Skip to main content

The microRNA-processing enzymes: Drosha and Dicer can predict prognosis of nasopharyngeal carcinoma

Abstract

Purpose

Dysregulation of microRNA (miRNA) metabolism has been observed in a variety of human cancers, but the expression patterns of the enzymes responsible for generating miRNAs remain largely unexplored. In this study, we investigated the expression profiles of the two most important enzymes of the miRNA machinery, Drosha and Dicer, which were closely correlated with nasopharyngeal carcinoma (NPC) and patient survival.

Methods

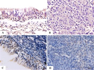
Dicer and Drosha mRNA levels were detected by quantitative real-time reverse transcriptase polymerase chain reaction (qRT-PCR) using 24 NPC tissues, 7 normal nasopharyngeal epithelium samples (NPE) and NPC cell lines. In addition, protein levels were detected by immunohistochemistry (IHC) using an NPC tissue microarray (TMA), which include 251 NPC and 105 NPE cases. For some NPC patients can not be contacted, the survival data were available only for 146 patients. Kaplan–Meier analysis was performed, and the chi-square and log-rank tests were used to detect significance levels using SPSS 15.0 software.

Results

The mean level of Dicer and Drosha mRNA were significantly down-regulated in NPC tissue specimens and cell lines when compared with controls. The low levels of Dicer and Drosha protein were frequently seen in NPC, and the low expression of Dicer and Drosha protein was significantly correlated with shorter progression-free survival (PFS) and overall survival (OS) of NPC patients.

Conclusions

We observed that Drosha and Dicer expression was dysregulation in NPC compared with healthy control samples and was significantly correlated with shorter PFS and OS of NPC patients. Therefore, we hypothesise that the expression levels of Dicer and Drosha could be used as potential prognostic biomarkers for NPC.

This is a preview of subscription content, access via your institution.

Fig. 1
Fig. 2
Fig. 3

References

  • Bernstein E, Kim SY, Carmell MA et al (2003) Dicer is essential for mouse development. Nat Genet 35(3):215–217

    PubMed  Article  CAS  Google Scholar 

  • Bushati N, Cohen SM (2007) microRNA functions. Annu Rev Cell Dev Biol 23:175–205

    PubMed  Article  CAS  Google Scholar 

  • Chen HC, Chen GH, Chen YH et al (2009) MicroRNA deregulation and pathway alterations in nasopharyngeal carcinoma. Br J Cancer 100(6):1002–1011

    PubMed  Article  CAS  Google Scholar 

  • Chiosea S, Jelezcova E, Chandran U et al (2006) Up-regulation of dicer, a component of the MicroRNA machinery, in prostate adenocarcinoma. Am J Pathol 169(5):1812–1820

    PubMed  Article  CAS  Google Scholar 

  • Chiosea SI, Barnes EL, Lai SY et al (2008) Mucoepidermoid carcinoma of upper aerodigestive tract: clinicopathologic study of 78 cases with immunohistochemical analysis of Dicer expression. Virchows Arch 452(6):629–635

    PubMed  Article  CAS  Google Scholar 

  • Cobb BS, Hertweck A, Smith J et al (2006) A role for Dicer in immune regulation. J Exp Med 203(11):2519–2527

    PubMed  Article  CAS  Google Scholar 

  • Dedes KJ, Natrajan R, Lambros MB et al (2011) Down-regulation of the miRNA master regulators Drosha and Dicer is associated with specific subgroups of breast cancer. Eur J Cancer 47(1):138–150

    PubMed  Article  CAS  Google Scholar 

  • Esquela-Kerscher A, Slack FJ (2006) Oncomirs—microRNAs with a role in cancer. Nat Rev Cancer 6(4):259–269

    PubMed  Article  CAS  Google Scholar 

  • Faber C, Horst D, Hlubek F, Kirchner T (2011) Overexpression of Dicer predicts poor survival in colorectal cancer. Eur J Cancer 47(9):1414–1419

    PubMed  Article  CAS  Google Scholar 

  • Gaur A, Jewell DA, Liang Y et al (2007) Characterization of microRNA expression levels and their biological correlates in human cancer cell lines. Cancer Res 67(6):2456–2468

    PubMed  Article  CAS  Google Scholar 

  • Grelier G, Voirin N, Ay AS et al (2009) Prognostic value of Dicer expression in human breast cancers and association with the mesenchymal phenotype. Br J Cancer 101(4):673–683

    PubMed  Article  CAS  Google Scholar 

  • Iida A, Shinoe T, Baba Y, Mano H, Watanabe S (2011) Dicer plays essential roles for retinal development by regulation of survival and differentiation. Invest Ophthalmol Vis Sci 52(6):3008–3017

    PubMed  Article  CAS  Google Scholar 

  • Kida Y, Han YP (2008) MicroRNA expression in colon adenocarcinoma. JAMA 299(22):2628 author reply 2628-2629

    PubMed  Article  CAS  Google Scholar 

  • Kobayashi T, Lu J, Cobb BS et al (2008) Dicer-dependent pathways regulate chondrocyte proliferation and differentiation. Proc Natl Acad Sci USA 105(6):1949–1954

    PubMed  Article  CAS  Google Scholar 

  • Kumar MS, Lu J, Mercer KL, Golub TR, Jacks T (2007) Impaired microRNA processing enhances cellular transformation and tumorigenesis. Nat Genet 39(5):673–677

    PubMed  Article  CAS  Google Scholar 

  • Lee Y, Ahn C, Han J et al (2003) The nuclear RNase III Drosha initiates microRNA processing. Nature 425(6956):415–419

    PubMed  Article  CAS  Google Scholar 

  • Lin RJ, Lin YC, Chen J et al (2010) microRNA signature and expression of Dicer and Drosha can predict prognosis and delineate risk groups in neuroblastoma. Cancer Res 70(20):7841–7850

    PubMed  Article  CAS  Google Scholar 

  • Lu J, Getz G, Miska EA et al (2005) MicroRNA expression profiles classify human cancers. Nature 435(7043):834–838

    PubMed  Article  CAS  Google Scholar 

  • Macrae IJ, Zhou K, Li F et al (2006) Structural basis for double-stranded RNA processing by Dicer. Science 311(5758):195–198

    PubMed  Article  CAS  Google Scholar 

  • Merritt WM, Lin YG, Han LY et al (2008) Dicer, Drosha, and outcomes in patients with ovarian cancer. N Engl J Med 359(25):2641–2650

    PubMed  Article  CAS  Google Scholar 

  • Murakami Y, Yasuda T, Saigo K et al (2006) Comprehensive analysis of microRNA expression patterns in hepatocellular carcinoma and non-tumorous tissues. Oncogene 25(17):2537–2545

    PubMed  Article  CAS  Google Scholar 

  • Schetter AJ, Leung SY, Sohn JJ et al (2008) MicroRNA expression profiles associated with prognosis and therapeutic outcome in colon adenocarcinoma. JAMA 299(4):425–436

    PubMed  Article  CAS  Google Scholar 

  • Sengupta S, den Boon JA, Chen IH et al (2008) MicroRNA 29c is down-regulated in nasopharyngeal carcinomas, up-regulating mRNAs encoding extracellular matrix proteins. Proc Natl Acad Sci USA 105(15):5874–5878

    PubMed  Article  CAS  Google Scholar 

  • Yu SL, Chen HY, Chang GC et al (2008) MicroRNA signature predicts survival and relapse in lung cancer. Cancer Cell 13(1):48–57

    PubMed  Article  CAS  Google Scholar 

  • Zhang W, Zeng Z, Zhou Y et al (2009) Identification of aberrant cell cycle regulation in Epstein-Barr virus-associated nasopharyngeal carcinoma by cDNA microarray and gene set enrichment analysis. Acta Biochim Biophys Sin (Shanghai) 41(5):414–428

    Article  CAS  Google Scholar 

  • Zhang L, Deng T, Li X et al (2010) microRNA-141 is involved in a nasopharyngeal carcinoma-related genes network. Carcinogenesis 31(4):559–566

    PubMed  Article  CAS  Google Scholar 

Download references

Acknowledgments

We are grateful to the Ear, Nose and Throat (ENT) Department at Xiangya Hospital for providing NPC samples. Guiyuan Li has received the 111 project (111-2-12) research grants. Wenling Zhang has received the National Science Foundation of China (81071644). Wei Xiong has received the Program for New Century Excellent Talents in University (NCET-08-0562).

Conflict of interest

We declare that we have no financial and personal relationships with other people or organisations that can inappropriately influence our work, there is no professional or other personal interest of any nature or kind in any product, service and/or company that could be construed as influencing the manuscript entitled “The microRNA-Processing Enzymes Drosha and Dicer can Predict Prognosis of Nasopharyngeal Carcinoma”.

Author information

Affiliations

Authors

Corresponding authors

Correspondence to Wenling Zhang or Guiyuan Li.

Additional information

Xiaofang Guo and Qianjin Liao contributed equally to this work.

Rights and permissions

Reprints and Permissions

About this article

Cite this article

Guo, X., Liao, Q., Chen, P. et al. The microRNA-processing enzymes: Drosha and Dicer can predict prognosis of nasopharyngeal carcinoma. J Cancer Res Clin Oncol 138, 49–56 (2012). https://doi.org/10.1007/s00432-011-1058-1

Download citation

  • Received:

  • Accepted:

  • Published:

  • Issue Date:

  • DOI: https://doi.org/10.1007/s00432-011-1058-1

Keywords

  • Dicer
  • Drosha
  • Nasopharyngeal carcinoma
  • Progression-free survival
  • Overall survival