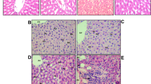
Abstract
Thunbergia laurifolia Linn (Rang Chuet) possesses antioxidant and anti-inflammatory properties as well as anticancer activities. The aim of the present study was to evaluate the efficacy of T. laurifolia in reducing inflammation from pathological changes in Syrian hamsters infected with the human liver fluke Opisthorchis viverrini. Hamster groups were also administered N-nitrosodimethylamine (NDMA) and treated with T. laurifolia. Light microscopic observation of histopathological changes, liver function tests for alanine transaminase (ALT) and alkaline phosphatase (ALP) and kidney function tests for blood urea nitrogen (BUN) and creatinine were performed. Antioxidant effects of both fresh and dried Rang Chuet solutions were observed. Analysis of the histopathological changes showed anti-inflammatory properties, both in the case of O. viverrini infection or with NDMA administration, by reducing the aggregation of inflammatory cells surrounding the hepatic bile ducts as indicated by normal serum ALT, ALP, BUN and creatinine levels in treated Syrian hamsters. The present study found that fresh and dried Rang Chuet solutions clearly reduced the inflammatory cells in both O. viverrini-infected and NDMA-administered groups and was correlated with the total antioxidant capacity. These findings suggest that T. laurifolia possesses antioxidant and anti-inflammatory properties and that its application may be useful for prevention of the inflammatory process, one of the risk factors of O. viverrini-associated cholangiocarcinoma (CCA).

Similar content being viewed by others
Explore related subjects
Discover the latest articles and news from researchers in related subjects, suggested using machine learning.References
Boonjaraspinyo S, Boonmars T, Aromdee C, Srisawangwong T, Kaewsamut B, Pinlaor S, Yongvanit P, Puapairoj A (2009) Turmeric reduces inflammatory cells in hamster opisthorchiasis. Parasitol Res 105:1459–1463
Boonjaraspinyo S, Boonmars T, Aromdee C, Puapairoj A, Wu Z (2011) Indirect effect of a turmeric diet: enhanced bile duct proliferation in Syrian hamsters with a combination of partial obstruction by Opisthorchis viverrini infection and inflammation by N-nitrosodimethylamine administration. Parasitol Res 108(1):7–14
Boonmars T, Boonjaraspinyo S, Kaewsamut B (2009) Animal models for Opisthorchis viverrini infection. Parasitol Res 104:701–703
Boonmars T, Srirach P, Kaewsamut B, Srisawangwong T, Pinlaor S, Pinlaor P, Yongvanit P, Sithithaworn P (2008) Apoptosis-related gene expression in hamster opisthorchiasis post praziquantel treatment. Parasitol Res 102:447–455
Boonmars T, Srisawangwong T, Srirach P, Kaewsamut B, Pinlaor S, Sithithaworn P (2007) Apoptosis-related gene expressions in hamsters re-infected with Opisthorchis viverrini and re-treated with praziquantel. Parasitol Res 102:57–62
Burkill I.H (1966) A dictionary of the economic products of the Malay Peninsula. Volume II (I–Z). Ministry of Agriculture and Cooperatives, Kuala Lumpur.
Chan EWC, Lim YY (2006) Antioxidant activity of Thunbergia laurifolia tea. Journal of Tropical Forest Science 18(2):130–136
Chattaviriya P, Morkmek N, Lertprasertsuke N, Ruangyuttikarn W (2010) Drinking Thunbergia laurifolia Lindl. leaf extract helps prevent renal toxicity induced by cadmium in rats. Thai J Toxicology 25(2):124–132
Chivapat S, Chavalittumrong P, Attawish A, Bansiddhi J, Padungpat S (2009) Chronic toxicity of Thunbergia laurifolia Lindl. extract. Journal of Thai Traditional and Alternative Medicine 7(1):18–25
George J, Rao KR, Stern R, Chandrakasan G (2001) Dimethylnitrosamine-induced liver injury in rats: the early deposition of collagen. Toxicology 156:129–138
IARC (1994) Infection with liver flukes (Opisthorchis viverrini, Opisthorchis felineus and Clonorchis sinensis). IARC monographs on the evaluation of carcinogenic risks to humans 61:121–175
Kanchanapoom T, Kasai R, Yamasaki K (2002) Iridoid glucosides from Thunbergia laurifolia. Phytochemistry 60(8):769–771
Oonsivilai R, Cheng C, Bomser J, Ferruzzi MG, Ningsanond S (2007) Phytochemical profiling and phase II enzyme-inducing properties of Thunbergia laurifolia Lindl. (RC) extracts. J Ethnopharmacol 114(3):300–306
Oonsivilai R, Ferruzzi MG, Ningsanond S (2008) Antioxidant activity and cytotoxicity of Rang Chuet (Thunbergia laurifolia Lindl.) extracts. As J Food Ag-Ind 1(02):116–128
Palipoch S, Jiraungkoorskul W, Tansatit T, Preyavichyapugdee N, Jaikua W, Kosai P (2011) Protective efficiency of Thunbergia laurifolia leaf extract against lead (II) nitrate-induced toxicity in Oreochromis niloticus. Journal of Medicinal Plants Research 5(5):719–728
Pongphasuk N, Khunkitti W, Chitcharoenthum M (2005) Traditional medicine and nutraceuticals. WOCMAP Congress on Medicinal and Aromatic Plants—Volume 6, Palaniswamy UR, Gardner ZE. Craker LE eds. ISHS, Acta Horticulturae, p 680
Peto R, Gray R, Brantom P, Grasso P (1991) Dose and time relationships for tumor induction in the liver and esophagus of 4080 inbred rats by chronic ingestion of N-nitrosodiethylamine or N-nitrosodimethylamine. Cancer Res 51:6452–6469
Pinlaor S, Hiraku Y, Ma N, Yongvanit P, Semba R, Oikawa S, Murata M, Sripa B, Sithithaworn P, Kawanishi S (2004) Mechanism of NO-mediated oxidative and nitrative DNA damage in hamsters infected with Opisthorchis viverrini: a model of inflammation-mediated carcinogenesis. Nitric Oxide 11:175–183
Ruela-de-Sousa RR, Fuhler GM, Blom N, Ferreira CV, Aoyama H, Peppelenbosch MP (2010) Cytotoxicity of apigenin on leukemia cell lines: implications for prevention and therapy. Cell Death Dis 1:19
Schonenberger J (1999) Floral structure, development and diversity in Thunbergia (Acanthaceae). Botanical Journal of the Linnean Society 130:1–36
Sripa B (2003) Pathobiology of opisthorchiasis: an update. Acta Tropica 88:209–220
Starr F, Martz K, Loope LL (1999) New plant records from East Maui for 1998. Bishop Mus Occ Pap 59(2):1–15
Tangpong J, Satarug S (2010) Alleviation of lead poisoning in the brain with aqueous leaf extract of the Thunbergia laurifolia (Linn.). Toxicol Lett 198(1):83–88
Ujiki MB, Ding XZ, Salabat MR, Bentrem DJ, Golkar L, Milam B, Talamonti MS, Bell RH, Iwamura T, Adrian TE (2006) Apigenin inhibits pancreatic cancer cell proliferation through G2/M cell cycle arrest. Mol Cancer 29:5–76
Ussanawarong S, Thesiri T, Mahakunakorn T, Parasupattana S (2000) Effect of Thunbergia laurifolia Linn on detoxification of paraquat. Khon Kaen University Research Journal 5.
Ussanawarong S, Thesiri T (2001) Effect of Thunbergia laurifolia Linn on detoxification of parathion in rat. Khon Kaen University Research Journal 6:3–13
Wong CC, Li H, Cheng K, Chen F (2006) A systemic survey of antioxidant activity of 30 Chinese medicinal plants using the ferric reducing antioxidant power assay. Food Chem 97:705–711
Wonkchalee O, Boonmars T, Kaewkes S, Chamgramol Y, Pairojkul C, Wu Z, Juasook A, Sudsarn P, Boonjaraspinyo S (2011a) Opisthorchis viverrini infection causes liver and biliary cirrhosis in gerbils. Parasitol Res 109(3):545–551
Wonkchalee O, Boonmars T, Kaewkes S, Chamgramol Y, Aromdee C, Wu Z, Juasook A, Sudsarn P, Boonjaraspinyo S, Pairojkul C (2011b) Comparative studies on animal models for Opisthorchis viverrini infection: host interaction through susceptibility and pathology. Parasitol Res Sep 1. [Epub ahead of print].
Acknowledgements
This work was supported by the Thailand research fund through RMU5480002, Khon Kaen University (KKU55) and the Royal Golden Jubilee-Ph.D. program (Grant No. PHD/0280/2552) to Miss. Orasa Wonkchalee and Associate Professor Thidarut Boonmars. We thank the Department of Parasitology, Liver Fluke and Cholangiocarcinoma Research Center, the Animal Experimental Unit, Faculty of Medicine, Khon Kaen University for their support.
Author information
Authors and Affiliations
Corresponding author
Rights and permissions
About this article
Cite this article
Wonkchalee, O., Boonmars, T., Aromdee, C. et al. Anti-inflammatory, antioxidant and hepatoprotective effects of Thunbergia laurifolia Linn. on experimental opisthorchiasis. Parasitol Res 111, 353–359 (2012). https://doi.org/10.1007/s00436-012-2846-5
Received:
Accepted:
Published:
Issue Date:
DOI: https://doi.org/10.1007/s00436-012-2846-5


