Skip to main content

Fibrodysplasia ossificans progressiva (FOP): watch the great toes!

Abstract

Fibrodysplasia ossificans progressiva (FOP) is a rare genetic disorder and the most disabling condition of heterotopic (extraskeletal) ossification in humans. Extraskeletal bone formation associated with inflammation preceding the osseous conversion usually begins in the first decade, predominantly in the head, neck, and shoulders. All patients have malformed great toes. Most patients have a spontaneous mutation of the ACVR1 gene. We report a 17-year-old girl with malformed great toes who had her first episode of heterotopic ossification and impaired mobility of the left hip at the age of 13 years. No inflammatory fibroproliferative masses preceded the onset of heterotopic ossification. Radiographic studies demonstrated myositis ossificans, but failure to associate the great toe malformation with heterotopic ossification led to a failure to diagnose FOP. She underwent repeated and unnecessary operative procedures to remove a recurrent lesion. FOP was finally suspected when the great toe malformation was correlated with the trauma-induced heterotopic ossification. Genetic analysis confirmed the presence of the classic FOP mutation (ACVR1 c.617G>A; R206H). This case highlights the importance of examining the great toes in anyone with heterotopic ossification. The association of malformations of the great toe with heterotopic ossification in all cases of classic FOP will lead to prompt clinical diagnosis and the prevention of iatrogenic harm.

This is a preview of subscription content, access via your institution.

Fig. 1
Fig. 2
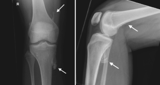
Fig. 3
Fig. 4

References

  1. Anonymous (2010) The medical management of FOP: current treatment considerations. www.ifopa.org

  2. Cohen RB, Hahn GV, Tabas JA et al (1993) The natural history of heterotopic ossification in patients who have fibrodysplasia ossificans progressiva. A study of forty-four patients. J Bone Joint Surg Am 75:215–219

    CAS  PubMed  Google Scholar 

  3. Connor JM, Evans DA (1982) Fibrodysplasia ossificans progressiva. The clinical features and natural history of 34 patients. J Bone Joint Surg Br 64:76–83

    CAS  PubMed  Google Scholar 

  4. Deirmengian GK, Hebela NM, O’Connell M et al (2008) Proximal tibial osteochondromas in patients with fibrodysplasia ossificans progressiva. J Bone Joint Surg Am 90:366–374

    Article  PubMed  Google Scholar 

  5. Glaser DL, Kaplan FS (2005) Treatment considerations for the management of fibrodysplasia ossificans progressiva. Clin Rev Bone Mineral Metabol 3:243–250

    Article  Google Scholar 

  6. Glaser DL, Rocke DM, Kaplan FS (1998) Catastrophic falls in patients who have fibrodysplasia ossificans progressiva. Clin Orthop Relat Res 346:110–116

    Article  PubMed  Google Scholar 

  7. Kaplan FS, Glaser DL, Pignolo RJ, Shore EM (2007) A new era for fibrodysplasia ossificans progressiva: a druggable target for the second skeleton. Expert Opin Biol Ther 7:705–712

    CAS  Article  PubMed  Google Scholar 

  8. Kaplan FS, Glaser DL, Shore EM et al (2005) The phenotype of fibrodysplasia ossificans progressiva. Clin Rev Bone Mineral Metabol 3:183–188

    Article  Google Scholar 

  9. Kaplan FS, Glaser DL, Shore EM et al (2007) Hematopoietic stem-cell contribution to ectopic skeletogenesis. J Bone Joint Surg Am 89:347–357

    Article  PubMed  Google Scholar 

  10. Kaplan FS, Groppe J, Pignolo RJ, Shore EM (2007) Morphogen receptor genes and metamorphogenes: skeleton keys to metamorphosis. Ann N Y Acad Sci 1116:113–133

    CAS  Article  PubMed  Google Scholar 

  11. Kaplan FS, Le Merrer M, Glaser DL et al (2008) Fibrodysplasia ossificans progressiva. Best Pract Res Clin Rheumatol 22:191–205

    CAS  Article  PubMed  Google Scholar 

  12. Kaplan FS, Shore EM (2008) Fibrodysplasia (myositis) ossificans progressiva. In: Rosen CS (ed) Primer on the metabolic bone diseases and disorders of mineral metabolism. The American Society for Bone and Mineral Research, Lippincott-Raven, Philadelphia, pp 442–444

  13. Kaplan FS, Shore EM, Connor JM (2002) Fibrodysplasia ossificans progressiva. In: Royce PM, Steinmann B (eds) Connective tissue and its heritable disorders: molecular, genetic, and medical aspects, 2nd edn. Wiley-Liss, New York, pp 827–840

    Google Scholar 

  14. Kaplan FS, Tabas JA, Gannon FH et al (1993) The histopathology of fibrodysplasia ossificans progressiva. An endochondral process. J Bone Joint Surg Am 75:220–230

    CAS  PubMed  Google Scholar 

  15. Kaplan FS, Xu M, Glaser DL et al (2008) Early diagnosis of fibrodysplasia ossificans progressiva. Pediatrics 121:e1295–e1300

    Article  PubMed  Google Scholar 

  16. Kaplan FS, Xu M, Seemann P, Connor JM et al (2009) Classic and atypical fibrodysplasia ossificans progressiva (FOP) phenotypes are caused by mutations in the bone morphogenetic protein (BMP) type I receptor ACVR1. Hum Mutat 30:379–390

    CAS  Article  PubMed  Google Scholar 

  17. Kitterman JA, Kantanie S, Rocke DM, Kaplan FS (2005) Iatrogenic harm caused by diagnostic errors in fibrodysplasia ossificans progressiva. Pediatrics 116:e654–e661

    Article  PubMed  Google Scholar 

  18. Lanchoney TF, Cohen RB, Rocke DM et al (1995) Permanent heterotopic ossification at the injection site after diphtheria–tetanus–pertussis immunizations in children who have fibrodysplasia ossificans progressiva. J Pediatr 126:762–764

    CAS  Article  PubMed  Google Scholar 

  19. McKusick VA (2010) Heritable disorders of connective tissue. Mosby, St Louis, MO

    Google Scholar 

  20. Rocke DM, Zasloff M, Peeper J et al (1994) Age- and joint-specific risk of initial heterotopic ossification in patients who have fibrodysplasia ossificans progressiva. Clin Orthop Relat Res 301:243–248

    PubMed  Google Scholar 

  21. Scarlett RF, Rocke DM, Kantanie S et al (2004) Influenza-like viral illnesses and flare-ups of fibrodysplasia ossificans progressiva. Clin Orthop Relat Res 423:275–279

    Article  PubMed  Google Scholar 

  22. Schaffer AA, Kaplan FS, Tracy MR et al (2005) Developmental anomalies of the cervical spine in patients with fibrodysplasia ossificans progressiva are distinctly different from those in patients with Klippel–Feil syndrome: clues from the BMP signaling pathway. Spine (Phila Pa 1976) 30:1379–1385

    Google Scholar 

  23. Shen Q, Little SC, Xu M et al (2009) The fibrodysplasia ossificans progressiva R206H ACVR1 mutation activates BMP-independent chondrogenesis and zebrafish embryo ventralization. J Clin Invest 119:3462–3472

    CAS  PubMed  Google Scholar 

  24. Shore EM, Feldman GJ, Xu M, Kaplan FS (2005) The genetics of fibrodysplasia ossificans progressiva. Clin Rev Bone Mineral Metabol 3:201–204

    CAS  Article  Google Scholar 

  25. Shore EM, Kaplan FS (2008) Insights from a rare genetic disorder of extra-skeletal bone formation, fibrodysplasia ossificans progressiva (FOP). Bone 43:427–433

    CAS  Article  PubMed  Google Scholar 

  26. Shore EM, Xu M, Feldman GJ et al (2006) A recurrent mutation in the BMP type I receptor ACVR1 causes inherited and sporadic fibrodysplasia ossificans progressiva. Nat Genet 38:525–527

    CAS  Article  PubMed  Google Scholar 

  27. Yu PB, Deng DY, Lai CS et al (2008) BMP type I receptor inhibition reduces heterotopic [corrected] ossification. Nat Med 14:1363–1369

    CAS  Article  PubMed  Google Scholar 

Download references

Conflicts of interest

None.

Author information

Affiliations

Authors

Corresponding author

Correspondence to Mutlu Kartal-Kaess.

Rights and permissions

Reprints and Permissions

About this article

Cite this article

Kartal-Kaess, M., Shore, E.M., Xu, M. et al. Fibrodysplasia ossificans progressiva (FOP): watch the great toes!. Eur J Pediatr 169, 1417–1421 (2010). https://doi.org/10.1007/s00431-010-1232-5

Download citation

  • Received:

  • Accepted:

  • Published:

  • Issue Date:

  • DOI: https://doi.org/10.1007/s00431-010-1232-5

Keywords

  • Fibrodysplasia ossificans progressiva (FOP)
  • Heterotopic ossification
  • ACVR1
  • ALK2