Skip to main content

B and C domain containing tenascin-C: urinary markers for invasiveness of urothelial carcinoma of the urinary bladder?

Abstract

Purpose

Surveillance of urothelial carcinoma of the urinary bladder (UBC) patients with respect to tumour recurrence and invasiveness is crucial for therapy and prognosis. Therefore, evaluation of non-invasive methods to monitor tumour progression is of high clinical interest. The study was aimed at investigating urinary concentrations of tenascin-C splicing domains for their value as tumour surveillance markers.

Methods

Urinary concentration of B and C domain containing tenascin-C (Tn-C) was analysed by ELISA technology in 104 UBC patients, 11 patients with cystitis and 15 healthy donors as control. The investigation was supplemented by Tn-C immunohistochemistry and Western blotting.

Results

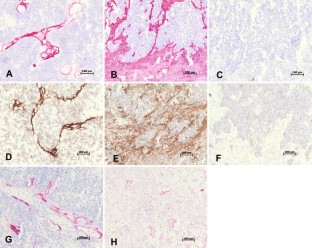
A statistically significant increase in urinary concentrations of both Tn-C B and C domain with tumour progression could be evidenced. A concordant tumour-associated enhanced protein deposition in the carcinoma stroma could be demonstrated by immunohistochemistry in invasive UBC. Western blotting reveals proteolytic fragmentation of urinary Tn-C.

Conclusions

In summary, detection of Tn-C splicing domains in urine is suggested as a marker for the surveillance of UBC recurrence and invasiveness.

This is a preview of subscription content, access via your institution.

Fig. 1
Fig. 2
Fig. 3

References

  • Adams M, Jones JL, Walker RA, Pringle JH, Bell SC (2002) Changes in tenascin-C isoform expression in invasive and preinvasive breast disease. Cancer Res 62:3289–3297

    CAS  PubMed  Google Scholar 

  • Aso N, Tamura A, Nasu M (2004) Circulating tenascin-C levels in patients with idiopathic dilated cardiomyopathy. Am J Cardiol 94:1468–1470. doi:10.1016/j.amjcard.2004.07.156

    Article  CAS  PubMed  Google Scholar 

  • Balza E, Siri A, Ponassi M, Caocci F, Linnala A, Virtanen I, Zardi L (1993) Production and characterization of monoclonal antibodies specific for different epitopes of human tenascin. FEBS Lett 332:39–43. doi:10.1016/0014-5793(93)80479-E

    Article  CAS  PubMed  Google Scholar 

  • Bell SC, Pringle JH, Taylor DJ, Malak TM (1999) Alternatively spliced tenascin-C mRNA isoforms in human fetal membranes. Mol Hum Reprod 5:1066–1076. doi:10.1093/molehr/5.11.1066

    Article  CAS  PubMed  Google Scholar 

  • Berndt A, Anger K, Richter P, Borsi L, Brack S, Silacci M, Franz M, Wunderlich H, Gajda M, Zardi L, Neri D, Kosmehl H (2006) Differential expression of tenascin-C splicing domains in urothelial carcinomas of the urinary bladder. J Cancer Res Clin Oncol 132:537–546. doi:10.1007/s00432-006-0106-8

    Article  CAS  PubMed  Google Scholar 

  • Borsi L, Carnemolla B, Nicolo G, Spina B, Tanara G, Zardi L (1992) Expression of different tenascin isoforms in normal, hyperplastic and neoplastic human breast tissues. Int J Cancer 52:688–692. doi:10.1002/ijc.2910520504

    Article  CAS  PubMed  Google Scholar 

  • Borsi L, Balza E, Bestagno M, Castellani P, Carnemolla B, Biro A, Leprini A, Sepulveda J, Burrone O, Neri D, Zardi L (2002) Selective targeting of tumoral vasculature: comparison of different formats of an antibody (L19) to the ED-B domain of fibronectin. Int J Cancer 102:75–85. doi:10.1002/ijc.10662

    Article  CAS  PubMed  Google Scholar 

  • Bourdon MA, Wikstrand CJ, Furthmayr H, Matthews TJ, Bigner DD (1983) Human glioma-mesenchymal extracellular matrix antigen defined by monoclonal antibody. Cancer Res 43:2796–2805

    CAS  PubMed  Google Scholar 

  • Brunner A, Mayerl C, Tzankov A, Verdorfer I, Tschorner I, Rogatsch H, Mikuz G (2004) Prognostic significance of tenascin-C expression in superficial and invasive bladder cancer. J Clin Pathol 57:927–931. doi:10.1136/jcp.2004.016576

    Article  CAS  PubMed  Google Scholar 

  • Burchardt ER, Hein R, Bosserhoff AK (2003) Laminin, hyaluronan, tenascin-C and type VI collagen levels in sera from patients with malignant melanoma. Clin Exp Dermatol 28:515–520. doi:10.1046/j.1365-2230.2003.01326.x

    Article  CAS  PubMed  Google Scholar 

  • Carnemolla B, Castellani P, Ponassi M, Borsi L, Urbini S, Nicolo G, Dorcaratto A, Viale G, Winter G, Neri D, Zardi L (1999) Identification of a glioblastoma-associated tenascin-C isoform by a high-affinity recombinant antibody. Am J Pathol 154:1345–1352

    CAS  PubMed  Google Scholar 

  • Chiquet M, Fambrough DM (1984a) Chick myotendinous antigen. I. A monoclonal antibody as a marker for tendon and muscle morphogenesis. J Cell Biol 98:1926–1936. doi:10.1083/jcb.98.6.1926

    Article  CAS  PubMed  Google Scholar 

  • Chiquet M, Fambrough DM (1984b) Chick myotendinous antigen. II. A novel extracellular glycoprotein complex consisting of large disulfide-linked subunits. J Cell Biol 98:1937–1946. doi:10.1083/jcb.98.6.1937

    Article  CAS  PubMed  Google Scholar 

  • Durkan GC, Nutt JE, Marsh C, Rajjayabun PH, Robinson MC, Neal DE, Lunec J, Mellon JK (2003) Alteration in urinary matrix metalloproteinase-9 to tissue inhibitor of metalloproteinase-1 ratio predicts recurrence in nonmuscle-invasive bladder cancer. Clin Cancer Res 9:2576–2582

    CAS  PubMed  Google Scholar 

  • Eble JN, Sauter G, Epstein JE, Sesterhenn IA (2004) World Health Organization classification of tumours. pathology and genetics of male genital organs. IARC Press, Lyon

    Google Scholar 

  • Erickson HP, Inglesias JL (1984) A six-armed oligomer isolated from cell surface fibronectin preparations. Nature 311:267–269. doi:10.1038/311267a0

    Article  CAS  PubMed  Google Scholar 

  • Esposito I, Penzel R, Chaib-Harrireche M, Barcena U, Bergmann F, Riedl S, Kayed H, Giese N, Kleeff J, Friess H, Schirmacher P (2006) Tenascin C and annexin II expression in the process of pancreatic carcinogenesis. J Pathol 208:673–685. doi:10.1002/path.1935

    Article  CAS  PubMed  Google Scholar 

  • Hegele A, Heidenreich A, Varga Z, von Knobloch R, Olbert P, Kropf J, Hofmann R (2003) Cellular fibronectin in patients with transitional cell carcinoma of the bladder. Urol Res 30:363–366

    CAS  PubMed  Google Scholar 

  • Hindermann W, Berndt A, Borsi L, Luo X, Hyckel P, Katenkamp D, Kosmehl H (1999) Synthesis and protein distribution of the unspliced large tenascin-C isoform in oral squamous cell carcinoma. J Pathol 189:475–480. doi:10.1002/(SICI)1096-9896(199912)189:4<475::AID-PATH462>3.0.CO;2-V

    Article  CAS  PubMed  Google Scholar 

  • Horstrup JH, Gehrmann M, Schneider B, Ploger A, Froese P, Schirop T, Kampf D, Frei U, Neumann R, Eckardt KU (2002) Elevation of serum and urine levels of TIMP-1 and tenascin in patients with renal disease. Nephrol Dial Transplant 17:1005–1013. doi:10.1093/ndt/17.6.1005

    Article  PubMed  Google Scholar 

  • Ioachim E, Michael M, Stavropoulos NE, Kitsiou E, Salmas M, Malamou-Mitsi V (2005) A clinicopathological study of the expression of extracellular matrix components in urothelial carcinoma. BJU Int 95:655–659. doi:10.1111/j.1464-410X.2005.05357.x

    Article  PubMed  Google Scholar 

  • Jones PL, Boudreau N, Myers CA, Erickson HP, Bissell MJ (1995) Tenascin-C inhibits extracellular matrix-dependent gene expression in mammary epithelial cells: localization of active regions using recombinant tenascin fragments. J Cell Sci 108(Pt 2):519–527

    CAS  PubMed  Google Scholar 

  • Katenkamp K, Berndt A, Hindermann W, Wunderlich H, Haas KM, Borsi L, Zardi L, Kosmehl H (2004) mRNA expression and protein distribution of the unspliced tenascin-C isoform in prostatic adenocarcinoma. J Pathol 203:771–779. doi:10.1002/path.1589

    Article  CAS  PubMed  Google Scholar 

  • Lyons AJ, Jones J (2007) Cell adhesion molecules, the extracellular matrix and oral squamous carcinoma. Int J Oral Maxillofac Surg 36:671–679. doi:10.1016/j.ijom.2007.04.002

    Article  CAS  PubMed  Google Scholar 

  • Menendez V, Fernandez-Suarez A, Galan JA, Perez M, Garcia-Lopez F (2005) Diagnosis of bladder cancer by analysis of urinary fibronectin. Urology 65:284–289. doi:10.1016/j.urology.2004.09.028

    Article  PubMed  Google Scholar 

  • Mighell AJ, Thompson J, Hume WJ, Markham AF, Robinson PA (1997) Human tenascin-C: identification of a novel type III repeat in oral cancer and of novel splice variants in normal, malignant and reactive oral mucosae. Int J Cancer 72:236–240. doi:10.1002/(SICI)1097-0215(19970717)72:2<236::AID-IJC6>3.0.CO;2-S

    Article  CAS  PubMed  Google Scholar 

  • Nutt JE, Durkan GC, Mellon JK, Lunec J (2003) Matrix metalloproteinases (MMPs) in bladder cancer: the induction of MMP9 by epidermal growth factor and its detection in urine. BJU Int 91:99–104. doi:10.1046/j.1464-410X.2003.04020.x

    Article  CAS  PubMed  Google Scholar 

  • Ozdemir E, Kakehi Y, Okuno H, Yoshida O (1999) Role of matrix metalloproteinase-9 in the basement membrane destruction of superficial urothelial carcinomas. J Urol 161:1359–1363. doi:10.1016/S0022-5347(01)61684-7

    Article  CAS  PubMed  Google Scholar 

  • Papale M, Pedicillo MC, Thatcher BJ, Di Paolo S, Lo Muzio L, Bufo P, Rocchetti MT, Centra M, Ranieri E, Gesualdo L (2007) Urine profiling by SELDI-TOF/MS: monitoring of the critical steps in sample collection, handling and analysis. J Chromatogr B Analyt Technol Biomed Life Sci 856:205–213. doi:10.1016/j.jchromb.2007.06.001

    Article  CAS  PubMed  Google Scholar 

  • Pauli C, Stieber P, Schmitt UM, Andratschke M, Hoffmann K, Wollenberg B (2002) The significance of tenascin-C serum level as tumor marker in squamous cell carcinoma of the head and neck. Anticancer Res 22:3093–3097

    CAS  PubMed  Google Scholar 

  • Richter P, Junker K, Franz M, Berndt A, Geyer C, Gajda M, Kosmehl H, Wunderlich H (2008) IIICS de novo glycosylated fibronectin as a marker for invasiveness in urothelial carcinoma of the urinary bladder (UBC). J Cancer Res Clin Oncol [Epub]

  • Riedl S, Bodenmuller H, Hinz U, Holle R, Moller P, Schlag P, Herfarth C, Faissner A (1995) Significance of tenascin serum level as tumor marker in primary colorectal carcinoma. Int J Cancer 64:65–69. doi:10.1002/ijc.2910640113

    Article  CAS  PubMed  Google Scholar 

  • Sherief MH, Low SH, Miura M, Kudo N, Novick AC, Weimbs T (2003) Matrix metalloproteinase activity in urine of patients with renal cell carcinoma leads to degradation of extracellular matrix proteins: possible use as a screening assay. J Urol 169:1530–1534. doi:10.1097/01.ju.0000049201.91150.9d

    Article  CAS  PubMed  Google Scholar 

  • Silacci M, Brack SS, Spath N, Buck A, Hillinger S, Arni S, Weder W, Zardi L, Neri D (2006) Human monoclonal antibodies to domain C of tenascin-C selectively target solid tumors in vivo. Protein Eng Des Sel 19:471–478. doi:10.1093/protein/gzl033

    Article  CAS  PubMed  Google Scholar 

  • Terasaki F, Okamoto H, Onishi K, Sato A, Shimomura H, Tsukada B, Imanaka-Yoshida K, Hiroe M, Yoshida T, Kitaura Y, Kitabatake A (2007) Higher serum tenascin-C levels reflect the severity of heart failure, left ventricular dysfunction and remodeling in patients with dilated cardiomyopathy. Circ J 71:327–330. doi:10.1253/circj.71.327

    Article  CAS  PubMed  Google Scholar 

  • Tsunoda T, Inada H, Kalembeyi I, Imanaka-Yoshida K, Sakakibara M, Okada R, Katsuta K, Sakakura T, Majima Y, Yoshida T (2003) Involvement of large tenascin-C splice variants in breast cancer progression. Am J Pathol 162:1857–1867

    CAS  PubMed  Google Scholar 

  • Wunderlich H, Reichelt O, Zermann DH, Schubert J, Berndt A, Kosmehl H (2001) Fetal fibronectin: a new screening marker for bladder cancer? Oncol Rep 8:669–672

    CAS  PubMed  Google Scholar 

  • Ylatupa S, Mertaniemi P, Haglund C, Partanen P (1995) Enzyme immunoassay for quantification of tenascin in biologic samples. Clin Biochem 28:263–268. doi:10.1016/0009-9120(94)00079-B

    Article  CAS  PubMed  Google Scholar 

  • Yoshimura R, Wada S, Matsuyama M, Hase T, Goto T, Tanaka T, Kuratsukuri K, Tsuchida K, Nakatani T (2004) Urinary extracellular matrix measurement as a reliable and cost-effective diagnostic tool for bladder tumors. Int J Mol Med 13:127–131

    CAS  PubMed  Google Scholar 

Download references

Acknowledgments

The authors would like to thank Susanne Bergmann and Beate Weiss for their excellent technical assistance. The study was partially supported by the Thuringian Ministry of Science, Research and Art (ThMWFK) and IZKF of the University Jena (B307-04004). The research leading to the results has received funding from the European Community’s Seventh Framework Programme (FP7/2007-2013) under grant agreement no. Health-F2-2008-201342 (ADAMANT).

Author information

Affiliations

Authors

Corresponding author

Correspondence to Alexander Berndt.

Additional information

P. Richter and M. Tost contributed equally to the study.

Rights and permissions

Reprints and Permissions

About this article

Cite this article

Richter, P., Tost, M., Franz, M. et al. B and C domain containing tenascin-C: urinary markers for invasiveness of urothelial carcinoma of the urinary bladder?. J Cancer Res Clin Oncol 135, 1351–1358 (2009). https://doi.org/10.1007/s00432-009-0576-6

Download citation

  • Received:

  • Accepted:

  • Published:

  • Issue Date:

  • DOI: https://doi.org/10.1007/s00432-009-0576-6

Keywords

  • Urothelial carcinoma of the urinary bladder
  • Urinary tenascin-C
  • Splicing domains
  • ELISA
  • Invasion
  • Tumour surveillance