Skip to main content

Molecular test for vivax malaria with loop-mediated isothermal amplification method in central China

Abstract

Vivax malaria has the highest incidence in central China. High-throughput and cost-effective testing methods are essential for vivax malaria diagnosis in this area. Loop-mediated isothermal amplification (LAMP) is an established nucleic acid amplification method, which provides a promising platform for the molecular detection of malaria parasites in development countries. This study was performed to compare the LAMP method, the nested PCR-based method, and microscopic examinations in diagnosing vivax malaria. LAMP detected vivax malaria parasites in 160 of 164 microscopically positive samples (sensitivity, 97.6%), whereas nested PCR detected Plasmodium vivax in 162 of 164 samples (sensitivity, 98.8%). No false-positive results were obtained by LAMP or nested PCR among fever-positive and healthy samples. The sensitivities and specificities of the two molecular tests were consistently high. In addition, the reproducibility of the LAMP assays using water bath, which reduced the cost substantially. LAMP method is an accurate, rapid, simple, and cost-effective method that may be useful for diagnosis in field diagnoses instead of nested PCR. This method is feasible to diagnose vivax malaria parasite in endemic areas of central China.

This is a preview of subscription content, access via your institution.

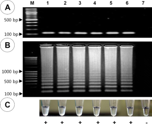
Fig. 1

References

  • Alhassan A, Thekisoe OM, Yokoyama N, Inoue N, Motloang MY, Mbati PA, Yin H, Katayama Y, Anzai T, Sugimoto C, Igarashi I (2007) Development of loop-mediated isothermal amplification (LAMP) method for diagnosis of equine piroplasmosis. Vet Parasitol 143:155–160

    PubMed  Article  Google Scholar 

  • Bakheit MA, Torra D, Palomino LA, Thekisoe OM, Mbati PA, Ongerth J, Karanis P (2008) Sensitive and specific detection of Cryptosporidium species in PCR-negative samples by loop-mediated isothermal DNA amplification and confirmation of generated LAMP products by sequencing. Vet Parasitol 158:11–22

    PubMed  Article  CAS  Google Scholar 

  • Banoo S, Bell D, Bossuyt P, Herring A, Mabey D, Poole F, Smith PG, Sriram N, Wongsrichanalai C, Linke R, O'Brien R, Perkins M, Cunningham J, Matsoso P, Nathanson CM, Olliaro P, Peeling RW, Ramsay A (2006) Evaluation of diagnostic tests for infectious diseases: general principles. Nat Rev Microbiol 4:S20–S32

    PubMed  Article  Google Scholar 

  • Chen JH, Lu F, Lim CS, Kim JY, Ahn HJ, Suh IB, Takeo S, Tsuboi T, Sattabongkot J, Han ET (2010) Detection of Plasmodium vivax infection in the Republic of Korea by loop-mediated isothermal amplification (LAMP). Acta Trop 113:61–65

    PubMed  Article  CAS  Google Scholar 

  • Guan G, Chauvin A, Luo J, Inoue N, Moreau E, Liu Z, Gao J, Thekisoe OM, Ma M, Liu A, Dang Z, Liu J, Ren Q, Jin Y, Sugimoto C, Yin H (2008) The development and evaluation of a loop-mediated isothermal amplification (LAMP) method for detection of Babesia spp. infective to sheep and goats in China. Exp Parasitol 120:39–44

    PubMed  Article  CAS  Google Scholar 

  • Han ET, Watanabe R, Sattabongkot J, Khuntirat B, Sirichaisinthop J, Iriko H, Jin L, Takeo S, Tsuboi T (2007) Detection of four Plasmodium species by genus- and species-specific loop-mediated isothermal amplification for clinical diagnosis. J Clin Microbiol 45:2521–2528

    PubMed  Article  CAS  Google Scholar 

  • Katakura K, Lubinga C, Chitambo H, Tada Y (1997) Detection of Trypanosoma congolense and T. brucei subspecies in cattle in Zambia by polymerase chain reaction from blood collected on a filter paper. Parasitol Res 83:241–245

    PubMed  Article  CAS  Google Scholar 

  • Laohasinnarong D, Thekisoe OM, Malele I, Namangala B, Ishii A, Goto Y, Kawazu S, Sugimoto C, Inoue N (2011) Prevalence of Trypanosoma sp. in cattle from Tanzania estimated by conventional PCR and loop-mediated isothermal amplification (LAMP). Parasitol Res 109:1735–1739

    PubMed  Article  Google Scholar 

  • Lee SH, Kara UA, Koay E, Lee MA, Lam S, Teo D (2002) New strategies for the diagnosis and screening of malaria. Int J Hematol 76(Suppl 1):291–293

    PubMed  Article  Google Scholar 

  • Liang SY, Chan YH, Hsia KT, Lee JL, Kuo MC, Hwa KY, Chan CW, Chiang TY, Chen JS, Wu FT, Ji DD (2009) Development of loop-mediated isothermal amplification assay for detection of Entamoeba histolytica. J Clin Microbiol 47:1892–1895

    PubMed  Article  CAS  Google Scholar 

  • Liu Z, Hou J, Bakheit MA, Salih DA, Luo J, Yin H, Ahmed JS, Seitzer U (2008) Development of loop-mediated isothermal amplification (LAMP) assay for rapid diagnosis of ovine theileriosis in China. Parasitol Res 103:1407–1412

    PubMed  Article  Google Scholar 

  • Makler MT, Palmer CJ, Ager AL (1998) A review of practical techniques for the diagnosis of malaria. Ann Trop Med Parasitol 92:419–433

    PubMed  Article  CAS  Google Scholar 

  • Mharakurwa S, Manyame B, Shiff CJ (1997) Trial of the ParaSight-F test for malaria diagnosis in the primary health care system, Zimbabwe. Trop Med Int Health 2(6):544–550

    Google Scholar 

  • Milne LM, Kyi MS, Chiodini PL, Warhurst DC (1994) Accuracy of routine laboratory diagnosis of malaria in the United Kingdom. J Clin Pathol 47:740–742

    PubMed  Article  CAS  Google Scholar 

  • Moody A (2002) Rapid diagnostic tests for malaria parasites. Clin Microbiol Rev 15:66–78

    PubMed  Article  CAS  Google Scholar 

  • Njiru ZK, Mikosza AS, Matovu E, Enyaru JC, Ouma JO, Kibona SN, Thompson RC, Ndung'u JM (2008) African trypanosomiasis: sensitive and rapid detection of the sub-genus Trypanozoon by loop-mediated isothermal amplification (LAMP) of parasite DNA. Int J Parasitol 38:589–599

    PubMed  Article  CAS  Google Scholar 

  • Notomi T, Okayama H, Masubuchi H, Yonekawa T, Watanabe K, Amino N, Hase T (2000) Loop-mediated isothermal amplification of DNA. Nucleic Acids Res 28:E63

    PubMed  Article  CAS  Google Scholar 

  • Plowe CV, Djimde A, Bouare M, Doumbo O, Wellems TE (1995) Pyrimethamine and proguanil resistance-conferring mutations in Plasmodium falciparum dihydrofolate reductase: polymerase chain reaction methods for surveillance in Africa. Am J Trop Med Hyg 52:565–568

    CAS  Google Scholar 

  • Plutzer J, Karanis P (2009) Rapid identification of Giardia duodenalis by loop-mediated isothermal amplification (LAMP) from faecal and environmental samples and comparative findings by PCR and real-time PCR methods. Parasitol Res 104:1527–1533

    PubMed  Article  CAS  Google Scholar 

  • Poon LL, Wong BW, Ma EH, Chan KH, Chow LM, Abeyewickreme W, Tangpukdee N, Yuen KY, Guan Y, Looareesuwan S, Peiris JS (2006) Sensitive and inexpensive molecular test for falciparum malaria: detecting Plasmodium falciparum DNA directly from heat-treated blood by loop-mediated isothermal amplification. Clin Chem 52:303–306

    PubMed  Article  CAS  Google Scholar 

  • Prudhomme O'Meara W, Remich S, Ogutu B, Lucas M, Mtalib R, Obare P, Oloo F, Onoka C, Osoga J, Ohrt C, McKenzie FE (2006) Systematic comparison of two methods to measure parasite density from malaria blood smears. Parasitol Res 99:500–504

    PubMed  Article  Google Scholar 

  • Sheng HF, Zhou SS, Gu ZC, Zheng X (2003) Malaria situation in the People's Republic of China in 2002. Zhongguo Ji Sheng Chong Xue Yu Ji Sheng Chong Bing Za Zhi 21:193–196

    PubMed  Google Scholar 

  • Singh B, Bobogare A, Cox-Singh J, Snounou G, Abdullah MS, Rahman HA (1999) A genus- and species-specific nested polymerase chain reaction malaria detection assay for epidemiologic studies. Am J Trop Med Hyg 60:687–692

    PubMed  CAS  Google Scholar 

  • Snounou G, Singh B (2002) Nested PCR analysis of Plasmodium parasites. Methods Mol Med 72:189–203

    PubMed  CAS  Google Scholar 

  • Snounou G, Viriyakosol S, Zhu XP, Jarra W, Pinheiro L, Rosario VE do, Thaithong S, Brown KN (1993) High sensitivity of detection of human malaria parasites by the use of nested polymerase chain reaction. Mol Biochem Parasitol 61:315–320

    PubMed  Article  CAS  Google Scholar 

  • Zhou SS, Tang LH, Sheng HF (2005) Malaria situation in the People's Republic of China in 2003. Zhongguo Ji Sheng Chong Xue Yu Ji Sheng Chong Bing Za Zhi 23:385–387

    PubMed  Google Scholar 

  • Zhou SS, Tang LH, Sheng HF, Wang Y (2006a) Malaria situation in the People's Republic of China in 2004. Zhongguo Ji Sheng Chong Xue Yu Ji Sheng Chong Bing Za Zhi 24:1–3

    PubMed  CAS  Google Scholar 

  • Zhou SS, Wang Y, Tang LH (2006b) Malaria situation in the People's Republic of China in 2005. Zhongguo Ji Sheng Chong Xue Yu Ji Sheng Chong Bing Za Zhi 24:401–403

    PubMed  CAS  Google Scholar 

  • Zhou SS, Wang Y, Tang LH (2007) Malaria situation in the People's Republic of China in 2006. Zhongguo Ji Sheng Chong Xue Yu Ji Sheng Chong Bing Za Zhi 25:439–441

    PubMed  Google Scholar 

  • Zhou SS, Wang Y, Fang W, Tang LH (2008) Malaria situation in the People's Republic Of China in 2007. Zhongguo Ji Sheng Chong Xue Yu Ji Sheng Chong Bing Za Zhi 26:401–403

    PubMed  Google Scholar 

  • Zhou SS, Wang Y, Xia ZG (2011) Malaria situation in the People's Republic of China in 2009. Zhongguo Ji Sheng Chong Xue Yu Ji Sheng Chong Bing Za Zhi 29:1–3

Download references

Acknowledgments

This work was supported by a National Research Foundation of Korea Grant funded by the Korean Government (2009-0075103) and the Mid-Career Researcher Program through NRF grant funded by the MEST (No. 2011-0016401) of Korea and the Asia Pacific Malaria Elimination Network Establishment Support Programme (No. 107-02), the National S & T Major Programme (No. 2008ZX10004-011), and the National Natural Science Foundation of China (No. 30872214).

Author information

Affiliations

Authors

Corresponding author

Correspondence to Eun-Taek Han.

Additional information

Feng Lu and Qi Gao contributed equally to this work.

Rights and permissions

Reprints and Permissions

About this article

Cite this article

Lu, F., Gao, Q., Zhou, H. et al. Molecular test for vivax malaria with loop-mediated isothermal amplification method in central China. Parasitol Res 110, 2439–2444 (2012). https://doi.org/10.1007/s00436-011-2783-8

Download citation

  • Received:

  • Accepted:

  • Published:

  • Issue Date:

  • DOI: https://doi.org/10.1007/s00436-011-2783-8

Keywords

  • Malaria
  • Vivax Malaria
  • Lamp Assay
  • Babesia
  • Lamp Reaction