Skip to main content

Effect of in vivo loss of GDF-15 on hepatocellular carcinogenesis

Abstract

Background

Growth/differentiation factor-15(GDF-15) is a divergent TGF-β family member that is expressed following liver injury and carcinogen exposure. GDF-15 expression is highly associated with gastrointestinal cancer stage, size, and metastasis and has been implicated in inhibition of tumor growth and increased tumor invasiveness. The current study sought to determine the effect of GDF-15 ablation on the development of hepatocellular carcinoma (HCC) in vivo.

Materials and methods

Male mice genetically deleted for the gene encoding GDF-15 (Gdf15 −/− mice) and wild-type controls were exposed to the hepatocarcinogen diethylnitrosamine (DEN). Mice were killed at 6 months of age and their livers dissected and processed for histology. Tumor number and size relative to total liver area examined were determined.

Results

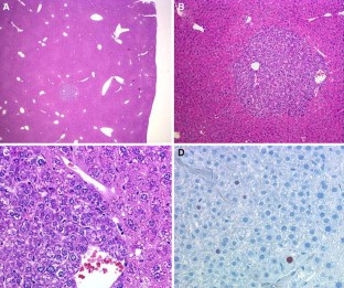
At 6 months of age, tumors were identified in 16 of 20 (80%) Gdf15 −/− mice and 16 of 19 wild-type mice (84%). No significant difference in tumor-occupied area was observed in Gdf15 −/− mice versus wild-type mice. In addition, no difference in invasiveness was observed in HCC arising in Gdf15 −/− as compared to wild-type mice. In wild type mice strong immunohistochemical staining for GDF-15 was noted on small HCC foci, whereas a loss of GDF-15 expression was found in a number of advanced HCC tumors.

Conclusions

Although highly expressed in association with multiple gastrointestinal cancers, and lost in some advanced HCC, genetic ablation of GDF-15 has no apparent effect on HCC tumor formation rate, growth rate or invasiveness in diethylnitrosamine-induced HCC in vivo.

This is a preview of subscription content, access via your institution.

Fig. 1
Fig. 2
Fig. 3

Abbreviations

HCC:

Hepatocellular carcinoma

GDF-15:

Growth/differentiation factor-15 (protein)

Gdf15 :

Growth/differentiation factor-15 (gene)

TGF β:

Transforming growth factor-β

DEN:

Diethylnitrosamine

PCNA:

Proliferating cell nuclear antigen

References

  • Albertoni M, Shaw PH, Nozaki M et al (2002) Anoxia induces macrophage inhibitory cytokine-1 (MIC-1) in glioblastoma cells independently of p53 and HIF-1. Oncogene 21(27):4212–4219

    PubMed  Article  CAS  Google Scholar 

  • Baek SJ, Kim KS, Nixon JB, Wilson LC, Eling TE (2001) Cyclooxygenase inhibitors regulate the expression of a TGF-beta superfamily member that has proapoptotic and antitumorigenic activities. Mol Pharmacol 59(4):901–908

    PubMed  CAS  Google Scholar 

  • Baek SJ, Wilson LC, Eling TE (2002) Resveratrol enhances the expression of non-steroidal anti-inflammatory drug-activated gene (NAG-1) by increasing the expression of p53. Carcinogenesis 23(3):425–434

    PubMed  Article  CAS  Google Scholar 

  • Baek SJ, Kim JS, Nixon JB, DiAugustine RP, Eling TE (2004) Expression of NAG-1, a transforming growth factor-beta superfamily member, by troglitazone requires the early growth response gene EGR-1. J Biol Chem 279(8):6883–6892

    PubMed  Article  CAS  Google Scholar 

  • Bottone FG Jr., Baek SJ, Nixon JB, Eling TE (2002) Diallyl disulfide (DADS) induces the antitumorigenic NSAID-activated gene (NAG-1) by a p53-dependent mechanism in human colorectal HCT 116 cells. J Nutr 132(4):773–778

    PubMed  CAS  Google Scholar 

  • Bottone FG Jr., Martinez JM, Alston-Mills B, Eling TE (2004) Gene modulation by Cox-1 and Cox-2 specific inhibitors in human colorectal carcinoma cancer cells. Carcinogenesis 25(3):349–357

    PubMed  Article  CAS  Google Scholar 

  • Brown DA, Ward RL, Buckhaults P et al (2003) MIC-1 serum level and genotype: associations with progress and prognosis of colorectal carcinoma. Clin Cancer Res 9(7):2642–2650

    PubMed  CAS  Google Scholar 

  • Buckhaults P, Rago C, St Croix B et al (2001) Secreted and cell surface genes expressed in benign and malignant colorectal tumors. Cancer Res 61(19):6996–7001

    PubMed  CAS  Google Scholar 

  • Esquela AF, Zimmers TA, Koniaris LG, Sitzmann JV, Lee SJ (1997) Transient down-regulation of inhibin-betaC expression following partial hepatectomy. Biochem Biophys Res Commun 235(3):553–556

    PubMed  Article  CAS  Google Scholar 

  • Garrigue-Antar L, Munoz-Antonia T, Antonia SJ, Gesmonde J, Vellucci VF, Reiss M (1995) Missense mutations of the transforming growth factor beta type II receptor in human head and neck squamous carcinoma cells. Cancer Res 55(18):3982–3987

    PubMed  CAS  Google Scholar 

  • Hromas R, Hufford M, Sutton J, Xu D, Li Y, Lu L (1997) PLAB, a novel placental bone morphogenetic protein. Biochim Biophys Acta 1354(1):40–44

    PubMed  CAS  Google Scholar 

  • Hsiao EC, Koniaris LG, Zimmers-Koniaris T, Sebald SM, Huynh TV, Lee SJ (2000) Characterization of growth-differentiation factor 15, a transforming growth factor beta superfamily member induced following liver injury. Mol Cell Biol 20(10):3742–3751

    PubMed  Article  CAS  Google Scholar 

  • Huang X, Lee C (2003) From TGF-beta to cancer therapy. Curr Drug Targets 4(3):243–250

    PubMed  Article  CAS  Google Scholar 

  • Jang TJ, Kang HJ, Kim JR, Yang CH (2004) Non-steroidal anti-inflammatory drug activated gene (NAG-1) expression is closely related to death receptor-4 and -5 induction, which may explain sulindac sulfide induced gastric cancer cell apoptosis. Carcinogenesis 25(10):1853–1858

    PubMed  Article  CAS  Google Scholar 

  • Jin X, Zimmers TA, Perez EA, Pierce RH, Zhang Z, Koniaris LG (2006) Paradoxical effects of short- and long-term interleukin-6 exposure on liver injury and repair. Hepatology 43(3):474–484

    PubMed  Article  CAS  Google Scholar 

  • Jin X, Zhang Z, Beer-Stolz D, Zimmers TA, Koniaris LG (2007) Interleukin-6 inhibits oxidative injury and necrosis after extreme liver resection. Hepatology 46(3):802–812

    PubMed  Article  CAS  Google Scholar 

  • Kannan K, Amariglio N, Rechavi G, Givol D (2000) Profile of gene expression regulated by induced p53: connection to the TGF-beta family. FEBS Lett 470(1):77–82

    PubMed  Article  CAS  Google Scholar 

  • Kew MC (2002) Epidemiology of hepatocellular carcinoma. Toxicology 181–182:35–38

    PubMed  Article  Google Scholar 

  • Kim KS, Baek SJ, Flake GP, Loftin CD, Calvo BF, Eling TE (2002) Expression and regulation of nonsteroidal anti-inflammatory drug-activated gene (NAG-1) in human and mouse tissue. Gastroenterology 122(5):1388–1398

    PubMed  Article  CAS  Google Scholar 

  • Kim JS, Baek SJ, Sali T, Eling TE (2005) The conventional nonsteroidal anti-inflammatory drug sulindac sulfide arrests ovarian cancer cell growth via the expression of NAG-1/MIC-1/GDF-15. Mol Cancer Ther 4(3):487–493

    PubMed  CAS  Google Scholar 

  • Koniaris LG (2003) Induction of MIC-1/growth differentiation factor-15 following bile duct injury. J Gastrointest Surg 7(7):901–905

    PubMed  Article  Google Scholar 

  • Koniaris LG, Zimmers-Koniaris T, Hsiao EC, Chavin K, Sitzmann JV, Farber JM (2001) Cytokine-responsive gene-2/IFN-inducible protein-10 expression in multiple models of liver and bile duct injury suggests a role in tissue regeneration. J Immunol 167(1):399–406

    PubMed  CAS  Google Scholar 

  • Koniaris LG, McKillop IH, Schwartz SI, Zimmers TA (2003) Liver regeneration. J Am Coll Surg 197(4):634–659

    PubMed  Article  Google Scholar 

  • Lagna G, Hata A, Hemmati-Brivanlou A, Massague J (1996) Partnership between DPC4 and SMAD proteins in TGF-beta signalling pathways. Nature 383(6603):832–836

    PubMed  Article  CAS  Google Scholar 

  • Lee DH, Yang Y, Lee SJ et al (2003) Macrophage inhibitory cytokine-1 induces the invasiveness of gastric cancer cells by up-regulating the urokinase-type plasminogen activator system. Cancer Res 63(15):4648–4655

    PubMed  CAS  Google Scholar 

  • Li PX, Wong J, Ayed A et al (2000) Placental transforming growth factor-beta is a downstream mediator of the growth arrest and apoptotic response of tumor cells to DNA damage and p53 overexpression. J Biol Chem 275(26):20127–20135

    PubMed  Article  CAS  Google Scholar 

  • Markowitz SD, Roberts AB (1996) Tumor suppressor activity of the TGF-beta pathway in human cancers. Cytokine Growth Factor Rev 7(1):93–102

    PubMed  Article  CAS  Google Scholar 

  • McKillop IH, Moran DM, Jin X, Koniaris LG (2006) Molecular pathogenesis of hepatocellular carcinoma. J Surg Res 136(1):125–135

    PubMed  Article  CAS  Google Scholar 

  • Monks A, Harris E, Hose C, Connelly J, Sausville EA (2003) Genotoxic profiling of MCF-7 breast cancer cell line elucidates gene expression modifications underlying toxicity of the anticancer drug 2-(4-amino-3-methylphenyl)-5-fluorobenzothiazole. Mol Pharmacol 63(3):766–772

    PubMed  Article  CAS  Google Scholar 

  • Newman D, Sakaue M, Koo JS et al (2003) Differential regulation of nonsteroidal anti-inflammatory drug-activated gene in normal human tracheobronchial epithelial and lung carcinoma cells by retinoids. Mol Pharmacol 63(3):557–564

    PubMed  Article  CAS  Google Scholar 

  • Paralkar VM, Vail AL, Grasser WA et al (1998) Cloning and characterization of a novel member of the transforming growth factor-beta/bone morphogenetic protein family. J Biol Chem 273(22):13760–13767

    PubMed  Article  CAS  Google Scholar 

  • Pierce RH, Vail ME, Ralph L, Campbell JS, Fausto N (2002) Bcl-2 expression inhibits liver carcinogenesis and delays the development of proliferating foci. Am J Pathol 160(5):1555–1560

    PubMed  CAS  Google Scholar 

  • Siegel PM, Massague J (2003) Cytostatic and apototic actions of TGF-beta in homeostasis and cancer. Nat Rev Cancer 3(11):807–821

    PubMed  Article  CAS  Google Scholar 

  • Strelau J, Sullivan A, Böttner M, Lingor P, Falkenstein E, Suter-Crazzolara C, Galter D, Jaszai J, Krieglstein K, Unsicker K (2000) Growth/differentiation factor-15/macrophage inhibitory cytokine-1 is a novel trophic factor for midbrain dopaminergic neurons in vivo. J Neurosci 20(23):8597–8603

    PubMed  CAS  Google Scholar 

  • Tan M, Wang Y, Guan K, Sun Y (2000) PTGF-beta, a type beta transforming growth factor (TGF-beta) superfamily member, is a p53 target gene that inhibits tumor cell growth via TGF-beta signaling pathway. Proc Natl Acad Sci USA 97(1):109–114

    PubMed  Article  CAS  Google Scholar 

  • Vail ME, Pierce RH, Fausto N (2001) Bcl-2 delays and alters hepatic carcinogenesis induced by transforming growth factor alpha. Cancer Res 61(2):594–601

    PubMed  CAS  Google Scholar 

  • Weber KL, Bolander ME, Rock MG, Pritchard D, Sarkar G (1998) Evidence for the upregulation of osteogenic protein-1 mRNA expression in musculoskeletal neoplasms. J Orthop Res 16(1):8–14

    PubMed  Article  CAS  Google Scholar 

  • Wilson LC, Baek SJ, Call A, Eling TE (2003) Nonsteroidal anti-inflammatory drug-activated gene (NAG-1) is induced by genistein through the expression of p53 in colorectal cancer cells. Int J Cancer 105(6):747–753

    PubMed  Article  CAS  Google Scholar 

  • Yokoyama-Kobayashi M, Saeki M, Sekine S, Kato S (1997) Human cDNA encoding a novel TGF-beta superfamily protein highly expressed in placenta. J Biochem (Tokyo) 122(3):622–626

    CAS  Google Scholar 

  • Zimmers TA, Jin X, Hsiao EC, McGrath SA, Esquela AF, Koniaris LG (2005) Growth differentiation factor-15/macrophage inhibitory cytokine-1 induction after kidney and lung injury. Shock 23(6):543–548

    PubMed  CAS  Google Scholar 

  • Zimmers TA, Jin X, Hsiao EC et al (2006) Growth differentiation factor-15: induction in liver injury through p53 and tumor necrosis factor-independent mechanisms. J Surg Res 130(1):45–51

    PubMed  Article  CAS  Google Scholar 

Download references

Acknowledgments

The authors wish to thank Dr. Klaus Unsicker of Heidelberg, Germany for his kind gift of anti-GDF-15 antibody. This study was supported by a grant from The National Institutes of Health, GMS Grant #63603 (LGK).

Author information

Affiliations

Authors

Corresponding author

Correspondence to Leonidas G. Koniaris.

Additional information

Teresa A. Zimmers and Xiaoling Jin have contributed equally to this work.

Rights and permissions

Reprints and Permissions

About this article

Cite this article

Zimmers, T.A., Jin, X., Gutierrez, J.C. et al. Effect of in vivo loss of GDF-15 on hepatocellular carcinogenesis. J Cancer Res Clin Oncol 134, 753–759 (2008). https://doi.org/10.1007/s00432-007-0336-4

Download citation

  • Received:

  • Accepted:

  • Published:

  • Issue Date:

  • DOI: https://doi.org/10.1007/s00432-007-0336-4

Keywords

  • Hepatocellular carcinoma
  • Growth/differentiation factor-15
  • Transforming growth factor-β
  • Transgenic/knockout
  • hPDF
  • hPLAB
  • hPTGF-ßPL
  • hNAG-1