Skip to main content

Isolated torsion of the fallopian tube: a case report and review of the literature

Abstract

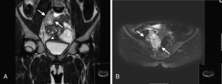
Isolated torsion of the fallopian tube is a rare medical emergency, especially in premenarchal girls. We present a 9-year-old girl with right-sided lower abdominal pain. Isolated torsion of the fallopian tube was suspected preoperatively because of the clinical presentation combined with the results of ultrasound and magnetic resonance imaging (MRI). At emergency laparoscopy, the isolated torsion of the fallopian tube could be reduced, and the tube could be salvaged. This case report shows that the use of ultrasonography and MRI or CT is a helpful diagnostic tool to recognize this condition at an early stage. Especially in young girls presenting with abdominal pain, this should be kept in mind, as digital vaginal examination and vaginal ultrasound most often cannot be used in the diagnostic process. In conclusion, because prompt surgical intervention is required to preserve the tube and prevent progression to peritonitis and possible detrimental effects on future fertility, isolated torsion of the fallopian tube should be considered in the differential diagnosis of lower abdominal pain in all female patients regardless of age.

This is a preview of subscription content, access via your institution.

Fig. 1
Fig. 2

References

  1. Adekanmi OA, Barrington JW, Edwards G, Farrell D (2000) Isolated torsion and haemorrhagic infarction of a normal fallopian tube in an eleven year old girl. BJOG 107(8):1047–1048

    PubMed  Article  CAS  Google Scholar 

  2. Baumgartel PB, Fleischer AC, Cullinen JA, Bluth RF (1996) Color Doppler sonography of tubal torsion. Ultrasound Obstet Gynecol 7(5):367–370

    PubMed  Article  CAS  Google Scholar 

  3. Bernardus RE, Van der Slikke JW, Roex AJ, Dijkhuizen GH, Stolk JG (1984) Torsion of the fallopian tube: some considerations on its etiology. Obstet Gynecol 64(5):675–678

    PubMed  CAS  Google Scholar 

  4. Dadhwal V, Gupta N, Gupta B, Deka D, Mittal S (2009) Laparoscopic management of isolated fallopian tube torsion in a premenarchal 13-year old adolescent girl. Arch Gynecol Obstet 279(6):909–910

    PubMed  Article  Google Scholar 

  5. Duffy TJ (1981) Torsion of the Fallopian tube in a premenarchal girl. Postgrad Med J 57(666):267–268

    PubMed  Article  CAS  Google Scholar 

  6. Ferrera PC, Kass LE, Verdile VP (1995) Torsion of the fallopian tube. Am J Emerg Med 13(3):312–314

    PubMed  Article  CAS  Google Scholar 

  7. Goktolga U, Ceyhan T, Ozturk H, Gungor S, Zeybek N, Keskin U, Ciftpinar R, Baser I (2007) Isolated torsion of the fallopian tube in a premenarcheal 12-year old girl. J Obstet Gynaecol Res 33:215–217

    PubMed  Article  Google Scholar 

  8. Hansen OH (1970) Isolated torsion of the Fallopian tube. Acta Obstet Gynecol Scand 49(1):3–6

    PubMed  Article  CAS  Google Scholar 

  9. Harmon JC, Binkovitz LA, Binkovitz LE (2008) Isolated fallopian tube torsion: sonographic and CT features. Pediatr Radiol 38(2):175–179

    PubMed  Article  Google Scholar 

  10. Huang FJ, Chang SY, Lu YJ (1999) Laparoscopic treatment of isolated tubal torsion in a premenarchal girl. J Am Assoc Gynecol Laparosc 6(2):209–211

    PubMed  Article  CAS  Google Scholar 

  11. Kurzbart E, Mares AJ, Cohen Z, Mordehai J, Finaly R (1994) Isolated torsion of the fallopian tube in premenarcheal girls. J Pediatr Surg 29(10):1384–1385

    PubMed  Article  CAS  Google Scholar 

  12. Markhardt BK, Jones L, Drugas GT (2008) Isolated torsion of the fallopian tube in a menarchal 11-year-old girl. Pediatr Emerg Care 24(6):374–376

    PubMed  Article  Google Scholar 

  13. Merlini L, Anooshiravani M, Vunda A, Borzani I, Napolitano M, Hanquinet S (2008) Noninflammatory fallopian tube pathology in children. Pediatr Radiol 38(12):1330–1337

    PubMed  Article  Google Scholar 

  14. Orazi C, Inserra A, Lucchetti MC, Schingo PM (2006) Isolated tubal torsion: a rare cause of pelvic pain at menarche. Sonographic and MR findings. Pediatr Radiol 36(12):1316–1318

    PubMed  Article  Google Scholar 

  15. Park BK, Kim CK, Kim B (2008) Isolated tubal torsion: specific signs on preoperative computed tomography and magnetic resonance imaging. Acta Radiol 2:233–235

    Article  Google Scholar 

  16. Phillips K, Fino ME, Kump L, Berkeley A (2009) Chronic isolated fallopian tube torsion. Fertil Steril 92(1):394.e1–394.e3

    Article  Google Scholar 

  17. Perez-Medina T, Bueno B, Redondo T, Gallego I, Bajo-Arenas J (2008) Torsion of the fallopian tube and acute pelvic pain: an unusual presentation of genital tuberculosis. Fertil Steril 89(6):1810–1811

    PubMed  Article  Google Scholar 

  18. Rizk DE, Lakshminarasimha B, Joshi S (2002) Torsion of the fallopian tube in an adolescent female: a case report. J Pediatr Adolesc Gynecol 15(3):159–161

    PubMed  Article  Google Scholar 

  19. Terada Y, Murakami T, Nakamura S, Sato Y, Niikura H, Ito K, Yaegashi N, Okamura K (2004) Isolated torsion of the distal part of the fallopian tube in a premenarcheal 12 year old girl: a case report. Tohoku J Exp Med 202(3):239–243

    PubMed  Article  Google Scholar 

  20. Vijayaraghavan SB, Senthil S (2009) Isolated torsion of the fallopian tube: the sonographic whirlpool sign. J Ultrasound Med 28(5):657–662

    PubMed  Google Scholar 

Download references

Author information

Affiliations

Authors

Corresponding author

Correspondence to Moniek van der Zanden.

Rights and permissions

Reprints and Permissions

About this article

Cite this article

van der Zanden, M., Nap, A. & van Kints, M. Isolated torsion of the fallopian tube: a case report and review of the literature. Eur J Pediatr 170, 1329–1332 (2011). https://doi.org/10.1007/s00431-011-1484-8

Download citation

  • Received:

  • Accepted:

  • Published:

  • Issue Date:

  • DOI: https://doi.org/10.1007/s00431-011-1484-8

Keywords

  • Isolated torsion of the fallopian tube
  • Abdominal pain
  • Prepubertal girl