine visceral leishmaniosis: a remarkable histopathological picture of one case reported from Brazil. Vet Parasitol 96:203–212

    CAS  Article  PubMed  Google Scholar 

  • Tafuri WL, RL de Santos, RME de Arantes, Gonçalves R, Melo MN, MSM de Michalick, Tafuri WL (2004) Um método immunohistochemical alternativo para detectar amastigotas de Leishmania em tecidos caninos embebidos em parafina. J Immunol Methods 292: 17-23. https://doi.org/10.1016/j.jim.2004.05.009

Download references

Acknowledgements

The authors wish to acknowledge the Zoonosis Control Center of Araçatuba for providing the animals of this study.

Funding

Financial assistance was provided by FAPESP, Pamela Rodrigues Reina Moreira (Fundação de Amparo à Pesquisa do Estado de São Paulo; Procedural number 2013/00763-4). Paulo Henrique Leal Bertolo (Coordenação de Aperfeiçoamento de Pessoal de Nível Superior). Natália Cassaro Marques (Conselho Nacional de Pesquisa e desenvolvimento, PIBIC-CNPq).

Author information

Affiliations

Authors

Corresponding author

Correspondence to Pamela Rodrigues Reina Mo reira .

Ethics declarations

Ethical approval

The design for this study was approved by the Ethics and Animal Welfare Committee (CEBEA no. 11976/15) of FCAV/UNESP, Jaboticabal, state of São Paulo, Brazil.

Conflict of interest

The authors declare that they have no conflict of interest.

Rights and permissions

Reprints and Permissions

About this article

Verify currency and authenticity via CrossMark

Cite this article

Marques , N.C., Mo reira , P.R.R., Bertolo , P.H.L. et al. Immunodetection of hepatic stellate cells in dogs with visceral leishmaniasis. Parasitol Res 117, 1829–1837 (2018). https://doi.org/10.1007/s00436-018-5870-2

Download citation

  • Received:

  • Accepted:

  • Published:

  • Issue Date:

  • DOI: https://doi.org/10.1007/s00436-018-5870-2

Keywords

  • Ito cells
  • Liver
  • Leishmania infantum
  • TGF-β
  • Hepatic fibrosis