Abstract
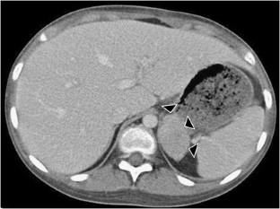
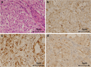
Adrenocortical oncocytomas are rarely reported, occur almost exclusively in adults, and are mostly nonfunctional. Here, we report an interleukin-6 (IL-6)-producing adrenocortical oncocytoma in an 11-year-old girl presenting with fever, body weight loss, and increased levels of inflammatory markers and serum IL-6. Imaging studies revealed a 4-cm mass in the left adrenal gland. After complete resection, laboratory findings returned to normal. Histology was consistent with adrenocortical oncocytoma, and the tumor cells stained positive for IL-6. Conclusion: IL-6-producing adrenocortical oncocytoma should be included in the differential diagnosis and imaging studies should be performed in patients presenting with persistent fever of unknown origin and high levels of inflammatory markers.


Abbreviations
- FUO:
-
Fever of unknown origin
- IL-6:
-
Interleukin-6
References
Akatsu T, Kameyama K, Araki K, Ashizawa T, Wakabayashi G, Kitajima M (2008) Functioning adrenocortical oncocytoma: the first documented case producing interleukin-6 and review of the literature. J Endocrinol Invest 31:68–73
Gumy-Pause F, Bongiovanni M, Wildhaber B, Jenkins JJ, Chardot C, Ozsahin H (2008) Adrenocortical oncocytoma in a child. Pediatr Blood Cancer 50:718–721
Kishimoto T (2010) IL-6: from its discovery to clinical applications. Int Immunol 22:347–352
Kushlinskii NE, Britvin TA, Kazantseva IA, Baronin AA, Polikarpova SB, Bogatyrev OP, Tishenina RS, Kalinin AP (2004) Serum interleukin-6 in patients with adrenal tumors. Bull Exp Biol Med 137:273–275
Lim YJ, Lee SM, Shin JH, Koh HC, Lee YH (2010) Virilizing adrenocortical oncocytoma in a child: a case report. J Korean Med Sci 25:1077–1079
Mearini L, Del Sordo R, Costantini E, Nunzi E, Porena M (2013) Adrenal oncocytic neoplasm: a systematic review. Urol Int 91:125–133
Nagaishi R, Akehi Y, Ashida K, Higuchi-Tubouchi K, Yokoyama H, Nojiri T, Aoki M, Anzai K, Nabeshima K, Tanaka M, Ono J, Yanase T (2010) Acute inflammatory syndrome and intrahepatic cholestasis caused by an interleukin-6-producing pheochromocytoma with pregnancy. Fukuoka Acta Med 101:10–18
Päth G, Bornstein SR, Ehrhart-Bornstein M, Scherbaum WA (1997) Interleukin-6 and the interleukin-6 receptor in the human adrenal gland: expression and effects on steroidogenesis. J Clin Endocrinol Metab 82:2343–2349
Subbiah S, Nahar U, Samujh R, Bhansali A (2013) Heterosexual precocity: rare manifestation of virilizing adrenocortical oncocytoma. Ann Saudi Med 33:294–297
Tahar GT, Nejib KN, Sadok SS, Rachid LM (2008) Adrenocortical oncocytoma: a case report and review of literature. J Pediatr Surg 43:E1–E3
Acknowledgments
The authors thank Dr. Takaharu Ohue and Dr. Kinji Yokomori (Department of Pediatric Surgery, Jichi Medical University) for performing the surgical resection.
Conflict of interest
The authors have no conflicts of interest to declare.
Author information
Authors and Affiliations
Corresponding author
Additional information
Communicated by Beat Steinmann
Rights and permissions
About this article
Cite this article
Kawahara, Y., Morimoto, A., Onoue, A. et al. Persistent fever and weight loss due to an interleukin-6-producing adrenocortical oncocytoma in a girl—review of the literature. Eur J Pediatr 173, 1107–1110 (2014). https://doi.org/10.1007/s00431-014-2292-8
Received:
Revised:
Accepted:
Published:
Issue Date:
DOI: https://doi.org/10.1007/s00431-014-2292-8