Skip to main content

Expression of Nucleostemin, epidermal growth factor and epidermal growth factor receptor in human esophageal squamous cell carcinoma tissues

Abstract

Objective

To determine the expression of nucleostemin (NS), epidermal growth factor (EGF) and epidermal growth factor receptor (EGFR) mRNA in human esophageal squamous cell carcinoma (ESCC) tissues and their association in a human ESCC cell line.

Methods

The expression of NS, EGF and EGFR mRNA was determined in paired normal esophageal and ESCC tissues of 62 patients using in situ hybridization. The association between NS and EGF or EGFR was examined using immunoblotting and real time polymerase chain reaction in a human ESCC cell line transfected with NS siRNA or treated with a selective EGFR inhibitor.

Results

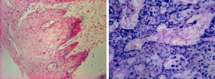
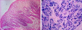
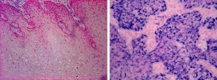
In normal esophageal and ESCC tissues, the positive detection rates were 21.0% (13/62) and 69.4% (43/62) for NS mRNA staining, 40.3% (25/62) and 77.4% (48/62) for EGF mRNA staining, and 30.6% (19/62) and 75.8% (41/62) for EGFR mRNA staining, respectively. These results indicated that NS, EGF and EGFR mRNA expression was upregulated mostly in ESCC tissues. Moreover, the expression of NS, EGF and EGFR mRNA was positively correlated with tumor grade, invasion and lymphatic metastasis of ESCC cells. NS mRNA was co-expressed with EGF and EGFR mRNA in ESCC tissues. The in vitro studies using a human ESCC cell line showed that knockdown of NS with NS siRNA significantly reduced EGF and EGFR expression. However, inhibition of the EGFR kinase activity with a specific EGFR kinase inhibitor had minimal effect on NS expression.

Conclusion

The upregulation of NS, EGF and EGFR mRNA frequently occurs in ESCC tissues and is associated with malignancy of human esophageal squamous tumors. NS is required for EGF and EGFR expression.

This is a preview of subscription content, access via your institution.

Fig. 1
Fig. 2
Fig. 3
Fig. 4

References

  • Abd El-Rehim DM, Pinder SE, Paish CE, Bell JA, Rampaul RS, Blamey RW, Robertson JF, Nicholson RI, Ellis IO (2004) Expression and co-expression of the members of the epidermal growth factor receptor (EGFR) family in invasive breast carcinoma. Br J Cancer 91:1532–1542

    Article  CAS  PubMed  Google Scholar 

  • Bernardi R, Pandolfi PP (2003) The nucleolus: at the stem of immortality. Nat Med 9:24–25

    Article  CAS  PubMed  Google Scholar 

  • Chow NH, Chan SH, Tzai TS, Ho CL, Liu HS (2001) Expression profiles of ErbB family receptors and prognosis in primary transitional cell carcinoma of the urinary bladder. Clin Cancer Res 7:1957–1962

    CAS  PubMed  Google Scholar 

  • Dai MS, Sun XX, Lu H (2008) Aberrant expression of nucleostemin activates p53 and induces cell cycle arrest via inhibition of MDM2. Mol Cell Biol 28:4365–4376

    Article  CAS  PubMed  Google Scholar 

  • Di Lorenzo G, Tortora G, D’Armiento FP, De Rosa G, Staibano S, Autorino R, D’Armiento M, De Laurentiis M, De Placido S, Catalano G, Bianco AR, Ciardiello F (2002) Expression of epidermal growth factor receptor correlates with disease relapse and progression to androgen-independence in human prostate cancer. Clin Cancer Res 8:3438–3444

    CAS  PubMed  Google Scholar 

  • DiGiovanna MP, Stern DF, Edgerton SM, Whalen SG, Moore D II, Thor AD (2005) Relationship of epidermal growth factor receptor expression to ErbB-2 signaling activity and prognosis in breast cancer patients. J Clin Oncol 23:1152–1160

    Article  CAS  PubMed  Google Scholar 

  • Edwin F, Wiepz GJ, Singh R, Peet CR, Chaturvedi D, Bertics PJ, Patel TB (2006) A historical perspective of the EGF receptor and related systems. Methods Mol Biol 327:1–24

    CAS  PubMed  Google Scholar 

  • Enzinger PC, Mayer RJ (2003) Esophageal cancer. N Engl J Med 349:2241–2252

    Article  CAS  PubMed  Google Scholar 

  • Ghaderi A, Vasei M, Maleck-Hosseini SA, Gharesi-Fard B, Khodami M, Doroudchi M, Modjtahedi H (2002) The expression of c-erbB-1 and c-erbB-2 in Iranian patients with gastric carcinoma. Pathol Oncol Res 8:252–256

    Article  CAS  PubMed  Google Scholar 

  • Grandis JR, Sok JC (2004) Signaling through the epidermal growth factor receptor during the development of malignancy. Pharmacol Ther 102:37–46

    Article  CAS  PubMed  Google Scholar 

  • Hanawa M, Suzuki S, Dobashi Y, Yamane T, Kono K, Enomoto N, Ooi A (2006) EGFR protein overexpression and gene amplification in squamous cell carcinomas of the esophagus. Int J Cancer 118:1173–1180

    Article  CAS  PubMed  Google Scholar 

  • Hayashi Y, Widjono YW, Ohta K, Hanioka K, Obayashi C, Itoh K, Imai Y, Itoh H (1994) Expression of EGF, EGF-receptor, p53, v-erb B and ras p21 in colorectal neoplasms by immunostaining paraffin-embedded tissues. Pathol Int 44:124–130

    Article  CAS  PubMed  Google Scholar 

  • Hirsch FR, Scagliotti GV, Langer CJ, Varella-Garcia M, Franklin WA (2003) Epidermal growth factor family of receptors in preneoplasia and lung cancer: perspectives for targeted therapies. Lung Cancer 41(Suppl 1):S29–S42

    Article  PubMed  Google Scholar 

  • Itakura Y, Sasano H, Shiga C, Furukawa Y, Shiga K, Mori S, Nagura H (1994) Epidermal growth factor receptor overexpression in esophageal carcinoma. An immunohistochemical study correlated with clinicopathologic findings and DNA amplification. Cancer 74:795–804

    Article  CAS  PubMed  Google Scholar 

  • Kimura M, Tsuda H, Morita D, Ichikura T, Ogata S, Aida S, Yoshizumi Y, Maehara T, Mochizuki H, Matsubara O (2004) A proposal for diagnostically meaningful criteria to classify increased epidermal growth factor receptor and c-erbB-2 gene copy numbers in gastric carcinoma, based on correlation of fluorescence in situ hybridization and immunohistochemical measurements. Virchows Arch 445:255–262

    Article  CAS  PubMed  Google Scholar 

  • Laimer K, Spizzo G, Gastl G, Obrist P, Brunhuber T, Fong D, Barbieri V, Jank S, Doppler W, Rasse M, Norer B (2007) High EGFR expression predicts poor prognosis in patients with squamous cell carcinoma of the oral cavity and oropharynx: a TMA-based immunohistochemical analysis. Oral Oncol 43:193–198

    Article  CAS  PubMed  Google Scholar 

  • Lam AKY (2000) Molecular biology of esophageal squamous cell carcinoma. Crit Rev Oncol Hematol 33:71–90

    Article  CAS  PubMed  Google Scholar 

  • Liu SJ, Cai ZW, Liu YJ, Dong MY, Zhang HW, Hu GF, Liu SG, Gao H, Zhang ZH, Liu XL, Wei YY, Xue Y, Lao WD (2004a) The effect of knocking-down nucleostemin gene expression on the in vitro proliferation and in vivo tumorigenesis of HeLa cells. J Exp Clin Cancer Res 23:529–538

    Google Scholar 

  • Liu SJ, Cai ZW, Liu YJ, Dong MY, Sun LQ, Hu GF, Wei YY, Lao WD (2004b) Role of nucleostemin in growth regulation of gastric cancer, liver cancer and other malignancies. World J Gastroenterol 10:1246–1249

    CAS  PubMed  Google Scholar 

  • Mandard AM, Hainaut P, Hollstein M (2000) Genetic steps in the development of squamous cell carcinoma of the esophagus. Mutat Res 462:335–342

    Article  CAS  PubMed  Google Scholar 

  • Ooi A, Takehana T, Li X, Suzuki S, Kunitomo K, Iino H, Fujii H, Takeda Y, Dobashi Y (2004) Protein overexpression and gene amplification of HER-2 and EGFR in colorectal cancers: an immunohistochemical and fluorescent in situ hybridization study. Mod Pathol 17:895–904

    Article  CAS  PubMed  Google Scholar 

  • Ozawa S, Ueda M, Ando N, Shimizu N, Abe O (1989) Prognostic significance of epidermal growth factor receptor in esophageal squamous cell carcinomas. Cancer 63:2169–2173

    Article  CAS  PubMed  Google Scholar 

  • Parkin DM, Bray F, Ferlay J, Pisani P (2005) Global cancer statistics, 2002. CA Cancer J Clin 55:74–108

    Article  PubMed  Google Scholar 

  • Porebska I, Harlozinska A, Bojarowski T (2000) Expression of the tyrosine kinase activity growth factor receptors (EGFR, ERB B2, ERB B3) in colorectal adenocarcinomas and adenomas. Tumour Biol 21:105–115

    Article  CAS  PubMed  Google Scholar 

  • Salomon DS, Brandt R, Ciardiello F, Normanno N (1995) Epidermal growth factor-related peptides and their receptors in human malignancies. Crit Rev Oncol Hematol 19:183–232

    Article  CAS  PubMed  Google Scholar 

  • Suo Z, Risberg B, Kalsson MG, Willman K, Tierens A, Skovlund E, Nesland JM (2002) EGFR family expression in breast carcinomas. c-erbB-2 and c-erbB-4 receptors have different effects on survival. J Pathol 196:17–25

    Article  CAS  PubMed  Google Scholar 

  • Tahara E (1990) Growth factors and oncogenes in human gastrointestinal carcinomas. J Cancer Res Clin Oncol 116:121–131

    Article  CAS  PubMed  Google Scholar 

  • Tsai RY, Mckay RD (2002) A nucleolar mechanism controlling cell proliferation in stem cells and cancer cells. Genes Dev 16:2991–3003

    Article  CAS  PubMed  Google Scholar 

  • Tsai RY, McKay RD (2005) A multistep, GTP-driven mechanism controlling the dynamic cycling of nucleostemin. J Cell Biol 168:179–184

    Article  CAS  PubMed  Google Scholar 

  • Wester K, Sjostrom A, de la Torre M, Carlsson J, Malmstrom PU (2002) HER-2––a possible target for therapy of metastatic urinary bladder carcinoma. Acta Oncol 41:282–288

    Article  PubMed  Google Scholar 

  • Witton CJ, Reeves JR, Going JJ, Cooke TG, Bartlett JM (2003) Expression of the HER1–4 family of receptor tyrosine kinases in breast cancer. J Pathol 200:290–297

    Article  CAS  PubMed  Google Scholar 

  • Yano H, Shiozaki H, Kobayashi K, Yano T, Tahara H, Tamura S, Mori T (1991) Immunohistologic detection of the epidermal growth factor receptor in human esophageal squamous cell carcinoma. Cancer 67:91–98

    Article  CAS  PubMed  Google Scholar 

  • Yarden Y, Sliwkowski MX (2001) Untangling the ErbB signalling network. Nat Rev Mol Cell Biol 2:127–137

    Article  CAS  PubMed  Google Scholar 

  • Yoshida K, Yasui W, Ito H, Tahara E (1990) Growth factors in progression of human esophageal and gastric carcinomas. Exp Pathol 40:291–300

    CAS  PubMed  Google Scholar 

  • Yoshida K, Kuniyasu H, Yasui W, Kitadai Y, Toge T, Tahara E (1993) Expression of growth factors and their receptors in human esophageal carcinomas: regulation of expression by epidermal growth factor and transforming growth factor alpha. J Cancer Res Clin Oncol 119:401–407

    Article  CAS  PubMed  Google Scholar 

  • Yue B, Zhu X, Wang Q, Liu S, Sun L, Zhao X, Chen Y, Zhang Q (2007) Construction of specific short hairpin RNA targeting nucleostemin mediated by T7 RNA polymerase promoter in vitro. Life Sci J 4:8–12

    CAS  Google Scholar 

Download references

Acknowledgment

This work is partly supported by the National Natural Science Foundation of China no. 30872148.

Conflict of interest statement

All authors disclose no financial and personal relationships with other people or organisations that could inappropriately influence our work.

Author information

Affiliations

Authors

Corresponding author

Correspondence to Qinxian Zhang.

Additional information

G. Zhang and Q. Zhang contributed equally to this work.

Rights and permissions

Reprints and Permissions

About this article

Cite this article

Zhang, G., Zhang, Q., Zhang, Q. et al. Expression of Nucleostemin, epidermal growth factor and epidermal growth factor receptor in human esophageal squamous cell carcinoma tissues. J Cancer Res Clin Oncol 136, 587–594 (2010). https://doi.org/10.1007/s00432-009-0693-2

Download citation

  • Received:

  • Accepted:

  • Published:

  • Issue Date:

  • DOI: https://doi.org/10.1007/s00432-009-0693-2

Keywords

  • Esophageal squamous cell carcinoma
  • Epidermal growth factor
  • Epidermal growth factor receptor
  • Nucleostemin