Skip to main content

Overexpression of osteopontin and integrin αv in laryngeal and hypopharyngeal carcinomas associated with differentiation and metastasis

Abstract

Purpose

Osteopontin (OPN) is a secreted phosphoprotein, which functions as a cell attachment protein and cytokine that signals through two cell adhesion molecules, integrin αvβ3 and CD44, to regulate cancer growth and metastasis. The aim of this study was to investigate the expression of OPN and integrin αv (ITGAV, main receptor of the OPN) in laryngeal and hypopharyngeal squamous cell carcinoma (LHSCC) and correlate the expression quantity with tumor biological behavior.

Methods

We have made a tissue microarray of LHSCC and detected the OPN and ITGAV expression by immunohistochemistry in the microarray. The expression quantity of OPN and ITGAV was determined by a professional pathological image processing software (Image-Pro plus 5.02), and the clinical significances of the expression quantity in LHSCC were analyzed.

Results

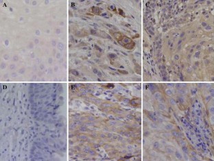
The expression quantity of OPN and ITGAV in primary and metastatic carcinomas is significantly higher than in normal tissues. The expression of OPN and ITGAV in the well-differentiated group is significantly lower than in moderately and poorly differentiated group; the expression quantity of OPN and ITGAV in group with lymph node metastasis is significantly higher than in group without lymph node metastasis.

Conclusions

The expression of OPN and ITGAV was significantly influenced to the differentiation and metastasis of the LHSCC. Overexpression of the OPN and ITGAV may have contributed to invasion and metastasis of the LHSCC, and therefore, OPN and ITGAV may have value as a target for chemotherapy in LHSCC treatment.

This is a preview of subscription content, access via your institution.

Fig. 1

References

  • Agrawal D, Chen T, Irby R, Quackenbush J, Chambers AF, Szabo M, Coppola D, Yeatman TJ (2002) Osteopontin identified as lead marker of colon cancer progression, using pooled sample expression profiling. J Natl Cancer Inst 94:513–521

    PubMed  CAS  Google Scholar 

  • Celetti A, Testa D, Staibano S, Merolla F, Guarino V, Castellone MD, Iovine R, Mansueto G, Somma P, De Rosa G, Galli V, Melillo RM, Santoro M (2005) Overexpression of the cytokine osteopontin identifies aggressive laryngeal squamous cell carcinomas and enhances carcinoma cell proliferation and evasiveness. Clin Cancer Res 11(22):8019–8027

    PubMed  Article  CAS  Google Scholar 

  • Chambers AF, Wilson SM, Kerkvliet N, O’Malley FP, Harris JF, Casson AG (1996) Osteopontin expression in lung cancers. Lung Cancer 15:311–323

    PubMed  Article  CAS  Google Scholar 

  • Coppola D, Szabo M, Boulware D (2004) Correlation of osteopontin protein expression and pathological stage across a wide variety of tumor histologies. Clin Cancer Res 10:184–190

    PubMed  Article  CAS  Google Scholar 

  • Denhardt DT, Giachelli CM, Rittling SR (2001) Role of osteopontin in cellular signaling and toxicant injury. Annu Rev Pharmacol Toxicol 41:723–749

    PubMed  Article  CAS  Google Scholar 

  • Furger KA, Menon RK, Tuck AB, Bramwell VH, Chambers AF (2001) The functional and clinical roles of osteopontin in cancer and metastasis. Curr Mol Med 1:621–632

    PubMed  Article  CAS  Google Scholar 

  • Hruska KA, Rolnick F, Huskey M, Alvarez U, Cheresh D (1995) Engagement of the osteoclast integrin αvβ3 by osteopontin stimulates phosphatidylinositol 3-hydroxyl kinase activity. Endocrinology 136:2984–2992

    PubMed  Article  CAS  Google Scholar 

  • Hu DD, Lin EC, Kovach NL, Hoyer JR, Smith JW (1995) A biochemical characterization of the binding of osteopontin to integrins αvβ1 and αvβ5. J Biol Chem 270:26232–26238

    PubMed  Article  CAS  Google Scholar 

  • Katagiri YU, Sleeman J, Fujii H, Herrlich P, Hotta H, Tanaka K, Chikuma S, Yagita H, Okumura K, Murakami M, Saiki I, Chambers AF, Uede T (1999) CD44 variants but not CD44s cooperate with beta1-containing integrins to permit cells to bind to osteopontin independently of arginine-glycine-aspartic acid, thereby stimulating cell motility and chemotaxis. Cancer Res 59:219–226

    PubMed  CAS  Google Scholar 

  • Kon S, Yokosaki Y, Maeda M, Segawa T, Horikoshi Y, Tsukagoshi H, Rashid MM, Morimoto J, Inobe M, Shijubo N, Chambers AF, Uede T (2002) Mapping of functional epitopes of osteopontin by monoclonal antibodies raised against defined internal sequences. J Cell Biochem 84:420–432

    PubMed  Article  Google Scholar 

  • Kumar CC (1998) Signaling by integrin receptors. Oncogene 17:1365–1373

    PubMed  Article  CAS  Google Scholar 

  • Licitra L, Bernier J, Grandi C (2003) Cancer of the larynx. Crit Rev Oncol Hematol l47:65–80

    Article  Google Scholar 

  • Medico E, Gentile A, Lo CC, Williams TA, Gambarotta G, Trusolino L, Comoglio PM (2001) Osteopontin is an autocrine mediator of hepatocyte growth factor-induced invasive growth. Cancer Res 61:5861–5868

    PubMed  CAS  Google Scholar 

  • Oates AJ, Barraclough R, Rudland PS (1997) The role of osteopontin in tumorigenesis and metastasis. Invasion Metastasis 17:1–15

    PubMed  CAS  Google Scholar 

  • Rosai J, Carcangiu ML, DeLellis RA (1992) Atlas of tumor pathology—tumors of the larynx, 3rd series. Armed Force Institute of Pathology, Washington

    Google Scholar 

  • Ruoslahti E (1991) Integrins. J Clin Invest 87:1–5

    PubMed  Article  CAS  Google Scholar 

  • Senger DR, Ledbetter SR, Claffey KP, Papadopoulos-Sergiou A, Perruzzi CA, Detmar M (1996) Stimulation of endothelial cell migration by vascular permeability factor/vascular endothelial growth factor through cooperative mechanisms involving the ß3 integrin, osteopontin, and thrombin. Am J Pathol 149:293–305

    PubMed  CAS  Google Scholar 

  • Thalmann GN, Sikes RA, Devoll RE, Kiefer JA, Markwalder R, Klima I (1999) Osteopontin: possible role in prostate cancer progression. Clin Cancer Res 5:2271–2277

    PubMed  CAS  Google Scholar 

  • Tuck AB, Chambers AF (2001) The role of osteopontin in breast cancer: clinical and experimental studies. J Mamm Gland Biol Neoplasia 6:419–429

    Article  CAS  Google Scholar 

  • Tuck AB, Malley FP, Singhal H, Tonkin KS, Harris JF, Bautista D (1997) Osteopontin and p53 expression are associated with tumor progression in a case of synchronous, bilateral, invasive mammary carcinomas. Arch Pathol Lab Med 121:578–584

    PubMed  CAS  Google Scholar 

  • Tuck AB, Elliott BE, Hota C, Tremblay E, Chambers AF (2000) Osteopontin-induced, integrin-dependent migration of human mammary epithelial cells involves activation of the hepatocyte growth factor receptor (Met). J Cell Biochem 78:465–475

    PubMed  Article  CAS  Google Scholar 

  • Varner JA, Cheresh DA (1996) Integrins and cancer. Curr Opin Cell Biol 8(5):724–730

    PubMed  Article  CAS  Google Scholar 

  • Weber GF (2001) The metastasis gene osteopontin: a candidate target for cancer therapy. Biochim Biophys Acta 1552:61–85

    PubMed  CAS  Google Scholar 

  • Wong NC, Mueller BM, Barbas CF, Ruminski P, Quaranta V, Lin EC, Smith JW (1998) αv integrins mediate adhesion and migration of breast carcinoma cell lines. Clin Exp Metastasis 16:50–61

    PubMed  Article  CAS  Google Scholar 

  • Yokosaki Y, Matsuura N, Sasaki T, Murakami I, Schneider H, Higashiyama S, Saitoh Y, Yamakido M, Taooka Y, Sheppard D (1999) The integrin alpha(9)beta(1) binds to a novel recognition sequence (SVVYGLR) in the thrombin-cleaved amino-terminal fragment of osteopontin. J Biol Chem 274:36328–36334

    PubMed  Article  CAS  Google Scholar 

Download references

Conflict of interest

None.

Author information

Affiliations

Authors

Corresponding author

Correspondence to Jian Guang Lu.

Rights and permissions

Reprints and Permissions

About this article

Cite this article

Lu, J.G., Li, Y., Li, L. et al. Overexpression of osteopontin and integrin αv in laryngeal and hypopharyngeal carcinomas associated with differentiation and metastasis. J Cancer Res Clin Oncol 137, 1613 (2011). https://doi.org/10.1007/s00432-011-1024-y

Download citation

  • Received:

  • Accepted:

  • Published:

  • DOI: https://doi.org/10.1007/s00432-011-1024-y

Keywords

  • Laryngeal neoplasms
  • Hypopharyngeal neoplasms
  • Osteopontin
  • Integrin αv
  • Differentiation
  • Metastasis