Skip to main content

Identification of proteins associated with lymph node metastasis of gastric cancer

Abstract

Purpose

The aim of this study was to identify proteins associated with gastric cancer lymph node metastasis and explore the clinicopathological significance of these proteins.

Methods

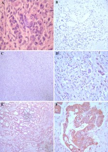
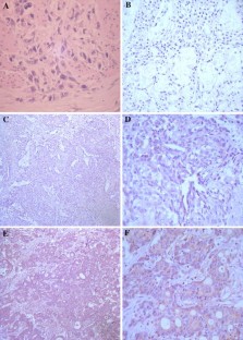
Gastric cancer tissues were obtained from 24 patients with high or low lymph node metastatic potential. Total cellular proteins were separated by two-dimensional gel electrophoresis (2-DE), analyzed by MALDI/TOF–TOF MS, and identified by a database search. Expression of 14-3-3β and profilin-1 was then immunohistochemically verified in paraffin-embedded gastric cancer tissues from 128 patients and analyzed by multivariate logistic regression models, Kaplan–Meier curves, and Cox proportional hazard models.

Results

A total of 26 differentially expressed proteins were identified, 20 of which were overexpressed and 6 of which were underexpressed. 14-3-3β and profilin-1 were upregulated in gastric cancer tissues with and without lymph node metastasis, respectively. Expression of 14-3-3β protein was associated, but profilin-1 expression was inversely associated with gastric cancer lymph node metastasis. Multivariate analysis showed that overexpression of 14-3-3β and reduced expression of profilin-1 were independent risk factors for gastric cancer lymph node metastasis, while 14-3-3β overexpression was an independent prognostic factor for gastric cancer patients.

Conclusions

The current study identified 26 differentially expressed proteins. Further studies showed that both 14-3-3β and profilin-1 protein may be useful biomarkers for prediction of gastric cancer lymph node metastasis and that expression of 14-3-3β was a prognostic marker for gastric cancer patients.

This is a preview of subscription content, access via your institution.

Fig. 1
Fig. 2
Fig. 3
Fig. 4

References

  • Abe N, Watanabe T, Suzuki K, Machida H, Toda H, Nakaya Y, Masaki T, Mori T, Sugiyama M, Atomi Y (2002) Risk factors predictive of lymph node metastasis in depressed early gastric cancer. Am J Surg 183:168–172

    PubMed  Article  Google Scholar 

  • American Cancer Society (2011) Global cancer facts & figures, 2nd edn. American Cancer Society Inc., Atlanta

  • Ayscough KR (1998) In vivo functions of actin-binding proteins. Curr Opin Cell Biol 10:102–111

    PubMed  Article  CAS  Google Scholar 

  • Chen XQ, Chen JG, Zhang Y, Hsiao WW, Yu AC (2003) l4-3-3 gamma is up regulated by in vitro ischemia and binds to protein kinase Raf in primary cultures of astrocytes. Glia 42:315–324

    PubMed  Article  CAS  Google Scholar 

  • Deng J, Liang H, Sun D, Zhang RP, Zhan HJ, Wang XN (2008) Prognosis of gastric cancer patients with node-negative metastasis following curative resection: outcomes of the survival and recurrence. Can J Gastroenterol 22:838–839

    Google Scholar 

  • Fu H, Subramanian RR, Masters SC (2000) 14-3-3 proteins structure, function, and regulation. Annu Rev Pharmacol Toxicol 40:617–647

    PubMed  Article  CAS  Google Scholar 

  • Gotoda T, Sasako M, Ono H, Katai H, Sano T, Shimoda T (2001) Evaluation of the necessity for gastrectomy with lymph node dissection for patients with submucosal invasive gastric cancer. Br J Surg 88:444–449

    PubMed  Article  CAS  Google Scholar 

  • Hamilton SR, Aaltonen LA (eds) (2001) World Health Organization classification of tumours. Pathology and genetics. Tumours of the digestive system. IARC Press, Lyon

    Google Scholar 

  • Janke J, Schlüter K, Jandrig B, Theile M, Kölble K, Arnold W, Grinstein E, Schwartz A, Estevéz-Schwarz L, Schlag PM, Jockusch BM, Scherneck S (2000) Suppression of tumorigenicity in breast cancer cells by the microfilament protein profilin 1. J Exp Med 191:1675–1686

    PubMed  Article  CAS  PubMed Central  Google Scholar 

  • Kunisaki C, Akiyama H, Nomura M, Matsuda G, Otsuka Y, Ono H, Nagahori Y, Hosoi H, Takahashi M, Kito F, Shimada H (2006) Comparison of surgical results of D2 versus D3 gastrectomy (para-aortic lymph node dissection) for advanced gastric carcinoma: a multi-institutional study. Ann Surg Oncol 13:659–667

    PubMed  Article  Google Scholar 

  • Mhawech P (2005) 14-3-3 proteins—an update. Cell Res 15:228–236

    PubMed  Article  CAS  Google Scholar 

  • Muslin AJ, Xing H (2000) 14-3-3 proteins: regulation of subcellular localization by molecular interference. Cell Signal 12:703–709

    PubMed  Article  CAS  Google Scholar 

  • Park SG, Jung S, Ryu HH, Jung TY, Moon KS, Kim IY, Jeong YI, Pei J, Park SJ, Kang SS (2012) Role of 14-3-3-beta in the migration and invasion in human malignant glioma cell line U87MG. Neurol Res 34:893–900

    PubMed  Article  CAS  Google Scholar 

  • Puius YA, Mahoney NM, Almo SC (1998) The modular structure of actin-regulatory proteins. Curr Opin Cell Biol 10:23–34

    PubMed  Article  CAS  Google Scholar 

  • Qi W, Liu X, Qiao D, Martinez JD (2005) Isoform-specific expression of 14-3-3 proteins in human lung cancer tissues. Int J Cancer 113:359–363

    PubMed  Article  CAS  Google Scholar 

  • Roy P, Jacobson K (2004) Overexpression of profilin reduces the migration of invasive breast cancer cells. Cell Motil Cytoskeleton 57:84–95

    PubMed  Article  CAS  Google Scholar 

  • Schlüter K, Jockusch BM, Rothkegel M (1997) Profilins as regulators of actin dynamics. Biochim Biophys Acta 1359:97–109

    PubMed  Article  Google Scholar 

  • Sobin LH, Wittekind CH (eds) (2002) International Union against cancer. TNM classification of malignant tumors, 6th ed. Wiley-Liss, New York, pp 65–68

  • Somanath PR, Byzova TV (2009) 14-3-3-Rac1-p21 activated kinase signaling regulates Akt1-mediated cytoskeletal organization, lamellipodia formation and fibronectin matrix assembly. J Cell Phys 218:394–404

    Article  CAS  Google Scholar 

  • Sugiyama A, Miyagi Y, Komiya Y, Kurabe N, Kitanaka C, Kato N, Nagashima Y, Kuchino Y, Tashiro F (2003) Forced expression of antisense 14-3-3β RNA suppresses tumor cell growth in vitro and in vivo. Carcinogenesis 24:1549–1559

    PubMed  Article  CAS  Google Scholar 

  • Tseng CW, Yang JC, Chen CN, Huang HC, Chuang KN, Lin CC, Lai HS, Lee PH, Chang KJ, Juan HF (2011) Identification of 14-3-3β in human gastric cancer cells and its potency as a diagnostic and prognostic biomarker. Proteomics 11:2423–2439

    PubMed  Article  CAS  Google Scholar 

  • Tzivion G, Shen YH, Zhu J (2001) 14-3-3 proteins; bringing new definitions to scaffolding. Oncogene 20:6331–6338

    PubMed  Article  CAS  Google Scholar 

  • Wenhua Z, Fanghai H (2008) Surgical therapy of gastric cancer in China. J Pract Oncol 23:91–93

    Google Scholar 

  • Wittenmayer N, Jandrig B, Rothkegel M, Schlüter K, Arnold W, Haensch W, Scherneck S, Jockusch BM (2004) Tumor suppressor activity of profilin requires a functional actin binding site. Mol Biol Cell 15:1600–1608

    PubMed  Article  CAS  PubMed Central  Google Scholar 

  • Yamato T, Shirao K, Ono H, Kondo H, Saito D, Yamaguchi H, Sasako M, Sano T, Ochiai A, Yoshida S (1996) Risk factors for lymph node metastasis from intramucosal gastric carcinoma. Cancer 77:602–606

    Article  Google Scholar 

Download references

Acknowledgments

This work was supported in part by a grant from the Major Program of Heilongjiang Natural Science Funds, Harbin, Heilongjiang, China (#ZD201019).

Author information

Affiliations

Authors

Corresponding author

Correspondence to Ying-Wei Xue.

Rights and permissions

Reprints and Permissions

About this article

Verify currency and authenticity via CrossMark

Cite this article

Ma, Y., Li, YF., Wang, T. et al. Identification of proteins associated with lymph node metastasis of gastric cancer. J Cancer Res Clin Oncol 140, 1739–1749 (2014). https://doi.org/10.1007/s00432-014-1679-2

Download citation

  • Received:

  • Accepted:

  • Published:

  • Issue Date:

  • DOI: https://doi.org/10.1007/s00432-014-1679-2

Keywords

  • Gastric cancer
  • Lymph node metastasis
  • Proteomics
  • 14-3-3β
  • Profilin-1
  • Biomarker