Skip to main content

Congenital pulmonary airway malformations: state-of-the-art review for pediatrician’s use

Abstract

Congenital pulmonary airway malformations or CPAM are rare developmental lung malformations, leading to cystic and/or adenomatous pulmonary areas. Nowadays, CPAM are diagnosed prenatally, improving the prenatal and immediate postnatal care and ultimately the knowledge on CPAM pathophysiology. CPAM natural evolution can lead to infections or malignancies, whose exact prevalence is still difficult to assess. The aim of this “state-of-the-art” review is to cover the recently published literature on CPAM management whether the pulmonary lesion was detected during pregnancy or after birth, the current indications of surgery or surveillance and finally its potential evolution to pleuro-pulmonary blastoma.

Conclusion: Surgery remains the cornerstone treatment of symptomatic lesions but the postnatal management of asymptomatic CPAM remains controversial. There are pros and cons of surgical resection, as increasing rate of infections over time renders the surgery more difficult after months or years of evolution, as well as risk of malignancy, though exact incidence is still unknown.

What is known:
Congenital pulmonary airway malformations (CPAM) are rare developmental lung malformations mainly antenatally diagnosed.
While the neonatal management of symptomatic CPAM is clear and includes prompt surgery, controversies remain for asymptomatic CPAM due to risk of infections and malignancies.
What is new:
• Increased rate of infection over time renders the surgery more difficult after months or years of evolution and pushes for recommendation of early elective surgery.
New molecular or pathological pathways may help in the distinction of type 4 CPAM from type I pleuropulmonary blastoma.

This is a preview of subscription content, access via your institution.

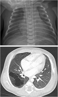
Fig. 1
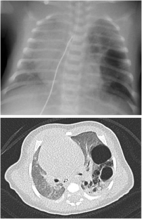
Fig. 2
Fig. 3
Fig. 4

Abbreviations

BAC:

bronchio-alveolar carcinoma

BC:

bronchogenic cysts

BMP4:

bone morphogenic protein 4

BPS:

bronchopulmonary sequestration

CCAM:

congenital cystic adenomatoid malformation

CC10:

clara cell 10

CLE:

congenital lobar emphysema

CPAM:

Congenital pulmonary airway malformation

CT:

computer tomography

CVR:

CPAM volume ratio

EFS:

event free survival

EXIT:

ex utero intrapartum treatment

FABP7:

fat acid binding protein 7

FEV1:

forced expiratory volume in 1 s

FGF10:

fibroblast growth factor-10

FGFR2b:

fibroblast growth factor receptor

FVC:

forced vital capacity (FVC)

MRI:

magnetic resonance imaging

PDGF-B:

platelet-derived growth factor B

PPB:

pleuro-pulmonary blastoma

OS:

overall survival

SPRY2:

Sprouty 2

SSH:

Sonic Hedghog

TGF β:

growth factor β

US:

ultrasound scan

YY1:

Yin Yang 1

References

  1. Abler LL, Mansour SL, Sun X (2009) Conditional gene inactivation reveals roles for Fgf10 and Fgfr2 in establishing a normal pattern of epithelial branching in the mouse lung. Dev Dyn Off Publ Am Assoc Anat 238:1999–2013. https://doi.org/10.1002/dvdy.22032

    CAS  Google Scholar 

  2. Adams S, Jobson M, Sangnawakij P, Heetun A, Thaventhiran A, Johal N, Böhning D, Stanton MP (2017) Does thoracoscopy have advantages over open surgery for asymptomatic congenital lung malformations? An analysis of 1626 resections. J Pediatr Surg 52:247–251. https://doi.org/10.1016/j.jpedsurg.2016.11.014

    Article  PubMed  Google Scholar 

  3. Adzick NS (2010) Open fetal surgery for life-threatening fetal anomalies. Semin Fetal Neonatal Med 15:1–8. https://doi.org/10.1016/j.siny.2009.05.003

    Article  PubMed  Google Scholar 

  4. Alamo L, Reinberg O, Vial Y, Gudinchet F, Rl M (2013) Comparison of foetal US and MRI in the characterisation of congenital lung anomalies. Eur J Radiol 82:e860–e866. https://doi.org/10.1016/j.ejrad.2013.09.012

    Article  PubMed  Google Scholar 

  5. Bagrodia N, Cassel S, Liao J, Pitcher G, Shilyansky J (2014) Segmental resection for the treatment of congenital pulmonary malformations. J Pediatr Surg 49:905–909. https://doi.org/10.1016/j.jpedsurg.2014.01.021

    Article  PubMed  Google Scholar 

  6. Barikbin P, Roehr CC, Wilitzki S, Kalache K, Degenhardt P, Bührer C, Schmalisch G (2015) Postnatal lung function in congenital cystic adenomatoid malformation of the lung. Ann Thorac Surg 99:1164–1169. https://doi.org/10.1016/j.athoracsur.2014.11.018

    Article  PubMed  Google Scholar 

  7. Bellusci S, Furuta Y, Rush MG, Hendersion R, Winnier G, Hogan BL (1997) Involvement of sonic hedgehog (Shh) in mouse embryonic lung growth and morphogenesis. Dev Camb Engl 124:53–63

    CAS  Google Scholar 

  8. Berteloot L, Bobbio A, Millischer-Bellaïche A-E, Lambot K, Breton S, Brunelle F (2012) Congenital malformations of the lung, the radiologist’s point of view. Rev Mal Respir 29:820–835. https://doi.org/10.1016/j.rmr.2011.10.976

    CAS  Article  PubMed  Google Scholar 

  9. Bisogno G, Brennan B, Orbach D, Stachowicz-Stencel T, Cecchetto G, Indolfi P, Bien E, Ferrari A, Dommange-Romero F (2014) Treatment and prognostic factors in pleuropulmonary blastoma: an EXPeRT report. Eur J Cancer Oxf Engl 1990 50:178–184. https://doi.org/10.1016/j.ejca.2013.08.015

    Article  Google Scholar 

  10. Boman F, Hill DA, Williams GM, Chauvenet A, Fournet JC, Soglio DB, Messinger Y, Priest JR (2006) Familial association of pleuropulmonary blastoma with cystic nephroma and other renal tumors: a report from the international Pleuropulmonary Blastoma registry. J Pediatr 149:850–854. https://doi.org/10.1016/j.jpeds.2006.08.068

    Article  PubMed  Google Scholar 

  11. Boucherat O, Landry-Truchon K, Bérubé-Simard F-A, Houde N, Beuret L, Lezmi G, Foulkes WD, Delacourt C, Charron J, Jeannotte L (2015) Epithelial inactivation of Yy1 abrogates lung branching morphogenesis. Dev Camb Engl 142:2981–2995

    CAS  Google Scholar 

  12. Boucherat O, Jeannotte L, Hadchouel A, Delacourt C, Benachi A (2016) Pathomechanisms of congenital cystic lung diseases: focus on congenital cystic Adenomatoid malformation and Pleuropulmonary Blastoma. Paediatr Respir Rev 19:62–68. https://doi.org/10.1016/j.prrv.2015.11.011

    PubMed  Google Scholar 

  13. Calvert JK, Lakhoo K (2007) Antenatally suspected congenital cystic adenomatoid malformation of the lung: postnatal investigation and timing of surgery. J Pediatr Surg 42:411–414. https://doi.org/10.1016/j.jpedsurg.2006.10.015

    Article  PubMed  Google Scholar 

  14. Calzolari F, Braguglia A, Valfrè L, Dotta A, Bagolan P, Morini F (2016) Outcome of infants operated on for congenital pulmonary malformations. Pediatr Pulmonol 51:1367–1372. https://doi.org/10.1002/ppul.23472

    Article  PubMed  Google Scholar 

  15. Casagrande A, Pederiva F (2016) Association Between Congenital Lung Malformations and Lung Tumors in Children and Adults. a Systematic Review. J Thorac Oncol. https://doi.org/10.1016/j.jtho.2016.06.023

  16. Cass DL, Olutoye OO, Ayres NA, Moise KJ Jr, Altman CA, Johnson A, Cassady CI, Lazar DA, Lee TC, Lantin MR (2012) Defining hydrops and indications for open fetal surgery for fetuses with lung masses and vascular tumors. J Pediatr Surg 47:40–45. https://doi.org/10.1016/j.jpedsurg.2011.10.019

    Article  PubMed  Google Scholar 

  17. Cass DL, Olutoye OO, Cassady CI, Zamora IJ, Ivey RT, Ayres NA, Olutoye OA, Lee TC (2013) EXIT-to-resection for fetuses with large lung masses and persistent mediastinal compression near birth. J Pediatr Surg 48:138–144. https://doi.org/10.1016/j.jpedsurg.2012.10.067

    Article  PubMed  Google Scholar 

  18. Cavoretto P, Molina F, Poggi S, Davenport M, Nicolaides KH (2008) Prenatal diagnosis and outcome of echogenic fetal lung lesions. Ultrasound Obstet Gynecol 32:769–783. https://doi.org/10.1002/uog.6218

    CAS  Article  PubMed  Google Scholar 

  19. Chowdhury MM, Chakraborty S (2015) Imaging of congenital lung malformations. Semin Pediatr Surg 24:168–175. https://doi.org/10.1053/j.sempedsurg.2015.02.001

    Article  PubMed  Google Scholar 

  20. Conforti A, Aloi I, Trucchi A, Morini F, Nahom A, Inserra A, Bagolan P (2009) Asymptomatic congenital cystic adenomatoid malformation of the lung: is it time to operate? J Thorac Cardiovasc Surg 138:826–830. https://doi.org/10.1016/j.jtcvs.2009.01.014

    Article  PubMed  Google Scholar 

  21. Cook J, Chitty LS, De Coppi P, Ashworth M, Wallis C (2017) The natural history of prenatally diagnosed congenital cystic lung lesions: long-term follow-up of 119 cases. Arch Dis Child 102:798–803. https://doi.org/10.1136/archdischild-2016-311233

    Article  PubMed  Google Scholar 

  22. Correia-Pinto J, Gonzaga S, Huang Y, Rottier R (2010) Congenital lung lesions--underlying molecular mechanisms. Semin Pediatr Surg 19:171–179. https://doi.org/10.1053/j.sempedsurg.2010.03.003

    Article  PubMed  Google Scholar 

  23. Crombleholme TM, Coleman B, Hedrick H, Liechty K, Howell L, Flake AW, Johnson M, Adzick NS (2002) Cystic adenomatoid malformation volume ratio predicts outcome in prenatally diagnosed cystic adenomatoid malformation of the lung. J Pediatr Surg 37:331–338

    Article  PubMed  Google Scholar 

  24. Davis RP, Mychaliska GB (2013) Neonatal pulmonary physiology. Semin Pediatr Surg 22:179–184. https://doi.org/10.1053/j.sempedsurg.2013.10.005

    Article  PubMed  Google Scholar 

  25. Delestrain C, Khen-Dunlop N, Hadchouel A, Cros P, Ducoin H, Fayon M, Gibertini I, Labbé A, Labouret G, Lebras MN et al (2017) Respiratory morbidity in infants born with a congenital lung malformation. Pediatrics. https://doi.org/10.1542/peds.2016-2988

  26. Derderian SC, Coleman AM, Jeanty C, Lim FY, Shaaban AM, Farrell JA, Hirose S, MacKenzie TC, Lee H (2015) Favorable outcomes in high-risk congenital pulmonary airway malformations treated with multiple courses of maternal betamethasone. J Pediatr Surg 50:515–518

    CAS  Article  PubMed  Google Scholar 

  27. Desseauve D, Dugué-Marechaud M, Maurin S, Gatibelza ME, Vequeau-Goua V, Mergy-Laurent M, Levard G, Pierre F (2015) Performance of prenatal diagnosis and postnatal development of congenital lung malformations. Gynécol Obstét Fertil 43:278–283. https://doi.org/10.1016/j.gyobfe.2015.02.008

    CAS  Article  PubMed  Google Scholar 

  28. Dommange-Romero F, Collardeau-Frachon S, Hameury F (2010) Child pleuropulmonary blastoma. Bull Cancer (Paris) 97:1047–1052. https://doi.org/10.1684/bdc.2010.1172

    CAS  Google Scholar 

  29. Durell J, Thakkar H, Gould S, Fowler D, Lakhoo K (2016) Pathology of asymptomatic, prenatally diagnosed cystic lung malformations. J Pediatr Surg 51:231–235. https://doi.org/10.1016/j.jpedsurg.2015.10.061

    Article  PubMed  Google Scholar 

  30. Eber E (2007) Antenatal diagnosis of congenital thoracic malformations: early surgery, late surgery, or no surgery? Semin Respir Crit Care Med 28:355–366. https://doi.org/10.1055/s-2007-981656

    Article  PubMed  Google Scholar 

  31. EUROCAT. http://www.eurocat-network.eu/accessprevalencedata/prevalencetables. Accessed 17 Jul 2016

  32. Euser AG, Meyers ML, Zaretsky MV, Crombleholme TM (2016) Comparison of congenital pulmonary airway malformation volume ratios calculated by ultrasound and magnetic resonance imaging. J Matern-Fetal Neonatal Med 29:3172–3177. https://doi.org/10.3109/14767058.2015.1118038

    PubMed  Google Scholar 

  33. Fascetti-Leon F, Gobbi D, Pavia SV, Aguino A, Ruggeri G, Gregori G, Lima M (2013) Sparing-lung surgery for the treatment of congenital lung malformations. J Pediatr Surg 48:1476–1480. https://doi.org/10.1016/j.jpedsurg.2013.02.098

    Article  PubMed  Google Scholar 

  34. Feinberg A, Hall NJ, Williams GM, Schultz KA, Miniati D, Hill A, Dehner LP, Messinger YH, Langer JC (2016) Can congenital pulmonary airway malformation be distinguished from type I pleuropulmonary blastoma based on clinical and radiological features? J Pediatr Surg 51:33–37. https://doi.org/10.1016/j.jpedsurg.2015.10.019

    Article  PubMed  Google Scholar 

  35. Gonzaga S, Henriques-Coelho T, Davey M, Zoltick PW, Leite-Moreira AF, Correia-Pinto J, Flake AW (2008) Cystic adenomatoid malformations are induced by localized FGF10 overexpression in fetal rat lung. Am J Respir Cell Mol Biol 39:346–355. https://doi.org/10.1165/rcmb.2007-0290OC

    CAS  Article  PubMed  Google Scholar 

  36. Hadchouel A, Benachi A, Revillon Y, Rousseau V, Martinovic J, Verkarre V, Dumez Y, Delacourt C (2011) Factors associated with partial and complete regression of fetal lung lesions. Ultrasound Obstet Gynecol 38:88–93. https://doi.org/10.1002/uog.8909

    CAS  Article  PubMed  Google Scholar 

  37. Hardee S, Tuzovic L, Silva CT, Cowles RA, Copel J, Morotti RA (2016) Congenital cystic lung lesions: evolution from in-utero to pathology diagnosis - a multidisciplinary approach. Pediatr Dev Pathol Off J Soc Pediatr Pathol Paediatr Pathol Soc. https://doi.org/10.2350/16-05-1815-OA.1

  38. Harini N, Chakravarthy R, Archana L (2012) Congenital pulmonary airway malformation with mucoepidermoid carcinoma: a case report and review of literature. Indian J Pathol Microbiol 55:540–542. https://doi.org/10.4103/0377-4929.107807

    Article  PubMed  Google Scholar 

  39. Hartman GE, Shochat SJ (1983) Primary pulmonary neoplasms of childhood: a review. Ann Thorac Surg 36:108–119

    CAS  Article  PubMed  Google Scholar 

  40. Hellmund A, Berg C, Geipel A, Bludau M, Heydweiller A, Bachour H, Müller A, Müelle A, Gembruch U (2016) Prenatal diagnosis and evaluation of Sonographic predictors for intervention and adverse outcome in congenital pulmonary airway malformation. PLoS One 11:e0150474. https://doi.org/10.1371/journal.pone.0150474

    Article  PubMed  PubMed Central  Google Scholar 

  41. Hill DA, Ivanovich J, Priest JR, Gurnett CA, Dehner LP, Desruisseau D, Jarzembowski JA, Wikenheiser-Brokamp KA, Suarez BK, Whelan AJ et al (2009) DICER1 mutations in familial pleuropulmonary blastoma. Science 325:965. https://doi.org/10.1126/science.1174334

    CAS  Article  PubMed  PubMed Central  Google Scholar 

  42. Jancelewicz T, Nobuhara K, Hawgood S (2008) Laser microdissection allows detection of abnormal gene expression in cystic adenomatoid malformation of the lung. J Pediatr Surg 43:1044–1051. https://doi.org/10.1016/j.jpedsurg.2008.02.027

    Article  PubMed  Google Scholar 

  43. Johnson SM, Grace N, Edwards MJ, Woo R, Puapong D (2011) Thoracoscopic segmentectomy for treatment of congenital lung malformations. J Pediatr Surg 46:2265–2269. https://doi.org/10.1016/j.jpedsurg.2011.09.012

    Article  PubMed  Google Scholar 

  44. Joshi S, Kotecha S (2007) Lung growth and development. Early Hum Dev 83:789–794. https://doi.org/10.1016/j.earlhumdev.2007.09.007

    CAS  Article  PubMed  Google Scholar 

  45. Kapralik J, Wayne C, Chan E, Nasr A (2016) Surgical versus conservative management of congenital pulmonary airway malformation in children: a systematic review and meta-analysis. J Pediatr Surg 51:508–512. https://doi.org/10.1016/j.jpedsurg.2015.11.022

    Article  PubMed  Google Scholar 

  46. Keijzer R, Chiu PPL, Ratjen F, Langer JC (2009) Pulmonary function after early vs late lobectomy during childhood: a preliminary study. J Pediatr Surg 44:893–895. https://doi.org/10.1016/j.jpedsurg.2009.01.021

    Article  PubMed  Google Scholar 

  47. Khemiri M, Khaldi F, Hamzaoui A, Chaouachi B, Hamzaoui M, Becher SB, Bellagha I, Barsaoui (2009) Cystic pulmonary malformations: clinical and radiological polymorphism. A report on 30 cases. Rev Pneumol Clin 65:333–340. https://doi.org/10.1016/jpneumo2009.08.002

    CAS  Article  PubMed  Google Scholar 

  48. Kim HK, Choi YS, Kim K, Shim YM, GW K, Ahn KM, Lee SI, Kim J (2008) Treatment of congenital cystic adenomatoid malformation: should lobectomy always be performed? Ann Thorac Surg 86:249–253. https://doi.org/10.1016/j.athoracsur.2008.01.036

    Article  PubMed  Google Scholar 

  49. Kreiger PA, Ruchelli ED, Mahboubi S, Hedrick H, Scott Adzick N, Russo PA (2006) Fetal pulmonary malformations: defining histopathology. Am J Surg Pathol 30:643–649. https://doi.org/10.1097/01.pas.0000202160.03611.5b

    Article  PubMed  Google Scholar 

  50. Kulaylat AN, Engbrecht BW, Hollenbeak CS, Safford SD, Cilley RE, Dillon PW (2015) Comparing 30-day outcomes between thoracoscopic and open approaches for resection of pediatric congenital lung malformations: evidence from NSQIP. J Pediatr Surg 50:1716–1721. https://doi.org/10.1016/j.jpedsurg.2015.06.007

    Article  PubMed  Google Scholar 

  51. Kunisaki SM, Ehrenberg-Buchner S, Dillman JR, Smith EA, Mychaliska GB, Treadwell MC (2015) Vanishing fetal lung malformations: prenatal sonographic characteristics and postnatal outcomes. J Pediatr Surg 50:978–982. https://doi.org/10.1016/j.jpedsurg.2015.03.025

    Article  PubMed  Google Scholar 

  52. Laberge J-M, Bratu I, Flageole H (2004) The management of asymptomatic congenital lung malformations. Paediatr Respir Rev 5(Suppl A):S305–S312

    Article  PubMed  Google Scholar 

  53. Langston C (2003) New concepts in the pathology of congenital lung malformations. Semin Pediatr Surg 12:17–37. https://doi.org/10.1053/spsu.2003.00001

    Article  PubMed  Google Scholar 

  54. Lawal TA, Gosemann J-H, Kuebler JF, Glüer S, Ure BM (2009) Thoracoscopy versus thoracotomy improves midterm musculoskeletal status and cosmesis in infants and children. Ann Thorac Surg 87:224–228. https://doi.org/10.1016/j.athoracsur.2008.08.069

    Article  PubMed  Google Scholar 

  55. Lee FL, Said N, Grikscheit TC, Shin CE, Llanes A, Chmait RH (2012) Treatment of congenital pulmonary airway malformation induced hydrops fetalis via percutaneous sclerotherapy. Fetal Diagn Ther 31:264–268. https://doi.org/10.1159/000336226

    Article  PubMed  Google Scholar 

  56. Lezmi G, Hadchouel A, Khen-Dunlop N, Vibhushan S, Benachi A, Delacourt C (2013) Congenital cystic adenomatoid malformations of the lung: diagnosis, treatment, pathophysiological hypothesis. Rev Pneumol Clin 69:190–197. https://doi.org/10.1016/j.pneumo.2013.06.001

    CAS  Article  PubMed  Google Scholar 

  57. Li J, Chen G-S, Zhang X, Moore L, Cheng H (2014) Congenital cystic adenomatoid malformation with associated mucinous bronchioloalveolar carcinoma in a neonate. Fetal Pediatr Pathol 33:29–34. https://doi.org/10.3109/15513815.2013.842272

    Article  PubMed  Google Scholar 

  58. Liechty KW, Crombleholme TM, Quinn TM, Cass DL, Flake AW, Adzick NS (1999) Elevated platelet-derived growth factor-B in congenital cystic adenomatoid malformations requiring fetal resection. J Pediatr Surg 34:805–809 discussion 809-810

    CAS  Article  PubMed  Google Scholar 

  59. Lima JS, Camargos PAM, Aguiar RALP, Campos AS, Aquiar MJ (2014) Pre and perinatal aspects of congenital cystic adenomatoid malformation of the lung. J Matern-Fetal Neonatal Med 27:228–232. https://doi.org/10.3109/14767058.2013.807236

    Article  PubMed  Google Scholar 

  60. Loh KC, Jelin E, Hirose S, Feldstein V, Goldstein R, Lee H (2012) Microcystic congenital pulmonary airway malformation with hydrops fetalis: steroids vs open fetal resection. J Pediatr Surg 47:36–39. https://doi.org/10.1016/j.jpedsurg.2011.10.015

    Article  PubMed  Google Scholar 

  61. Makhija Z, Moir CR, Allen MS, Cassivi SD, Deschamps S, Nichols FC III, Wigle DA, Shen KR (2011) Surgical management of congenital cystic lung malformations in older patients. Ann Thorac Surg 91:1568–1573; discussion 1573. https://doi.org/10.1016/j.athoracsur.2011.01.080

    Article  PubMed  Google Scholar 

  62. Messinger YH, Stewart DR, Priest JR, Williams GM, Schultz KA, Yang J, Doros L, Rosenberg PS, Hill DA, Dehner LP (2015) Pleuropulmonary blastoma: a report on 350 central pathology-confirmed pleuropulmonary blastoma cases by the international Pleuropulmonary Blastoma registry. Cancer 121:276–285. https://doi.org/10.1002/cncr.29032

    Article  PubMed  Google Scholar 

  63. Morotti RA, Gutierrez MC, Askin F, Profitt SA, Wert SE, Whitsett JA, Greco MA (2000) Expression of thyroid transcription factor-1 in congenital cystic adenomatoid malformation of the lung. Pediatr Dev Pathol 3:455–461

    CAS  Article  PubMed  Google Scholar 

  64. Morrisey EE, Hogan BLM (2010) Preparing for the first breath: genetic and cellular mechanisms in lung development. Dev Cell 18:8–23. https://doi.org/10.1016/j.devcel.2009.12.010

    CAS  Article  PubMed  PubMed Central  Google Scholar 

  65. Mullassery D, Smith NP (2015) Lung development. Semin Pediatr Surg 24:152–155. https://doi.org/10.1053/j.sempedsurg.2015.01.011

    Article  PubMed  Google Scholar 

  66. Nasr A, Bass J (2012) Thoracoscopic vs open resection of congenital lung lesions: a meta-analysis. J Pediatr Surg 47:857–861. https://doi.org/10.1016/j.jpedsurg.2012.01.036

    Article  PubMed  Google Scholar 

  67. Nasr A, Himidan S, Pastor AC, Taylor G, Kim PC (2010) Is congenital cystic adenomatoid malformation a premalignant lesion for pleuropulmonary blastoma? J Pediatr Surg 45:1086–1089. https://doi.org/10.1016/j.jpedsurg.2010.02.067

    Article  PubMed  Google Scholar 

  68. Ochieng JK, Schilders K, Kool H, Boerema-De Munck A, Buscop-Van Kempen M, Gontan C, Smits R, Grosveld FG, Wijnen RM, Tibboel D et al (2014) Sox2 regulates the emergence of lung basal cells by directly activating the transcription of Trp63. Am J Respir Cell Mol Biol 51:311–322. https://doi.org/10.1165/rcmb.2013-0419OC

    PubMed  Google Scholar 

  69. Pacharn P, Kline-Fath B, Calvo-Garcia M, Linam LE, Rubio EI, Salisbury S, Brody AS (2013) Congenital lung lesions: prenatal MRI and postnatal findings. Pediatr Radiol 43:1136–1143. https://doi.org/10.1007/s00247-013-2668-3

    Article  PubMed  Google Scholar 

  70. Papagiannopoulos KA, Sheppard M, Bush AP, Goldstraw P (2001) Pleuropulmonary blastoma: is prophylactic resection of congenital lung cysts effective? Ann Thorac Surg 72:604–605

    CAS  Article  PubMed  Google Scholar 

  71. Parikh DH, Rasiah SV (2015) Congenital lung lesions: postnatal management and outcome. Semin Pediatr Surg 24:160–167. https://doi.org/10.1053/j.sempedsurg.2015.01.013

    Article  PubMed  Google Scholar 

  72. Peranteau WH, Boelig MM, Khalek N, Moldenhauer JS, Martinez-Poyer J, Hedrick HL, Klake AW, Johnson MP, Adzick NS (2016) Effect of single and multiple courses of maternal betamethasone on prenatal congenital lung lesion growth and fetal survival. J Pediatr Surg 51:28–32

    Article  PubMed  Google Scholar 

  73. Polites SF, Habermann EB, Zarroug AE, Thomsen KM, Potter DD (2016) Thoracoscopic Vs open resection of congenital cystic lung disease- utilization and outcomes in 1120 children in the United States. J Pediatr Surg 51:1101–1105. https://doi.org/10.1016/j.jpedsurg.2015.12.004

    Article  PubMed  Google Scholar 

  74. Rittié J-L, Morelle K, Micheau P, Rancé F, Brémont F (2004) Long-term outcome of lung malformation in children. Arch Pédiatr Organe Off Soc Fr Pediatrie 11:520–521. https://doi.org/10.1016/j.arcped.2004.03.064

    Article  Google Scholar 

  75. Rothenberg SS, Pokorny WJ (1992) Experience with a total muscle-sparing approach for thoracotomies in neonates, infants, and children. J Pediatr Surg 27:1157–1159 discussion 1159-1160

    CAS  Article  PubMed  Google Scholar 

  76. Rothenberg SS, Shipman K, Kay S, Kadenhe-Chiweshe A, Thirumoorthi A, Garcia A, Czauderna P, Kravarusic D, Freud E (2014) Thoracoscopic segmentectomy for congenital and acquired pulmonary disease: a case for lung-sparing surgery. J Laparoendosc Adv Surg Tech A 24:50–54. https://doi.org/10.1089/lap.2013.0337

    Article  PubMed  Google Scholar 

  77. Rothenberg SS, Middlesworth W, Kadennhe-Chiweshe A, Aspelund G, Kuenzler K, Cowles R, Bodenstein L, Kay S, Shipman K, Rothenberg C et al (2015) Two decades of experience with thoracoscopic lobectomy in infants and children: standardizing techniques for advanced thoracoscopic surgery. J Laparoendosc Adv Surg Tech A 25:423–428. https://doi.org/10.1089/lap.2014.0350

    Article  PubMed  Google Scholar 

  78. Ruchonnet-Metrailler I, Leroy-Terquem E, Stirnemann J, Cros P, Ducoin H, Hadchouel A, Khen-Dunlop N, Labbé A, Labouret G, Lebras MN, Lezmi G, Madhi F et al (2014) Neonatal outcomes of prenatally diagnosed congenital pulmonary malformations. Pediatrics 133:e1285–e1291. https://doi.org/10.1542/peds.2013-2986

    Article  PubMed  Google Scholar 

  79. Saeed A, Kazmierski M, Khan A, McShane D, Gomez A, Aslam A (2013) Congenital lung lesions: preoperative three-dimensional reconstructed CT scan as the definitive investigation and surgical management. Eur J Pediatr Surg 23:53–56. https://doi.org/10.1055/s-0033-1333890

    Article  PubMed  Google Scholar 

  80. Schrey S, Kelly EN, Langer JC, Davies GA, Windrim R, Seaward PG, Ryan G (2012) Fetal thoracoamniotic shunting for large macrocystic congenital cystic adenomatoid malformations of the lung. Ultrasound Obstet Gynecol 39:515–520. https://doi.org/10.1002/uog.11084

    CAS  Article  PubMed  Google Scholar 

  81. Sekine K, Ohuchi H, Fujiwara M, Yamasaki M, Yoshizawa T, Sato T, Yagishita N, Matsui D, Koga Y, Itoh N et al (1999) Fgf10 is essential for limb and lung formation. Nat Genet 21:138–141. https://doi.org/10.1038/5096

    CAS  Article  PubMed  Google Scholar 

  82. Singh R, Davenport M (2015) The argument for operative approach to asymptomatic lung lesions. Semin Pediatr Surg 24:187–195. https://doi.org/10.1053/j.sempedsurg.2015.02.003

    Article  PubMed  Google Scholar 

  83. Stanton M, Njere I, Ade-Ajayi N, Patel S, Davenport M (2009) Systematic review and meta-analysis of the postnatal management of congenital cystic lung lesions. J Pediatr Surg 44:1027–1033. https://doi.org/10.1016/j.jpedsurg.2008.10.118

    Article  PubMed  Google Scholar 

  84. Stocker JT (2002) Symposium 24: non-neoplastic lung disease. Histopathology 41:424–458. https://doi.org/10.1046/j.1365-2559.41.s2.58.x

    Article  Google Scholar 

  85. Stocker JT (2002) Congenital pulmonary airway malformation: a new name for and an expanded classification of congenital cystic adenomatoid malformation of the lung. Histopathology 41:424–430

  86. Stocker JT, Madewell JE, Drake RM (1977) Congenital cystic adenomatoid malformation of the lung. Classification and morphologic spectrum. Hum Pathol 8:155–171

    CAS  Article  PubMed  Google Scholar 

  87. Volckaert T, Campbell A, Dill E, Li C, Minoo P, De Langhe S (2013) Localized Fgf10 expression is not required for lung branching morphogenesis but prevents differentiation of epithelial progenitors. Dev Camb Engl 140:3731–3742. https://doi.org/10.1242/dev.096560

    CAS  Google Scholar 

  88. Volpe MV, Pham L, Lessin M, Ralston SJ, Bhan I, Cutz E, Nielsen HC (2003) Expression of Hoxb-5 during human lung development and in congenital lung malformations. Birth Defects Res A Clin Mol Teratol 67:550–556

    CAS  Article  PubMed  Google Scholar 

  89. Volpe MV, Chung E, Ulm JP, Gilchrist BF, Ralston S, Wang KT, Nielsen HC (2009) Aberrant cell adhesion molecule expression in human bronchopulmonary sequestration and congenital cystic adenomatoid malformation. Am J Physiol Lung Cell Mol Physiol 297:L143–L152. https://doi.org/10.1152/ajplung.90618.2008

    CAS  Article  PubMed  PubMed Central  Google Scholar 

  90. Wagner AJ, Stumbaugh A, Tigue Z, Edmondson J, Paquet AC, Farmer DL, Hawgood S (2008) Genetic analysis of congenital cystic adenomatoid malformation reveals a novel pulmonary gene: fatty acid binding protein-7 (brain type). Pediatr Res 64:11–16. https://doi.org/10.1203/PDR.0b013e318174eff8

    CAS  Article  PubMed  Google Scholar 

  91. Wang A, D’Amico TA, Berry MF (2014) Surgical management of congenital pulmonary malformations after the first decade of life. Ann Thorac Surg 97:1933–1938. https://doi.org/10.1016/j.athoracsur.2014.01.053

    Article  PubMed  Google Scholar 

  92. Wilson RD, Hedrick HL, Liechty KW, Flakebbington M, Adzick NS (2006) Cystic adenomatoid malformation of the lung: review of genetics, prenatal diagnosis, and in utero treatment. Am J Med Genet A 140:151–155. https://doi.org/10.1002/ajmg.a.31031

    Article  PubMed  Google Scholar 

  93. Zamora IJ, Sheikh F, Cassady CI, Olutoye OO, Mehollin-Ray AR, Ruano R, Lee TC, Welty SE, Belfort CG, Ethun CG et al (2014) Fetal MRI lung volumes are predictive of perinatal outcomes in fetuses with congenital lung masses. J Pediatr Surg 49:853–858; discussion 858. https://doi.org/10.1016/j.jpedsurg.2014.01.012

    Article  PubMed  Google Scholar 

  94. Zhang Z-J, Huang M-X (2015) Children with congenital cystic adenomatoid malformation of the lung CT diagnosis. Int J Clin Exp Med 8:4415–4419

    PubMed  PubMed Central  Google Scholar 

Download references

Acknowledgements

The authors want to gratefully thank Emily Barrios for her kind review of English editing.

Funding

The authors have no funding to declare.

Author information

Affiliations

Authors

Contributions

Claire Leblanc: collect data, write the draft, approve final manuscript.

Marguerite Baron: collect data, write the draft, approve final manuscript.

Emilie Desselas: collect data, write the draft, approve final manuscript.

Minh Hanh Phan: collect data, write the draft, approve final manuscript.

Alexis Rybak: collect data, write the draft, approve final manuscript.

Guillaume Thouvenin : critical analysis of the manuscript, approve final manuscript.

Clara Lauby: collect data, write the draft, approve final manuscript.

Sabine Irtan: design the study, critical analysis of the manuscript, approve final manuscript.

Corresponding author

Correspondence to Sabine Irtan.

Ethics declarations

Conflict of interest

The authors declare that they have no conflict of interest.

Informed consent

No informed consent was needed for this article.

This article does not contain any studies with human participants or animals performed by any of the authors.

Additional information

Communicated by Peter de Winter

Rights and permissions

Reprints and Permissions

About this article

Verify currency and authenticity via CrossMark

Cite this article

Leblanc, C., Baron, M., Desselas, E. et al. Congenital pulmonary airway malformations: state-of-the-art review for pediatrician’s use. Eur J Pediatr 176, 1559–1571 (2017). https://doi.org/10.1007/s00431-017-3032-7

Download citation

  • Received:

  • Revised:

  • Accepted:

  • Published:

  • Issue Date:

  • DOI: https://doi.org/10.1007/s00431-017-3032-7

Keywords

  • CPAM
  • State of the art
  • Pleuropulmonary blastoma