Skip to main content

Changes in cerebral morphometry and amplitude of low-frequency fluctuations of BOLD signals during healthy aging: correlation with inhibitory control

Abstract

Aging is known to be associated with changes in cerebral morphometry and in regional activations during resting or cognitive challenges. Here, we investigated the effects of age on cerebral gray matter (GM) volumes and fractional amplitude of low-frequency fluctuation (fALFF) of blood oxygenation level-dependent signals in 111 healthy adults, 18–72 years of age. GM volumes were computed using voxel-based morphometry as implemented in Statistical Parametric Mapping, and fALFF maps were computed for task-residuals as described in Zhang and Li (Neuroimage 49:1911–1918, 2010) for individual participants. Across participants, a simple regression against age was performed for GM volumes and fALFF, respectively, with quantity of recent alcohol use as a covariate. At cluster level p < 0.05, corrected for family-wise error of multiple comparisons, GM volumes declined with age in prefrontal/frontal regions, bilateral insula, and left inferior parietal lobule (IPL), suggesting structural vulnerability of these areas to aging. FALFF was negatively correlated with age in the supplementary motor area (SMA), pre-SMA, anterior cingulate cortex, bilateral dorsal lateral prefrontal cortex (DLPFC), right IPL, and posterior cingulate cortex, indicating that spontaneous neural activities in these areas during cognitive performance decrease with age. Notably, these age-related changes overlapped in the prefrontal/frontal regions including the pre-SMA, SMA, and DLPFC. Furthermore, GM volumes and fALFF of the pre-SMA/SMA were negatively correlated with the stop signal reaction time, in accord with our earlier work. Together, these results describe anatomical and functional changes in prefrontal/frontal regions and how these changes are associated with declining inhibitory control during aging.

This is a preview of subscription content, access via your institution.

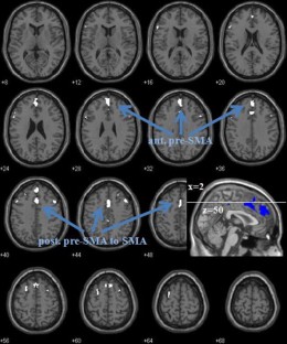
Fig. 1
Fig. 2
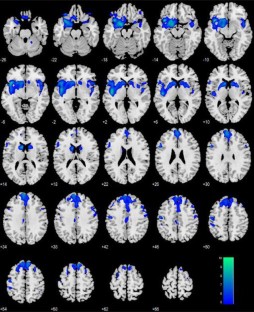
Fig. 3
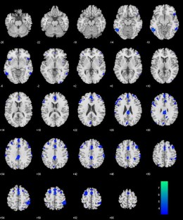
Fig. 4

References

  • Ashburner J, Friston KJ (1999) Nonlinear spatial normalization using basis functions. Hum Brain Mapp 7:254–266

    CAS  PubMed  Article  Google Scholar 

  • Ashburner J, Friston KJ (2000) Voxel-based morphometry: the methods. Neuroimage 11:805–821

    CAS  PubMed  Article  Google Scholar 

  • Bednarski SR, Erdman E, Luo X, Zhang S, Hu S, Li CSR (2012) Neural processes of an indirect analog of risk taking in young nondependent adult alcohol drinkers—an fMRI study of the stop signal task. Alcohol Clin Exp Res 36:768–779

    PubMed Central  PubMed  Article  Google Scholar 

  • Bergfield KL, Hanson KD, Chen KW, Teipel SJ, Hampel H, Rapoport SI, Moeller JR, Alexander GE (2010) Age-related networks of regional covariance in MRI gray matter: reproducible multivariate patterns in healthy aging. Neuroimage. 49:1750–1759

    PubMed Central  PubMed  Article  Google Scholar 

  • Birn RM, Diamond JB, Smith MA, Bandettini PA (2006) Separating respiratory-variation-related neuronal-activity-related fluctuations in fluctuations from fMRI. Neuroimage 31:1536–1548

    PubMed  Article  Google Scholar 

  • Birn RM, Smith MA, Jones TB, Bandettini PA (2008) The respiration response function: the temporal dynamics of fMRI signal fluctuations related to changes in respiration. Neuroimage 40:644–654

    PubMed Central  PubMed  Article  Google Scholar 

  • Biswal B, Yetkin FZ, Haughton VM, Hyde JS (1995) Functional connectivity in the motor cortex of resting human brain using echo-planar MRI. Magnet Reson Med 34:537–541

    CAS  Article  Google Scholar 

  • Biswal BB, Mennes M, Zuo XN, Gohel S, Kelly C, Smith SM, Beckmann CF, Adelstein JS, Buckner RL, Colcombe S, Dogonowski AM, Ernst M, Fair D, Hampson M, Hoptman MJ, Hyde JS, Kiviniemi VJ, Kotter R, Li SJ, Lin CP, Lowe MJ, Mackay C, Madden DJ, Madsen KH, Margulies DS, Mayberg HS, McMahon K, Monk CS, Mostofsky SH, Nagel BJ, Pekar JJ, Peltier SJ, Petersen SE, Riedl V, Rombouts SARB, Rypma B, Schlaggar BL, Schmidt S, Seidler RD, Siegle GJ, Sorg C, Teng GJ, Veijola J, Villringer A, Walter M, Wang LH, Weng XC, Whitfield-Gabrieli S, Williamson P, Windischberger C, Zang YF, Zhang HY, Castellanos FX, Milham MP (2010) Toward discovery science of human brain function. Proc Natl Acad Sci USA 107:4734–4739

    CAS  PubMed Central  PubMed  Article  Google Scholar 

  • Buckner RL (2004) Memory and executive function in aging and AD: multiple factors that cause decline and reserve factors that compensate. Neuron 44:195–208

    CAS  PubMed  Article  Google Scholar 

  • Chang C, Glover GH (2009) Relationship between respiration, end-tidal CO2, and BOLD signals in resting-state fMRI. Neuroimage 47:1381–1393

    PubMed Central  PubMed  Article  Google Scholar 

  • Chang C, Cunningham JP, Glover GH (2009) Influence of heart rate on the BOLD signal: the cardiac response function. Neuroimage 44:857–869

    PubMed Central  PubMed  Article  Google Scholar 

  • Chao HH, Luo X, Chang JL, Li CS (2009) Activation of the pre-supplementary motor area but not inferior prefrontal cortex in association with short stop signal reaction time: an intra-subject analysis. BMC Neurosci 10:75

    PubMed Central  PubMed  Article  Google Scholar 

  • Chee MWL, Chen KHM, Zheng H, Chan KPL, Isaac V, Sim SKY, Chuah LYM, Schuchinsky M, Fischl B, Ng TP (2009) Cognitive function and brain structure correlations in healthy elderly East Asians. Neuroimage 46:257–269

    PubMed  Article  Google Scholar 

  • Duann JR, Ide JS, Luo X, Li CS (2009) Functional connectivity delineates distinct roles of the inferior frontal cortex and presupplementary motor area in stop signal inhibition. J Neurosci 29:10171–10179

    CAS  PubMed Central  PubMed  Article  Google Scholar 

  • Eckert MA (2011) Slowing down: age-related neurobiological predictors of processing speed. Front Neurosci 5:25

    PubMed Central  PubMed  Article  Google Scholar 

  • Fair DA, Schlaggar BL, Cohen AL, Miezin FM, Dosenbach NUF, Wenger KK, Fox MD, Snyder AZ, Raichle ME, Petersen SE (2007) A method for using blocked and event-related fMRI data to study “resting state” functional connectivity. Neuroimage 35:396–405

    PubMed Central  PubMed  Article  Google Scholar 

  • Fellgiebel A, Yakushev I (2011) Diffusion tensor imaging of the hippocampus in MCI and early Alzheimer’s disease. J Alzheimers Dis 26:257–262

    PubMed  Google Scholar 

  • First M, Spitzer R, Williams J, Gibbon M (1995) Structured clinical interview for DSM-IV (SCID). American Psychiatric Association, Washington, DC

    Google Scholar 

  • Folstein M, Folstein S (2010) Functional expressions of the aging brain. Nutr Rev 68(Suppl 2):S70–S73

    PubMed  Article  Google Scholar 

  • Folstein MF, Folstein SE, Mchugh PR (1975) Mini-mental state—practical method for grading cognitive state of patients for clinician. J Psychiat Res 12:189–198

    CAS  PubMed  Article  Google Scholar 

  • Fox MD, Raichle ME (2007) Spontaneous fluctuations in brain activity observed with functional magnetic resonance imaging. Nat Rev Neurosci 8:700–711

    CAS  PubMed  Article  Google Scholar 

  • Friston K, Holmes AP, Worsley KJ, Poline JB, Frith CD, Frackowiak R (1995) Statistical parametric maps in functional imaging: a general linear approach. Hum Brain Mapp 2:189–210

    Article  Google Scholar 

  • Giorgio A, Santelli L, Tomassini V, Bosnell R, Smith S, De Stefano N, Johansen-Berg H (2010) Age-related changes in grey and white matter structure throughout adulthood. Neuroimage 51:943–951

    PubMed Central  PubMed  Article  Google Scholar 

  • Good CD, Johnsrude IS, Ashburner J, Henson RNA, Friston KJ, Frackowiak RSJ (2001) A voxel-based morphometric study of ageing in 465 normal adult human brains. Neuroimage 14:21–36

    CAS  PubMed  Article  Google Scholar 

  • Grieve SM, Clark CR, Williams LM, Peduto AJ, Gordon E (2005) Preservation of limbic and paralimbic structures in aging. Hum Brain Mapp 25:391–401

    PubMed  Article  Google Scholar 

  • Han Y, Lui S, Kuang W, Lang Q, Zou L, Jia J (2012) Anatomical and functional deficits in patients with amnestic mild cognitive impairment. PLoS ONE 7:e28664

    CAS  PubMed Central  PubMed  Article  Google Scholar 

  • Harper C (2007) The neurotoxicity of alcohol. Hum Exp Toxicol 26:251–257

    CAS  PubMed  Article  Google Scholar 

  • Hu S, Li CS (2012) Neural processes of preparatory control for stop signal inhibition. Hum Brain Mapp 33:2785–2796

    Google Scholar 

  • Hu S, Chao HH, Winkler AD, Li CS (2012) The effects of age on cerebral activations: internally versus externally driven processes. Front Aging Neurosci 4:4

    PubMed Central  PubMed  Article  Google Scholar 

  • Jernigan TL, Butters N, Ditraglia G, Schafer K, Smith T, Riwin M, Grant I, Schuckit M, Cermak LS (1991) Reduced cerebral gray-matter observed in alcoholics using magnetic-resonance-imaging. Alcohol Clin Exp Res 15:418–427

    CAS  PubMed  Article  Google Scholar 

  • Jones DT, Machulda MM, Vemuri P, McDade EM, Zeng G, Senjem ML, Gunter JL, Przybelski SA, Avula RT, Knopman DS, Boeve BF, Petersen RC, Jack CR (2011) Age-related changes in the default mode network are more advanced in Alzheimer disease. Neurology 77:1524–1531

    CAS  PubMed Central  PubMed  Article  Google Scholar 

  • Kantarci K, Jack CR (2003) Neuroimaging in Alzheimer disease: an evidence-based review. Neuroimag Clin N Am 13:197–203

    Article  Google Scholar 

  • Kramer JH, Mungas D, Reed BR, Wetzel ME, Burnett MM, Chui HC, Miller BL, Weiner MW (2007) Longitudinal MRI and cognitive change in healthy elderly. Neuropsychology 21:412–418

    PubMed Central  PubMed  Article  Google Scholar 

  • Kril JJ, Halliday GM, Svoboda MD, Cartwright H (1997) The cerebral cortex is damaged in chronic alcoholics. Neuroscience 79:983–998

    CAS  PubMed  Article  Google Scholar 

  • Levitt H (1971) Transformed up-down methods in psychoacoustics. J Acoust Soc Am 49:467–477

    PubMed  Article  Google Scholar 

  • Li CS, Krystal JH, Mathalon DH (2005) Fore-period effect and stop-signal reaction time. Exp Brain Res 167:305–309

    Google Scholar 

  • Li CSR, Huang C, Constable RT, Sinha R (2006) Imaging response inhibition in a stop-signal task: neural correlates independent of signal monitoring and post-response processing. J Neurosci 26:186–192

    CAS  PubMed  Article  Google Scholar 

  • Li CSR, Chao HHA, Lee TW (2009) Neural correlates of speeded as compared with delayed responses in a stop signal task: an indirect analog of risk taking and association with an anxiety trait. Cereb Cortex 19:839–848

    PubMed Central  PubMed  Article  Google Scholar 

  • Littow H, Elseound AA, Haapea M, Isohanni M et al (2010) Age-related differences in functional nodes of the brain cortex: a high model order group ICA study. Front Sys Neurosci 4:32

    Google Scholar 

  • Logan GD, Cowan WB, Davis KA (1984) On the ability to inhibit simple and choice reaction-time responses: a model and a method. J Exp Psychol Hum Percept Perform 10:276–291

    CAS  PubMed  Article  Google Scholar 

  • Long X, Liao W, Jiang C, Liang D, Qiu B, Zhang L (2012) Healthy aging: an automatic analysis of global and regional morphological alterations of human brain. Acad Radiol 19:785–793

    PubMed  Article  Google Scholar 

  • Margulies DS, Bottger J, Long XY, Lv YT, Kelly C, Schafer A, Goldhahn D, Abbushi A, Milham MP, Lohmann G, Villringer A (2010) Resting developments: a review of fMRI post-processing methodologies for spontaneous brain activity. Magn Reson Mater Phy 23:289–307

    Article  Google Scholar 

  • Morris JC (2012) Revised criteria for mild cognitive impairment may compromise the diagnosis of Alzheimer disease dementia. Arch Neurol 69(6):700–708

    PubMed Central  PubMed  Article  Google Scholar 

  • Nagel IE, Preuschhof C, Li SC, Nyberg L, Backman L, Lindenberger U, Heekeren HR (2009) Performance level modulates adult age differences in brain activation during spatial working memory. P Natl Acad Sci USA 106:22552–22557

    CAS  Article  Google Scholar 

  • Nagel IE, Preuschhof C, Li SC, Nyberg L, Backman L, Lindenberger U, Heekeren HR (2011) Load modulation of BOLD response and connectivity predicts working memory performance in younger and older adults. J Cognitive Neurosci 23:2030–2045

    Article  Google Scholar 

  • Park DC, Polk TA, Park R, Minear M, Savage A, Smith MR (2004) Aging reduces neural specialization in ventral visual cortex. Proc Natl Acad Sci USA 101:13091–13095

    CAS  PubMed Central  PubMed  Article  Google Scholar 

  • Paul RH, Haque O, Gunstad J, Tate DF, Grieve SM, Hoth K, Brickman AM, Cohen R, Lange K, Jefferson AL, MacGregor KL, Gordon E (2005) Subcortical hyperintensities impact cognitive function among a select subset of healthy elderly. Arch Clin Neuropsych 20:697–704

    Article  Google Scholar 

  • Power JD, Barnes KA, Snyder AZ, Schlaggar BL, Petersen SE (2012) Spurious but systematic correlations in functional connectivity MRI networks arise from subject motion. Neuroimage 59:2142–2154

    PubMed Central  PubMed  Article  Google Scholar 

  • Raz N, Lindenberger U, Rodrigue KM, Kennedy KM, Head D, Williamson A, Dahle C, Gerstorf D, Acker JD (2005) Regional brain changes in aging healthy adults: general trends, individual differences and modifiers. Cereb Cortex 15:1676–1689

    PubMed  Article  Google Scholar 

  • Reuter-Lorenz PA, Cappell KA (2008) Neurocognitive aging and the compensation hypothesis. Curr Dir Psychol Sci 17:177–182

    Article  Google Scholar 

  • Rosazza C, Minati L (2011) Resting-state brain networks: literature review and clinical applications. Neurol Sci 32:773–785

    PubMed  Article  Google Scholar 

  • Seidler RD, Bernard JA, Burutolu TB, Fling BW, Gordon MT, Gwin JT, Kwak Y, Lipps DB (2010) Motor control and aging: links to age-related brain structural, functional, and biochemical effects. Neurosci Biobehav R 34:721–733

    CAS  Article  Google Scholar 

  • Sowell ER, Peterson BS, Thompson PM, Welcome SE, Henkenius AL, Toga AW (2003) Mapping cortical change across the human life span. Nat Neurosci 6:309–315

    CAS  PubMed  Article  Google Scholar 

  • Su L, Wang L, Chen F, Shen H, Li B, Hu D (2012) Sparse representation of brain aging: extracting covariance patterns from structural MRI. PLoS ONE 7:e36147

    CAS  PubMed Central  PubMed  Article  Google Scholar 

  • Taki Y, Goto R, Evans A, Zijdenbos A, Neelin P, Lerch J, Sato K, Ono S, Kinomura S, Nakagawa M, Sugiura M, Watanabe J, Kawashima R, Fukuda H (2004) Voxel-based morphometry of human brain with age and cerebrovascular risk factors. Neurobiol Aging 25:455–463

    PubMed  Article  Google Scholar 

  • Taki Y, Thyreau B, Kinomura S, Sato K, Goto R, Kawashima R, Fukuda H (2011) Correlations among brain gray matter volumes, age, gender, and hemisphere in healthy individuals. PLoS ONE 6:e22734

    CAS  PubMed Central  PubMed  Article  Google Scholar 

  • Taki Y, Hashizume H, Thyreau B, Sassa Y, Takeuchi H, Wu K, Kotozaki Y, Nouchi R, Asano M, Asano K, Fukuda H, Kawashima R (2012) Linear and curvilinear correlations of brain gray matter volume and density with age using voxel-based morphometry with the Akaike information criterion in 291 healthy children. Hum Brain Mapp. doi:10.1002/hbm.22033. (Epub ahead of print)

  • Tzourio-Mazoyer N, Landeau B, Papathanassiou D, Crivello F, Etard O, Delcroix N, Mazoyer B, Joliot M (2002) Automated anatomical labeling of activations in SPM using a macroscopic anatomical parcellation of the MNI MRI single-subject brain. Neuroimage 15:273–289

    CAS  PubMed  Article  Google Scholar 

  • Van Dijk KRA, Sabuncu MR, Buckner RL (2012) The influence of head motion on intrinsic functional connectivity MRI. Neuroimage 59:431–438

    PubMed Central  PubMed  Article  Google Scholar 

  • Wetheril GB, Chen H, Vasudeva RB (1966) Sequential estimation of quantal response curves: a new method of estimation. Biometrika 53:439–454

    Article  Google Scholar 

  • Yan L, Zhuo Y, Wang B, Wang DJ (2011) Loss of coherence of low frequency fluctuations of BOLD FMRI in visual cortex of healthy aged subjects. Open Neuroimag J 5:105–111

    PubMed Central  PubMed  Article  Google Scholar 

  • Zang YF, He Y, Zhu CZ, Cao QJ, Sui MQ, Liang M, Tian LX, Jiang TZ, Wang YF (2007) Altered baseline brain activity in children with ADHD revealed by resting-state functional MRI. Brain Dev 29:83–91

    PubMed  Article  Google Scholar 

  • Zhang S, Li CS (2010) A neural measure of behavioral engagement: task-residual low-frequency blood oxygenation level-dependent activity in the precuneus. Neuroimage 49:1911–1918

    PubMed Central  PubMed  Article  Google Scholar 

  • Zhang S, Li CS (2012a) Task-related, low-frequency task-residual, and resting state activity in the default mode network brain regions. Front Psychol 3:172

    PubMed Central  PubMed  Google Scholar 

  • Zhang S, Li CS (2012b) Functional networks for cognitive control in a stop signal task: independent component analysis. Hum Brain Mapp 33:89–104

    Google Scholar 

  • Zou QH, Zhu CZ, Yang YH, Zuo XN, Long XY, Cao QJ, Wang YF, Zang YF (2008) An improved approach to detection of amplitude of low-frequency fluctuation (ALFF) for resting-state fMRI: fractional ALFF. J Neurosci Methods 172:137–141

    PubMed Central  PubMed  Article  Google Scholar 

Download references

Acknowledgments

This study was supported by NIH grant K02DA026990 (Li), a Yale Cancer Center grant for translational pilot study (Chao), and the William O. Seery Foundation (Chao). We thank Dr. Dianne Lee, Olivia Farr, Sarah Bednarski, and Emily Erdman for their many helpful discussions.

Author information

Affiliations

Authors

Corresponding author

Correspondence to Sien Hu.

Electronic supplementary material

Below is the link to the electronic supplementary material.

Supplementary material 1 (DOCX 246 kb)

Rights and permissions

Reprints and Permissions

About this article

Cite this article

Hu, S., Chao, H.HA., Zhang, S. et al. Changes in cerebral morphometry and amplitude of low-frequency fluctuations of BOLD signals during healthy aging: correlation with inhibitory control. Brain Struct Funct 219, 983–994 (2014). https://doi.org/10.1007/s00429-013-0548-0

Download citation

  • Received:

  • Accepted:

  • Published:

  • Issue Date:

  • DOI: https://doi.org/10.1007/s00429-013-0548-0

Keywords

  • Age
  • Aging
  • Morphometry
  • Gray matter volume
  • Fractional amplitude of low-frequency fluctuation (fALFF)
  • Spontaneous activity