Skip to main content

Efficacy of larvicidal activity of green synthesized titanium dioxide nanoparticles using Mangifera indica extract against blood-feeding parasites

Abstract

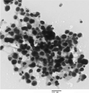
Titanium dioxide nanoparticles (TiO2 NPs) are considered to be among the best photocatalytic materials due to their long-term thermodynamic stability, strong oxidizing power, and relative non-toxicity. Nano-preparations with TiO2 NPs are currently under investigation as novel treatments for acne vulgaris, recurrent condyloma acuminata, atopic dermatitis, hyperpigmented skin lesions, and other non-dermatologic diseases. The present study was to investigate the acaricidal and larvicidal activity of synthesized TiO2 NPs utilizing leaf aqueous extract of Mangifera indica L. (Anacardiaceae) against hematophagous parasites. The anti-parasitic activity of TiO2 NPs against the larvae of Rhipicephalus (Boophilus) microplus, Hyalomma anatolicum anatolicum and Haemaphysalis bispinosa (Acari: Ixodidae), fourth instar larvae of Anopheles subpictus, and Culex quinquefasciatus (Diptera: Culicidae) were assessed. The green synthesized TiO2 NPs were analyzed by UV–Vis, FTIR, X-ray diffraction (XRD), AFM, SEM, and TEM. The XRD analysis of synthesized TiO2 NPs revealed the dominant peak at 2θ value of 27.81 which matched the 110 crystallographic plane of the rutile structure indicating the crystal structure. The FTIR spectra exhibited a prominent peak at 3,448 cm−1 and showed OH stretching due to the alcoholic group, and the OH group may act as a capping agent. The SEM images of TiO2 NPs displayed spherical, oval in shape, individual, and some in aggregates. Characterization of the synthesized TiO2 NPs using AFM offered three-dimensional visualization and uneven surface morphology. The TEM micrograph showed agglomerates, round and slight elongation with an average size of 30 ± 5 nm. The maximum efficacy was observed in synthesized TiO2 NPs against the larvae of R. microplus, Hyalomma anatolicum anatolicum, Haemaphysalis bispinosa, A. subpictus, and Culex quinquefasciatus with LC50 value of 28.56, 33.17, 23.81, 5.84, and 4.34 mg/L, respectively. In the present study, a novel, simple, and eco-friendly approach has been suggested to control blood-feeding parasites.

This is a preview of subscription content, access via your institution.

Fig. 1
Fig. 2
Fig. 3
Fig. 4
Fig. 5

References

  • Bae TH, Tak TM (2005) Preparation of TiO2 self-assembled polymeric nanocomposite membranes and examination of their fouling mitigation effects in a membrane bioreactor system. J Membr Sci 249:1–8

    CAS  Article  Google Scholar 

  • Bhosa GS, Lubega A, Musisi N, Kyegombe DB, Waako P, Okeng JO, Odyek O (2007) The activity of Mangifera indica L. leaf extracts against the tetanus causing bacterium, Clostridium tetani. Afr J Ecol 45:54–58

    Article  Google Scholar 

  • Boujday F, Wunsch P, Portes JF, Bocquet, Justin CC (2004) Photo catalytic and electronic properties of TiO2 powders elaborated by sol–gel route and supercritical drying. Sol Energy Mater Sol Cell 83:421–433

    CAS  Article  Google Scholar 

  • Carp O, Huisman CL, Reller A (2004) Photo induced reactivity of titanium dioxide. Prog Solid State Chem 32:133–177

    Article  Google Scholar 

  • Chandra G, Bhattacharjee I, Chatterjee S (2010) A review on Anopheles subpictus Grassi a biological vector. Acta Trop 15(2):142–154

    Article  Google Scholar 

  • Chatterjee SN, Chandra G (2000) Role of Anopheles subpictus as a primary vector of malaria in an area in India. Jpn J Trop Med Hyg 28(3):177–181

    Article  Google Scholar 

  • David MR, Ribeiro GS, de Freitas RM (2012) Bionomics of Culex quinquefasciatus within urban areas of Rio de Janeiro, Southeastern Brazil. Rev Saude Publica 46(5):858–865

    PubMed  Article  Google Scholar 

  • Fernandes FF, Freitas EPS (2007) Acaricidal activity of an oleoresinous extract from Copaifera reticulata (Leguminosae: Caesalpinioideae) against larvae of the southern cattle tick, Rhipicephalus (Boophilus) microplus (Acari: Ixodidae). Vet Parasitol 147:150–154

    Article  Google Scholar 

  • Fisher J, Egerton TA (2001) Titanium compounds, inorganic. In Kirk-Othmer encyclopedia of chemical technology. Wiley, New York, p 16

    Google Scholar 

  • Ghosh S, Bansal GC, Gupta SC, Ray D, Khan MQ, Irshad H, Shahiduzzaman M, Seitzer U, Ahmed JS (2007) Status of tick distribution in Bangladesh, India and Pakistan. Parasitol Res 101(2):S207–216

    PubMed  Article  Google Scholar 

  • Ghosh AK, Devenport M, Jethwaney D, Kalume DE, Pandey A, Anderson VE, Sultan AA, Kumar N, Jacobs-Lorena M (2009) Malaria parasite invasion of the mosquito salivary gland requires interaction between the Plasmodium TRAP and the Anopheles saglin proteins. PLoS Pathog 5:e1000265

    PubMed Central  PubMed  Article  Google Scholar 

  • Guerrero FD, Lovis L, Martins JR (2012) Acaricide resistance mechanisms in Rhipicephalus (Boophilus) microplus. Rev Bras Parasitol Vet Jaboticabal 21(1):1–6

    Article  Google Scholar 

  • Helen PAM, Aswathy MR, Deepthi KG, Rathi RM, Jaison Joseph J, Jaya Sree S (2013) Phytochemical analysis and anticancer activity of leaf extract of Mangifera indica (Kotttukonam Varika). IJPSR 4(2):819–824

    Google Scholar 

  • Hoogstraal H (1979) The epidemiology of tick-borne Crimean-Congo haemorrhagic fever in Asia, Europe and Africa. J Med Entomol 15:307–417

    CAS  PubMed  Google Scholar 

  • Hooshmand–Rad P, Hawa NJ (1973) Transmission of Theileria hirciin sheep by Hyalomma anatolicum anatolicum. Trop Anim Health Prod 5:103–109

    Article  Google Scholar 

  • Hudlikar M, Joglekar S, Dhaygude M, Kodam K (2012) Green synthesis of TiO2 nanoparticles by using aqueous extract of Jatropha curcas L latex. Mater Lett 75:196–199

    CAS  Article  Google Scholar 

  • Jha AK, Prasad K, Kulkarni AR (2009) Synthesis of TiO2 nanoparticles using microorganisms. Colloids Surf B: Biointerfaces 71(2):226–229

    CAS  PubMed  Article  Google Scholar 

  • Jones CE, Lounibos LP, Marra PP, Kilpatrick AM (2012) Rainfall influences survival of Culex pipiens (Diptera: Culicidae) in a residential neighborhood in the mid-Atlantic United States. J Med Entomol 49(3):467–473

    PubMed Central  PubMed  Article  Google Scholar 

  • Kaida T, Kobayashi K, Adachi M, Suzuki F (2004) Optical characteristics of titanium oxide interference film and the film laminated with oxides and their applications for cosmetics. J Cosmet Sci 55:219–220

    PubMed  Google Scholar 

  • Kamaraj C, Bagavan A, Rahuman AA, Zahir AA, Elango G, Pandiyan G (2009) Larvicidal potential of medicinal plant extracts against Anopheles subpictus Grassi and Culex tritaeniorhynchus Giles (Diptera: Culicidae). Parasitol Res 104:1163–1171

    CAS  PubMed  Article  Google Scholar 

  • Kasturi J, Veerapandian S, Rajendiran N (2009) Biological synthesis of silver and gold nanoparticles using apiin as reducing agent. Colloids Surf B 68:55–60

    Article  Google Scholar 

  • Kirthi AV, Rahuman AA, Rajakumar G, Marimuthu S, Santhoshkumar T, Jayaseelan C, Elango G, Abduz Zahir A, Kamaraj C, Bagavan A (2011) Biosynthesis of titanium dioxide nanoparticles using bacterium Bacillus subtilis. Mat Lett 65:2745–2747

    CAS  Article  Google Scholar 

  • Klempner MS, Unnasch TR, Hu LT (2007) Taking a bite out of vector-transmitted infectious diseases. N Engl J Med 356:2567–2569

    CAS  PubMed Central  PubMed  Article  Google Scholar 

  • Kumar A, Shukla R, Singh P, Prasad CS, Dubey NK (2008) Assessment of Thymus vulgaris L. essential oil as a safe botanical preservative against post harvest fungal infestation of food commodities. Innov Food Sci Emerg Technol 9:575–580

    CAS  Article  Google Scholar 

  • Latif AA (1994) Theileriosis of sheep in the Sudan: a case report. In: Ata-Elmanan AM, Kheir SM (eds) Proceedings of a workshop on Tropical Theileriosis held at the veterinary Association Residence, Khartoum 4–5.

  • Likhitwitayawuid K, Chanmahasathien W, Ruangrungsi N, Krungkrai J (1998) Antimalarial xanthones from Garcinia cowa. Planta Med 64:281–282

    CAS  PubMed  Article  Google Scholar 

  • Ling LT, Yap SA, Radhakrishnan AK, Subrahmanian T, Cheng HM, Palanisamy UD (2009) Standardised Mangifera indica extract an ideal antioxidant. Food Chem 113:1154–1159

    CAS  Article  Google Scholar 

  • Liu H, Wang K, Tang Y, Sun Z, Jian L, Li Z, Wu B, Huang C (2011) Structure elucidation of in vivo and in vitro metabolites of mangiferin. J Pharm Biomed Anal 55:1075–1082

    CAS  PubMed  Article  Google Scholar 

  • Lok C, Ho C, Chen R, He Q, Yu W, Sun H, Tam PK, Chiu J, Che C (2007) Silver nanoparticles: partial oxidation and antibacterial activities. J Biol Inorg Chem 12:527–534

    CAS  PubMed  Article  Google Scholar 

  • Mahapatra O, Bhagat M, Gopalakrishnana C, Arunachalam KD (2008) Ultrafine dispersed CuO nanoparticles and their antibacterial activity. J Exp Nanosci 3:185–193

    CAS  Article  Google Scholar 

  • Mak NK, Li WK, Zhang M, Wong RN, Tai LS, Yung KK, Leung HW (2000) Effects of euxanthone on neuronal differentiation. Life Sci 66:347–354

    CAS  PubMed  Article  Google Scholar 

  • Marimuthu S, Rahuman AA, Jayaseelan C, Kirthi AV, Santhoshkumar T, Velayutham K, Bagavan A, Kamaraj C, Elango G, Iyappan M, Siva C, Karthik L, Bhaskara Rao KV (2013) Acaricidal activity of synthesized titanium dioxide nanoparticles using Calotropis gigantea against Rhipicephalus microplus and Haemaphysalis bispinosa. Asian Pac J Trop Med 412–420

  • Moolhuijzen PM, Tabor EL, Morgan JAT, Valle MR, Peterson DG, Dowd SE, Guerrero FD, Bellgard MI, Appels R (2011) The complexity of Rhipicephalus (Boophilus) microplus genome characterised through detailed analysis of two BAC clones. BMC Res Notes 4:254

    CAS  PubMed Central  PubMed  Article  Google Scholar 

  • Narayan KB, Sakthivel N (2008) Coriander leaf mediated biosynthesis of gold nanoparticles. Mater Lett 62:4588–4590

    Article  Google Scholar 

  • Nyamador WS, Ketoh GK, Amevoin K, Nuto Y, Koumaglo HK, Glitho IA (2010) Variation in the susceptibility of two Calloso bruchus species to essential oils. J Stored Prod Res 46:48–51

    CAS  Article  Google Scholar 

  • Philip D (2010) Rapid green synthesis of spherical gold nanoparticles using Mangifera indica leaf. Spectrochim Acta A 77:807–810

    Article  Google Scholar 

  • Priyaragini SV, Swetha D, Karthik L, Gaurav K, Bhaskara Rao KV (2013) Evaluating the effectiveness of marine actinobacterial extract and its mediated titanium dioxide nanoparticle in the degradation of azo dyes. J Environ Sci 26(4):775–782

    Article  Google Scholar 

  • Rahuman AA, Gopalakrishnan G, Ghouse BS, Arumugam S, Himalayan B (2000) Effect of Feronia limonia on mosquito larvae. Fitoterapia 71(5):553–555

    CAS  PubMed  Article  Google Scholar 

  • Rajakumar G, Rahuman AA (2011) Larvicidal activity of synthesized silver nanoparticles using Eclipta prostrata leaf extract against filariasis and malaria vectors. Acta Trop 118 (3):196–203

  • Rajakumar G, Rahuman AA, Priyamvada B, Gopiesh Khanna V, Kishore Kumar D, Sujin PJ (2012a) Eclipta prostrata leaf aqueous extract mediated synthesis of titanium dioxide nanoparticles. Mater Lett 68:115–117

    CAS  Article  Google Scholar 

  • Rajakumar G, Rahuman AA, Roopan SM, Khanna VG, Elango G, Kamaraj C, Zahir AA, Velayutham K (2012b) Fungus-mediated biosynthesis and characterization of TiO2 nanoparticles and their activity against pathogenic bacteria. Spectrochim Acta A Mol Biomol Spectrosc 91:23–29

    CAS  PubMed  Article  Google Scholar 

  • Rajakumar G, Rahuman AA, Jayaseelan C, Santhoshkumar T, Marimuthu S, Kamaraj C, Bagavan A, Zahir AA, Kirthi AV, Elango G, Arora P, Karthikeyan R, Manikandan S, Jose S (2014) Solanum trilobatum extract-mediated synthesis of titanium dioxide nanoparticles to control Pediculus humanus capitis, Hyalomma anatolicum anatolicum and Anopheles subpictus. Parasitol Res 113(2):469–479

    PubMed  Article  Google Scholar 

  • Reddy PJ, Krishna D, Murthy US, Jamil K (1992) A microcomputer FORTRAN program for rapid determination of lethal concentration of biocides in mosquito control. Comput Appl Biosci 8:209–213

    CAS  PubMed  Google Scholar 

  • Reisen WK, Lothrop HD, Lothrop B (2003) Factors influencing the outcome of mark-release-recapture studies with Culex tarsalis (Diptera: Culicidae). J Med Entomol 40(6):820–829

    PubMed  Article  Google Scholar 

  • Riscoe M, Kelly JX, Winter R (2005) Xanthones as antimalarial agents: discovery, mode of action, and optimization. Curr Med Chem 12:2539–2549

    CAS  PubMed  Article  Google Scholar 

  • Rodríguez J, Di Pierro D, Gioia M, Monaco S, Delgado R, Coletta M, Marini S (2006) Effects of a natural extract from Mangifera indica L, and its active compound, mangiferin, on energy state and lipid peroxidation of red blood cells. Biochim Biophys Acta 1760:1333–1342

    PubMed  Article  Google Scholar 

  • Roopan SM, Bharathi A, Prabhakarn A, Rahuman AA, Velayutham K, Rajakumar G, Padmaja RD, Lekshmi M, Madhumitha G (2012) Efficient phyto-synthesis and structural characterization of rutile TiO2 nanoparticles using Annona squamosa peel extract. Spectrochim Acta A Mol Biomol Spectrosc 98:86–90

    CAS  PubMed  Article  Google Scholar 

  • Ruiz AM, Sakai G, Cornet A, Shimanoe K, Morante JR, Yamazoe N (2004) Microstructure control of thermally stable TiO2 obtained by hydrothermal process for gas sensors. Sensors Actuators B Chem 103:312–317

    CAS  Article  Google Scholar 

  • Salam HA, Rajiv P, Kamaraj M, Jagadeeswaran P, Gunalan S, Sivaraj R (2012) Plants: green route for nanoparticle synthesis. I Res J Biol Sci 1:85–90

    Google Scholar 

  • Shankar SS, Rai A, Ahmad A, Sastry M (2004) Rapid synthesis of Au, Ag and bimetallic Au core-Ag shell nanoparticles using neem (Azadirachta indica) leaf broth. J Colloid Interface Sci 275:496–502

    CAS  PubMed  Article  Google Scholar 

  • Sundrarajan M, Gowri S (2011) Green synthesis of titanium dioxide nanoparticles by Nyctanthes arbor-tristis leaves extract. Chalcogenide Lett 8(8):447–451

    CAS  Google Scholar 

  • Velayutham K, Rahuman AA, Rajakumar G, Santhoshkumar T, Marimuthu S, Jayaseelan C, Bagavan A, Kirthi AV, Kamaraj C, Zahir AA, Elango G (2012) Evaluation of Catharanthus roseus leaf extract mediated biosynthesis of titanium dioxide nanoparticles against Hippobosca maculata and Bovicola ovis. Parasitol Res 111(6):2329–2337

    PubMed  Article  Google Scholar 

  • Wang C, Deng ZX, Li Y (2001) The synthesis of nanocrystalline anatase and rutile titania in mixed organic media. Inorg Chem 40:5210–5214

    CAS  PubMed  Article  Google Scholar 

  • WHO (1996) Report of the WHO informal consultation on the evaluation on the testing of insecticides. CTD/WHO PES/IC/ 96.1. Geneva p. 69

Download references

Acknowledgments

The authors are grateful to the management of C. Abdul Hakeem College, Principal, and HOD of Zoology for their help and support to carry out the present study.

Author information

Affiliations

Authors

Corresponding author

Correspondence to Abdul Abdul Rahuman.

Rights and permissions

Reprints and Permissions

About this article

Verify currency and authenticity via CrossMark

Cite this article

Rajakumar, G., Rahuman, A.A., Roopan, S.M. et al. Efficacy of larvicidal activity of green synthesized titanium dioxide nanoparticles using Mangifera indica extract against blood-feeding parasites. Parasitol Res 114, 571–581 (2015). https://doi.org/10.1007/s00436-014-4219-8

Download citation

  • Received:

  • Accepted:

  • Published:

  • Issue Date:

  • DOI: https://doi.org/10.1007/s00436-014-4219-8

Keywords

  • Larvicidal activity
  • Titanium dioxide nanoparticles
  • Mangifera indica
  • Rhipicephalus (Boophilus) microplus
  • Hyalomma anatolicum anatolicum
  • Haemaphysalis bispinosa
  • Anopheles subpictus
  • Culex quinquefasciatus