Skip to main content

Aberrant expression of intelectin-1 in gastric cancer: its relationship with clinicopathological features and prognosis

Abstract

Purposes

Human intelectin-1 (ITLN-1) is a novel identified galactose-binding lectin that is expressed in the colonic goblet cells. Since gastric adenocarcinomas can arise through a process of intestinalization, we speculate that ITLN-1 may be aberrantly expressed in gastric cancer. This study was undertaken to examine the ITLN-1 expression in gastric cancer and correlate it with clinical outcomes.

Methods

One hundred and ninety-six gastric cancer patients were evaluated for the ITLN-1 expression by immunohistochemistry. The ITLN-1 transcripts were measured by real-time quantitative PCR.

Results

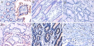
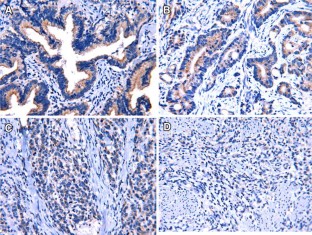
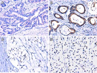
ITLN-1 expression was absent in normal gastric mucosa, whereas areas of intestinal metaplasia revealed ITLN-1 immunoreactivity. One hundred and forty-two gastric cancer patients (72.4%) were positive for ITLN-1 expression. In a subtotal of 20 patients, ITLN-1 transcripts were significantly enhanced in gastric cancer tissues than in normal gastric mucosa (P < 0.001). The expression rate of ITLN-1 was higher in intestinal-type carcinomas than in diffuse-type carcinomas (P = 0.003). ITLN-1 positivity in gastric cancer was positively correlated with tumor differentiation (P = 0.001) and CDX2 expression (P < 0.001), and inversely correlated with depth of invasion (P = 0.007), lymph node metastasis (P = 0.001), distant metastasis (P = 0.014), clinical stage (P = 0.006), Ki-67 expression (P = 0.001), and heparanase expression (P < 0.001), without correlation with age, gender, tumor location, or tumor size. In univariate and multivariate analyses, ITLN-1 was an independent prognostic factor for longer survival of gastric cancer patients (P = 0.001).

Conclusion

The aberrant ITLN-1 expression in gastric cancer is correlated with clinicopathological features and may be a useful prognostic factor for predicting the outcomes of gastric cancer patients.

This is a preview of subscription content, access via your institution.

Fig. 1
Fig. 2
Fig. 3
Fig. 4
Fig. 5
Fig. 6

References

  • Boudreau F, Rings EH, van Wering HM, Kim RK, Swain GP, Krasinski SD, Moffett J, Grand RJ, Suh ER, Traber PG (2002) Hepatocyte nuclear factor-1 alpha, GATA-4, and caudal related homeodomain protein Cdx2 interact functionally to modulate intestinal gene transcription. Implication for the developmental regulation of the sucrase-isomaltase gene. J Biol Chem 277(35):31909–31917. doi:10.1074/jbc.M204622200

    PubMed  Article  CAS  Google Scholar 

  • Carolan BJ, Harvey BG, De BP, Vanni H, Crystal RG (2008) Decreased expression of intelectin 1 in the human airway epithelium of smokers compared to nonsmokers. J Immunol 181(8):5760–5767

    PubMed  CAS  Google Scholar 

  • Cassaro M, Rugge M, Gutierrez O, Leandro G, Graham DY, Genta RM (2000) Topographic patterns of intestinal metaplasia and gastric cancer. Am J Gastroenterol 95(6):1431–1438. doi:10.1111/j.1572-0241.2000.02074.x

    PubMed  Article  CAS  Google Scholar 

  • Cecilia MFP, Noffsinger AE, Stemmermann GN, Lantz PE, Isaacson PG (2008) The neoplastic stomach. Gastrointestinal pathology: An atlas and text. Lippincott Williams & Wilkins, Philadelphia, pp 254–255

    Google Scholar 

  • Datta R, de Schoolmeester ML, Hedeler C, Paton NW, Brass AM, Else KJ (2005) Identification of novel genes in intestinal tissue that are regulated after infection with an intestinal nematode parasite. Infect Immun 73(7):4025–4033. doi:10.1128/IAI.73.7.4025-4033.2005

    PubMed  Article  CAS  Google Scholar 

  • de Manzoni G, Verlato G, Tomezzoli A, Guglielmi A, Pelosi G, Ricci F, Di Leo A, Cordiano C (1998) Study on Ki-67 immunoreactivity as a prognostic indicator in patients with advanced gastric cancer. Jpn J Clin Oncol 28(9):534–537. doi:10.1093/jjco/28.9.534

    PubMed  Article  Google Scholar 

  • Drummond F, Sowden J, Morrison K, Edwards YH (1996) The caudal-type homeobox protein Cdx-2 binds to the colon promoter of the carbonic anhydrase 1 gene. Eur J Biochem 236(2):670–681. doi:10.1111/j.1432-1033.1996.t01-1-00670.x

    PubMed  Article  CAS  Google Scholar 

  • Eda A, Osawa H, Yanaka I, Satoh K, Mutoh H, Kihira K, Sugano K (2002) Expression of homeobox gene CDX2 precedes that of CDX1 during the progression of intestinal metaplasia. J Gastroenterol 37(2):94–100. doi:10.1007/s005350200002

    PubMed  Article  CAS  Google Scholar 

  • Fenoglio-Preiser C, Carneiro F, Correa P, Guilford P, Lambert R, Megraud F, Muñoz N, Powell SM, Rugge M, Sasako M, Stolte M, Watanabe H (2000) WHO histological classification of gastric tumours. In: Hamilton SRAL (ed) World health organization classification of tumors. Pathology and genetics of tumors of the digestive system. IARC press, Lyon, p 38

    Google Scholar 

  • French AT, Knight PA, Smith WD, Brown JK, Craig NM, Pate JA, Miller HR, Pemberton AD (2008) Up-regulation of intelectin in sheep after infection with Teladorsagia circumcincta. Int J Parasitol 38(3–4):467–475. doi:10.1016/j.ijpara.2007.08.015

    PubMed  Article  CAS  Google Scholar 

  • Jackson C, Cunningham D, Oliveira J, ESMO Guidelines Working Group (2009) Gastric cancer: ESMO clinical recommendations for diagnosis, treatment and follow-up. Ann Oncol 20(Suppl 4): 34–36. doi:10.1093/annonc/mdp122

    Google Scholar 

  • Katoh M (2003) Trefoil factors and human gastric cancer (review). Int J Mol Med 12(1):3–9

    PubMed  CAS  Google Scholar 

  • Kikuyama S, Kubota T, Shimizu K, Miyakita M (1998) Ki-67 antigen expression in relation to clinicopathological variables and prognosis in gastric cancer. Oncol Rep 5(4):867–870

    PubMed  CAS  Google Scholar 

  • Kirikoshi H, Katoh M (2002) Expression of TFF1, TFF2 and TFF3 in gastric cancer. Int J Oncol 21(3):655–659. doi:10.1016/j.ejphar.2009.03.067

    PubMed  CAS  Google Scholar 

  • Kuperman DA, Lewis CC, Woodruff PG, Rodriguez MW, Yang YH, Dolganov GM, Fahy JV, Erle DJ (2005) Dissecting asthma using focused transgenic modeling and functional genomics. J Allergy Clin Immunol 116(2):305–311. doi:10.1016/j.jaci.2005.03.024

    PubMed  Article  CAS  Google Scholar 

  • Lauren P (1965) The two histological main types of gastric carcinoma: diffuse and so-called intestinal-type carcinoma. An attempt at a histo-clinical classification. Acta Pathol Microbiol Scand 64:31–49

    PubMed  CAS  Google Scholar 

  • Lee JK, Schnee J, Pang M, Wolfert M, Baum LG, Moremen KW, Pierce M (2001) Human homologs of the Xenopus oocyte cortical granule lectin XL35. Glycobiology 11(1):65–73. doi:10.1093/glycob/11.1.65

    PubMed  Article  CAS  Google Scholar 

  • Lee HW, Yang DH, Kim HK, Lee BH, Choi KC, Choi YH, Park YE (2007) Expression of MUC2 in gastric carcinomas and background mucosae. J Gastroenterol Hepatol 22(8):1336–1343. doi:10.1111/j.1440-1746.2007.04939.x

    PubMed  Article  CAS  Google Scholar 

  • McKenzie EA (2007) Heparanase: a target for drug discovery in cancer and inflammation. Br J Pharmacol 151(1):1–14. doi:10.1038/sj.bjp.0707182

    PubMed  Article  CAS  Google Scholar 

  • Mogal AP, van der Meer R, Crooke PS, Abdulkadir SA (2007) Haploinsufficient prostate tumor suppression by Nkx3.1: a role for chromatin accessibility in dosage-sensitive gene regulation. J Biol Chem 282(35):25790–25800. doi:10.1074/jbc.M702438200

    PubMed  Article  CAS  Google Scholar 

  • Park DY, Srivastava A, Kim GH, Mino-Kenudson M, Deshpande V, Zukerberg LR, Song GA, Lauwers GY (2009) CDX2 expression in the intestinal-type gastric epithelial neoplasia: frequency and significance. Mod Pathol 23(1):54–61. doi:10.1038/modpathol.2009.135

    Article  Google Scholar 

  • Pemberton AD, Knight PA, Gamble J, Colledge WH, Lee JK, Pierce M, Miller HR (2004a) Innate BALB/c enteric epithelial responses to Trichinella spiralis: inducible expression of a novel goblet cell lectin, intelectin-2, and its natural deletion in C57BL/10 mice. J Immunol 173(3):1894–1901

    PubMed  CAS  Google Scholar 

  • Pemberton AD, Knight PA, Wright SH, Miller HR (2004b) Proteomic analysis of mouse jejunal epithelium and its response to infection with the intestinal nematode, Trichinella spiralis. Proteomics 4(4):1101–1108. doi:10.1002/pmic.200300658

    PubMed  Article  CAS  Google Scholar 

  • Pinto-de-Sousa J, David L, Reis CA, Gomes R, Silva L, Pimenta A (2002) Mucins MUC1, MUC2, MUC5AC and MUC6 expression in the evaluation of differentiation and clinico-biological behaviour of gastric carcinoma. Virchows Arch 440(3):304–310. doi:10.1007/s00428-001-0548-y

    PubMed  Article  CAS  Google Scholar 

  • Schäffler A, Neumeier M, Herfarth H, Fürst A, Schölmerich J, Büchler C (2005) Genomic structure of human omentin, a new adipocytokine expressed in omental adipose tissue. Biochim Biophys Acta 1732(1–3):96–102. doi:10.1016/j.bbaexp.2005.11.005

    PubMed  Google Scholar 

  • Shah MA, Kelsen DP (2010) Gastric cancer: a primer on the epidemiology and biology of the disease and an overview of the medical management of advanced disease. J Natl Compr Canc Netw 8(4):437–447

    PubMed  CAS  Google Scholar 

  • Sobin LH, Wittekind CH (1997) TNM classification of malignant tumors, 5th edn. Wiley-Liss, New York, pp 59–62

    Google Scholar 

  • Takaoka M, Naomoto Y, Ohkawa T, Uetsuka H, Shirakawa Y, Uno F, Fujiwara T, Gunduz M, Nagatsuka H, Nakajima M, Tanaka N, Haisa M (2003) Heparanase expression correlates with invasion and poor prognosis in gastric cancers. Lab Invest 83(5):613–622. doi:10.1097/01.LAB.0000067482.84946.BD

    PubMed  CAS  Google Scholar 

  • Tsuji S, Uehori J, Matsumoto M, Suzuki Y, Matsuhisa A, Toyoshima K, Seya T (2001) Human intelectin is a novel soluble lectin that recognizes galactofuranose in carbohydrate chains of bacterial cell wall. J Biol Chem 276(26):23456–23463. doi:10.1074/jbc.M103162200

    PubMed  Article  CAS  Google Scholar 

  • Tsuji S, Tsuura Y, Morohoshi T, Shinohara T, Oshita F, Yamada K, Kameda Y, Ohtsu T, Nakamura Y, Miyagi Y (2010) Secretion of intelectin-1 from malignant pleural mesothelioma into pleural effusion. Br J Cancer 103(4):517–523. doi:10.1038/sj.bjc.6605786

    PubMed  Article  CAS  Google Scholar 

  • Wali A, Morin PJ, Hough CD, Lonardo F, Seya T, Carbone M, Pass HI (2005) Identification of intelectin overexpression in malignant pleural mesothelioma by serial analysis of gene expression (SAGE). Lung Cancer 48(1):19–29. doi:10.1016/j.lungcan.2004.10.011

    PubMed  Article  Google Scholar 

  • Wang Z, Xu H, Jiang L, Zhou X, Lu C, Zhang X (2004) Positive association of heparanase expression with tumor invasion and lymphatic metastasis in gastric carcinoma. Model Pathol 18(2):205–211. doi:10.1038/modpathol.3800282

    Article  Google Scholar 

  • Xin S, Huixin C, Benchang S, Aiping B, Jinhui W, Xiaoyan L, Yu WB, Minhu C (2007) Expression of Cdx2 and claudin-2 in the multistage tissue of gastric carcinogenesis. Oncology 73(5–6):357–365. doi:10.1159/000135351

    PubMed  Article  Google Scholar 

  • Yamamoto H, Bai YQ, Yuasa Y (2003) Homeodomain protein CDX2 regulates goblet-specific MUC2 gene expression. Biochem Biophys Res Commun 300(4):813–818. doi:10.1016/S0006-291X(02)02935-2

    PubMed  Article  CAS  Google Scholar 

  • Zheng L, Weng M, He J, Yang X, Jiang G, Tong Q (2010) Expression of resistin-like molecule beta in gastric cancer: its relationship with clinicopathological parameters and prognosis. Virchows Arch 456(1):53–63. doi:10.1007/s00428-009-0861-4

    PubMed  Article  CAS  Google Scholar 

Download references

Acknowledgments

This work was supported by the National Natural Science Foundation of China (No. 30200284, No. 30600278, No. 30772359, No. 81071997, No. 81072073), Program for New Century Excellent Talents in University (NCET-06-0641), Scientific Research Foundation for the Returned Overseas Chinese Scholars (2008-889), and Fundamental Research Funds for the Central Universities (2010JC025).

Conflict of interest

All the authors indicated no potential conflicts of interest.

Author information

Affiliations

Authors

Corresponding author

Correspondence to Qiangsong Tong.

Rights and permissions

Reprints and Permissions

About this article

Cite this article

Zheng, L., Weng, M., Qi, M. et al. Aberrant expression of intelectin-1 in gastric cancer: its relationship with clinicopathological features and prognosis. J Cancer Res Clin Oncol 138, 163–172 (2012). https://doi.org/10.1007/s00432-011-1088-8

Download citation

  • Received:

  • Accepted:

  • Published:

  • Issue Date:

  • DOI: https://doi.org/10.1007/s00432-011-1088-8

Keywords

  • Intelectin-1
  • Gastric cancer
  • Gene expression
  • Prognosis