Abstract
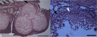
We describe here a new myxozoan, Thelohanellus wangi n. sp., infecting the allogynogenetic gibel carp, Carassius auratus gibelio (Bloch), in a fry nursery farm in Jiangsu Province, China. Polysporous gray white round or ovoid plasmodia, 500–1,500 μm in size, were found exclusively in the gill filaments. The diagnostic characteristics of the myxospores are as follows: spore melon seed shaped in frontal view with smooth surface and asymmetrical valves; convex-shaped in sutural view with straight or slightly bent and thick sutural line, averaging 20.2 (16.5–22.3) × 9.9 (9.1–10.8) × 9.3 μm (8.2–10.4) in size; and one elliptical polar capsules with subulate anterior end and round posterior end, averaging 10.1 (8.4–11.2) × 6.5 μm (6.1–7.0) in size. Polar filaments coil six to seven turns and are slightly oblique to the longitudinal axis of the polar capsule. An elongate melon seed-shaped mucus envelope surrounds almost completely the spore, but with largest distance in posterior end between spore valve and mucus envelope. Granular sporoplasm contains two slightly oval nuclei, and no iodinophilous vacuole is observed. Histopathological analysis showed that the plasmodia embedded in the gill filaments and occasionally extended into the connective tissue of the gill arch. No significant inflammatory responses were provoked by the infection. The development of parasite is asynchronous, with mature spores centrally locating and trophozoites and pre-sporogonic stages peripherally locating within the plasmodia. Overall prevalence was 74 % (37/50). Infection intensity was usually high, with about 10–30 cysts per fish. Phylogenetical analysis shows that T. wangi n. sp. is most closely related to several Thelohanellus species infecting cyprinid fish and formed a Thelohanellus clade based on the ribosomal DNA data. The cysts of this myxosporean were only found from fry seed with body length below 7 cm, generally from late April to early June when the fry fish of allogynogenetic gibel carp were nursed in the epizootic areas.





Similar content being viewed by others
Explore related subjects
Discover the latest articles and news from researchers in related subjects, suggested using machine learning.References
Abdel-Ghaffar F, Morsy K, Bashtar AR, El-Ganainy S, Gamal S (2013) Thelohanellus niloticus sp. nov. (Myxozoa: Myxosporea), a parasite of the Nile carp Labeo niloticus from the River Nile, Egypt. Parasitol Res 112:379–383
Adriano EA, Carriero MM, Maia AAM, Silva MRM, Naldoni J, Ceccarelli PS, Arana S (2012) Phylogenetic and host–parasite relationship analysis of Henneguya multiplasmodialis n. sp. infecting Pseudoplatystoma spp. in Brazilian Pantanal wetland. Vet Parasitol 185:110–120
Azevedo C, Samuel N, Saveia AP, Delgado F, Casal G (2011) Light and electron microscopical data on the spores of Thelohanellus rhabdalestus n. sp. (Myxozoa: Myxosporea), a parasite of a freshwater fish from the Kwanza River, Angola. Syst Parasitol 78:19–25
Bartosova P, Fiala I, Hypsa V (2009) Concatenated SSU and LSU rDNA data confirm the main evolutionary trends within myxosporeans (Myxozoa: Myxosporea) and provide an effective tool for their molecular phylogenetics. Mol Phylogenet Evol 53:81–93
Chen QL, Ma CL (1998) Myxozoa: Myxosporea. Science Press, Beijing
Fiala I (2006) The phylogeny of Myxosporea (Myxozoa) based on small subunit ribosomal RNA gene analysis. Int J Parasitol 36:1521–1534
Griffin MJ, Goodwin AE (2011) Thelohanellus toyamai (Syn. Myxobolus toyamai) infecting the gills of koi Cyprinuscarpio in the Eastern United States. J Parasitol 97:493–502
Gui JF, Zhou L (2010) Genetic basis and breeding application of clonal diversity and dual reproduction modes in polyploidy Carassius auratus gibelio. Sci China Life Sci 53:409–415
Guindon S, Dufayard JF, Lefort V, Anisimova M, Hordijk W, Gascuel O (2010) New algorithms and methods to estimate maximum-likelihood phylogenies: assessing the performance of PhyML 3.0. Syst Biol 59:307–321
Kent ML, Andree KB, Bartholomew JL, El-Matbouli M, Desser SS et al (2001) Recent advances in our knowledge of the Myxozoa. J Eukaryot Microbiol 48:395–413
Kimura M (1980) A simple method for estimating evolutionary rates of base substitutions through comparative studies of nucleotide sequences. J Mol Evol 16:111–120
Liu Y, Whipps CM, Gu ZM, Zeng C, Huang MJ (2012) Myxobolus honghuensis n. sp. (Myxosporea: Bivalvulida) parasitizing the pharynx of allogynogenetic gibel carp Carassius auratus gibelio (Bloch) from Honghu Lake, China. Parasitol Res 110:1331–1336
Liu Y, Jia L, Huang MJ, Gu ZM (2014a) Thelohanellus testudineus n. sp. (Myxosporea: Bivalvulida) infecting the skin of allogynogenetic gibel carp Carassius auratus gibelio (Bloch) in China. J Fish Dis 37:535–542
Liu Y, Yuan JF, Jia L, Huang MJ, Zhou ZG, Gu ZM (2014b) Supplemental description of Thelohanellus wuhanensis Xiao & Chen, 1993 (Myxozoa: Myxosporea) infecting the skin of Carassius auratus gibelio (Bloch): ultrastructural and histological data. Parasitol Int 63:489–491
Lom J, Arthur JR (1989) A guideline for preparation of species descriptions in Myxosporea. J Fish Dis 12:151–156
Lom J, Dyková I (2006) Myxozoan genera: definition and notes on taxonomy, life-cycle terminology and pathogenic species. Folia Parasitol 53:1–36
Luo YZ, Lin L, Wu ZX, Liu Y, Gu ZM, Li LJ, Yuan JF (2013) Haematopoietic necrosis of cultured Prussian carp, Carassius gibelio (Bloch), associated with Cyprinid herpesvirus 2. J Fish Dis 36:1035–1039
Molnár K (2002) Site preference of fish myxosporeans in the gill. Dis Aquat Organ 48:197–207
Page RDM (1996) TreeView: an application to display phylogenetic trees on personal computers. Comput Appl Biosci 12:357–358
Posada D (2008) JModelTest: phylogenetic model averaging. Mol Biol Evol 25:1253–1256
Shin SP, Nguyen VG, Jeong JM, Jun JW, Kim JH, Han JE, Baeck GW, Park SC (2014) The phylogenetic study of Thelohanellus species (Myxosporea) in relation to host specificity and infection site tropism. Mol Phylogenet Evol 72:31–34
Suo D, Zhao YJ (2010) Morphological redescription of Thelohanellus nikolskii Achmerov, 1955 (Myxozoa, Bivalvulida) and phylogenetic analysis of Thelohanellus nikolskii inferred from 18S rDNA. Acta Zootax Sin 35:90–95
Swofford DL (2003) PAUP*. Phylogenetic analysis using parsimony (* and other methods), v. 4.0 beta 10. Sinauer Associates, Sunderland
Székely C, El-Mansy A, Molnár K, Baska F (1998) Development of Thelohanellus hovorkai and Thelohanellus nikolskii (Myxosporea: Myxozoa) in oligochaete alternate hosts. Fish Pathol 33:107–114
Székely C, Shaharom-Harrison F, Cech G, Mohamed K, Molnár K (2009) Myxozoan pathogens of Malaysian fishes cultured in ponds and net-cages. Dis Aquat Org 83:49–57
Tamura K, Peterson D, Peterson N, Stecher G, Nei M, Kumar S (2011) MEGA5: molecular evolutionary genetics analysis using maximum likelihood, evolutionary distance and maximum parsimony methods. Mol Biol Evol 28:2731–2739
Thompson JD, Gibson TJ, Plewniak F, Jeanmougin F, Higgins DG (1997) The CLUSTRAL-X windows interface: flexible strategies for multiple sequence alignment aided by quality analysis tools. Nucleic Acids Res 24:4876–4882
Wang GT, Yao WJ, Wang JG, Lu YS (2001) Occurrence of thelohanellosis caused by Thelohanellus wuhanensis (Myxosporea) in juvenile allogynogenetic silver crucian carp, Carassius auratus gibelio (Bloch), with an observation on the efficacy of fumagillin as a therapeutant. J Fish Dis 4:57–60
Wang ZW, Zhu HP, Wang D, Jiang FF, Zhou L, Gui JF (2011) A novel nucleo-cytoplasmic hybrid clone formed via androgenesis in polyploidy gibel carp. BMC Res Notes 4:82
Xi BW, Xie J, Zhou QL, Pan LK, Ge XP (2011) Mass mortality of pond-reared Carassius gibelio caused by Myxobolus ampullicapsulatus in China. Dis Aquat Org 93:257–260
Xi BW, Zhang JY, Xie J, Pan LK, Xu P, Ge XP (2013) Three actinosporean types (Myxozoa) from the oligochaete Branchirua sowerbyi in China. Parasitol Res 112:1575–1582
Xiao CH (1988) Study of epidemiology and myxosporean fauna from silver crucian carp (Carassius auratus gibelio Bloch) (in Chinese with English summary). Master dissertation, Institute of Hydrobiology, Chinese Academy of Sciences
Ye LT, Li WX, Wang WW, Wu SG, Wang GT (2014) Updated morphology, histopathology and molecular phylogeny of Myxobolus hearti, cardiac myxosporea in gibel carp, Carassius gibelio (Bloch). J Fish Dis 37:11–20
Yokoyama H, Liyanage YS, Sugai A, Wakabayashi H (1998) Hemorrhagic thelohanellosis of color carp caused by Thelohanellus hovorkai (Myxozoa: Myxosporea). Fish Pathol 33:85–89
Yokoyama H, Grabner D, Shirakashi S (2012) Transmission biology of the myxozoa, health and environment in aquaculture. In: Carvalho E (ed) InTech, Available from: http://www.intechopen.com/books/health-and-environment-in-aquaculture/transmission-biology-of-the-myxozoa
Zhang JY, Wang JG, Li AH, Gong XN, Cai TZ (2006) Redescription of Myxobolus pyramidis Chen, 1958 (Myxosporea: Bivalvulida). Parasitol Res 99:65–69
Zhang JY, Wang JG, Li AH, Gong XN (2010a) Infection of Myxobolus turpisrotundus n. sp. in allogynogenetic gibel carp, Carassius auratus gibelio (Bloch), with revision of Myxobolus rotundus (s. l.) Nemeczek reported from C. auratus auratus (L.). J Fish Dis 33:625–638
Zhang JY, Yokoyama H, Wang JG, Li AH, Gong XN, Ryu-hasegawa A, Iwashita M, Ogawa K (2010b) Utilization of tissue habitats by Myxobolus wulii Landsberg and Lom, 1991 in different carp hosts and disease resistance in allogynogenetic gibel carp: redescription of M. wulii from China and Japan. J Fish Dis 33:57–68
Zhang JY, Gu ZM, Kalavati C, Eiras JC, Liu Y, Guo QY, Molnár K (2013) Synopsis of the species of Thelohanellus Kudo, 1933 (Myxozoa: Myxosporea: Bivalvulida). Syst Parasitol 86:235–256
Zhao YJ, Sun CY, Kent ML, Deng JL, Whipps CM (2008) Description of a new species of Myxobolus (Myxozoa: Myxobolidae) based on morphological and molecular data. J Parasitol 94:737–742
Zhao YJ, Zhao YJ, Li NN, Tang FH, Dong JL (2013) Remarks on the validity of Myxobolus ampullicapsulatus and Myxobolus honghuensis (Myxozoa: Myxosporea) based on SSU rDNA sequences. Parasitol Res 112: 3817–3823
Zhu YT, Lu HD, Cai SJ (2012) Redescription of Thelohanellus wuhanensis Xiao et Chen (Myxozoa, Myxosporea) infecting allogynogenetic crucian carp (Carassius auratus gibelio) and phylogenetic analysis based on 18S rDNA sequence. Acta Zootax Sin 37:681–686
Acknowledgments
The present work was financially supported by the Jiangsu Province Fund of Sciences (BK2012240, BK2011182), Special Fund for Basic Scientific Research of Central Institutes, FFRC (6-115080), Young Scientist Award of the Knowledge Innovation Program of the Chinese Academy of Sciences, and Huai’an Science and Technology Bureau (SN12099, SN13095).
Author information
Authors and Affiliations
Corresponding author
Additional information
S. Yuan and B. W. Xi contributed equally to this work.
Rights and permissions
About this article
Cite this article
Yuan, S., Xi, B.W., Wang, J.G. et al. Thelohanellus wangi n. sp. (Myxozoa, Myxosporea), a new gill parasite of allogynogenetic gibel carp (Carassius auratus gibelio Bloch) in China, causing severe gill myxosporidiosis. Parasitol Res 114, 37–45 (2015). https://doi.org/10.1007/s00436-014-4157-5
Received:
Accepted:
Published:
Issue Date:
DOI: https://doi.org/10.1007/s00436-014-4157-5


