Skip to main content

Upregulation of the cycline kinase subunit CKS2 increases cell proliferation rate in gastric cancer

Abstract

Purpose

CKS2 was identified as an upregulated gene in gastric cancer via our DNA microarray. This study was to verify the upregulation of CKS2 in many gastric cancer patients and to examine the CKS2-mediated cellular response.

Methods

CKS2 upregulation was analyzed using reverse transcriptase PCR, real-time PCR, and immunohistochemical and clinicopathological analyses. GFP-CKS2 or CKS2-siRNA was used to analyze the cellular localization and proliferation.

Results

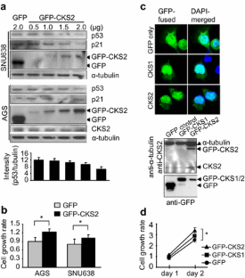
The strong upregulation of mRNA and protein levels of CKS2 was identified. In CKS2-overexpressing cells, tumor suppressor p53 and p21cip1 were downregulated and cell growth was increased. In contrast, CKS2-siRNA-transfected cells showed an increased tumor suppressor expression and decreased cell growth.

Conclusions

We showed that CKS2 was significantly upregulated in gastric cancers and a high level of CKS2 was highly correlated with histologic tumor differentiation and pathological grade of the tumor size, lymph node, and metastasis stage. We suggest that the cell cycle regulator CKS2 might be deeply involved in gastric cancer progression.

This is a preview of subscription content, access via your institution.

Fig. 1
Fig. 2
Fig. 3
Fig. 4

References

  • Alhasan SA, Ensley JF, Sarkar FH (2000) Genistein induced molecular changes in a squamous cell carcinoma of the head and neck cell line. Int J Oncol 16:333–338

    PubMed  CAS  Google Scholar 

  • Banerjee SK, Weston AP, Zoubine MN, Campbell DR, Cherian R (2000) Expression of cdc2 and cyclin B1 in Helicobacter pylori-associated gastric MALT and MALT lymphoma: relationship to cell death, proliferation, and transformation. Am J Pathol 156:217–225

    PubMed  CAS  Google Scholar 

  • El-Deiry WS, Tokino T, Velculescu VE, Levy DB, Parsons R, Trent JM, Lin D, Mercer WE, Kinzler KW, Vogelstein B (1993) WAF1, a potential mediator of p53 tumor suppression. Cell 75:817–825

    PubMed  Article  CAS  Google Scholar 

  • El-Rifai W, Frierson HF Jr, Harper JC, Powell SM, Knuutila S (2001) Expression profiling of gastric adenocarcinoma using cDNA array. Int J Cancer 92:832–838

    PubMed  Article  CAS  Google Scholar 

  • Ganoth D, Bornstein G, Ko TK, Larsen B, Tyers M, Pagano M, Hershko A (2001) The cell-cycle regulatory protein Cks1 is required for SCF (Skp2)-mediated ubiquitinylation of p27. Nat Cell Biol 3:321–324

    PubMed  Article  CAS  Google Scholar 

  • Gostissa M, Hofmann TG, Will H, Del Sal G (2003) Regulation of p53 functions: let’s meet at the nuclear bodies. Curr Opin Cell Biol 15:351–357

    PubMed  Article  CAS  Google Scholar 

  • Haaber J, Abildgaard N, Knudsen LM, Dahl IM, Lodahl M, Thomassen M, Kerndrup GB, Rasmussen T (2008) Myeloma cell expression of 10 candidate genes for osteolytic bone disease. Only overexpression of DKK1 correlates with clinical bone involvement at diagnosis. Br J Haematol 140:25–35

    PubMed  CAS  Google Scholar 

  • Hansel DE, Dhara S, Huang RC, Ashfaq R, Deasel M, Shimada Y, Bernstein HS, Harmon J, Brock M, Forastiere A, Washington MK, Maitra A, Montgomery E (2005) CDC2/CDK1 expression in esophageal adenocarcinoma and precursor lesions serves as a diagnostic and cancer progression marker and potential novel drug target. Am J Surg Pathol 29:390–399

    PubMed  Article  Google Scholar 

  • Hayles J, Aves S, Nurse P (1986a) suc1 is an essential gene involved in both the cell cycle and growth in fission yeast. Embo J 5:3373–3379

    PubMed  CAS  Google Scholar 

  • Hayles J, Beach D, Durkacz B, Nurse P (1986b) The fission yeast cell cycle control gene cdc2: isolation of a sequence suc1 that suppresses cdc2 mutant function. Mol Gen Genet 202:291–293

    PubMed  Article  CAS  Google Scholar 

  • Kawakami K, Enokida H, Tachiwada T, Gotanda T, Tsuneyoshi K, Kubo H, Nishiyama K, Takiguchi M, Nakagawa M, Seki N (2006) Identification of differentially expressed genes in human bladder cancer through genome-wide gene expression profiling. Oncol Rep 16:521–531

    PubMed  CAS  Google Scholar 

  • Krause K, Wasner M, Reinhard W, Haugwitz U, Dohna CL, Mossner J, Engeland K (2000) The tumour suppressor protein p53 can repress transcription of cyclin B. Nucleic Acids Res 28:4410–4418

    PubMed  Article  CAS  Google Scholar 

  • Krause K, Haugwitz U, Wasner M, Wiedmann M, Mossner J, Engeland K (2001) Expression of the cell cycle phosphatase cdc25C is down-regulated by the tumor suppressor protein p53 but not by p73. Biochem Biophys Res Commun 284:743–750

    PubMed  Article  CAS  Google Scholar 

  • Lan Y, Zhang Y, Wang J, Lin C, Ittmann MM, Wang F (2008) Aberrant expression of Cks1 and Cks2 contributes to prostate tumorigenesis by promoting proliferation and inhibiting programmed cell death. Int J Cancer 123:543–551

    PubMed  Article  CAS  Google Scholar 

  • Li M, Lin YM, Hasegawa S, Shimokawa T, Murata K, Kameyama M, Ishikawa O, Katagiri T, Tsunoda T, Nakamura Y, Furukawa Y (2004) Genes associated with liver metastasis of colon cancer, identified by genome-wide cDNA microarray. Int J Oncol 24:305–312

    PubMed  Google Scholar 

  • Lin CC, Lin SY, Chung JG, Lin JP, Chen GW, Kao ST (2006) Down-regulation of cyclin B1 and upregulation of Wee1 by berberine promotes entry of leukemia cells into the G2/M-phase of the cell cycle. Anticancer Res 26:1097–1104

    PubMed  CAS  Google Scholar 

  • Lin HM, Chatterjee A, Lin YH, Anjomshoaa A, Fukuzawa R, McCall JL, Reeve AE (2007) Genome wide expression profiling identifies genes associated with colorectal liver metastasis. Oncol Rep 17:1541–1549

    PubMed  CAS  Google Scholar 

  • Lu X, Guo J, Hsieh TC (2003) PC-SPES inhibits cell proliferation by modulating p21, cyclins D, E and B and multiple cell cycle-related genes in prostate cancer cells. Cell Cycle 2:59–63

    PubMed  CAS  Google Scholar 

  • Martinsson-Ahlzen HS, Liberal V, Grunenfelder B, Chaves SR, Spruck CH, Reed SI (2008) Cyclin dependent kinase associated proteins Cks1 and Cks2 are essential during early embryogenesis and for cell cycle progression in somatic cells. Mol Cell Biol 28:5698–5709

    PubMed  Article  CAS  Google Scholar 

  • Masuda TA, Inoue H, Nishida K, Sonoda H, Yoshikawa Y, Kakeji Y, Utsunomiya T, Mori M (2003) Cyclin-dependent kinase 1 gene expression is associated with poor prognosis in gastric carcinoma. Clin Cancer Res 9:5693–5698

    PubMed  CAS  Google Scholar 

  • Medina R, van der Deen M, Miele-Chamberland A, Xie RL, van Wijnen AJ, Stein JL, Stein GS (2007) The HiNF-P/p220NPAT cell cycle signaling pathway controls nonhistone target genes. Cancer Res 67:10334–10342

    PubMed  Article  CAS  Google Scholar 

  • Pines J (1996) Cell cycle: reaching for a role for the Cks proteins. Curr Biol 6:1399–1402

    PubMed  Article  CAS  Google Scholar 

  • Rivera A, Mavila A, Bayless KJ, Davis GE, Maxwell SA (2006) Cyclin A1 is a p53-induced gene that mediates apoptosis, G2/M arrest, and mitotic catastrophe in renal, ovarian, and lung carcinoma cells. Cell Mol Life Sci 63:1425–1439

    PubMed  Article  CAS  Google Scholar 

  • Rother K, Johne C, Spiesbach K, Haugwitz U, Tschop K, Wasner M, Klein-Hitpass L, Moroy T, Mossner J, Engeland K (2004) Identification of Tcf-4 as a transcriptional target of p53 signaling. Oncogene 23:3376–3384

    PubMed  Article  CAS  Google Scholar 

  • Rother K, Dengl M, Lorenz J, Tschop K, Kirschner R, Mossner J, Engeland K (2007) Gene expression of cyclin-dependent kinase subunit Cks2 is repressed by the tumor suppressor p53 but not by the related proteins p63 or p73. FEBS Lett 581:1166–1172

    PubMed  Article  CAS  Google Scholar 

  • Roublevskaia IN, Polevoda BV, Ludlow JW, Haake AR (2000) Induced G2/M arrest and apoptosis in human epidermoid carcinoma cell lines by semisynthetic drug Ukrain. Anticancer Res 20:3163–3167

    PubMed  CAS  Google Scholar 

  • Scrideli CA, Carlotti CG Jr, Okamoto OK, Andrade VS, Cortez MA, Motta FJ, Lucio-Eterovic AK, Neder L, Rosemberg S, Oba-Shinjo SM, Marie SK, Tone LG (2008) Gene expression profile analysis of primary glioblastomas and non-neoplastic brain tissue: identification of potential target genes by oligonucleotide microarray and real-time quantitative PCR. J Neurooncol 88:281–291

    PubMed  Article  CAS  Google Scholar 

  • Sherr CJ (1994) G1 phase progression: cycling on cue. Cell 79:551–555

    PubMed  Article  CAS  Google Scholar 

  • Singh SP, Lipman J, Goldman H, Ellis FH Jr, Aizenman L, Cangi MG, Signoretti S, Chiaur DS, Pagano M, Loda M (1998) Loss or altered subcellular localization of p27 in Barrett’s associated adenocarcinoma. Cancer Res 58:1730–1735

    PubMed  CAS  Google Scholar 

  • Spruck C, Strohmaier H, Watson M, Smith AP, Ryan A, Krek TW, Reed SI (2001) A CDK-independent function of mammalian Cks1: targeting of SCF (Skp2) to the CDK inhibitor p27Kip1. Mol Cell 7:639–650

    PubMed  Article  CAS  Google Scholar 

  • Spruck CH, de Miguel MP, Smith AP, Ryan A, Stein P, Schultz RM, Lincoln AJ, Donovan PJ, Reed SI (2003) Requirement of Cks2 for the first metaphase/anaphase transition of mammalian meiosis. Science 300:647–650

    PubMed  Article  CAS  Google Scholar 

  • Stanbrough M, Bubley GJ, Ross K, Golub TR, Rubin MA, Penning TM, Febbo PG, Balk SP (2006) Increased expression of genes converting adrenal androgens to testosterone in androgen independent prostate cancer. Cancer Res 66:2815–2825

    PubMed  Article  CAS  Google Scholar 

  • Uchikado Y, Inoue H, Haraguchi N, Mimori K, Natsugoe S, Okumura H, Aikou T, Mori M (2006) Gene expression profiling of lymph node metastasis by oligomicroarray analysis using laser microdissection in esophageal squamous cell carcinoma. Int J Oncol 29:1337–1347

    PubMed  CAS  Google Scholar 

  • Urbanowicz-Kachnowicz I, Baghdassarian N, Nakache C, Gracia D, Mekki Y, Bryon PA, Ffrench M (1999) ckshs expression is linked to cell proliferation in normal and malignant human lymphoid cells. Int J Cancer 82:98–104

    PubMed  Article  CAS  Google Scholar 

  • Vousden KH, Lu X (2002) Live or let die: the cell’s response to p53. Nat Rev Cancer 2:594–604

    PubMed  Article  CAS  Google Scholar 

  • Wiese AH, Auer J, Lassmann S, Nahrig J, Rosenberg R, Hofler H, Ruger R, Werner M (2007) Identification of gene signatures for invasive colorectal tumor cells. Cancer Detect Prev 31:282–295

    PubMed  Article  CAS  Google Scholar 

  • Wong YF, Cheung TH, Tsao GS, Lo KW, Yim SF, Wang VW, Heung MM, Chan SC, Chan LK, Ho TW, Wong KW, Li C, Guo Y, Chung TK, Smith DI (2006) Genome-wide gene expression profiling of cervical cancer in Hong Kong women by oligonucleotide microarray. Int J Cancer 118:2461–2469

    PubMed  Article  CAS  Google Scholar 

  • Xu K, Belunis C, Chu W, Weber D, Podlaski F, Huang KS, Reed SI, Vassilev LT (2003) Protein–protein interactions involved in the recognition of p27 by E3 ubiquitin ligase. Biochem J 371:957–964

    PubMed  Article  CAS  Google Scholar 

  • Yun J, Chae HD, Choy HE, Chung J, Yoo HS, Han MH, Shin DY (1999) p53 negatively regulates cdc2 transcription via the CCAAT-binding NF-Y transcription factor. J Biol Chem 274:29677–29682

    PubMed  Article  CAS  Google Scholar 

Download references

Acknowledgments

This work was supported by FG08-12-01 of the 21C Frontier Functional Human Genome Project from the Ministry of Science & Technology in Korea, and by the KRIBB Research Initiative Program.

Author information

Affiliations

Authors

Corresponding author

Correspondence to Hee Gu Lee.

Additional information

Min Ah Kang and Jong-Tae Kim contributed equally to the study.

Rights and permissions

Reprints and Permissions

About this article

Cite this article

Kang, M.A., Kim, JT., Kim, J.H. et al. Upregulation of the cycline kinase subunit CKS2 increases cell proliferation rate in gastric cancer. J Cancer Res Clin Oncol 135, 761–769 (2009). https://doi.org/10.1007/s00432-008-0510-3

Download citation

  • Received:

  • Accepted:

  • Published:

  • Issue Date:

  • DOI: https://doi.org/10.1007/s00432-008-0510-3

Keywords

  • CKS2
  • CDK1
  • p53
  • Gastric cancer